相关产品推荐更多 >

Anti-human CSF1R / M-CSFR / CD115 (Cabiralizumab Biosimilar)(BIO0142SM)-1mg/5mg/20mg
¥3200
IQGAP1 Rabbit pAb, PerCP-Cy5.5 conjugated(bs-1109R-PerCP-Cy5.5)-100ul
¥2980
Piwil2 Rabbit pAb(bs-3817R)-50ul/100ul/200ul
¥1180
Metallothionein 3 Rabbit pAb, BF405 conjugated(bs-4940R-BF405)-100ul
¥2980
SET Rabbit pAb, FITC conjugated(bs-5943R-FITC)-100ul
¥2980
万千商家帮你免费找货
0 人在求购买到急需产品
- 详细信息
- 文献和实验
- 技术资料
- 应用范围:
产品信息以Bioss网站为准
- 规格:
50ul/100ul/200ul
| 规格: | 50ul | 产品价格: | ¥1180.0 |
|---|---|---|---|
| 规格: | 100ul | 产品价格: | ¥1980.0 |
| 规格: | 200ul | 产品价格: | ¥2800.0 |
| 产品编号 | bs-0685R |
| 英文名称 | SYK Rabbit pAb |
| 中文名称 | 非受体型酪氨酸蛋白激酶抗体 |
| 英文别名 | Tyrosine-protein kinase SYK(Spleen tyrosine kinase) [Contains: 72kDatyrosine-protein kinase SYK; 40 kDa tyrosine-protein kinase SYK; KSYK_HUMAN. |
| 产品应用 | WB=1:500-2000, IHC-P=1:100-500, IHC-F=1:100-500, IF=1:100-500 Not yet tested in other applications. |
| 交叉反应 | Human, Mouse (Rat, Dog, Pig, Cow) |
| 抗体来源 | Rabbit |
| 免疫原 | KLH conjugated synthetic peptide derived from human SYK |
| 亚型 | IgG |
| 性状 | Liquid |
| 纯化方法 | affinity purified by Protein A |
| 克隆类型 | Polyclonal |
| 理论分子量 | 72 kDa |
| 浓度 | 1mg/ml |
| 储存液 | 0.01M TBS (pH7.4) with 1% BSA, 0.02% Proclin300 and 50% Glycerol. |
| 研究领域 | Cardiovascular > Blood > Platelets Immunology > Innate Immunity > Mast Cells Signal Transduction > Protein Phosphorylation > Tyrosine Kinases |
| 亚基 | Interacts with LYN; phosphorylates SYK. Interacts with RHOH (phosphorylated); regulates mast cells activation. Interacts with NFAM1 (phosphorylated); probably involved in BCR signaling. Interacts with VAV1 (via SH2 domain); phosphorylates VAV1 upon BCR activation. Interacts with GAB2 (phosphorylated); probably involved in IgE Fc receptor signaling. Interacts (via its SH2 domains) with CD79A (via its phosphorylated ITAM domain); the interaction stimulates SYK autophosphorylation and activation. Interacts with FCRL3. Interacts (via SH2 domains) with FCER1G (via ITAM domain); activates SYK and mediates neutrophils and macrophages integrin-mediated activation. Interacts with ITGB2 and FGR; involved in ITGB2 downstream signaling. Interacts with ITGB3; upon activation by ITGB3 promotes platelet adhesion. Interacts (via SH2 domains) with TYROBP (via ITAM domain); involved in neutrophils and macrophages integrin-mediated activation. Interacts with MSN and SELPLG; mediates the selectin-dependent activation of SYK by SELPLG. Interacts with BLNK (via SH2 domain). Interacts (via the second SH2 domain) with USP25 (via C-terminus); phosphorylates USP25 and regulates USP25 intracellular levels. Interacts (via SH2 domains) with CLEC1B (dimer). Interacts with CLEC7A; participates in leukocyte activation in presence of fungal pathogens. Interacts (phosphorylated) with SLA; may regulate SYK through CBL recruitment. Interacts with YWHAG; attenuates BCR-induced membrane translocation and activation of SYK. Interacts with Epstein-Barr virus LMP2A. |
| 亚细胞定位 | Cell membrane. Cytoplasm, cytosol. |
| 组织特异性 | Widely expressed in hematopoietic cells (at protein level). Within the B-cells compartment it is for instance expressed for pro-B-cells to plasma cells. |
| 翻译后修饰 | Ubiquitinated by CBLB after BCR activation; which promotes proteasomal degradation. Autophosphorylated. Phosphorylated on tyrosine residues by LYN following receptors engagement. Phosphorylation on Tyr-323 creates a binding site for CBL, an adapter protein that serves as a negative regulator of BCR-stimulated calcium ion signaling. Phosphorylation at Tyr-348 creates a binding site for VAV1. Phosphorylation on Tyr-348 and Tyr-352 enhances the phosphorylation and activation of phospholipase C-gamma and the early phase of calcium ion mobilization via a phosphoinositide 3-kinase-independent pathway (By similarity). Phosphorylation on Ser-297 is very common, it peaks 5 minutes after BCR stimulation, and creates a binding site for YWHAG. Phosphorylation at Tyr-630 creates a binding site for BLNK. Dephosphorylated by PTPN6. |
| 相似性 | Belongs to the protein kinase superfamily. Tyr protein kinase family. SYK/ZAP-70 subfamily. Contains 1 protein kinase domain. Contains 2 SH2 domains. |
| 功能 | Non-receptor tyrosine kinase which mediates signal transduction downstream of a variety of transmembrane receptors including classical immunoreceptors like the B-cell receptor (BCR). Regulates several biological processes including innate and adaptive immunity, cell adhesion, osteoclast maturation, platelet activation and vascular development. Assembles into signaling complexes with activated receptors at the plasma membrane via interaction between its SH2 domains and the receptor tyrosine-phosphorylated ITAM domains. The association with the receptor can also be indirect and mediated by adapter proteins containing ITAM or partial hemITAM domains. The phosphorylation of the ITAM domains is generally mediated by SRC subfamily kinases upon engagement of the receptor. More rarely signal transduction via SYK could be ITAM-independent. Direct downstream effectors phosphorylated by SYK include VAV1, PLCG1, PI-3-kinase, LCP2 and BLNK. Initially identified as essential in B-cell receptor (BCR) signaling, it is necessary for the maturation of B-cells most probably at the pro-B to pre-B transition. Activated upon BCR engagement, it phosphorylates and activates BLNK an adapter linking the activated BCR to downstream signaling adapters and effectors. It also phosphorylates and activates PLCG1 and the PKC signaling pathway. It also phosphorylates BTK and regulates its activity in B-cell antigen receptor (BCR)-coupled signaling. In addition to its function downstream of BCR plays also a role in T-cell receptor signaling. Plays also a crucial role in the innate immune response to fungal, bacterial and viral pathogens. It is for instance activated by the membrane lectin CLEC7A. Upon stimulation by fungal proteins, CLEC7A together with SYK activates immune cells inducing the production of ROS. Also activates the inflammasome and NF-kappa-B-mediated transcription of chemokines and cytokines in presence of pathogens. Regulates neutrophil degranulation and phagocytosis through activation of the MAPK signaling cascade. Also mediates the activation of dendritic cells by cell necrosis stimuli. Also involved in mast cells activation. Also functions downstream of receptors mediating cell adhesion. Relays for instance, integrin-mediated neutrophils and macrophages activation and P-selectin receptor/SELPG-mediated recruitment of leukocytes to inflammatory loci. Plays also a role in non-immune processes. It is for instance involved in vascular development where it may regulate blood and lymphatic vascular separation. It is also required for osteoclast development and function. Functions in the activation of platelets by collagen, mediating PLCG2 phosphorylation and activation. May be coupled to the collagen receptor by the ITAM domain-containing FCER1G. Also activated by the membrane lectin CLEC1B that is required for activation of platelets by PDPN/podoplanin. Involved in platelet adhesion being activated by ITGB3 engaged by fibrinogen. |
| 保存条件 | Shipped at 4℃. Store at -20℃ for one year. Avoid repeated freeze/thaw cycles. |
| 注意事项 | This product as supplied is intended for research use only, not for use in human, therapeutic or diagnostic applications. |
| 背景资料 | This gene encodes a member of the family of non-receptor type Tyr protein kinases. This protein is widely expressed in hematopoietic cells and is involved in coupling activated immunoreceptors to downstream signaling events that mediate diverse cellular responses, including proliferation, differentiation, and phagocytosis. It is thought to be a modulator of epithelial cell growth and a potential tumour suppressor in human breast carcinomas. Alternatively spliced transcript variants encoding different isoforms have been found for this gene. [provided by RefSeq, Mar 2010] |
| 应用 | 推荐稀释比例 |
| {WB} | {1:500-2000} |
| {IHC-P} | {1:100-500} |
| {IHC-F} | {1:100-500} |
| {IF} | {1:100-500} |

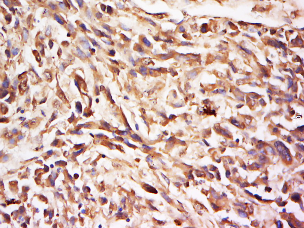
Antigen retrieval: citrate buffer ( 0.01M, pH 6.0 ), Boiling bathing for 15min; Block endogenous peroxidase by 3% Hydrogen peroxide for 30min; Blocking buffer (normal goat serum,C-0005) at 37℃ for 20 min;
Incubation: Anti-SYK Polyclonal Antibody, Unconjugated(bs-0685R) 1:500, overnight at 4°C, followed by conjugation to the secondary antibody(SP-0023) and DAB(C-0010) staining

Primary: Anti-SYK (bs-0685R) at 1/300 dilution
Secondary: IRDye800CW Goat Anti-Rabbit IgG at 1/20000 dilution
Predicted band size: 72 kD
Observed band size: 72/69 kD
风险提示:丁香通仅作为第三方平台,为商家信息发布提供平台空间。用户咨询产品时请注意保护个人信息及财产安全,合理判断,谨慎选购商品,商家和用户对交易行为负责。对于医疗器械类产品,请先查证核实企业经营资质和医疗器械产品注册证情况。
文献和实验[IF={{ 5.4 }}] {Xiangyu Liang. et al. Effects and potential mechanisms of Saposhnikovia divaricata (Turcz.) Schischk. On type I allergy and pseudoallergic reactions in vitro and in vivo. J ETHNOPHARMACOL. 2024 Jan;318:116942} {WB} {Rat}
[IF={{ 3.509 }}] {Xin Shan. et al. Proteomic analysis of healthy and atretic porcine follicular granulosa cells. J Proteomics. 2021 Feb;232:104027} {WB} {Pig}
[IF={{ 3.195 }}] {Gao, Jia Rong. et al. MicroRNA-339-5p inhibits lipopolysaccharide-induced rat mesangial cells by regulating the Syk/Ras/c-Fos pathway. N-S ARCH PHARMACOL. 2022 Jun;:1-11} {WB,IF} {Rat}
[IF={{ 3.118 }}] {Fu S et al. Berberine suppresses mast cell-mediated allergic responses via regulating FcɛRI-mediated and MAPK signaling.Int Immunopharmacol. 2019 Jun;71:1-6.} {WB} {Human}
[IF={{ 2.234 }}] {Liu XY et al. Acupuncture through (DU20) to (GB7) mitigates neurological impairment after intracerebral hemorrhage. Neural Regen Res. 2018 Aug;13(8):1425-1432.} {IHC,WB} {Rat}
= NAL), appears to form upon oxidative cyclization of the nonfluorescent 2:1 lysine-HNE Michael adduct-Schiff base cross-link (Scheme 1). Polyclonal antibody (PAb) to the NAL-HNE fluorophore was raised in rabbit and found to be highly specific
完全活化成为效应T细胞。在正常生理情况下,共刺激分子与共抑制分子之间的平衡,使T细胞的免疫效应保持适当的深度、广度,从而最大程度减少对于周围正常组织的损伤,维持对自身组织的耐受、避免自身免疫反应。然而,肿瘤细胞可异常上调共抑制分子PD-1、PD-L1的含量。PD-L1与PD-1结合后,PD-1胞质区ITSM结构域中的酪氨酸发生磷酸化,募集SHP-2磷酸酶,使下游的Syk和磷脂酰肌醇3激酶(PI3K)发生去磷酸化,从而传递抑制性信号抑制淋巴细胞的功能及细胞因子的释放,打破共刺激分子与共抑制分子之间
General Principles of Immunoprecipitation
---------------------------------------------------------------------------- Beware of fragile kinases.The kinase activities of Syk and the p60src proteins of tsRSVs,are labile.Most of their activity is lost in RIPA.For these proteins,it is important to use NP-40 buffer,containing EDTA
技术资料暂无技术资料 索取技术资料






