相关产品推荐更多 >

ADRA2C Rabbit pAb, BF555 conjugated(bs-12040R-BF555)-100ul
¥2980
CD84 Rabbit pAb, FITC conjugated(bs-2520R-FITC)-100ul
¥2980
SARS-CoV-2 (2019-nCoV) Nucleocapsid Mouse mAb(bsm-41412M)-100ug/200ug
¥2500
mouse CD4 Rat mAb, PE conjugated(bsm-30152A-PE)-25T/50T/100T
¥220
Neurotrophin 3 Rabbit pAb(bs-4724R)-50ul/100ul/200ul
¥1180
万千商家帮你免费找货
0 人在求购买到急需产品
- 详细信息
- 文献和实验
- 技术资料
- 应用范围:
产品信息以Bioss网站为准
- 规格:
50ul/100ul/200ul
| 规格: | 50ul | 产品价格: | ¥1180.0 |
|---|---|---|---|
| 规格: | 100ul | 产品价格: | ¥1980.0 |
| 规格: | 200ul | 产品价格: | ¥2800.0 |
| 产品编号 | bs-1434R |
| 英文名称 | IGFBP3 Rabbit pAb |
| 中文名称 | 胰岛素样生长因子结合蛋白3抗体 |
| 英文别名 | IBP3_HUMAN; Insulin-like growth factor-binding protein 3; IBP3; IBP-3; IGF-binding protein 3; IGFBP-3; IBP3; BP-53; |
| 产品应用 | IHC-P=1:100-500, IHC-F=1:100-500, IF=1:100-500 Not yet tested in other applications. |
| 交叉反应 | Rat (Human, Mouse) |
| 抗体来源 | Rabbit |
| 免疫原 | KLH conjugated synthetic peptide derived from human IGFBP3 |
| 亚型 | IgG |
| 性状 | Liquid |
| 纯化方法 | affinity purified by Protein A |
| 克隆类型 | Polyclonal |
| 理论分子量 | 30-35 kDa |
| 浓度 | 1mg/ml |
| 储存液 | 0.01M TBS (pH7.4) with 1% BSA, 0.02% Proclin300 and 50% Glycerol. |
| 研究领域 | Cancer > Growth factors > Insulin and insulin-like Cancer > Invasion/microenvironment > Angiogenesis > Angiogenic inhibitory factors Cardiovascular > Angiogenesis > Angiogenic Factors Cardiovascular > Atherosclerosis > Apoptosis Cardiovascular > Atherosclerosis > Diabetes associated Cell Biology > Apoptosis > Intracellular > Associated Proteins Kits/ Lysates/ Other > Kits > ELISA Kits > ELISA Kits > Growth factors and hormones ELISA kits Signal Transduction > Growth Factors/Hormones > Insulin / Insulin-like |
| 亚细胞定位 | Secreted. |
| 组织特异性 | Expressed by most tissues. Present in plasma. |
| 翻译后修饰 | Phosphorylation sites are present in the extracelllular medium. |
| 相似性 | Contains 1 IGFBP N-terminal domain.
Contains 1 thyroglobulin type-1 domain. |
| 保存条件 | Shipped at 4℃. Store at -20℃ for one year. Avoid repeated freeze/thaw cycles. |
| 注意事项 | This product as supplied is intended for research use only, not for use in human, therapeutic or diagnostic applications. |
| 背景资料 | This gene is a member of the insulin-like growth factor binding protein (IGFBP) family and encodes a protein with an IGFBP domain and a thyroglobulin type-I domain. The protein forms a ternary complex with insulin-like growth factor acid-labile subunit (IGFALS) and either insulin-like growth factor (IGF) I or II. In this form, it circulates in the plasma, prolonging the half-life of IGFs and altering their interaction with cell surface receptors. Alternate transcriptional splice variants, encoding different isoforms, have been characterized. [provided by RefSeq, Jul 2008] |
| 应用 | 推荐稀释比例 |
| {IHC-P} | {1:100-500} |
| {IHC-F} | {1:100-500} |
| {IF} | {1:100-500} |

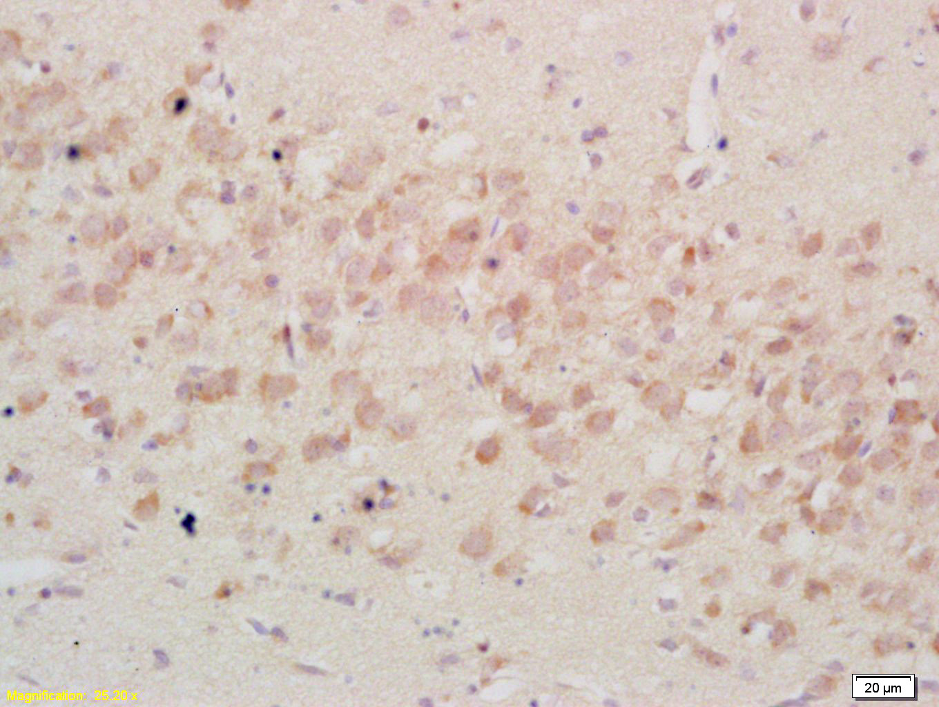
Antigen retrieval: citrate buffer ( 0.01M, pH 6.0 ), Boiling bathing for 15min; Blocking buffer (normal goat serum,C-0005) at 37℃ for 20 min;
Incubation: Anti-IGFBP3 Polyclonal Antibody, Unconjugated(bs-1434R) 1:200, overnight at 4°C; The secondary antibody was Goat Anti-Rabbit IgG, Cy3 conjugated(bs-0295G-Cy3)used at 1:200 dilution for 40 minutes at 37°C. DAPI(5ug/ml,blue,C-0033) was used to stain the cell nuclei

Antigen retrieval: citrate buffer ( 0.01M, pH 6.0 ), Boiling bathing for 15min; Block endogenous peroxidase by 3% Hydrogen peroxide for 30min; Blocking buffer (normal goat serum,C-0005) at 37℃ for 20 min;
Incubation: Anti-IGFBP3 Polyclonal Antibody, Unconjugated(bs-1434R) 1:200, overnight at 4°C, followed by conjugation to the secondary antibody(SP-0023) and DAB(C-0010) staining
风险提示:丁香通仅作为第三方平台,为商家信息发布提供平台空间。用户咨询产品时请注意保护个人信息及财产安全,合理判断,谨慎选购商品,商家和用户对交易行为负责。对于医疗器械类产品,请先查证核实企业经营资质和医疗器械产品注册证情况。
文献和实验[IF={{ 4.2 }}] {Yuan, Qing, et al. "Docetaxel-loaded solid lipid nanoparticles suppress breast cancer cells growth with reduced myelosuppression toxicity." International Journal of Nanomedicine 9 (2014): 4829.} {WB} {="Mouse"}
[IF={{ 4.165 }}] {Juil Kim. et al. Mucosal ribosomal stress-induced PRDM1 promotes chemoresistance via stemness regulation. Commun Biol. 2021 May;4(1):1-14} {WB,IHC} {Human}
[IF={{ 3.5 }}] {Nanchi Zhang. et al. Yak IGFBP3 promotes hepatocyte proliferation through PI3K-Akt signaling pathway. GENE. 2024 Jul;917:148460} {IHC} {Bovine}
[IF={{ 2.656 }}] {Liu et al. Effects of insulin-like growth factor binding protein 3 on apoptosis of cutaneous squamous cell carcinoma cells. (2018) Onco.Targets.Ther. 11:6569-6577} {WB,IHC} {Human}
[IF={{ 2.431 }}] {Suwei Chen. et al. Insulin‐like growth factor‐binding protein 3 inhibits angiotensin II‐induced aortic smooth muscle cell phenotypic switch and matrix metalloproteinase expression. Exp Physiol. 2020 Nov;105(11):1827-1839} {WB,IF,IHC} {Mouse}
= NAL), appears to form upon oxidative cyclization of the nonfluorescent 2:1 lysine-HNE Michael adduct-Schiff base cross-link (Scheme 1). Polyclonal antibody (PAb) to the NAL-HNE fluorophore was raised in rabbit and found to be highly specific
GE Healthcare Benzamidine Sepharose™ 6B is p-aminobenzamidine covalently attached to Sepharose 6B by the epoxy coupling method. p-Aminobenzamidine (PAB), is a synthetic inhibitor of trypsin-like serine protease. Trypsin and trypsin
Nucleic Acid Programmable Protein Arrays: Versatile Tools for Array‐Based Functional Protein Studies
.g., Sigma) 50 mg/ml bis‐sulfosuccinimdylsuberate (BS3 ;Pierce, cat. no. PI 21580) in dimethylsulfoxide (DMSO) 5 mg/ml
技术资料暂无技术资料 索取技术资料






