相关产品推荐更多 >
万千商家帮你免费找货
0 人在求购买到急需产品
- 详细信息
- 文献和实验
- 技术资料
- 应用范围:
产品信息以Bioss网站为准
- 规格:
50ul/100ul/200ul
| 规格: | 50ul | 产品价格: | ¥1180.0 |
|---|---|---|---|
| 规格: | 100ul | 产品价格: | ¥1980.0 |
| 规格: | 200ul | 产品价格: | ¥2800.0 |
| 产品编号 | bs-7686R |
| 英文名称 | GPR55 Rabbit pAb |
| 中文名称 | 蛋白偶联受体55抗体 |
| 英文别名 | GPCR GPR55; G protein coupled receptor 55; G protein-coupled receptor 55; G protein-coupled receptor 55; GPCR GPR55; GPR 55; GPR55; Probable G protein coupled receptor 55; GPR55_HUMAN. |
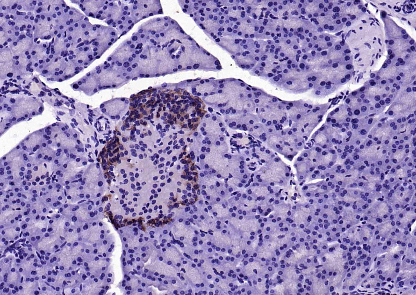
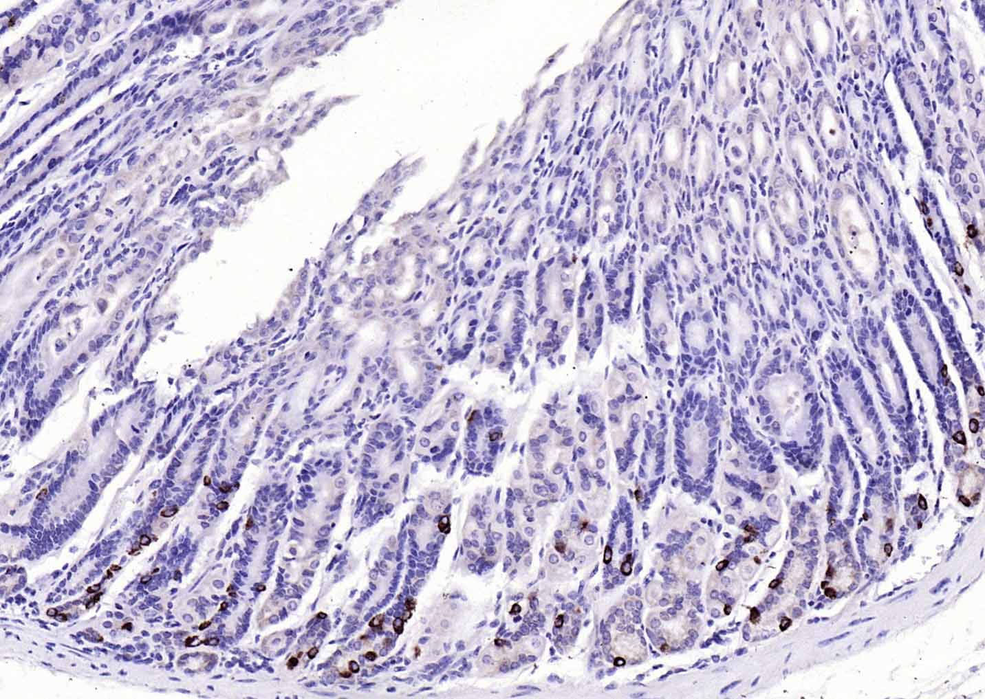
| 产品应用 | WB=1:500-2000, IHC-P=1:100-500, IHC-F=1:100-500, IF=1:100-500, Flow-Cyt=2ug/Test Not yet tested in other applications. |
| 交叉反应 | Human, Mouse, Rat (Chicken, Dog, Horse, Rabbit) |
| 抗体来源 | Rabbit |
| 免疫原 | KLH conjugated synthetic peptide derived from human GPR55 |
| 亚型 | IgG |
| 性状 | Liquid |
| 纯化方法 | affinity purified by Protein A |
| 克隆类型 | Polyclonal |
| 理论分子量 | 37 kDa |
| 浓度 | 1mg/ml |
| 储存液 | 0.01M TBS (pH7.4) with 1% BSA, 0.02% Proclin300 and 50% Glycerol. |
| 亚细胞定位 | Cell membrane; Multi-pass membrane protein. |
| 组织特异性 | Expressed in the caudate nucleus and putamen, but not detected in the hippocampus, thalamus, pons cerebellum, frontal cortex of the brain or in the liver. Expressed in osteoclasts and osteoblasts. |
| 翻译后修饰 | |
| 相似性 | Belongs to the G-protein coupled receptor 1 family. |
| 功能 | May be involved in hyperalgesia associated with inflammatory and neuropathic pain. Receptor for L-alpha-lysophosphatidylinositol (LPI). LPI induces Ca(2+) release from intracellular stores via the heterotrimeric G protein GNA13 and RHOA. Putative cannabinoid receptor. May play a role in bone physiology by regulating osteoclast number and function. |
| 保存条件 | Shipped at 4℃. Store at -20℃ for one year. Avoid repeated freeze/thaw cycles. |
| 注意事项 | This product as supplied is intended for research use only, not for use in human, therapeutic or diagnostic applications. |
| 背景资料 | G protein-coupled receptors (GPCRs, or GPRs) contain 7 transmembrane domains and transduce extracellular signals through heterotrimeric G proteins. GPCR GPR55 is a member of this family (subfamily Orphan-A). It has been reported to be expressed in the brain, where mRNA transcripts were detected in the caudate nucleus and putamen, but not detected in the hippocampus, thalamus, pons cerebellum, frontal cortex of the brain. ESTs have been isolated from liver/spleen libraries. |
| 应用 | 推荐稀释比例 |
| {WB} | {1:500-2000} |
| {IHC-P} | {1:100-500} |
| {IHC-F} | {1:100-500} |
| {IF} | {1:100-500} |
| {Flow-Cyt} | {2ug/Test} |



Primary Antibody: Rabbit Anti-GPR55/AF488 Conjugated antibody (bs-7686R-AF488), Dilution: 5μg in 100 μL 1X PBS containing 0.5% BSA;
Isotype Control Antibody: Rabbit IgG/AF488(orange) ,used under the same conditions.

Lane 1: Human U87MG cell lysates
Lane 2: Human U251 cell lysates
Lane 3: Human U2os cell lysates
Primary:
Anti-GPR55 (bs-7686R) at 1/1000 dilution
Secondary: IRDye800CW Goat Anti-Rabbit IgG at 1/20000 dilution
Predicted band size: 37 kD
Observed band size: 37 kD
风险提示:丁香通仅作为第三方平台,为商家信息发布提供平台空间。用户咨询产品时请注意保护个人信息及财产安全,合理判断,谨慎选购商品,商家和用户对交易行为负责。对于医疗器械类产品,请先查证核实企业经营资质和医疗器械产品注册证情况。
文献和实验[IF={{ 6.8 }}] {He Yi. et al. GPR55 is expressed in glutamate neurons and functionally modulates drug taking and seeking in rats and mice. TRANSL PSYCHIAT. 2024 Feb;14(1):1-12} {Other} {}
[IF={{ 2.537 }}] {Rodolfo Sánchez-Zavaleta. et al. Presynaptic nigral GPR55 receptors stimulate [3H]-GABA release through [3H]-cAMP production and PKA activation and promote motor behavior. SYNAPSE. 2022 Jul;:} {WB} {Rat, Human}
= NAL), appears to form upon oxidative cyclization of the nonfluorescent 2:1 lysine-HNE Michael adduct-Schiff base cross-link (Scheme 1). Polyclonal antibody (PAb) to the NAL-HNE fluorophore was raised in rabbit and found to be highly specific
GE Healthcare Benzamidine Sepharose™ 6B is p-aminobenzamidine covalently attached to Sepharose 6B by the epoxy coupling method. p-Aminobenzamidine (PAB), is a synthetic inhibitor of trypsin-like serine protease. Trypsin and trypsin
Nucleic Acid Programmable Protein Arrays: Versatile Tools for Array‐Based Functional Protein Studies
.g., Sigma) 50 mg/ml bis‐sulfosuccinimdylsuberate (BS3 ;Pierce, cat. no. PI 21580) in dimethylsulfoxide (DMSO) 5 mg/ml
技术资料暂无技术资料 索取技术资料









