相关产品推荐更多 >

phospho-Bcl-xL (Ser62) Rabbit pAb, BF680 conjugated(bs-1337R-BF680)-100ul
¥2980
MAT2B Rabbit pAb(bs-4480R)-50ul/100ul/200ul
¥1180
Syntaxin-1B Rabbit pAb(bs-20575R)-50ul/100ul/200ul
¥1180
MST1 Rabbit pAb, HRP conjugated(bs-3504R-HRP)-100ul
¥2980
Bacillus anthraci protein Rabbit pAb, Biotin conjugated(bs-4948R-Bio)-100ul
¥2980
万千商家帮你免费找货
0 人在求购买到急需产品
- 详细信息
- 文献和实验
- 技术资料
- 应用范围:
产品信息以Bioss网站为准
- 规格:
50ul/100ul/200ul
| 规格: | 50ul | 产品价格: | ¥1180.0 |
|---|---|---|---|
| 规格: | 100ul | 产品价格: | ¥1980.0 |
| 规格: | 200ul | 产品价格: | ¥2800.0 |
| 产品编号 | bs-1212R |
| 英文名称 | TRAF1 Rabbit pAb |
| 中文名称 | 肿瘤坏死因子受体相关因子1抗体 |
| 英文别名 | TNF receptor-associated factor 1; 4732496E14Rik; EBV induced protein 6; Epstein-Barr virus-induced protein 6; Tnf receptor associated factor 1; TRAF 1; TRAF1_HUMAN. |
| 产品应用 | IHC-P=1:100-500, IHC-F=1:100-500, IF=1:100-500 Not yet tested in other applications. |
| 交叉反应 | Human, Mouse, Rat (Dog, Cow, Horse, Rabbit) |
| 抗体来源 | Rabbit |
| 免疫原 | KLH conjugated synthetic peptide derived from human TRAF1 |
| 亚型 | IgG |
| 性状 | Liquid |
| 纯化方法 | affinity purified by Protein A |
| 克隆类型 | Polyclonal |
| 理论分子量 | 46 kDa |
| 浓度 | 1mg/ml |
| 储存液 | 0.01M TBS (pH7.4) with 1% BSA, 0.02% Proclin300 and 50% Glycerol. |
| 研究领域 | Cancer > Growth factors > TNF Cell Biology > Cell Cycle > Kinases/Phosphatases Epigenetics and Nuclear Signaling > Nuclear Signaling Pathways > NFkB pathway Microbiology > Interspecies Interaction > Host Virus Interaction Signal Transduction > Growth Factors/Hormones > TNF Signal Transduction > Signaling Pathway > Nuclear Signaling > NFkB Pathway |
| 亚基 | Homotrimer. Heterotrimer with TRAF2. Interacts with TNFRSF1A/TNFR1, TNFRSF1B/TNFR2, TNFRSF4, TNFRSF5/CD40, TNFRSF8/CD30, TNFRSF9/CD137, TNFRSF11A/RANK, TNFRSF13C, TNFRSF18/AITR, TNFRSF17/BCMA, TNFRSF19/TROY, TNFRSF19L/RELT, XEDAR, EDAR, Epstein-Barr virus BNFL1/LMP-1, TANK/ITRAF, TRAIP and RIPK2. Interacts with BIRC2 and BIRC3 N-terminus; a single BIRC2 or BIRC3 molecule interacts with a heterotrimer formed by TRAF1 and TRAF2. Interacts with NFATC2IP, TRAFD1 and with HIVEP3 (By similarity). Interacts with MAP3K14. |
| 翻译后修饰 | Polyubiquitinated by BIRC2 and/or BIRC3, leading to its subsequent proteasomal degradation. |
| 相似性 | Contains 1 MATH domain. |
| 功能 | Adapter molecule that regulates the activation of NF-kappa-B and JNK. Plays a role in the regulation of cell survival and apoptosis. The heterotrimer formed by TRAF1 and TRAF2 is part of a E3 ubiquitin-protein ligase complex that promotes ubiquitination of target proteins, such as MAP3K14. The TRAF1/TRAF2 complex recruits the antiapoptotic E3 protein-ubiquitin ligases BIRC2 and BIRC3 to TNFRSF1B/TNFR2. |
| 保存条件 | Shipped at 4℃. Store at -20℃ for one year. Avoid repeated freeze/thaw cycles. |
| 注意事项 | This product as supplied is intended for research use only, not for use in human, therapeutic or diagnostic applications. |
| 背景资料 | The protein encoded by this gene is a member of the TNF receptor (TNFR) associated factor (TRAF) protein family. TRAF proteins associate with, and mediate the signal transduction from various receptors of the TNFR superfamily. This protein and TRAF2 form a heterodimeric complex, which is required for TNF-alpha-mediated activation of MAPK8/JNK and NF-kappaB. The protein complex formed by this protein and TRAF2 also interacts with inhibitor-of-apoptosis proteins (IAPs), and thus mediates the anti-apoptotic signals from TNF receptors. The expression of this protein can be induced by Epstein-Barr virus (EBV). EBV infection membrane protein 1 (LMP1) is found to interact with this and other TRAF proteins; this interaction is thought to link LMP1-mediated B lymphocyte transformation to the signal transduction from TNFR family receptors. [provided by RefSeq]. |
| 应用 | 推荐稀释比例 |
| {IHC-P} | {1:100-500} |
| {IHC-F} | {1:100-500} |
| {IF} | {1:100-500} |

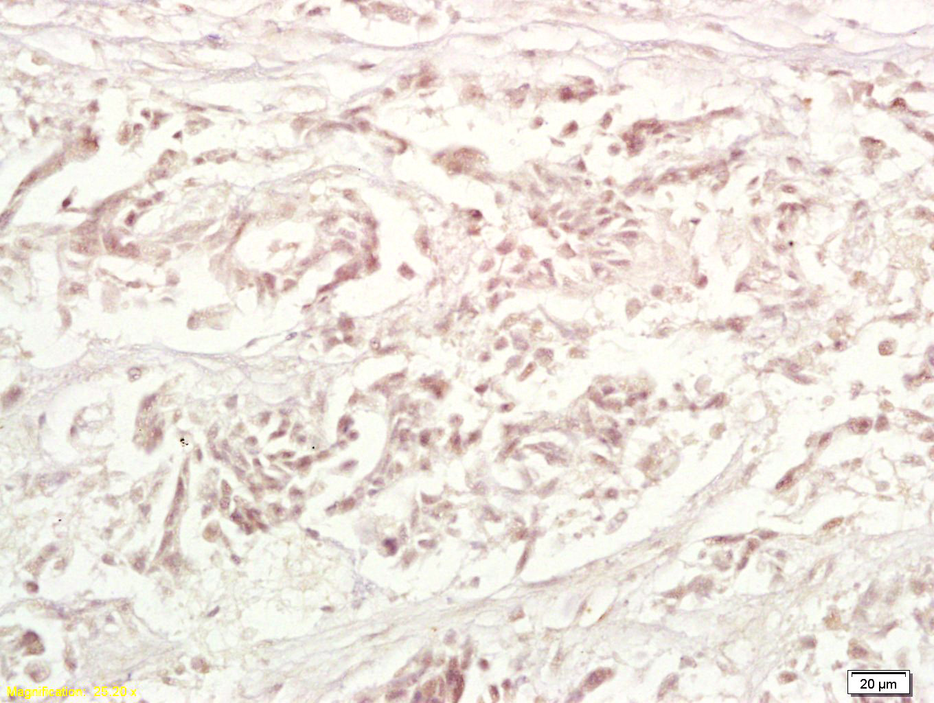
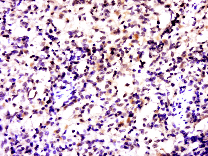
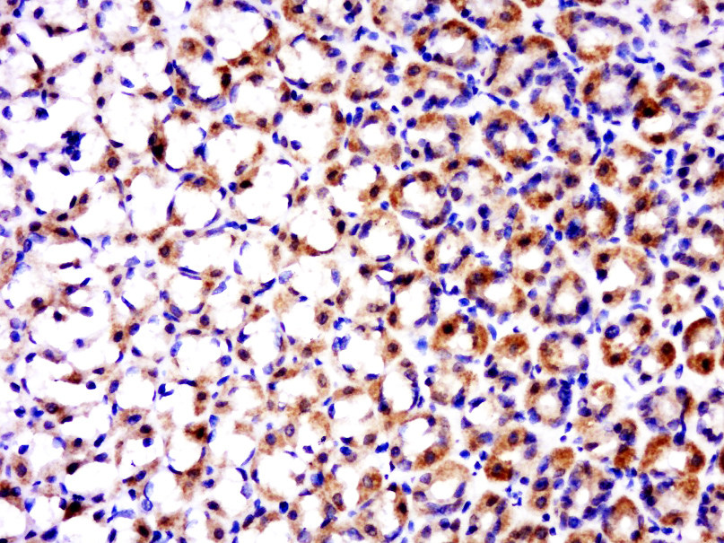
Antigen retrieval: citrate buffer ( 0.01M, pH 6.0 ), Boiling bathing for 15min; Block endogenous peroxidase by 3% Hydrogen peroxide for 30min; Blocking buffer (normal goat serum,C-0005) at 37℃ for 20 min;
Incubation: Anti-TRAF1 Polyclonal Antibody, Unconjugated(bs-1212R) 1:200, overnight at 4°C, followed by conjugation to the secondary antibody(SP-0023) and DAB(C-0010) staining


风险提示:丁香通仅作为第三方平台,为商家信息发布提供平台空间。用户咨询产品时请注意保护个人信息及财产安全,合理判断,谨慎选购商品,商家和用户对交易行为负责。对于医疗器械类产品,请先查证核实企业经营资质和医疗器械产品注册证情况。
文献和实验[IF={{ 3.3 }}] {Wang et al. Comparative genomic study of gastric epithelial cells co-cultured with Helicobacter pylori. (2012) World.J.Gastroenterol. 18:7212-24} {IHC} {Human, Mouse, Rat, Dog, Cow, Horse, Rabbit}
[IF={{ 2.674 }}] {Yao Zheng. et al. Comparative proteomic analysis of spleen reveals key immune-related proteins in the yak (Bos grunniens) at different growth stages. Comp Biochem Phys D. 2022 Jun;42:100968} {IHC} {Yak}
= NAL), appears to form upon oxidative cyclization of the nonfluorescent 2:1 lysine-HNE Michael adduct-Schiff base cross-link (Scheme 1). Polyclonal antibody (PAb) to the NAL-HNE fluorophore was raised in rabbit and found to be highly specific
GE Healthcare Benzamidine Sepharose™ 6B is p-aminobenzamidine covalently attached to Sepharose 6B by the epoxy coupling method. p-Aminobenzamidine (PAB), is a synthetic inhibitor of trypsin-like serine protease. Trypsin and trypsin
Nucleic Acid Programmable Protein Arrays: Versatile Tools for Array‐Based Functional Protein Studies
.g., Sigma) 50 mg/ml bis‐sulfosuccinimdylsuberate (BS3 ;Pierce, cat. no. PI 21580) in dimethylsulfoxide (DMSO) 5 mg/ml
技术资料暂无技术资料 索取技术资料






