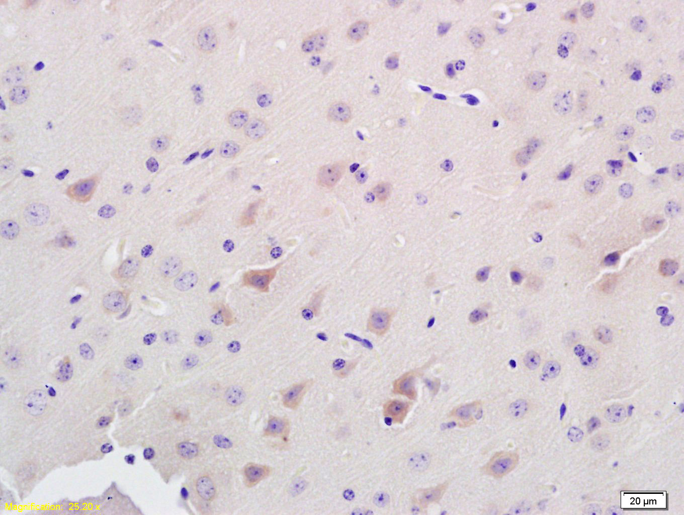
Tissue/cell: rat brain tissue; 4% Paraformaldehyde-fixed and paraffin-embedded;
Antigen retrieval: citrate buffer ( 0.01M, pH 6.0 ), Boiling bathing for 15min; Block endogenous peroxidase by 3% Hydrogen peroxide for 30min; Blocking buffer (normal goat serum,C-0005) at 37℃ for 20 min;
Incubation: Anti-ADAMTS7 Polyclonal Antibody, Unconjugated(bs-0733R) 1:200, overnight at 4°C, followed by conjugation to the secondary antibody(SP-0023) and DAB(C-0010) staining
相关产品推荐更多 >
万千商家帮你免费找货
0 人在求购买到急需产品
- 详细信息
- 技术资料
- 应用范围:
产品信息以Bioss网站为准
- 规格:
50ul/100ul/200ul
| 规格: | 50ul | 产品价格: | ¥1180.0 |
|---|---|---|---|
| 规格: | 100ul | 产品价格: | ¥1980.0 |
| 规格: | 200ul | 产品价格: | ¥2800.0 |
| 产品编号 | bs-0733R |
| 英文名称 | ADAMTS7(NT) Rabbit pAb |
| 中文名称 | 整合素样金属蛋白酶与凝血酶1型-7( (N端)抗体 |
| 英文别名 | A disintegrin and metalloproteinase with thrombospondin motifs 7; ADAM metallopeptidase with thrombospondin type 1 motif 7; A disintegrin and metalloprotease with thrombospondin motifs 7 preproprotein; A disintegrin and metalloproteinase with thrombospondin motifs 7; A disintegrin like and metalloprotease(reprolysin type) with thrombospondin type 1 motif 7; A disintegrin like and metalloprotease with thrombospondin type 1 motif 7; ADAM metallopeptidase with thrombospondin type 1 motif 7; ADAM metallopeptidase with thrombospondin type 1 motif 7 preproprotein; ADAM TS 7; ADAM TS7; ADAMTS 7; ADAMTS7; COMPase; DKFZp434H204; ATS7_MOUSE. |
| 产品应用 | WB=1:500-2000, IHC-P=1:100-500, IHC-F=1:100-500, IF=1:100-500 Not yet tested in other applications. |
| 交叉反应 | Mouse, Rat (Human) |
| 抗体来源 | Rabbit |
| 免疫原 | KLH conjugated synthetic peptide derived from human ADAMTS7 |
| 亚型 | IgG |
| 性状 | Liquid |
| 纯化方法 | affinity purified by Protein A |
| 克隆类型 | Polyclonal |
| 理论分子量 | 158 kDa |
| 浓度 | 1mg/ml |
| 储存液 | 0.01M TBS (pH7.4) with 1% BSA, 0.02% Proclin300 and 50% Glycerol. |
| 研究领域 | Cell Biology > Proteolysis / Ubiquitin > Proteolytic enzymes > Metalloprotease > ADAM TS Signal Transduction > Cytoskeleton / ECM > Extracellular Matrix > ECM Enzymes > ADAM Protein Family |
| 亚基 | Interacts with COMP. |
| 亚细胞定位 | Secreted, extracellular space, extracellular matrix. Note=Also found associated with the external cell surface. |
| 组织特异性 | Expressed in heart, brain, placenta, lung, liver, skeletal muscle, kidney and pancreas. Detected in meniscus, bone, tendon, cartilage, synovium, fat and ligaments. |
| 翻译后修饰 | N-glycosylated. O-glycosylated proteoglycan. Contains chondroitin sulfate (By similarity). May be cleaved by a furin endopeptidase (By similarity). The precursor is sequentially processed. |
| 相似性 | Contains 1 disintegrin domain. Contains 1 peptidase M12B domain. Contains 1 PLAC domain. Contains 8 TSP type-1 domains. |
| 功能 | Metalloprotease that may play a role in the degradation of COMP. |
| 保存条件 | Shipped at 4℃. Store at -20℃ for one year. Avoid repeated freeze/thaw cycles. |
| 注意事项 | This product as supplied is intended for research use only, not for use in human, therapeutic or diagnostic applications. |
| 背景资料 | Metalloprotease that may play a role in the degradation of COMP. Binds 1 zinc ion per subunit. pH dependence: Optimum pH is between 7.5 and 9.5. [Subcellular location] Secreted, extracellular space, extracellular matrix (By similarity). Note=Also found associated with the external cell surface[Tissue specificity] Expressed in heart, brain, placenta, lung, liver, skeletal muscle, kidney and pancreas. Detected in meniscus, bone, tendon, cartilage, synovium, fat and ligaments. Up-regulated in articular cartilage and synovium from arthritis patients. |
| 应用 | 推荐稀释比例 |
| {WB} | {1:500-2000} |
| {IHC-P} | {1:100-500} |
| {IHC-F} | {1:100-500} |
| {IF} | {1:100-500} |


Tissue/cell: rat brain tissue;4% Paraformaldehyde-fixed and paraffin-embedded;
Antigen retrieval: citrate buffer ( 0.01M, pH 6.0 ), Boiling bathing for 15min; Blocking buffer (normal goat serum,C-0005) at 37℃ for 20 min;
Incubation: Anti-ADAMTS7 Polyclonal Antibody, Unconjugated(bs-0733R) 1:200, overnight at 4°C; The secondary antibody was Goat Anti-Rabbit IgG, Cy3 conjugated(bs-0295G-Cy3)used at 1:200 dilution for 40 minutes at 37°C. DAPI(5ug/ml,blue,C-0033) was used to stain the cell nuclei
Antigen retrieval: citrate buffer ( 0.01M, pH 6.0 ), Boiling bathing for 15min; Blocking buffer (normal goat serum,C-0005) at 37℃ for 20 min;
Incubation: Anti-ADAMTS7 Polyclonal Antibody, Unconjugated(bs-0733R) 1:200, overnight at 4°C; The secondary antibody was Goat Anti-Rabbit IgG, Cy3 conjugated(bs-0295G-Cy3)used at 1:200 dilution for 40 minutes at 37°C. DAPI(5ug/ml,blue,C-0033) was used to stain the cell nuclei

Sample:
Cerebrum (Mouse) Lysate at 40 ug
Primary: Anti- ADAMTS7(NT) (bs-0733R) at 1/1000 dilution
Secondary: IRDye800CW Goat Anti-Rabbit IgG at 1/20000 dilution
Predicted band size: 158 kD
Observed band size: 158 kD
Cerebrum (Mouse) Lysate at 40 ug
Primary: Anti- ADAMTS7(NT) (bs-0733R) at 1/1000 dilution
Secondary: IRDye800CW Goat Anti-Rabbit IgG at 1/20000 dilution
Predicted band size: 158 kD
Observed band size: 158 kD

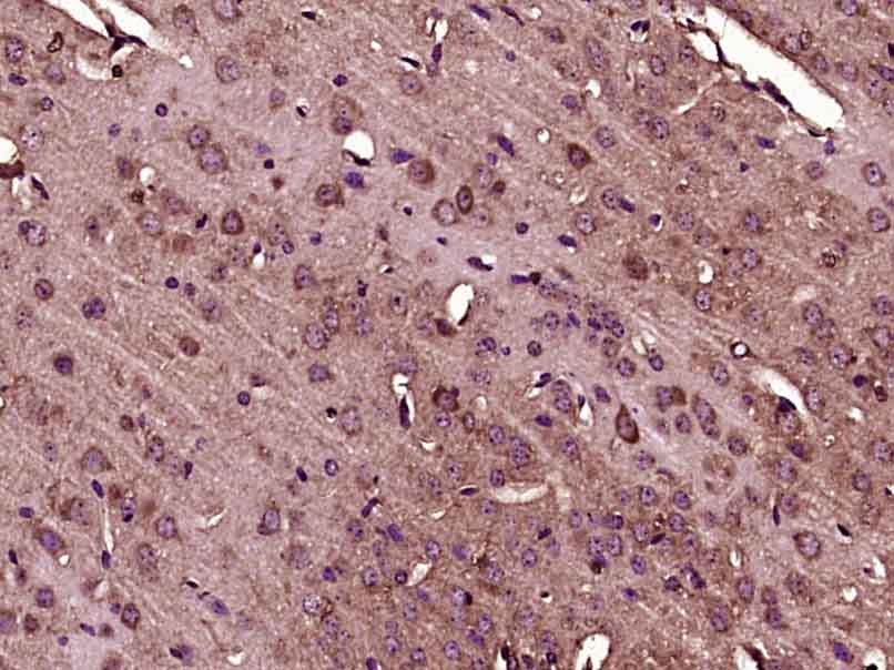
Paraformaldehyde-fixed, paraffin embedded (Mouse brain); Antigen retrieval by boiling in sodium citrate buffer (pH6.0) for 15min; Block endogenous peroxidase by 3% hydrogen peroxide for 20 minutes; Blocking buffer (normal goat serum) at 37°C for 30min; Antibody incubation with (ADAMTS7(NT)) Polyclonal Antibody, Unconjugated (bs-0733R) at 1:400 overnight at 4°C, followed by operating according to SP Kit(Rabbit) (sp-0023) instructionsand DAB staining.
风险提示:丁香通仅作为第三方平台,为商家信息发布提供平台空间。用户咨询产品时请注意保护个人信息及财产安全,合理判断,谨慎选购商品,商家和用户对交易行为负责。对于医疗器械类产品,请先查证核实企业经营资质和医疗器械产品注册证情况。
技术资料暂无技术资料 索取技术资料
ADAMTS7(NT) Rabbit pAb(bs-0733R)-50ul/100ul/200ul
¥1180 - 2800








