相关产品推荐更多 >
万千商家帮你免费找货
0 人在求购买到急需产品
- 详细信息
- 文献和实验
- 技术资料
- 应用范围:
产品信息以Bioss网站为准
- 规格:
50ul/100ul/200ul
| 规格: | 50ul | 产品价格: | ¥1180.0 |
|---|---|---|---|
| 规格: | 100ul | 产品价格: | ¥1980.0 |
| 规格: | 200ul | 产品价格: | ¥2800.0 |
| 产品编号 | bs-0568R |
| 英文名称 | CDK6 Rabbit pAb |
| 中文名称 | 周期素依赖性激酶6抗体 |
| 英文别名 | CDK 6; CDK6; Cell division protein kinase 6; Crk 2; Crk2; Cyclin dependent kinase 6; Cyclin-dependent kinase 6; MGC59692; p40; PLSTIRE; Serine/threonine-protein kinase PLSTIRE; STQTL11; CDK6_HUMAN; PLSTIRE; Serine/threonine protein kinase PLSTIRE. |
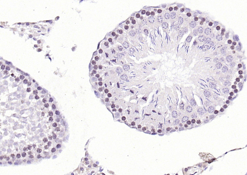
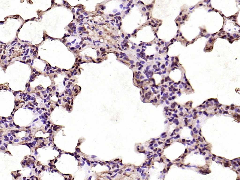
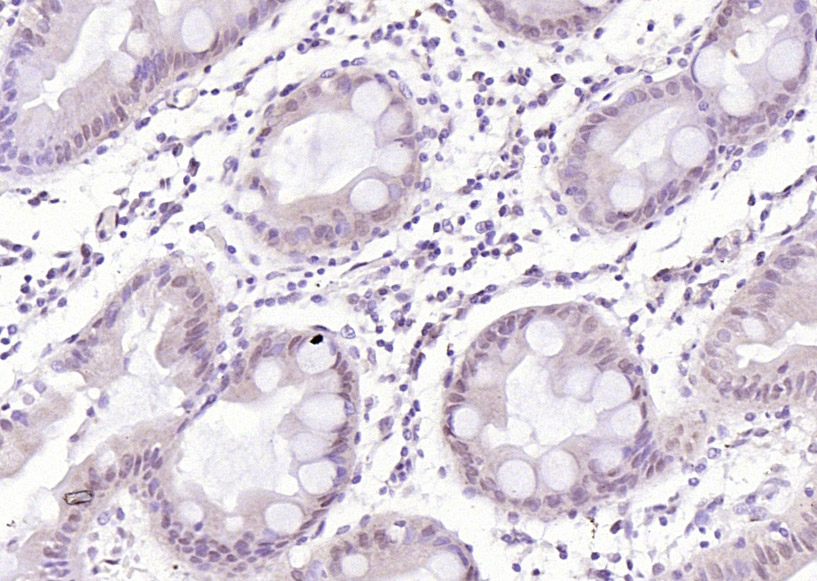
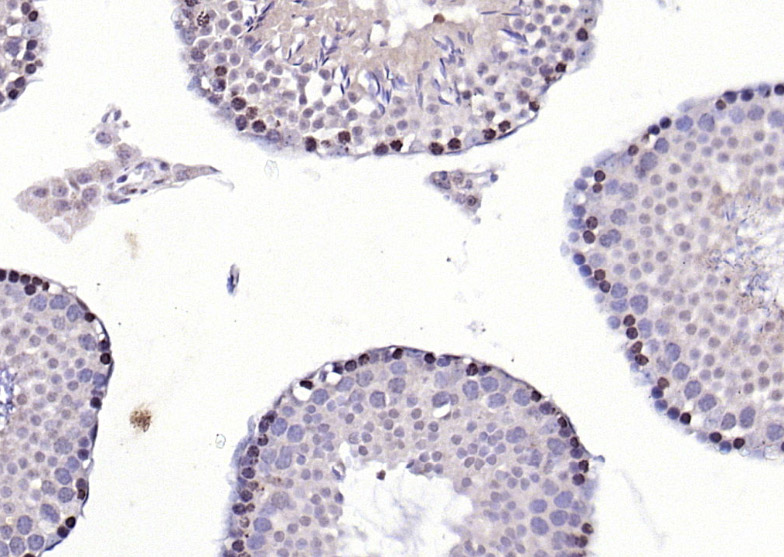
| 产品应用 | WB=1:500-2000, IHC-P=1:100-500, IHC-F=1:100-500, IF=1:100-500, Flow-Cyt=1ug/test Not yet tested in other applications. |
| 交叉反应 | Human, Mouse, Rat (Dog, Cow, Horse) |
| 抗体来源 | Rabbit |
| 免疫原 | KLH conjugated synthetic peptide derived from human CDK6 |
| 亚型 | IgG |
| 性状 | Liquid |
| 纯化方法 | affinity purified by Protein A |
| 克隆类型 | Polyclonal |
| 理论分子量 | 37 kDa |
| 浓度 | 1mg/ml |
| 储存液 | 0.01M TBS (pH7.4) with 1% BSA, 0.02% Proclin300 and 50% Glycerol. |
| 研究领域 | Cancer > Cell cycle > Kinases/phosphatases > Cdks Cell Biology > Cell Cycle > Kinases/Phosphatases > Cdks Epigenetics and Nuclear Signaling > Cell cycle > Kinases/Phosphatases > Cdks |
| 亚基 | Interaction with D-type G1 cyclins. Cyclin binding promotes enzyme activation by phosphorylation at Thr-177. Binds to RUNX1, CDKN2D, FBXO7 and CDKN2C/p18-INK4c. Forms a cytoplasmic complex with Hsp90/HSP90AB1 and CDC37. FBXO7-binding promotes D-type cyclin binding. Interacts with Kaposi's sarcoma herpesvirus (KSHV) V-cyclin and herpesvirus saimiri (V-cyclin/ECLF2); the CDK6/V-cyclin complex phosphorylates NPM1 and thus lead to viral reactivation by reducing viral LANA levels. |
| 亚细胞定位 | Cytoplasm. Nucleus. Cell projection, ruffle. Note=Localized to the ruffling edge of spreading fibroblasts. Kinase activity only in nucleus. |
| 组织特异性 | Expressed ubiquitously. Accumulates in squamous cell carcinomas, proliferating hematopoietic progenitor cells, beta-cells of pancreatic islets of Langerhans, and neuroblastomas. Reduced levels in differentiating cells. |
| 翻译后修饰 | Thr-177 phosphorylation and Tyr-24 dephosphorylation promotes kinase activity. |
| 相似性 | Belongs to the protein kinase superfamily. CMGC Ser/Thr protein kinase family. CDC2/CDKX subfamily. Contains 1 protein kinase domain. |
| 功能 | Serine/threonine-protein kinase involved in the control of the cell cycle and differentiation; promotes G1/S transition. Phosphorylates pRB/RB1 and NPM1. Interacts with D-type G1 cyclins during interphase at G1 to form a pRB/RB1 kinase and controls the entrance into the cell cycle. Involved in initiation and maintenance of cell cycle exit during cell differentiation; prevents cell proliferation and regulates negatively cell differentiation, but is required for the proliferation of specific cell types (e.g. erythroid and hematopoietic cells). Essential for cell proliferation within the dentate gyrus of the hippocampus and the subventricular zone of the lateral ventricles. Required during thymocyte development. Promotes the production of newborn neurons, probably by modulating G1 length. Promotes, at least in astrocytes, changes in patterns of gene expression, changes in the actin cytoskeleton including loss of stress fibers, and enhanced motility during cell differentiation. Prevents myeloid differentiation by interfering with RUNX1 and reducing its transcription transactivation activity, but promotes proliferation of normal myeloid progenitors. Delays senescence. Promotes the proliferation of beta-cells in pancreatic islets of Langerhans. |
| 保存条件 | Shipped at 4℃. Store at -20℃ for one year. Avoid repeated freeze/thaw cycles. |
| 注意事项 | This product as supplied is intended for research use only, not for use in human, therapeutic or diagnostic applications. |
| 背景资料 | The protein encoded by this gene is a member of the cyclin-dependent protein kinase (CDK) family. CDK family members are highly similar to the gene products of Saccharomyces cerevisiae cdc28, and Schizosaccharomyces pombe cdc2, and are known to be important regulators of cell cycle progression. This kinase is a catalytic subunit of the protein kinase complex that is important for cell cycle G1 phase progression and G1/S transition. The activity of this kinase first appears in mid-G1 phase, which is controlled by the regulatory subunits including D-type cyclins and members of INK4 family of CDK inhibitors. |
| 应用 | 推荐稀释比例 |
| {WB} | {1:500-2000} |
| {IHC-P} | {1:100-500} |
| {IHC-F} | {1:100-500} |
| {IF} | {1:100-500} |
| {Flow-Cyt} | {1ug/test} |



A431(Human) Cell Lysate at 30 ug
Primary: Anti-CDK6 (bs-0568R) at 1/500 dilution
Secondary: IRDye800CW Goat Anti-Rabbit IgG at 1/20000 dilution
Predicted band size: 37 kD
Observed band size: 35 kD





Primary Antibody (green line): Rabbit Anti-CDK6 antibody (bs-0568R)
Dilution: 1μg /10^6 cells;
Isotype Control Antibody (orange line): Rabbit IgG .
Secondary Antibody : Goat anti-rabbit IgG-AF647
Dilution: 1μg /test.
Protocol
The cells were fixed with 4% PFA (10min at room temperature)and then permeabilized with 90% ice-cold methanol for 20 min at-20℃. The cells were then incubated in 5%BSA to block non-specific protein-protein interactions for 30 min at at room temperature .Cells stained with Primary Antibody for 30 min at room temperature. The secondary antibody used for 40 min at room temperature. Acquisition of 20,000 events was performed.
风险提示:丁香通仅作为第三方平台,为商家信息发布提供平台空间。用户咨询产品时请注意保护个人信息及财产安全,合理判断,谨慎选购商品,商家和用户对交易行为负责。对于医疗器械类产品,请先查证核实企业经营资质和医疗器械产品注册证情况。
文献和实验[IF={{ 5.168 }}] {He, Xiaoqin, et al. "Long non-coding RNA AK058003, as a precursor of miR-15a, interacts with HuR to inhibit the expression of Υ-synuclein in hepatocellular carcinoma cells." Oncotarget 8.6 (2017): 9451.} {WB} {="Human"}
[IF={{ 4.9 }}] {Gegentuya Bao. et al. LPAR6 Inhibits the Progression of Hepatocellular Carcinoma (HCC) by Suppressing the Nuclear Translocation of YAP/TAZ. INT J MOL SCI. 2025 Jan;26(9):4205} {WB} {Human}
[IF={{ 3.9 }}] {Zhang, Haifeng, et al. "The ClC-3 chloride channel protein is a downstream target of cyclin D1 in nasopharyngeal carcinoma cells." The international journal of biochemistry & cell biology 45.3 (2013): 672-683.} {Other} {=""}
[IF={{ 3.74 }}] {Hu, Zheng, et al. "5-Aminolevulinic acid-mediated sonodynamic therapy induces anti-tumor effects in malignant melanoma via p53-miR-34a-Sirt1 axis." Journal of dermatological science 79.2 (2015): 155-162.} {WB} {="Mouse"}
[IF={{ 3.337 }}] {Yunping Lu. et al. Peroxiredoxin1 Knockdown Inhibits Oral Carcinogenesis via Inducing Cell Senescence Dependent on Mitophagy. Oncotargets Ther. 2021; 14: 239–251} {IHC} {Mouse}
= NAL), appears to form upon oxidative cyclization of the nonfluorescent 2:1 lysine-HNE Michael adduct-Schiff base cross-link (Scheme 1). Polyclonal antibody (PAb) to the NAL-HNE fluorophore was raised in rabbit and found to be highly specific
GE Healthcare Benzamidine Sepharose™ 6B is p-aminobenzamidine covalently attached to Sepharose 6B by the epoxy coupling method. p-Aminobenzamidine (PAB), is a synthetic inhibitor of trypsin-like serine protease. Trypsin and trypsin
Nucleic Acid Programmable Protein Arrays: Versatile Tools for Array‐Based Functional Protein Studies
.g., Sigma) 50 mg/ml bis‐sulfosuccinimdylsuberate (BS3 ;Pierce, cat. no. PI 21580) in dimethylsulfoxide (DMSO) 5 mg/ml
技术资料暂无技术资料 索取技术资料









