相关产品推荐更多 >

PRAK Rabbit pAb(bs-4137R)-50ul/100ul/200ul
¥1180
Parvalbumin Rabbit pAb, BF750 conjugated(bs-1299R-BF750)-100ul
¥2980
human CD15 (SSEA-1) Mouse mAb, FITC conjugated(bsm-30016M-FITC)-25T/50T/100T
¥1080
KAT3A / CBP Rabbit pAb, Cy5.5 conjugated(bs-12395R-Cy5.5)-100ul
¥2980
LEAP2 Rabbit pAb, HRP conjugated(bs-18211R-HRP)-100ul
¥2980
万千商家帮你免费找货
0 人在求购买到急需产品
- 详细信息
- 文献和实验
- 技术资料
- 应用范围:
产品信息以Bioss网站为准
- 规格:
50ul/100ul/200ul
| 规格: | 50ul | 产品价格: | ¥1180.0 |
|---|---|---|---|
| 规格: | 100ul | 产品价格: | ¥1980.0 |
| 规格: | 200ul | 产品价格: | ¥2800.0 |
| 产品编号 | bs-10162R |
| 英文名称 | ALDH1A1 Rabbit pAb |
| 中文名称 | 乙醛脱氢酶1型抗体 |
| 英文别名 | cytosolic; Acetaldehyde dehydrogenase 1; AHD2; Ahd-2; AL1A1_HUMAN; ALDC; Aldehyde dehydrogenase 1 family member A1; Aldehyde dehydrogenase 1 soluble; Aldehyde dehydrogenase 1A1; Aldehyde Dehydrogenase; Aldehyde dehydrogenase cytosolic; Aldehyde dehydrogenase family 1 member A1; Aldehyde dehydrogenase liver cytosolic; ALDH 1; ALDH 1A1; ALDH class 1; ALDH-E1; ALDH1 A1; ALDH1; ALDH11; ALHDII; MGC2318; PUMB1; RALDH 1; RalDH1; Retinal dehydrogenase 1; ALDEHYDE DEHYDROGENASE A1; Aldehyde Dehydrogenase Family 1, Subfamily A1. |
| 产品应用 | WB=1:500-2000, IHC-P=1:100-500, IHC-F=1:100-500, IF=1:100-500 Not yet tested in other applications. |
| 交叉反应 | Human, Mouse (Rat, Cow, Horse, Rabbit, Sheep, Pig) |
| 抗体来源 | Rabbit |
| 免疫原 | KLH conjugated synthetic peptide derived from human ALDH1 |
| 亚型 | IgG |
| 性状 | Liquid |
| 纯化方法 | affinity purified by Protein A |
| 克隆类型 | Polyclonal |
| 理论分子量 | 54 kDa |
| 浓度 | 1mg/ml |
| 储存液 | 0.01M TBS (pH7.4) with 1% BSA, 0.02% Proclin300 and 50% Glycerol. |
| 研究领域 | Cancer > Tumor biomarkers Neuroscience > Cell Type Marker > Neuron marker > Soma marker Neuroscience > Neurology process > Neurodegenerative disease > Parkinson's disease Neuroscience > Neurology process > Neurogenesis Stem Cells > Hematopoietic Progenitors > Intracellular Molecules |
| 亚基 | Homodimer. |
| 亚细胞定位 | Cytoplasm. |
| 组织特异性 | Expressed in the liver, lung, and testis. Apparently not expressed at detectable levels in kidney, stomach, ovary, heart, and brain. |
| 相似性 | Belongs to the aldehyde dehydrogenase family. |
| 功能 | Binds free retinal and cellular retinol-binding protein-bound retinal. Can convert/oxidize retinaldehyde to retinoic acid. |
| 保存条件 | Shipped at 4℃. Store at -20℃ for one year. Avoid repeated freeze/thaw cycles. |
| 注意事项 | This product as supplied is intended for research use only, not for use in human, therapeutic or diagnostic applications. |
| 背景资料 | The protein encoded by this gene belongs to the aldehyde dehydrogenase family. Aldehyde dehydrogenase is the next enzyme after alcohol dehydrogenase in the major pathway of alcohol metabolism. There are two major aldehyde dehydrogenase isozymes in the liver, cytosolic and mitochondrial, which are encoded by distinct genes, and can be distinguished by their electrophoretic mobility, kinetic properties, and subcellular localization. This gene encodes the cytosolic isozyme. Studies in mice show that through its role in retinol metabolism, this gene may also be involved in the regulation of the metabolic responses to high-fat diet. [provided by RefSeq, Mar 2011]. |
| 应用 | 推荐稀释比例 |
| {WB} | {1:500-2000} |
| {IHC-P} | {1:100-500} |
| {IHC-F} | {1:100-500} |
| {IF} | {1:100-500} |

Primary: Anti-ALDH1 (bs-10162R) at 1/300 dilution
Secondary: IRDye800CW Goat Anti-Rabbit IgG at 1/20000 dilution
Predicted band size: 54 kD
Observed band size: 54 kD



A549 Cell (Human) Lysate at 40 ug
HepG2 Cell (Human) Lysate at 40 ug
Primary: Anti-ALDH1(bs-10162R)at 1/300 dilution
Secondary: IRDye800CW Goat Anti-Rabbit IgG at 1/20000 dilution
Predicted band size: 54kD
Observed band size: 54kD

Primary: Anti- ALDH1 (bs-10162R) at 1/300 dilution
Secondary: IRDye800CW Goat Anti-Rabbit IgG at 1/20000 dilution
Predicted band size: 54 kD
Observed band size: 54 kD
风险提示:丁香通仅作为第三方平台,为商家信息发布提供平台空间。用户咨询产品时请注意保护个人信息及财产安全,合理判断,谨慎选购商品,商家和用户对交易行为负责。对于医疗器械类产品,请先查证核实企业经营资质和医疗器械产品注册证情况。
文献和实验[IF={{ 8.755 }}] {Sijie Wang. et al. PFKFB4 facilitates palbociclib resistance in oestrogen receptor-positive breast cancer by enhancing stemness. CELL PROLIFERAT. 2022 Sep;:e13337} {WB} {Human}
[IF={{ 6.126 }}] {Chih-Wei Chou. et al. Menin and Menin-Associated Proteins Coregulate Cancer Energy Metabolism. Cancers. 2020 Sep;12(9):2715} {IF} {Human}
[IF={{ 5.7 }}] {Jinmiao Tian. et al. QPH-FR: A Novel Quinoa Peptide Enhances Chemosensitivity by Targeting Leucine-Rich Repeat-Containing G Protein-Coupled Receptor 5 in Colorectal Cancer. J AGR FOOD CHEM. 2024;XXXX(XXX):XXX-XXX} {IHC,WB} {Mouse,Human}
[IF={{ 43.474 }}] {Mingqian Fang. et al. Lipopolysaccharide-binding protein expression is increased by stress and inhibits monoamine synthesis to promote depressive symptoms. IMMUNITY. 2023 Feb 27} {WB} {Mouse}
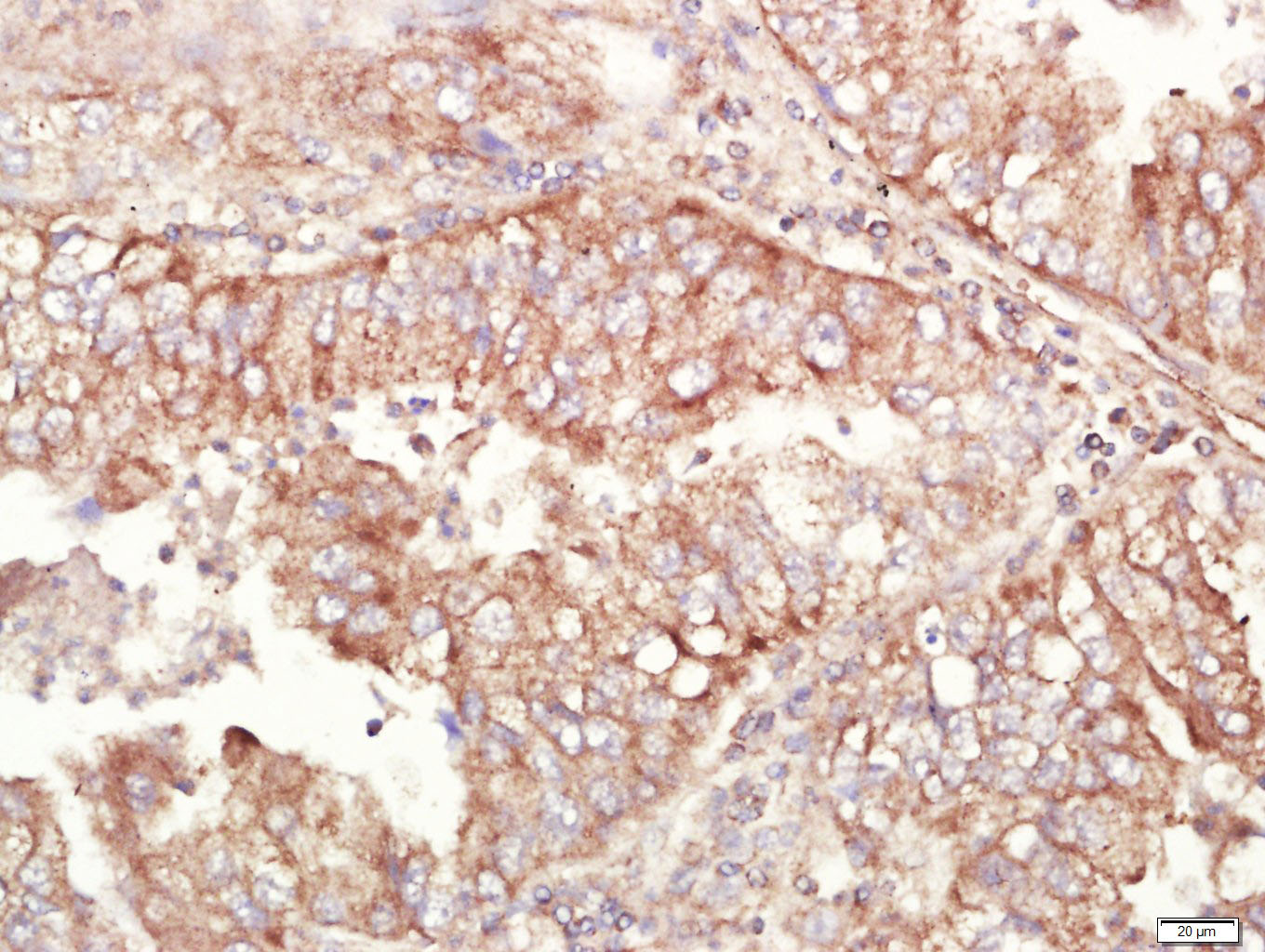
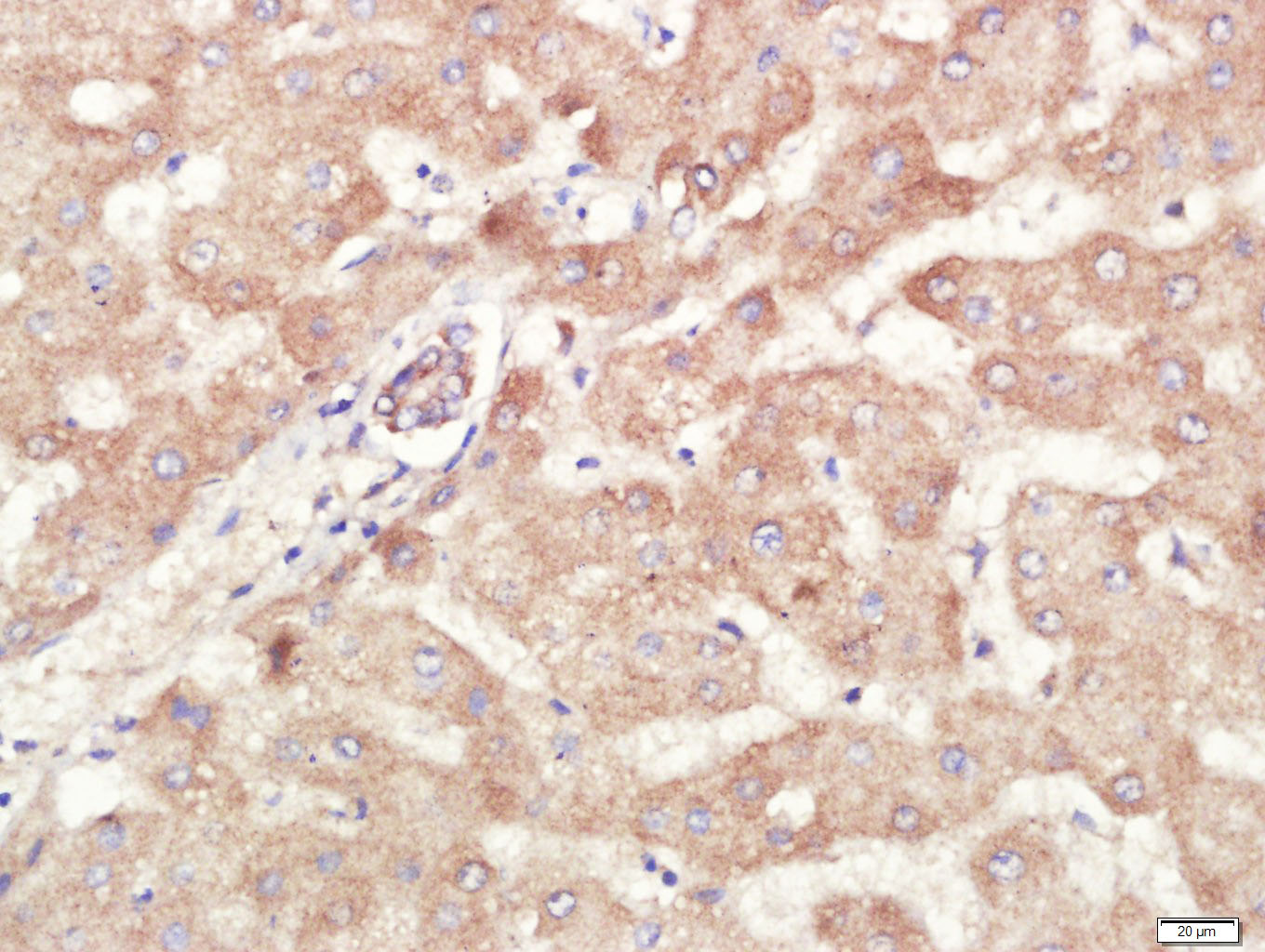
[IF={{ 4.74 }}] {Qi et al. Sorting and identification of side population cells in the human cervical cancer cell line HeLa. (2014) Cancer.Cell.Int. 14:3} {IHC} {Human}
= NAL), appears to form upon oxidative cyclization of the nonfluorescent 2:1 lysine-HNE Michael adduct-Schiff base cross-link (Scheme 1). Polyclonal antibody (PAb) to the NAL-HNE fluorophore was raised in rabbit and found to be highly specific
GE Healthcare Benzamidine Sepharose™ 6B is p-aminobenzamidine covalently attached to Sepharose 6B by the epoxy coupling method. p-Aminobenzamidine (PAB), is a synthetic inhibitor of trypsin-like serine protease. Trypsin and trypsin
Nucleic Acid Programmable Protein Arrays: Versatile Tools for Array‐Based Functional Protein Studies
.g., Sigma) 50 mg/ml bis‐sulfosuccinimdylsuberate (BS3 ;Pierce, cat. no. PI 21580) in dimethylsulfoxide (DMSO) 5 mg/ml
技术资料暂无技术资料 索取技术资料






