相关产品推荐更多 >

PCNA Rabbit pAb, PerCP conjugated(bs-2007R-PerCP)-100ul
¥2980
P4HB Recombinant Mouse mAb(bsm-60312M)-50ul/100ul/25ul
¥800
AFAP1L2 Rabbit pAb, BF750 conjugated(bs-11020R-BF750)-100ul
¥2980
SLC40A1 Rabbit pAb, Biotin conjugated(bs-4906R-Bio)-100ul
¥2980
phospho-Caspase 6 (Ser257) Rabbit pAb(bs-5240R)-50ul/100ul/200ul
¥1180
万千商家帮你免费找货
0 人在求购买到急需产品
- 详细信息
- 文献和实验
- 技术资料
- 应用范围:
产品信息以Bioss网站为准
- 规格:
50ul/100ul/200ul
| 规格: | 50ul | 产品价格: | ¥1180.0 |
|---|---|---|---|
| 规格: | 100ul | 产品价格: | ¥1980.0 |
| 规格: | 200ul | 产品价格: | ¥2800.0 |
| 产品编号 | bs-1317R |
| 英文名称 | STAT1 Rabbit pAb |
| 中文名称 | 信号转导与转录激活因子1抗体 |
| 英文别名 | Signal transducer and activator of transcription 1-alpha/beta; Transcription factor ISGF-3 components p91/p84; STAT1_HUMAN; |
| 产品应用 | WB=1:500-2000, IHC-P=1:100-500, IHC-F=1:100-500, ICC/IF=1:100-500, IF=1:100-500, Flow-Cyt=1ug/Test Not yet tested in other applications. |
| 交叉反应 | Rat (Human, Mouse, Dog, Pig, Cow, Horse, Sheep) |
| 抗体来源 | Rabbit |
| 免疫原 | KLH conjugated synthetic peptide derived from human STAT1 |
| 亚型 | IgG |
| 性状 | Liquid |
| 纯化方法 | affinity purified by Protein A |
| 克隆类型 | Polyclonal |
| 理论分子量 | 82 kDa |
| 浓度 | 1mg/ml |
| 储存液 | 0.01M TBS (pH7.4) with 1% BSA, 0.02% Proclin300 and 50% Glycerol. |
| 研究领域 | Cancer > Signal transduction > Nuclear signaling > STAT family Epigenetics and Nuclear Signaling > ChIP assays > ChIP antibodies Epigenetics and Nuclear Signaling > Nuclear Signaling Pathways > STATs Epigenetics and Nuclear Signaling > Transcription > Other factors Microbiology > Organism > Virus > RNA Virus > ssRNA positive strand virus > SARS Coronavirus Signal Transduction > Signaling Pathway > Nuclear Signaling > STATs |
| 亚基 | Isoform alpha homodimerizes upon IFN-gamma induced phosphorylation. Heterodimer with STAT2 upon IFN-alpha/beta induced phosphorylation. Interacts with NMI. Interacts with Sendai virus C', C, Y1 and Y2 proteins, Nipah virus P, V and W proteins, and Rabies virus phosphoprotein preventing activation of ISRE and GAS promoter (By similarity). Interacts with HCV core protein; the interaction results in STAT1 degradation. Interacts with PIAS1; the interaction requires phosphorylation on Ser-727 and inhibits STAT1 activation. Interacts with IFNAR1; the interaction requires the phosphorylation of IFNAR1 at 'Tyr-466'. Interacts with IFNAR2. Interacts with PIAS1 (dimethylated on arginine); the interaction results in release of STAT1 from its target gene. Interacts with SRC. Interacts with ERBB4 (phosphorylated). Interacts with PTK2/FAK1. |
| 亚细胞定位 | Cytoplasm. Nucleus. Translocated into the nucleus in response to IFN-gamma-induced tyrosine phosphorylation and dimerization. |
| 翻译后修饰 | Post-translational modificationsPhosphorylated on tyrosine and serine residues in response to IFN-alpha, IFN-gamma, PDGF and EGF. Phosphorylation on Tyr-701 (lacking in beta form) by JAK promotes dimerization and subsequent translocation to the nucleus. Phosphorylation on Ser-727 by several kinases including MAPK14, ERK1/2 and CAMKII on IFN-gamma stimulation, regulates STAT1 transcriptional activity. Phosphorylation on Ser-727 promotes sumoylation though increasing interaction with PIAS. Phosphorylation on Ser-727 by PKCdelta induces apoptosis in response to DNA-damaging agents. Sumoylated by SUMO1, SUMO2 and SUMO3. Sumoylation is enhanced by IFN-gamma-induced phosphorylation on Ser-727, and by interaction with PIAS proteins. Enhances the transactivation activity. ISGylated. |
| 相似性 | Belongs to the transcription factor STAT family. Contains 1 SH2 domain. |
| 功能 | Signal transducer and activator of transcription that mediates signaling by interferons (IFNs). Following type I IFN (IFN-alpha and IFN-beta) binding to cell surface receptors, Jak kinases (TYK2 and JAK1) are activated, leading to tyrosine phosphorylation of STAT1 and STAT2. The phosphorylated STATs dimerize, associate with ISGF3G/IRF-9 to form a complex termed ISGF3 transcription factor, that enters the nucleus. ISGF3 binds to the IFN stimulated response element (ISRE) to activate the transcription of interferon stimulated genes, which drive the cell in an antiviral state. In response to type II IFN (IFN-gamma), STAT1 is tyrosine- and serine-phosphorylated. It then forms a homodimer termed IFN-gamma-activated factor (GAF), migrates into the nucleus and binds to the IFN gamma activated sequence (GAS) to drive the expression of the target genes, inducing a cellular antiviral state. |
| 保存条件 | Shipped at 4℃. Store at -20℃ for one year. Avoid repeated freeze/thaw cycles. |
| 注意事项 | This product as supplied is intended for research use only, not for use in human, therapeutic or diagnostic applications. |
| 背景资料 | The protein encoded by this gene is a member of the STAT protein family. In response to cytokines and growth factors, STAT family members are phosphorylated by the receptor associated kinases, and then form homo- or heterodimers that translocate to the cell nucleus where they act as transcription activators. The protein encoded by this gene can be activated by various ligands including interferon-alpha, interferon-gamma, EGF, PDGF and IL6. This protein mediates the expression of a variety of genes, which is thought to be important for cell viability in response to different cell stimuli and pathogens. The protein plays an important role in immune responses to viral, fungal and mycobacterial pathogens. Mutations in this gene are associated with Immunodeficiency 31B, 31A, and 31C. [provided by RefSeq, Jun 2020] |
| 应用 | 推荐稀释比例 |
| {WB} | {1:500-2000} |
| {IHC-P} | {1:100-500} |
| {IHC-F} | {1:100-500} |
| {ICC/IF} | {1:100-500} |
| {IF} | {1:100-500} |
| {Flow-Cyt} | {1ug/Test} |

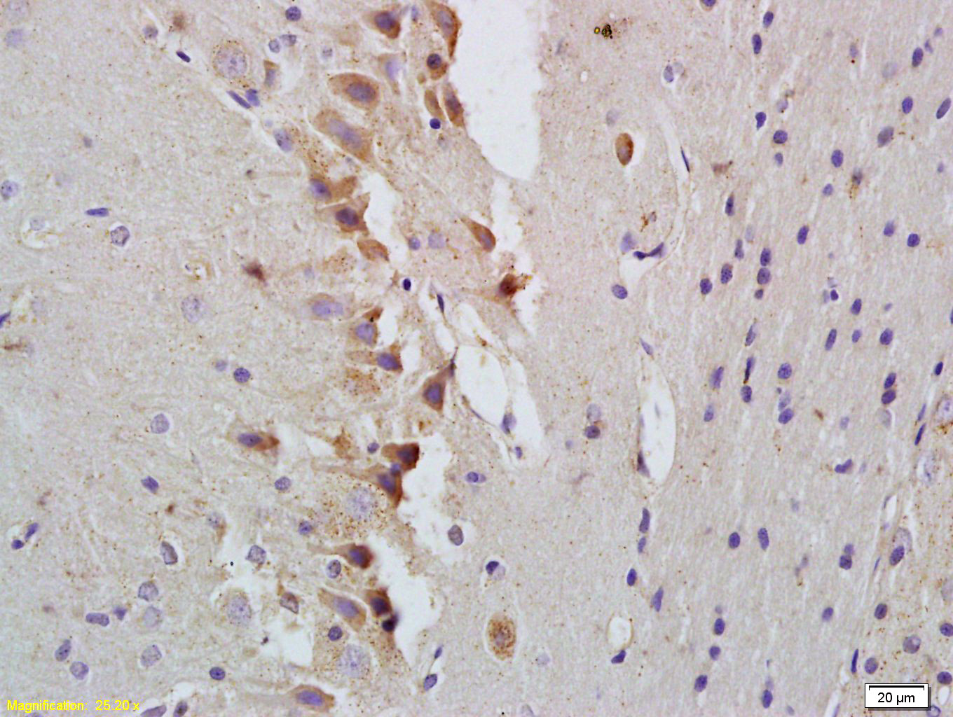
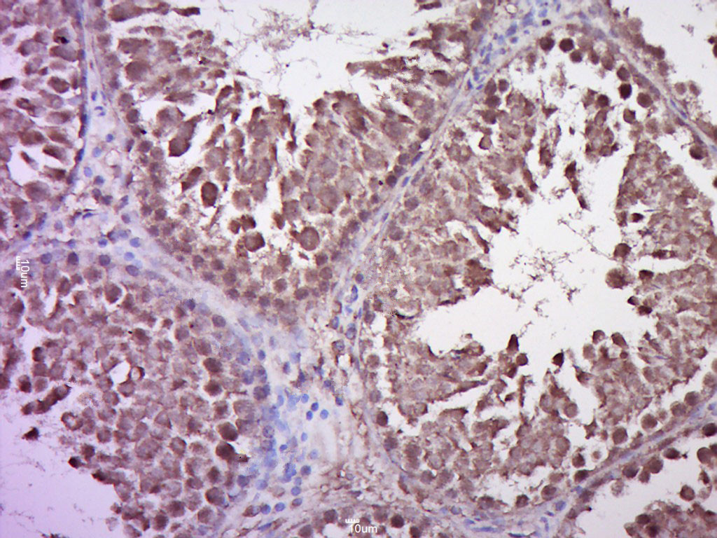
Antigen retrieval: citrate buffer ( 0.01M, pH 6.0 ), Boiling bathing for 15min; Block endogenous peroxidase by 3% Hydrogen peroxide for 30min; Blocking buffer (normal goat serum,C-0005) at 37℃ for 20 min;
Incubation: Anti-STAT1 Polyclonal Antibody, Unconjugated(bs-1317R) 1:200, overnight at 4°C, followed by conjugation to the secondary antibody(SP-0023) and DAB(C-0010) staining

风险提示:丁香通仅作为第三方平台,为商家信息发布提供平台空间。用户咨询产品时请注意保护个人信息及财产安全,合理判断,谨慎选购商品,商家和用户对交易行为负责。对于医疗器械类产品,请先查证核实企业经营资质和医疗器械产品注册证情况。
文献和实验[IF={{ 7.9 }}] {Tiantian Wang. et al. Baicalein alleviates cardiomyocyte death in EAM mice by inhibiting the JAK-STAT1/4 signalling pathway. PHYTOMEDICINE. 2024 Jun;128:155558} {WB} {Mouse}
[IF={{ 6.304 }}] {Chen Y et al. Dendritic cells-derived interferon-λ1 ameliorated inflammatory bone destruction through inhibiting osteoclastogenesis. Cell Death Dis. 2020 Jun 2;11(6):414.} {WB} {Mouse}
[IF={{ 5.714 }}] {Chenglin Li. et al. Ranitidine as an adjuvant regulates macrophage polarization and activates CTLs through the PI3K-Akt2 signaling pathway. INT IMMUNOPHARMACOL. 2023 Mar;116:109729} {WB} {Mouse}
[IF={{ 5.58 }}] {Zhou, Zhiwei, et al. "microRNA let-7c is essential for the anisomycin-elicited apoptosis in Jurkat T cells by linking JNK1/2 to AP-1/STAT1/STAT3 signaling." Scientific Reports 6 (2016): 24434.} {WB} {="Human"}
[IF={{ 5.048 }}] {Peng Ma. et al. Infectious Bronchitis Virus Nsp14 Degrades JAK1 to Inhibit the JAK-STAT Signaling Pathway in HD11 Cells. VIRUSES-BASEL. 2022 May;14(5):1045} {IF} {Chicken}
技术资料暂无技术资料 索取技术资料





