相关产品推荐更多 >

A4GALT Rabbit pAb, PE conjugated(bs-7588R-PE)-100ul
¥2980
VEGFR1 Rabbit pAb(bs-0170R)-50ul/100ul/200ul
¥1180
Vitamin D Binding protein Mouse mAb, Biotin conjugated(bsm-43119M-Bio)-100ul
¥2980
NBAS Rabbit pAb, HRP conjugated(bs-19030R-HRP)-100ul
¥2980
IL33 Rabbit pAb, Biotin conjugated(bs-2208R-Bio)-100ul
¥2980
万千商家帮你免费找货
0 人在求购买到急需产品
- 详细信息
- 文献和实验
- 技术资料
- 应用范围:
产品信息以Bioss网站为准
- 规格:
50ul/100ul/200ul
| 规格: | 50ul | 产品价格: | ¥1180.0 |
|---|---|---|---|
| 规格: | 100ul | 产品价格: | ¥1980.0 |
| 规格: | 200ul | 产品价格: | ¥2800.0 |
| 产品编号 | bs-5912R |
| 英文名称 | CYPA Rabbit pAb |
| 中文名称 | 亲环蛋白(亲环素)PPIA抗体 |
| 英文别名 | Cyclophilin A; CyclophilinA; Cyclosporin A binding protein; Cyclosporin A-binding protein; CYPA; CYPH; Peptidyl prolyl cis trans isomerase A; Peptidyl-prolyl cis-trans isomerase A; Peptidylprolyl isomerase A; PPIA; PPIA protein; PPIA_HUMAN; PPIase A; Rotamase A; RotamaseA; T cell cyclophilin. |
| 产品应用 | WB=1:500-2000, IHC-P=1:100-500, IHC-F=1:100-500, IF=1:100-500, Flow-Cyt=1μg/Test Not yet tested in other applications. |
| 交叉反应 | Human, Mouse, Rat (Dog, Pig, Cow, Rabbit) |
| 抗体来源 | Rabbit |
| 免疫原 | KLH conjugated synthetic peptide derived from human Cyclophilin A. |
| 亚型 | IgG |
| 性状 | Liquid |
| 纯化方法 | affinity purified by Protein A |
| 克隆类型 | Polyclonal |
| 理论分子量 | 18 kDa |
| 浓度 | 1mg/ml |
| 储存液 | 0.01M TBS (pH7.4) with 1% BSA, 0.02% Proclin300 and 50% Glycerol. |
| 研究领域 | Immunology > Immune Interventions > Transplantation Signal Transduction > Signaling Pathway > Calcium Signaling |
| 亚细胞定位 | Cytoplasm. |
| 相似性 | Belongs to the cyclophilin-type PPIase family. PPIase A subfamily. Contains 1 PPIase cyclophilin-type domain. |
| 功能 | PPIases accelerate the folding of proteins. It catalyzes the cis-trans isomerization of proline imidic peptide bonds in oligopeptides. |
| 保存条件 | Shipped at 4℃. Store at -20℃ for one year. Avoid repeated freeze/thaw cycles. |
| 注意事项 | This product as supplied is intended for research use only, not for use in human, therapeutic or diagnostic applications. |
| 背景资料 | The immunosuppressant cyclosporin A (CsA) forms a trimolecular complex with cyclophilin and calcineurins to inhibit calcineurin phosphatase activity (1). Cyclophilins are conserved, ubiquitous and abundant cytosolic peptidyl-prolyl cis-trans isomerases that accelerate the isomerization of XaaPro peptide bonds and the refolding of proteins (2,3). Human cyclophilin A (CyPA), an intracellular protein of 165 amino acids, is the target of the CsA and is encoded by a single unique gene conserved from yeast to humans (4,5). CyPA is known for its involvement in T cell differentiation and proliferation and is highly expressed in brain (6). CyPA is incorporated into the virion of the type 1 Human immunodeficiency virus (HIV-1) via a direct interaction with the capsid domain of the viral Gag polyprotein and is crucial for efficient viral replication (7,8). Cyclophilin B (CyPB) is a member of the cyclophilin family with specific N- and C-terminal extensions. Unlike CyPA, CyPB has a signal sequence leading to its translocation in the endoplasmic reticulum. CyPB is secreted in biological fluids such as blood or milk and binds to a specific receptor present on the human lymphoblastic cell line Jurkat and on human peripheral blood lymphocytes (9,10). |
| 应用 | 推荐稀释比例 |
| {WB} | {1:500-2000} |
| {IHC-P} | {1:100-500} |
| {IHC-F} | {1:100-500} |
| {IF} | {1:100-500} |
| {Flow-Cyt} | {1μg/Test} |

Cerebrum (Rat) Lysate at 40 ug
Hela(Human) Cell Lysate at 30 ug
Primary: Anti-CYPA (bs-5912R) at 1/1000 dilution
Secondary: IRDye800CW Goat Anti-Rabbit IgG at 1/20000 dilution
Predicted band size: 18 kD
Observed band size: 17/18 kD

NIH/3T3(Mouse) Cell Lysate at 30 ug
A431(Human) Cell Lysate at 30 ug
Primary: Anti-CYPA (bs-5912R) at 1/1000 dilution
Secondary: IRDye800CW Goat Anti-Rabbit IgG at 1/20000 dilution
Predicted band size: 18 kD
Observed band size: 18 kD

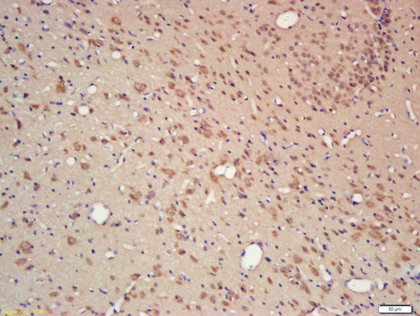
Antigen retrieval: citrate buffer ( 0.01M, pH 6.0 ), Boiling bathing for 15min; Block endogenous peroxidase by 3% Hydrogen peroxide for 30min; Blocking buffer (normal goat serum,C-0005) at 37℃ for 20 min;
Incubation: Anti-CYPA Polyclonal Antibody, Unconjugated(bs-5912R) 1:200, overnight at 4°C, followed by conjugation to the secondary antibody(SP-0023) and DAB(C-0010) staining

Primary Antibody:Rabbit Anti- CYPA antibody(bs-5912R), Dilution: 1μg in 100 μL 1X PBS containing 0.5% BSA;
Isotype Control Antibody: Rabbit IgG(orange) ,used under the same conditions );
Secondary Antibody: Goat anti-rabbit IgG-PE(white blue), Dilution: 1:200 in 1 X PBS containing 0.5% BSA.

Antigen retrieval: citrate buffer ( 0.01M, pH 6.0 ), Boiling bathing for 15min; Block endogenous peroxidase by 3% Hydrogen peroxide for 30min; Blocking buffer (normal goat serum,C-0005) at 37℃ for 20 min;
Incubation: Anti-CYPA Polyclonal Antibody, Unconjugated(bs-5912R) 1:200, overnight at 4°C, followed by conjugation to the secondary antibody(SP-0023) and DAB(C-0010) staining

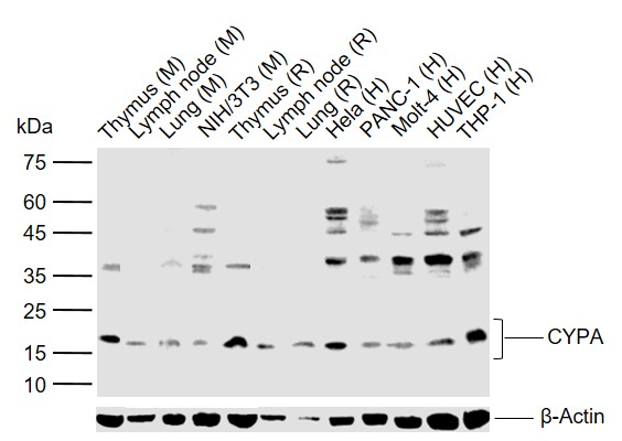
Lane 1: Mouse Thymus tissue lysates
Lane 2: Mouse Lymph node tissue lysates
Lane 3: Mouse Lung tissue lysates
Lane 4: Mouse NIH/3T3 cell lysates
Lane 5: Rat Thymus tissue lysates
Lane 6: Rat Lymph node tissue lysates
Lane 7: Rat Lung tissue lysates
Lane 8: Human Hela cell lysates
Lane 9: Human PANC-1 cell lysates
Lane 10: Human Molt-4 cell lysates
Lane 11: Human HUVEC cell lysates
Lane 12: Human THP-1 cell lysates
Primary: Anti- CYPA (bs-5912R) at 1/1000 dilution
Secondary: IRDye800CW Goat Anti-Rabbit IgG at 1/20000 dilution
Predicted band size: 18 kDa
Observed band size: 18 kDa
风险提示:丁香通仅作为第三方平台,为商家信息发布提供平台空间。用户咨询产品时请注意保护个人信息及财产安全,合理判断,谨慎选购商品,商家和用户对交易行为负责。对于医疗器械类产品,请先查证核实企业经营资质和医疗器械产品注册证情况。
文献和实验[IF={{ 3.58 }}] {Kang, Taewook, et al. "Large-scale analysis of posttranslational modifications in the hippocampus of patients with Alzheimer’s disease using pI shift and label-free quantification without enrichment." Analytical and Bioanalytical Chemistry (2014): 1-14.} {WB} {="Human"}
: CSB-BP619964 HU >> Baculovirus CSB-MP619964 HU >> Mammalian cell PD1 多克隆抗体 Rabbit anti PD1 货号:CSB-PA619964LA01 HU 识别种属:human,mouse 应用检测:WB、IHC、IF 等 TIM3 重组蛋白 货号:CSB-EP010145 HU TIM3 多克
= NAL), appears to form upon oxidative cyclization of the nonfluorescent 2:1 lysine-HNE Michael adduct-Schiff base cross-link (Scheme 1). Polyclonal antibody (PAb) to the NAL-HNE fluorophore was raised in rabbit and found to be highly specific
GE Healthcare Benzamidine Sepharose™ 6B is p-aminobenzamidine covalently attached to Sepharose 6B by the epoxy coupling method. p-Aminobenzamidine (PAB), is a synthetic inhibitor of trypsin-like serine protease. Trypsin and trypsin
技术资料暂无技术资料 索取技术资料





