相关产品推荐更多 >

Patched Rabbit pAb(bs-24459R)-50ul/100ul/200ul
¥1180
Integrin Alpha V + Beta 1 Rabbit pAb, Cy5.5 conjugated(bs-2016R-Cy5.5)-100ul
¥2980
HOXA5 Rabbit pAb, Biotin conjugated(bs-5713R-Bio)-100ul
¥2980
C9orf95/NRK Rabbit pAb, HRP conjugated(bs-15349R-HRP)-100ul
¥2980
Visfatin Rabbit pAb, PerCP-Cy7 conjugated(bs-0272R-PerCP-Cy7)-100ul
¥2980
万千商家帮你免费找货
0 人在求购买到急需产品
- 详细信息
- 文献和实验
- 技术资料
- 应用范围:
产品信息以Bioss网站为准
- 规格:
50ul/100ul/200ul
| 规格: | 50ul | 产品价格: | ¥1180.0 |
|---|---|---|---|
| 规格: | 100ul | 产品价格: | ¥1980.0 |
| 规格: | 200ul | 产品价格: | ¥2800.0 |
| 产品编号 | bs-1148R |
| 英文名称 | Cyclin D2 Rabbit pAb |
| 中文名称 | 周期素D2抗体 |
| 英文别名 | CCND 2; CCND2; CyclinD2; G1/S specific cyclin D2; KIAK0002; MGC102758; CCND2_HUMAN; G1/S-specific cyclin-D2. |
| 产品应用 | IHC-P=1:100-500, IHC-F=1:100-500, IF=1:100-500, Flow-Cyt=5μg/Test Not yet tested in other applications. |
| 交叉反应 | Human, Rat (Mouse) |
| 抗体来源 | Rabbit |
| 免疫原 | KLH conjugated synthetic peptide derived from the middle of human Cyclin D2 |
| 亚型 | IgG |
| 性状 | Liquid |
| 纯化方法 | affinity purified by Protein A |
| 克隆类型 | Polyclonal |
| 理论分子量 | 35 kDa |
| 浓度 | 1mg/ml |
| 储存液 | 0.01M TBS (pH7.4) with 1% BSA, 0.02% Proclin300 and 50% Glycerol. |
| 研究领域 | Cancer > Cell cycle > Cyclins > Cyclin D family Cell Biology > Cell Cycle > Cyclins Cell Biology > Cell Cycle > Cyclins > Cyclin D Family Epigenetics and Nuclear Signaling > Cell cycle > Cyclins > Cyclin D Family |
| 亚基 | Interacts with either CDK4 or CDK6 protein kinase to form a serine/threonine kinase holoenzyme complex. The cyclin subunit imparts substrate specificity to the complex. Component of the ternary complex cyclin D/CDK4/CDKN1B required for nuclear translocation and modulation of CDK4-mediated kinase activity. |
| 亚细胞定位 | Nucleus. Cytoplasm. Membrane. Note=Cyclin D-CDK4 complexes accumulate at the nuclear membrane and are then translocated into the nucleus through interaction with KIP/CIP family members. |
| 相似性 | Belongs to the cyclin family. Cyclin D subfamily. Contains 1 cyclin N-terminal domain. |
| 功能 | Regulatory component of the cyclin D2-CDK4 (DC) complex that phosphorylates and inhibits members of the retinoblastoma (RB) protein family including RB1 and regulates the cell-cycle during G1/S transition. Phosphorylation of RB1 allows dissociation of the transcription factor E2F from the RB/E2F complex and the subsequent transcription of E2F target genes which are responsible for the progression through the G1 phase. Hypophosphorylates RB1 in early G1 phase. Cyclin D-CDK4 complexes are major integrators of various mitogenenic and antimitogenic signals. Also substrate for SMAD3, phosphorylating SMAD3 in a cell-cycle-dependent manner and repressing its transcriptional activity. Component of the ternary complex, cyclin D2/CDK4/CDKN1B, required for nuclear translocation and activity of the cyclin D-CDK4 complex. |
| 保存条件 | Shipped at 4℃. Store at -20℃ for one year. Avoid repeated freeze/thaw cycles. |
| 注意事项 | This product as supplied is intended for research use only, not for use in human, therapeutic or diagnostic applications. |
| 背景资料 | The protein encoded by this gene belongs to the highly conserved cyclin family, whose members are characterized by a dramatic periodicity in protein abundance throughout the cell cycle. Cyclins function as regulators of CDK kinases. Different cyclins exhibit distinct expression and degradation patterns which contribute to the temporal coordination of each mitotic event. This cyclin forms a complex with and functions as a regulatory subunit of CDK4 or CDK6, whose activity is required for cell cycle G1/S transition. This protein has been shown to interact with tumor suppressor protein Rb and the expression of this gene is regulated positively by Rb. Mutations, amplification and overexpression of this gene, which alters cell cycle progression, are observed frequently in a variety of tumors and may contribute to tumorigenesis. |
| 应用 | 推荐稀释比例 |
| {IHC-P} | {1:100-500} |
| {IHC-F} | {1:100-500} |
| {IF} | {1:100-500} |
| {Flow-Cyt} | {5μg/Test} |

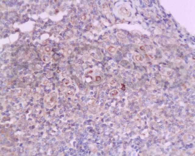
Antigen retrieval: citrate buffer ( 0.01M, pH 6.0 ), Boiling bathing for 15min; Block endogenous peroxidase by 3% Hydrogen peroxide for 30min; Blocking buffer (normal goat serum,C-0005) at 37℃ for 20 min;
Incubation: Anti-Cyclin D2 Polyclonal Antibody, Unconjugated(bs-1148R) 1:200, overnight at 4°C, followed by conjugation to the secondary antibody(SP-0023) and DAB(C-0010) staining

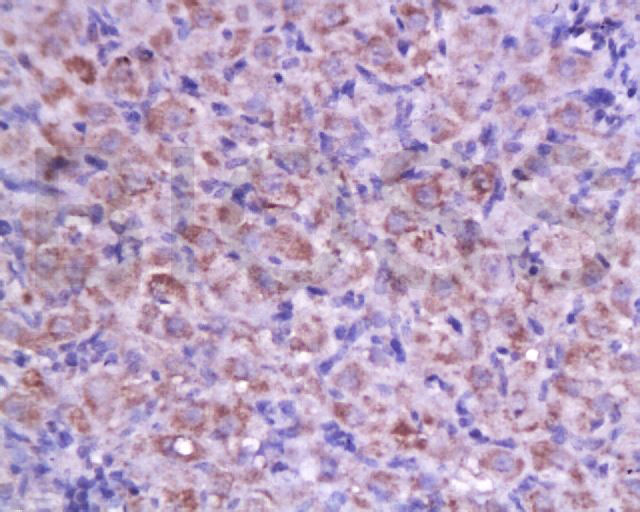
Antigen retrieval: citrate buffer ( 0.01M, pH 6.0 ), Boiling bathing for 15min; Block endogenous peroxidase by 3% Hydrogen peroxide for 30min; Blocking buffer (normal goat serum,C-0005) at 37℃ for 20 min;
Incubation: Anti-Cyclin D2 Polyclonal Antibody, Unconjugated(bs-1148R) 1:200, overnight at 4°C, followed by conjugation to the secondary antibody(SP-0023) and DAB(C-0010) staining

Antigen retrieval: citrate buffer ( 0.01M, pH 6.0 ), Boiling bathing for 15min; Blocking buffer (normal goat serum,C-0005) at 37℃ for 20 min;
Incubation: Anti-Cyclin D2 Polyclonal Antibody, Unconjugated(bs-1148R) 1:200, overnight at 4°C; The secondary antibody was Goat Anti-Rabbit IgG, PE conjugated (bs-0295G-PE)used at 1:200 dilution for 40 minutes at 37°C. DAPI(5ug/ml,blue,C-0033) was used to stain the cell nuclei

Concebtration: 5μg/10^6 cells.
Positive control: MCF-7 cells.
风险提示:丁香通仅作为第三方平台,为商家信息发布提供平台空间。用户咨询产品时请注意保护个人信息及财产安全,合理判断,谨慎选购商品,商家和用户对交易行为负责。对于医疗器械类产品,请先查证核实企业经营资质和医疗器械产品注册证情况。
文献和实验[IF={{ 4.04 }}] {Wang, Y., et al. "Elevated toll-like receptor 3 inhibits pancreatic b-cell proliferation through G1 phase cell cycle arrest." Molecular and Cellular Endocrinology (2013)} {WB} {="Mouse"}
[IF={{ 11.205 }}] {Cong Lan. et al. Inhibition of DYRK1A, via histone modification, promotes cardiomyocyte cell cycle activation and cardiac repair after myocardial infarction. EBIOMEDICINE. 2022 Aug;82:104139} {WB} {Rat}
[IF={{ 1 }}] {Jie Ma. et al. Secoxyloganin inhibits growth of breast cancer MDA-MB-231 cells via induction of apoptosis and cell cycle arrest. ALL LIFE. 2024 Oct 04} {WB} {Human}
Studies of the Ubiquitin Proteasome System
Assays of E1 and E2 Activity Basic Protocol 1: Thiolester Formation Between Rabbit E1 and Ubiquitin Basic Protocol 2: Thiolester Formation Between E2 and Ubiquitin Binding of Ubiquitin‐Proteasome Proteins Basic Protocol 3: Binding of E2s to E3s Alternate
技术资料暂无技术资料 索取技术资料






