相关产品推荐更多 >

HELLS Rabbit pAb(bs-6014R)-50ul/100ul/200ul
¥1180
Anti-CD20 & CD47 Reference Antibody (Amulirafusp alfa Biosimilar)(BIO1012SM)-100ug/1mg/5mg
¥3240
Nectin 4 Rabbit pAb, AP conjugated(bs-10029R-AP)-100ul
¥2980
CHGA Recombinant Rabbit mAb(bsm-60747R)-50ul/100ul/25ul
¥800
HES4 Rabbit pAb(bs-11567R)-50ul/100ul/200ul
¥1180
万千商家帮你免费找货
0 人在求购买到急需产品
- 详细信息
- 文献和实验
- 技术资料
- 应用范围:
产品信息以Bioss网站为准
- 规格:
50ul/100ul/200ul
| 规格: | 50ul | 产品价格: | ¥1180.0 |
|---|---|---|---|
| 规格: | 100ul | 产品价格: | ¥1980.0 |
| 规格: | 200ul | 产品价格: | ¥2800.0 |
| 产品编号 | bs-10042R |
| 英文名称 | GluR1 Rabbit pAb |
| 中文名称 | 谷氨酸受体1抗体 |
| 英文别名 | Glutamate receptor 1; GLUR 1; GLUR A; AMPA 1; GluR-1; AMPA selective glutamate receptor 1; AMPA-selective glutamate receptor 1; GluA1; GLUH 1; GLUH1; GluR K1; GluR-1; GluR-A; GluR-K1; GLUR1; GLURA; GluRK1; Glutamate receptor ionotropic AMPA 1; Glutamate receptor ionotropic; Glutamate receptor, ionotropic, AMPA 1; Gria 1; Gria1; GRIA1_HUMAN; HBGR1; MGC133252; OTTHUMP00000160643; OTTHUMP00000165781; OTTHUMP00000224241; OTTHUMP00000224242; OTTHUMP00000224243. |
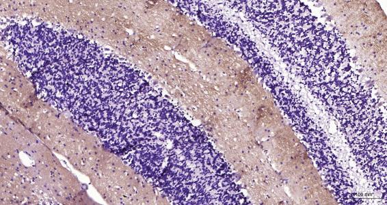
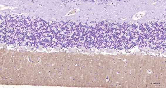
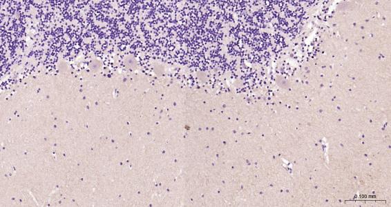
| 产品应用 | WB=1:500-2000, IHC-P=1:100-200, IHC-F=1:100-200, IF=1:100-200, IP=1:20-50 Not yet tested in other applications. |
| 交叉反应 | Human, Mouse, Rat |
| 抗体来源 | Rabbit |
| 免疫原 | KLH conjugated synthetic peptide derived from human GluR1 |
| 亚型 | IgG |
| 性状 | Liquid |
| 纯化方法 | affinity purified by Protein A |
| 克隆类型 | Polyclonal |
| 理论分子量 | 98 kDa |
| 浓度 | 1mg/ml |
| 储存液 | 0.01M TBS (pH7.4) with 1% BSA, 0.02% Proclin300 and 50% Glycerol. |
| 研究领域 | Neuroscience > Neurotransmission > Receptors / Channels > GPCR > Glutamate Receptors Neuroscience > Neurotransmission > Receptors / Channels > Ligand-Gated Ion Channels > AMPA / Kainate |
| 亚基 | Homotetramer or heterotetramer of pore-forming glutamate receptor subunits. Tetramers may be formed by the dimerization of dimers. Interacts with DLG1 via its C-terminus. Interacts with SYNDIG1 and GRIA2. Interacts with LRFN. Interacts with HIP1 and RASGRF2. Found in a complex with GRIA2, GRIA3, GRIA4, CNIH2, CNIH3, CACNG2, CACNG3, CACNG4, CACNG5, CACNG7 and CACNG8. Interacts with CACNG5. Interacts with CNIH2 and CACNG2. |
| 亚细胞定位 | Cell membrane; Multi-pass membrane protein. Endoplasmic reticulum membrane; Multi-pass membrane protein. Cell junction, synapse, postsynaptic cell membrane; Multi-pass membrane protein. Cell junction, synapse, postsynaptic cell membrane, postsynaptic density. Cell projection, dendrit. Cell projection, dendritic spine. Note=Interaction with CACNG2, CNIH2 and CNIH3 promotes cell surface expression. |
| 组织特异性 | Widely expressed in brain. |
| 翻译后修饰 | Palmitoylated. Depalmitoylated upon glutamate stimulation. Cys-603 palmitoylation leads to Golgi retention and decreased cell surface expression. In contrast, Cys-829 palmitoylation does not affect cell surface expression but regulates stimulation-dependent endocytosis. |
| 相似性 | Belongs to the glutamate-gated ion channel (TC 1.A.10.1) family. GRIA1 subfamily. |
| 功能 | Ionotropic glutamate receptor. L-glutamate acts as an excitatory neurotransmitter at many synapses in the central nervous system. Binding of the excitatory neurotransmitter L-glutamate induces a conformation change, leading to the opening of the cation channel, and thereby converts the chemical signal to an electrical impulse. The receptor then desensitizes rapidly and enters a transient inactive state, characterized by the presence of bound agonist. In the presence of CACNG4 or CACNG7 or CACNG8, shows resensitization which is characterized by a delayed accumulation of current flux upon continued application of glutamate. |
| 保存条件 | Shipped at 4℃. Store at -20℃ for one year. Avoid repeated freeze/thaw cycles. |
| 注意事项 | This product as supplied is intended for research use only, not for use in human, therapeutic or diagnostic applications. |
| 背景资料 | Glutamate receptors are the predominant excitatory neurotransmitter receptors in the mammalian brain and are activated in a variety of normal neurophysiologic processes. These receptors are heteromeric protein complexes with multiple subunits, each possessing transmembrane regions, and all arranged to form a ligand-gated ion channel. The classification of glutamate receptors is based on their activation by different pharmacologic agonists. This gene belongs to a family of alpha-amino-3-hydroxy-5-methyl-4-isoxazole propionate (AMPA) receptors. Alternatively spliced transcript variants encoding different isoforms have been found for this gene. [provided by RefSeq, Jul 2008]. |
| 应用 | 推荐稀释比例 |
| {WB} | {1:500-2000} |
| {IHC-P} | {1:100-200} |
| {IHC-F} | {1:100-200} |
| {IF} | {1:100-200} |
| {IP} | {1:20-50} |







风险提示:丁香通仅作为第三方平台,为商家信息发布提供平台空间。用户咨询产品时请注意保护个人信息及财产安全,合理判断,谨慎选购商品,商家和用户对交易行为负责。对于医疗器械类产品,请先查证核实企业经营资质和医疗器械产品注册证情况。
文献和实验[IF={{ 8.56 }}] {Ku, Tingting, et al. "NF-κB-regulated microRNA-574-5p underlies synaptic and cognitive impairment in response to atmospheric PM 2.5 aspiration." Particle and Fibre Toxicology 14.1 (2017): 34.} {WB} {="Mouse"}
[IF={{ 7.4 }}] {Song-Ji Li. et al. CNTN1 Aggravates Neuroinflammation and Triggers Cognitive Deficits in Male Mice by Boosting Crosstalk between Microglia and Astrocytes. AGING DIS. 2023 Oct 1; 14(5): 1853–1869} {WB} {Mouse}
[IF={{ 5.357 }}] {Li Song-Ji. et al. Infralimbic YTHDF1 is necessary for the beneficial effects of acute mild exercise on auditory fear extinction retention. CEREB CORTEX. 2022 May;:} {WB} {Mouse}
[IF={{ 4.6 }}] {Xiao-Yu Lu. et al. Oral edaravone ameliorates behavioral deficits and pathologies in a valproic acid-induced rat model of autism spectrum disorder. NEUROPHARMACOLOGY. 2024 Nov;258:110089} {WB} {Rat}
[IF={{ 2.772 }}] {Wang XP et al. Expression Changes of NMDA and AMPA Receptor Subunits in the Hippocampus in rats with Diabetes Induced by Streptozotocin Coupled with Memory Impairment. Neurochem Res. 2019 Feb 12.} {IF,WB} {Rat}
= NAL), appears to form upon oxidative cyclization of the nonfluorescent 2:1 lysine-HNE Michael adduct-Schiff base cross-link (Scheme 1). Polyclonal antibody (PAb) to the NAL-HNE fluorophore was raised in rabbit and found to be highly specific
GE Healthcare Benzamidine Sepharose™ 6B is p-aminobenzamidine covalently attached to Sepharose 6B by the epoxy coupling method. p-Aminobenzamidine (PAB), is a synthetic inhibitor of trypsin-like serine protease. Trypsin and trypsin
Nucleic Acid Programmable Protein Arrays: Versatile Tools for Array‐Based Functional Protein Studies
.g., Sigma) 50 mg/ml bis‐sulfosuccinimdylsuberate (BS3 ;Pierce, cat. no. PI 21580) in dimethylsulfoxide (DMSO) 5 mg/ml
技术资料暂无技术资料 索取技术资料






