相关产品推荐更多 >

EP4 Rabbit pAb, FITC conjugated(bs-24918R-FITC)-100ul
¥2980
BCMA Rabbit pAb(bs-3850R)-50ul/100ul/200ul
¥1180
Integrin alpha 1 Rabbit pAb, PE conjugated(bs-2095R-PE)-100ul
¥2980
HDAC3 Rabbit pAb, BF555 conjugated(bs-10024R-BF555)-100ul
¥2980
Prokineticin 1 Rabbit pAb, Biotin conjugated(bs-23741R-Bio)-100ul
¥2980
万千商家帮你免费找货
0 人在求购买到急需产品
- 详细信息
- 文献和实验
- 技术资料
- 应用范围:
产品信息以Bioss网站为准
- 规格:
50ul/100ul/200ul
| 规格: | 50ul | 产品价格: | ¥1180.0 |
|---|---|---|---|
| 规格: | 100ul | 产品价格: | ¥1980.0 |
| 规格: | 200ul | 产品价格: | ¥2800.0 |
| 产品编号 | bs-4159R |
| 英文名称 | PI 3 Kinase Class 3 Rabbit pAb |
| 中文名称 | 磷脂酰肌醇激酶3催化亚单位3抗体 |
| 英文别名 | PI 3 Kinase Class 3; Phosphatidylinositol 3 kinase catalytic subunit type 3; Phosphatidylinositol 3 kinase class 3; Phosphatidylinositol 3 kinase p100 subunit; phosphoinositide 3 kinase class 3; PI3 kinase type 3; PI3K type 3; PIK3C3; PtdIns 3 kinase type 3; Vps 34; Vps34; hVps34; MGC61518; PIK3C3; PI3 Kinase p100; PK3C3_HUMAN. |
| 产品应用 | WB=1:500-2000, IHC-P=1:100-500, IHC-F=1:100-500, IF=1:100-500 Not yet tested in other applications. |
| 交叉反应 | Human, Mouse, Rat (Chicken, Dog, Pig, Cow, Horse, Rabbit) |
| 抗体来源 | Rabbit |
| 免疫原 | KLH conjugated synthetic peptide derived from human PIK3C3/PI3 kinase type 3 |
| 亚型 | IgG |
| 性状 | Liquid |
| 纯化方法 | affinity purified by Protein A |
| 克隆类型 | Polyclonal |
| 理论分子量 | 98 kDa |
| 浓度 | 1mg/ml |
| 储存液 | 0.01M TBS (pH7.4) with 1% BSA, 0.02% Proclin300 and 50% Glycerol. |
| 研究领域 | Immunology > Innate Immunity > TLR Signaling Metabolism > Pathways and Processes > Metabolic signaling pathways > Lipid and lipoprotein metabolism > Lipid metabolism Signal Transduction > Signaling Pathway > Lipid Signaling > Lipid Kinases |
| 亚基 | Heterodimer. This subunit, part of a complex composed of regulatory and catalytic subunits, associates with regulatory subunit PIK3R4. Forms a complex with BECN1, PIK3R4 and either UVRAG and KIAA0226/Rubicon, or with ATG14. In this complex, presence of UVRAG and ATG14 are mutually exclusive. Part of a complex composed of PIK3R4 and PIK3CB (By similarity). Interacts with RAB7A in the presence of PIK3R4. |
| 亚细胞定位 | Midbody. Late endosome. |
| 组织特异性 | Ubiquitously expressed, with a highest expression in skeletal muscle. |
| 相似性 | Belongs to the PI3/PI4-kinase family. Contains 1 C2 PI3K-type domain. Contains 1 PI3K/PI4K domain. Contains 1 PIK helical domain. |
| 功能 | Catalytic subunit of the PI3K complex that mediates formation of phosphatidylinositol 3-phosphate which plays a key role in initiation and maturation of autophagosomes. Involved in the transport of lysosomal enzyme precursors to lysosomes. Required for the abcission step in cytokinesis. Required for transport from early to late endosomes. |
| 保存条件 | Shipped at 4℃. Store at -20℃ for one year. Avoid repeated freeze/thaw cycles. |
| 注意事项 | This product as supplied is intended for research use only, not for use in human, therapeutic or diagnostic applications. |
| 背景资料 | PI 3 Kinase Class 3 is a member of the PI3/PI4-kinase family. It is the catalytic subunit of the PI3K complex. It is involved in the transport of lysosomal enzyme precursors to lysosomes. It is ubiquitously expressed, with a highest expression in skeletal muscle. |
| 应用 | 推荐稀释比例 |
| {WB} | {1:500-2000} |
| {IHC-P} | {1:100-500} |
| {IHC-F} | {1:100-500} |
| {IF} | {1:100-500} |









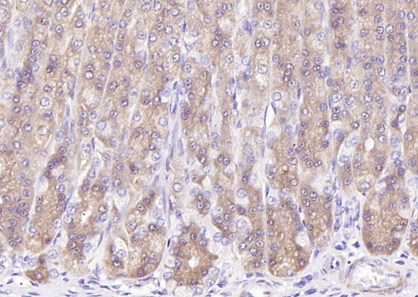
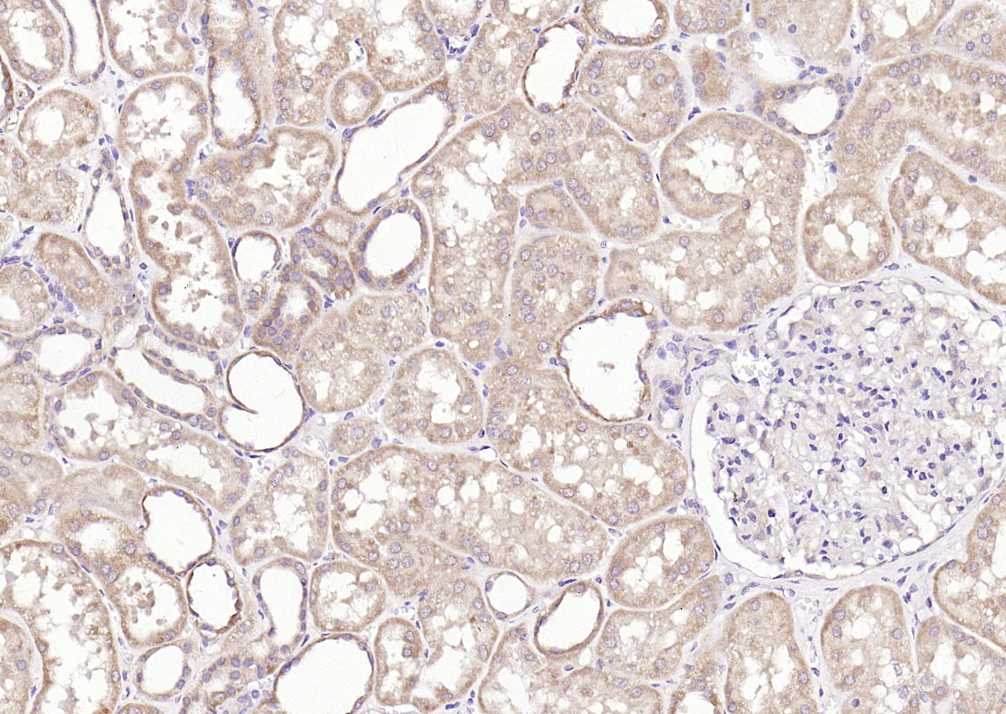
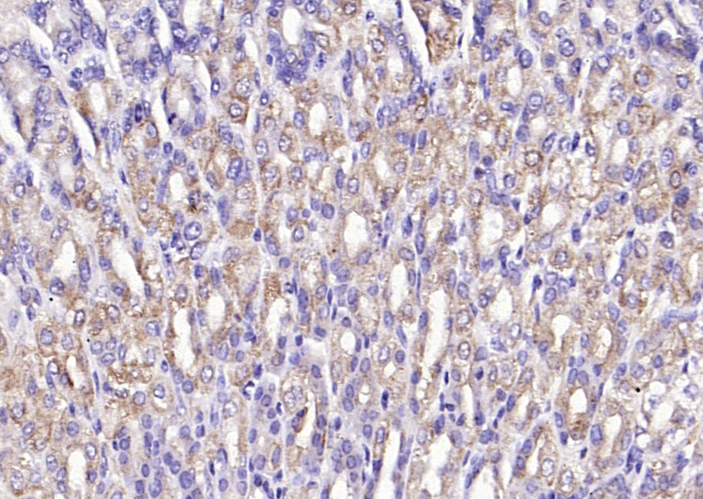
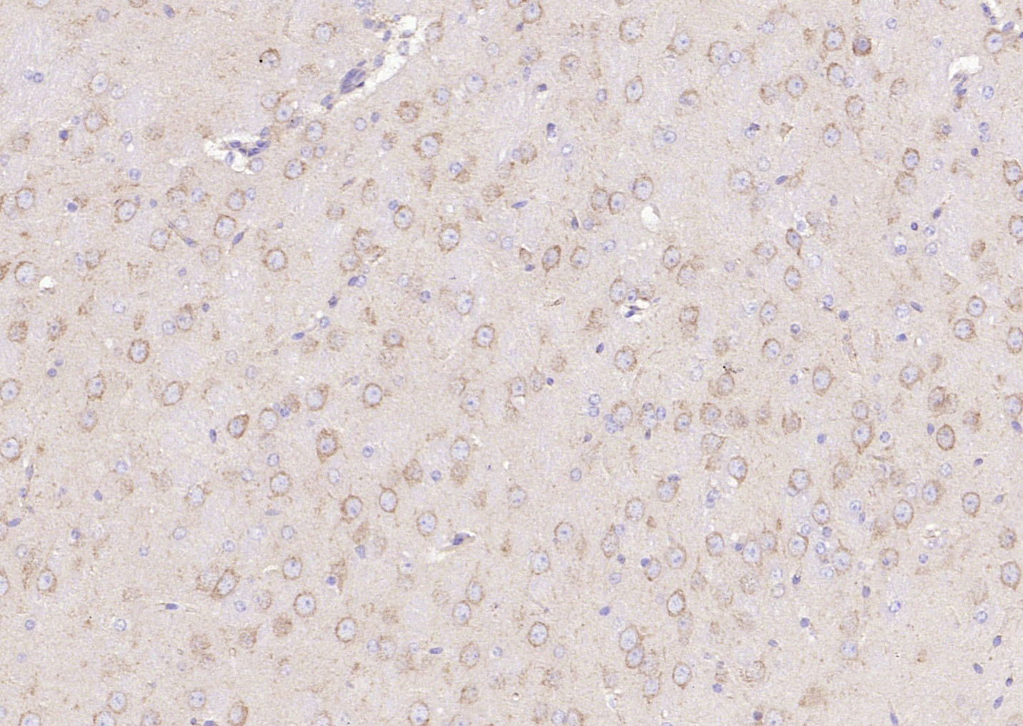
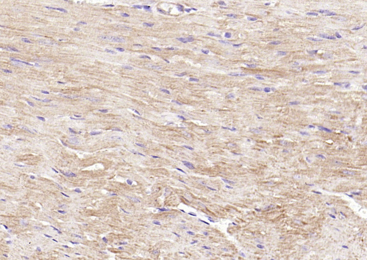
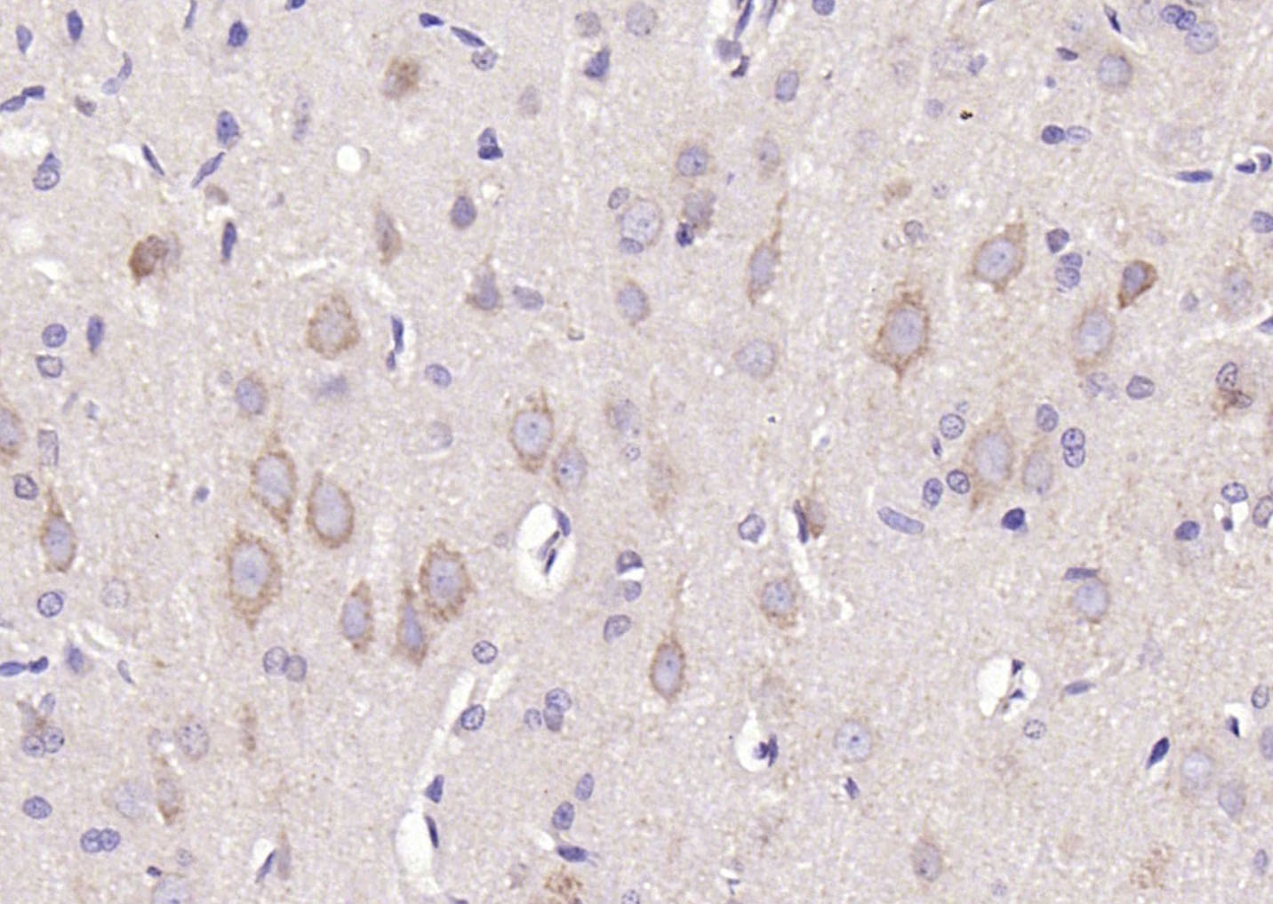
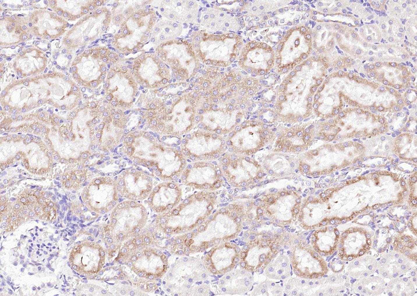
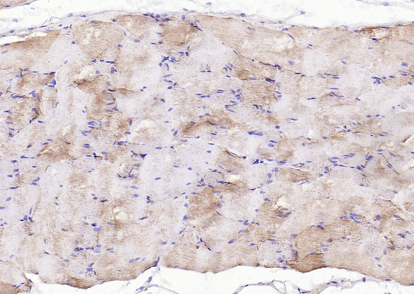
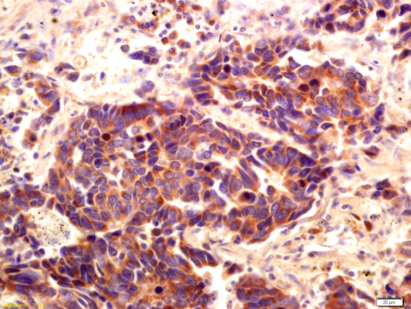
Antigen retrieval: citrate buffer ( 0.01M, pH 6.0 ), Boiling bathing for 15min; Block endogenous peroxidase by 3% Hydrogen peroxide for 30min; Blocking buffer (normal goat serum,C-0005) at 37℃ for 20 min;
Incubation: Anti-PI 3 Kinase Class 3 Polyclonal Antibody, Unconjugated(bs-4159R) 1:200, overnight at 4°C, followed by conjugation to the secondary antibody(SP-0023) and DAB(C-0010) staining

brain(mouse) Lysate at 40 ug
Primary: Anti-PI 3 Kinase Class 3 (bs-4159R) at 1/300 dilution
Secondary: IRDye800CW Goat Anti-Rabbit IgG at 1/20000 dilution
Predicted band size: 98kD
Observed band size: 98 kD
风险提示:丁香通仅作为第三方平台,为商家信息发布提供平台空间。用户咨询产品时请注意保护个人信息及财产安全,合理判断,谨慎选购商品,商家和用户对交易行为负责。对于医疗器械类产品,请先查证核实企业经营资质和医疗器械产品注册证情况。
文献和实验[IF={{ 13.3 }}] {Ze-Min Li. et al. Bunyavirus SFTSV NSs utilizes autophagy to escape the antiviral innate immune response. AUTOPHAGY. 2024 五月 18} {IP,WB,Co-IP} {Human}
【资源】全面归类网址:毕赤酵母表达各种来源蛋白(细菌,真菌,植物,人类等)
, 366, 369, 371, 372Mouse Fv heterodimerS, 4 mg/L, α-MF, active564Mouse CC ChemokineS, α-MF, active394Murine endostatinS, 700 mg/L, α-MF170, 510, 515Mouse epidermal growth factorS, 450 mg/L, α-MF[162]Mouse gelatinase BS, 10 mg/L, α-MF[163]Mouse P
技术资料暂无技术资料 索取技术资料






