相关产品推荐更多 >

IL12B Rabbit pAb(bs-10641R)-50ul/100ul/200ul
¥1180
TNFSF13B Rabbit pAb, PerCP-Cy7 conjugated(bs-2431R-PerCP-Cy7)-100ul
¥2980
phospho-MDM2 (Ser166) Rabbit pAb, BF647 conjugated(bs-3266R-BF647)-100ul
¥2980
CD97 Rabbit pAb, APC-Cy7 conjugated(bs-2522R-APC-Cy7)-100ul
¥2980
phospho-MDMX (Ser367) Rabbit pAb(bs-18748R)-50ul/100ul/200ul
¥1180
万千商家帮你免费找货
0 人在求购买到急需产品
- 详细信息
- 文献和实验
- 技术资料
- 应用范围:
产品信息以Bioss网站为准
- 规格:
50ul/100ul/200ul
| 规格: | 50ul | 产品价格: | ¥1180.0 |
|---|---|---|---|
| 规格: | 100ul | 产品价格: | ¥1980.0 |
| 规格: | 200ul | 产品价格: | ¥2800.0 |
| 产品编号 | bs-0073R |
| 英文名称 | Neurturin Rabbit pAb |
| 中文名称 | 神经营养因子抗体 |
| 英文别名 | Neurturin precursor; Neurturin; NRTN; NTN; NRTN_HUMAN. |
| 产品应用 | WB=1:500-2000, IHC-P=1:100-500, IHC-F=1:100-500, IF=1:100-500 Not yet tested in other applications. |
| 交叉反应 | Human, Mouse (Rat, Dog, Cow) |
| 抗体来源 | Rabbit |
| 免疫原 | KLH conjugated synthetic peptide derived from human Neurturin |
| 亚型 | IgG |
| 性状 | Liquid |
| 纯化方法 | affinity purified by Protein A |
| 克隆类型 | Polyclonal |
| 理论分子量 | 21 kDa |
| 浓度 | 1mg/ml |
| 储存液 | 0.01M TBS (pH7.4) with 1% BSA, 0.02% Proclin300 and 50% Glycerol. |
| 研究领域 | Neuroscience > Neurology process > Growth and Development > Neurotrophins |
| 亚基 | Homodimer; disulfide-linked. |
| 亚细胞定位 | Secreted. |
| 相似性 | Belongs to the TGF-beta family. GDNF subfamily. |
| 功能 | Supports the survival of sympathetic neurons in culture. May regulate the development and maintenance of the CNS. Might control the size of non-neuronal cell population such as haemopoietic cells. |
| 保存条件 | Shipped at 4℃. Store at -20℃ for one year. Avoid repeated freeze/thaw cycles. |
| 注意事项 | This product as supplied is intended for research use only, not for use in human, therapeutic or diagnostic applications. |
| 背景资料 | Human Neurturin (NTN) and Human GDNF comprise a family of TGF-beta related neurotrophic factor which have trophic influences on a variety of neuronal populations. Neurturin promotes the survival of certain sympathetic and sensory neurins through interaction with distinct set of GDNF-like receptors |
| 应用 | 推荐稀释比例 |
| {WB} | {1:500-2000} |
| {IHC-P} | {1:100-500} |
| {IHC-F} | {1:100-500} |
| {IF} | {1:100-500} |

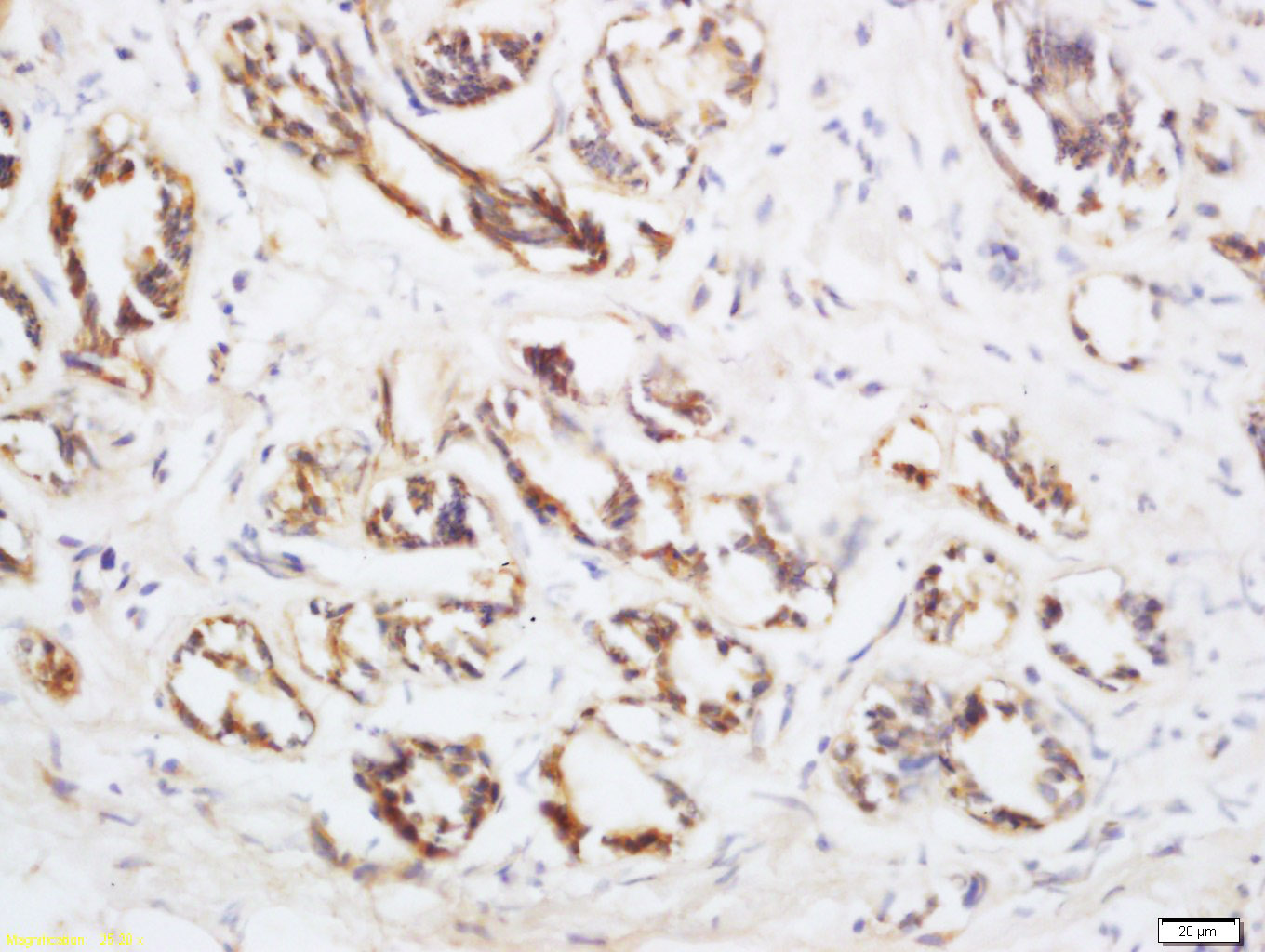
Antigen retrieval: citrate buffer ( 0.01M, pH 6.0 ), Boiling bathing for 15min; Block endogenous peroxidase by 3% Hydrogen peroxide for 30min; Blocking buffer (normal goat serum,C-0005) at 37℃ for 20 min;
Incubation: Anti-Neurturin Polyclonal Antibody, Unconjugated(bs-0073R) 1:100, overnight at 4°C, followed by conjugation to the secondary antibody(SP-0023) and DAB(C-0010) staining

Placenta(Mouse)lysate at 30 ug;
Brain(Mouse) lysate at 30 ug;
Primary: Anti- Neurturin (bs-0073R) at 1:300 dilution;
Secondary: HRP conjugated Goat-Anti-rabbit IgG(bs-0295G-HRP) at 1: 5000 dilution;
Predicted band size: 21 kD
Observed band size: 21 kD

Lane 1: Human K562 cell Lysates
Lane 2: Human 293T cell Lysates
Primary: Anti-Neurturin (bs-0073R) at 1/1000 dilution
Secondary: IRDye800CW Goat Anti-Rabbit IgG at 1/20000 dilution
Predicted band size: 21kDa
Observed band size: 21kDa
风险提示:丁香通仅作为第三方平台,为商家信息发布提供平台空间。用户咨询产品时请注意保护个人信息及财产安全,合理判断,谨慎选购商品,商家和用户对交易行为负责。对于医疗器械类产品,请先查证核实企业经营资质和医疗器械产品注册证情况。
文献和实验[IF={{ 6.1 }}] {Jing Man. et al. TANGO1 interacts with NRTN to promote hepatocellular carcinoma progression by regulating the PI3K/AKT/mTOR signaling pathway. BIOCHEM PHARMACOL. 2023 Jul;213:115615} {ICC,WB} {Human}
[IF={{ 2.46 }}] {Lu, Yanmei, et al. "Effect of Low-level Vagus Nerve Stimulation on Cardiac Remodeling in a Rapid Atrial Pacing–induced Canine Model of Atrial Fibrillation." Journal of cardiovascular pharmacology 67.3 (2016): 218-224.} {IHC} {="Dog"}
技术资料暂无技术资料 索取技术资料





