相关产品推荐更多 >
万千商家帮你免费找货
0 人在求购买到急需产品
- 详细信息
- 文献和实验
- 技术资料
- 应用范围:
产品信息以Bioss网站为准
- 规格:
50ul/100ul/200ul
| 规格: | 50ul | 产品价格: | ¥1180.0 |
|---|---|---|---|
| 规格: | 100ul | 产品价格: | ¥1980.0 |
| 规格: | 200ul | 产品价格: | ¥2800.0 |
| 产品编号 | bs-2972R |
| 英文名称 | HES1 Rabbit pAb |
| 中文名称 | 转录因子HES-1抗体 |
| 英文别名 | bHLHb39; C-HAIRY1; c-hairy1A; Class B basic helix-loop-helix protein 39; FLJ20408; Hairy and enhancer of split 1(Drosophila); Hairy and enhancer of split 1; Hairy Enhancer of Split 1; Hairy homolog(Drosophila); Hairy Homolog; Hairy like; Hairy, Drosophila, homolog of; Hairy-like protein; Hairy/enhancer of split, Drosophila, homolog of, 1; HAIRY1; HES-1; hes1; Hes1 hairy and enhancer of split 1(Drosophila); HES1_HUMAN; HHL; HL; HRY; RHL; Transcription factor HES 1; Transcription factor HES-1. |
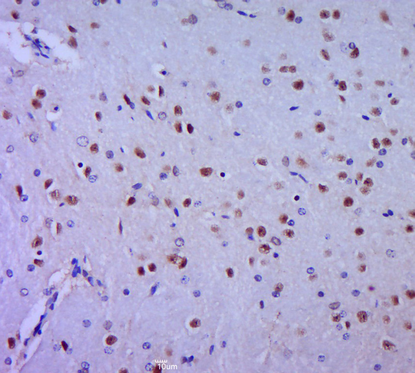
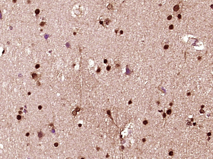
| 产品应用 | IHC-P=1:100-500, IHC-F=1:100-500, ICC/IF=1:50-200, IF=1:100-500, Flow-Cyt=1ug/Test Not yet tested in other applications. |
| 交叉反应 | Human, Mouse (Rat, Pig, Cow, Horse, Rabbit) |
| 抗体来源 | Rabbit |
| 免疫原 | KLH conjugated synthetic peptide derived from human HES1 |
| 亚型 | IgG |
| 性状 | Liquid |
| 纯化方法 | affinity purified by Protein A |
| 克隆类型 | Polyclonal |
| 理论分子量 | 30 kDa |
| 浓度 | 1mg/ml |
| 储存液 | 0.01M TBS (pH7.4) with 1% BSA, 0.02% Proclin300 and 50% Glycerol. |
| 研究领域 | Epigenetics and Nuclear Signaling > Transcription > Other factors Epigenetics and Nuclear Signaling > Transcription > Transcription Factors Neuroscience > Neurology process > Neurogenesis |
| 亚基 | Transcription repression requires formation of a complex with a corepressor protein of the Groucho/TLE family. Interacts (via WPRW motif) with TLE1, and more weakly with TLE2. Interacts with HES6 (By similarity). Interacts with SIRT1. Interacts with an FA complex, composed of FANCA, FANCF, FANCG and FANCL, but not of FANCC, nor FANCE. |
| 亚细胞定位 | Nucleus. |
| 相似性 | Contains 1 basic helix-loop-helix (bHLH) domain. Contains 1 Orange domain. |
| 功能 | Transcriptional repressor of genes that require a bHLH protein for their transcription. May act as a negative regulator of myogenesis by inhibiting the functions of MYOD1 and ASH1. Binds DNA on N-box motifs: 5'-CACNAG-3' with high affinity and on E-box motifs: 5'-CANNTG-3' with low affinity. |
| 保存条件 | Shipped at 4℃. Store at -20℃ for one year. Avoid repeated freeze/thaw cycles. |
| 注意事项 | This product as supplied is intended for research use only, not for use in human, therapeutic or diagnostic applications. |
| 背景资料 | Transcriptional repressor of genes that require a bHLH protein for their transcription. May act as a negative regulator of myogenesis by inhibiting the functions of MYOD1 and ASH1. Binds DNA on N-box motifs: 5'-CACNAG-3' with high affinity and on E-box motifs: 5'-CANNTG-3' with low affinity. |
| 应用 | 推荐稀释比例 |
| {IHC-P} | {1:100-500} |
| {IHC-F} | {1:100-500} |
| {ICC/IF} | {1:50-200} |
| {IF} | {1:100-500} |
| {Flow-Cyt} | {1ug/Test} |


Primary Antibody (green line): Rabbit Anti-HES1 antibody (bs-2972R)
Dilution: 1μg /10^6 cells;
Isotype Control Antibody (orange line): Rabbit IgG .
Secondary Antibody : Goat anti-rabbit IgG-AF647
Dilution: 1μg /test.
Protocol
The cells were fixed with 4% PFA (10min at room temperature)and then permeabilized with 90% ice-cold methanol for 20 min at-20℃.The cells were then incubated in 5%BSA to block non-specific protein-protein interactions for 30 min at room temperature .Cells stained with Primary Antibody for 30 min at room temperature. The secondary antibody used for 40 min at room temperature. Acquisition of 20,000 events was performed.



风险提示:丁香通仅作为第三方平台,为商家信息发布提供平台空间。用户咨询产品时请注意保护个人信息及财产安全,合理判断,谨慎选购商品,商家和用户对交易行为负责。对于医疗器械类产品,请先查证核实企业经营资质和医疗器械产品注册证情况。
文献和实验[IF={{ 5.7 }}] {Hangbin Xia. et al.Combined magnesium and silicon ions synergistically promote functional regeneration of skeletal muscle by regulating satellite cell fate..Regenerative Biomaterials.2025 Feb 19:12:rbaf008.} {IF} {Mouse}
[IF={{ 5.17 }}] {Wang et al. Hes1 triggers epithelial-mesenchymal transition (EMT)-like cellular marker alterations and promotes invasion and metastasis of nasopharyngeal carcinoma by activating the PTEN/AKT pathway. (2015) Oncotarge. 6:36713-30} {WB,IHC} {Human}
[IF={{ 5.008 }}] {Gao et al. Hes1 promotes cell proliferation and migration by activating Bmi-1 and PTEN/Akt/GSK3β pathway in human colon cancer. (2015) Oncotarge. 6:38667-80} {IHC,ICC,WB} {Human, Mouse}
[IF={{ 4.486 }}] {Chong Yin. et al. MACF1 alleviates aging-related osteoporosis via HES1. 2021 Jun 15} {WB,IHC} {Mouse}
[IF={{ 3.6 }}] {Yahao Zhao. et al. PEAR1 Promotes Myoblast Proliferation Through Notch Signaling Pathway. BIOLOGY-BASEL. 2024 Dec;13(12):1063} {WB} {Mouse}
= NAL), appears to form upon oxidative cyclization of the nonfluorescent 2:1 lysine-HNE Michael adduct-Schiff base cross-link (Scheme 1). Polyclonal antibody (PAb) to the NAL-HNE fluorophore was raised in rabbit and found to be highly specific
GE Healthcare Benzamidine Sepharose™ 6B is p-aminobenzamidine covalently attached to Sepharose 6B by the epoxy coupling method. p-Aminobenzamidine (PAB), is a synthetic inhibitor of trypsin-like serine protease. Trypsin and trypsin
Nucleic Acid Programmable Protein Arrays: Versatile Tools for Array‐Based Functional Protein Studies
.g., Sigma) 50 mg/ml bis‐sulfosuccinimdylsuberate (BS3 ;Pierce, cat. no. PI 21580) in dimethylsulfoxide (DMSO) 5 mg/ml
技术资料暂无技术资料 索取技术资料










