相关产品推荐更多 >

GSK-3 beta Rabbit pAb, Biotin conjugated(bs-0023R-Bio)-100ul
¥2980
Actin Recombinant Rabbit mAb(bsm-52832R)-100ul/50ul/25ul
¥800
IGLL1 Rabbit pAb, Biotin conjugated(bs-15577R-Bio)-100ul
¥2980
CSFV Serine protease NS3 Rabbit pAb, HRP conjugated(bs-4530R-HRP)-100ul
¥2980
NDST2 Rabbit pAb, Cy3 conjugated(bs-19063R-Cy3)-100ul
¥2980
万千商家帮你免费找货
0 人在求购买到急需产品
- 详细信息
- 文献和实验
- 技术资料
- 应用范围:
产品信息以Bioss网站为准
- 规格:
50ul/100ul/200ul
| 规格: | 50ul | 产品价格: | ¥1180.0 |
|---|---|---|---|
| 规格: | 100ul | 产品价格: | ¥1980.0 |
| 规格: | 200ul | 产品价格: | ¥2800.0 |
| 产品编号 | bs-0770R |
| 英文名称 | SFTPA1 Rabbit pAb |
| 中文名称 | 肺表面活性蛋白A抗体 |
| 英文别名 | SP-A; SFTPA2; SFTPA1; Surfactant Protein A; pulmonary surfactant-associated glycoprotein A; Pulmonary surfactant-associated protein A2 precursor; SP-A1; SP-A2; SP-A; PSP-A; PSPA; Alveolar proteinosis protein; 35 kDa pulmonary surfactant-associated protein; MGC133365; Pulmonary surfactant apoprotein; Pulmonary surfactant associated protein; SFTP1; SFTPA; SFTPA1B; SP A; SP A1; Surfactant pulmonary associated protein A1; PSPA; SPA2; SFTP1; SPAII; COLEC5; SFTPA2B; SFTA1_HUMAN; SFPA2_HUMAN; Pulmonary surfactant-associated protein A1; Pulmonary surfactant-associated protein A2. |
| 产品应用 | IHC-P=1:100-500, IHC-F=1:100-500, IF=1:100-500 Not yet tested in other applications. |
| 交叉反应 | Human (Mouse, Rat) |
| 抗体来源 | Rabbit |
| 免疫原 | KLH conjugated synthetic peptide derived from human SFTPA2/SFTPA1 |
| 亚型 | IgG |
| 性状 | Liquid |
| 纯化方法 | affinity purified by Protein A |
| 克隆类型 | Polyclonal |
| 理论分子量 | 25 kDa |
| 浓度 | 1mg/ml |
| 储存液 | 0.01M TBS (pH7.4) with 1% BSA, 0.02% Proclin300 and 50% Glycerol. |
| 研究领域 | Signal Transduction > Cytoskeleton / ECM > Extracellular Matrix > ECM Proteins > Other ECM Proteins |
| 亚基 | Oligomeric complex of 6 set of homotrimers. |
| 亚细胞定位 | Secreted, extracellular space, extracellular matrix. Secreted, extracellular space, surface film. |
| 相似性 | Belongs to the SFTPA family.
Contains 1 C-type lectin domain. Contains 1 collagen-like domain. |
| 功能 | In presence of calcium ions, it binds to surfactant phospholipids and contributes to lower the surface tension at the air-liquid interface in the alveoli of the mammalian lung and is essential for normal respiration. |
| 保存条件 | Shipped at 4℃. Store at -20℃ for one year. Avoid repeated freeze/thaw cycles. |
| 注意事项 | This product as supplied is intended for research use only, not for use in human, therapeutic or diagnostic applications. |
| 背景资料 | This gene is one of several genes encoding pulmonary-surfactant associated proteins (SFTPA) located on chromosome 10. Mutations in this gene and a highly similar gene located nearby, which affect the highly conserved carbohydrate recognition domain, are associated with idiopathic pulmonary fibrosis. The current version of the assembly displays only a single centromeric SFTPA gene pair rather than the two gene pairs shown in the previous assembly which were thought to have resulted from a duplication. [provided by RefSeq, Sep 2009] |
| 应用 | 推荐稀释比例 |
| {IHC-P} | {1:100-500} |
| {IHC-F} | {1:100-500} |
| {IF} | {1:100-500} |

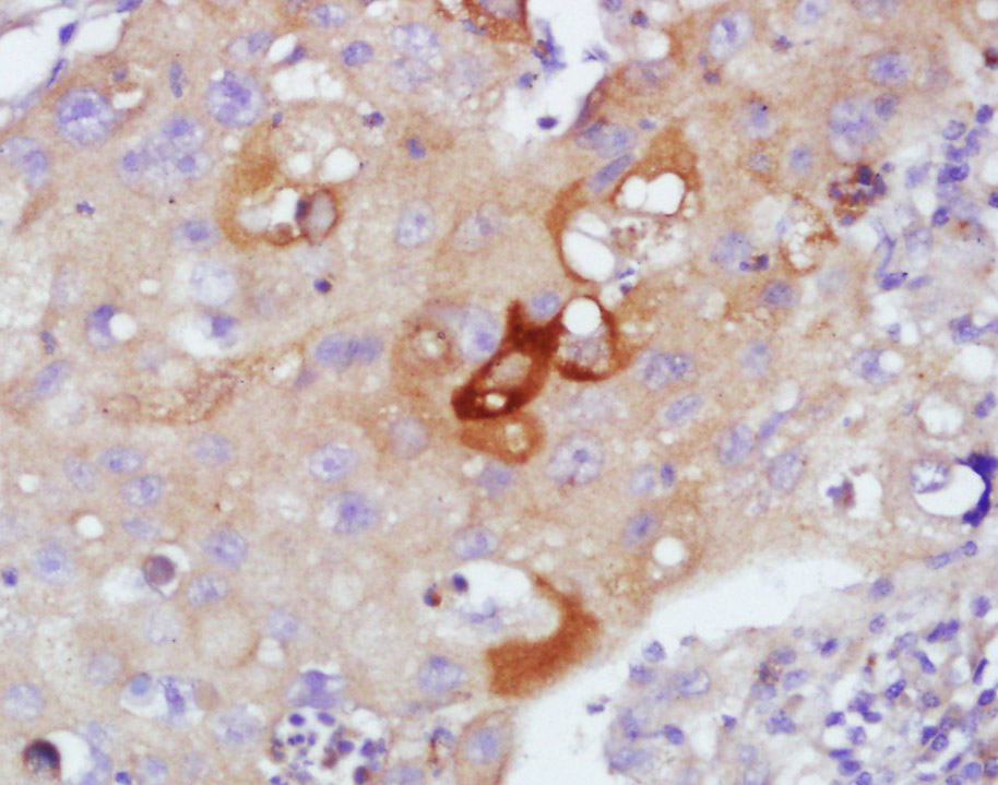
Antigen retrieval: citrate buffer ( 0.01M, pH 6.0 ), Boiling bathing for 15min; Block endogenous peroxidase by 3% Hydrogen peroxide for 30min; Blocking buffer (normal goat serum,C-0005) at 37℃ for 20 min;
Incubation: Anti-SP-A Polyclonal Antibody, Unconjugated(bs-0770R) 1:200, overnight at 4°C, followed by conjugation to the secondary antibody(SP-0023) and DAB(C-0010) staining

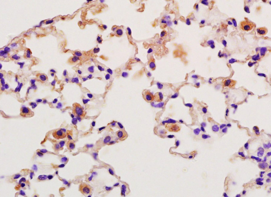
Antigen retrieval: citrate buffer ( 0.01M, pH 6.0 ), Boiling bathing for 15min; Block endogenous peroxidase by 3% Hydrogen peroxide for 30min; Blocking buffer (normal goat serum,C-0005) at 37℃ for 20 min;
Incubation: Anti-SP-A Polyclonal Antibody, Unconjugated(bs-0770R) 1:200, overnight at 4°C, followed by conjugation to the secondary antibody(SP-0023) and DAB(C-0010) staining

风险提示:丁香通仅作为第三方平台,为商家信息发布提供平台空间。用户咨询产品时请注意保护个人信息及财产安全,合理判断,谨慎选购商品,商家和用户对交易行为负责。对于医疗器械类产品,请先查证核实企业经营资质和医疗器械产品注册证情况。
文献和实验[IF={{ 3.061 }}] {Fang Q et al. pre-B cell colony enhancing factor negatively regulates Na and fluid transport in lung epithelial cells. Am J Transl Res. 2018 Jul 15;10(7):2047-2054. eCollection 2018.} {ICC,WB} {Rat}
[IF={{ 2.741 }}] {Tara Bocking. et al. Research article expression of surfactant protein-A and D, and CD9 in lungs of 1 and 30 day old foals. Bmc Vet Res. 2021 Dec;17(1):1-9} {WB,IHC} {Foal}
[IF={{ 0.267 }}] {Tai-Wen Raoet al. Effect of oxygen supplement during targeted temperature management on acute lung injury in the early stage of traumatic hemorrhagic shock. European Journal of Inflammation Volume 18: 1–7} {WB} {rabbit}
= NAL), appears to form upon oxidative cyclization of the nonfluorescent 2:1 lysine-HNE Michael adduct-Schiff base cross-link (Scheme 1). Polyclonal antibody (PAb) to the NAL-HNE fluorophore was raised in rabbit and found to be highly specific
GE Healthcare Benzamidine Sepharose™ 6B is p-aminobenzamidine covalently attached to Sepharose 6B by the epoxy coupling method. p-Aminobenzamidine (PAB), is a synthetic inhibitor of trypsin-like serine protease. Trypsin and trypsin
Nucleic Acid Programmable Protein Arrays: Versatile Tools for Array‐Based Functional Protein Studies
.g., Sigma) 50 mg/ml bis‐sulfosuccinimdylsuberate (BS3 ;Pierce, cat. no. PI 21580) in dimethylsulfoxide (DMSO) 5 mg/ml
技术资料暂无技术资料 索取技术资料






