相关产品推荐更多 >
万千商家帮你免费找货
0 人在求购买到急需产品
- 详细信息
- 文献和实验
- 技术资料
- 应用范围:
产品信息以Bioss网站为准
- 规格:
50ul/100ul/200ul
| 规格: | 50ul | 产品价格: | ¥1180.0 |
|---|---|---|---|
| 规格: | 100ul | 产品价格: | ¥1980.0 |
| 规格: | 200ul | 产品价格: | ¥2800.0 |
| 产品编号 | bs-0511R |
| 英文名称 | FADD Rabbit pAb |
| 中文名称 | Fas死亡结构域相关蛋白抗体 |
| 英文别名 | FADD_HUMAN; FAS-associated death domain protein; FAS-associating death domain-containing protein; MORT1; GIG3; GIG 3; IMD90; FAS-associating death domain-containing protein; Growth-inhibiting gene 3 protein; Mediator of receptor induced toxicity; |
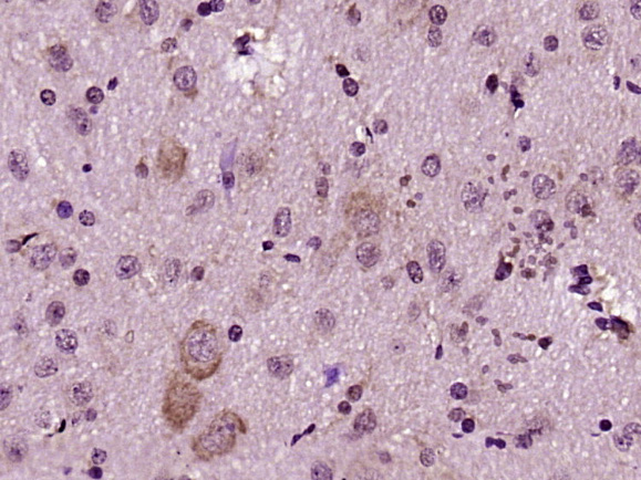
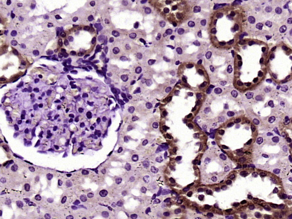
| 产品应用 | WB=1:500-2000, IHC-P=1:100-500, IHC-F=1:100-500, IF=1:100-500 Not yet tested in other applications. |
| 交叉反应 | Human, Rat (Mouse, Pig, Rabbit) |
| 抗体来源 | Rabbit |
| 免疫原 | KLH conjugated synthetic peptide derived from human FADD |
| 亚型 | IgG |
| 性状 | Liquid |
| 纯化方法 | affinity purified by Protein A |
| 克隆类型 | Polyclonal |
| 理论分子量 | 23 kDa |
| 浓度 | 1mg/ml |
| 储存液 | 0.01M TBS (pH7.4) with 1% BSA, 0.02% Proclin300 and 50% Glycerol. |
| 研究领域 | Cancer > Cell Death > Apoptosis > Receptors > Death receptors & ligands > FADD Cancer > Cell Death > Necroptosis Cancer > Invasion/microenvironment > Apoptosis > Death receptors & ligands > FADD Cell Biology > Apoptosis > Intracellular > Associated Proteins |
| 亚基 | Can self-associate. Interacts with CFLAR, PEA15 and MBD4. When phosphorylated, part of a complex containing HIPK3 and FAS. May interact with MAVS/IPS1. Interacts with MOCV v-CFLAR protein and LRDD. Interacts (via death domain) with FAS (via death domain). Interacts with CASP8. |
| 组织特异性 | Expressed in a wide variety of tissues, except for peripheral blood mononuclear leukocytes. |
| 相似性 | Contains 1 death domain. Contains 1 DED (death effector) domain. |
| 功能 | Apoptotic adaptor molecule that recruits caspase-8 or caspase-10 to the activated Fas (CD95) or TNFR-1 receptors. The resulting aggregate called the death-inducing signaling complex (DISC) performs caspase-8 proteolytic activation. Active caspase-8 initiates the subsequent cascade of caspases mediating apoptosis. Involved in interferon-mediated antiviral immune response, playing a role in the positive regulation of interferon signaling. |
| 保存条件 | Shipped at 4℃. Store at -20℃ for one year. Avoid repeated freeze/thaw cycles. |
| 注意事项 | This product as supplied is intended for research use only, not for use in human, therapeutic or diagnostic applications. |
| 背景资料 | Predicted to enable several functions, including caspase binding activity; death effector domain binding activity; and tumor necrosis factor receptor superfamily binding activity. Involved in several processes, including hematopoietic or lymphoid organ development; negative regulation of activation-induced cell death of T cells; and positive regulation of CD8-positive, alpha-beta cytotoxic T cell extravasation. Acts upstream of or within extrinsic apoptotic signaling pathway in absence of ligand; motor neuron apoptotic process; and regulation of programmed cell death. Predicted to be located in several cellular components, including cell body; cytosol; and membrane raft. Predicted to be part of CD95 death-inducing signaling complex and ripoptosome. Predicted to be active in cytoplasm. Is expressed in several structures, including alimentary system; brain; genitourinary system; hemolymphoid system gland; and liver and biliary system. Human ortholog(s) of this gene implicated in leukemia. Orthologous to human FADD (Fas associated via death domain). [provided by Alliance of Genome Resources, Apr 2022] |
| 应用 | 推荐稀释比例 |
| {WB} | {1:500-2000} |
| {IHC-P} | {1:100-500} |
| {IHC-F} | {1:100-500} |
| {IF} | {1:100-500} |

A431(Human) Cell Lysate at 30 ug
Primary: Anti-FADD (bs-0511R) at 1/300 dilution
Secondary: IRDye800CW Goat Anti-Rabbit IgG at 1/20000 dilution
Predicted band size: 23 kD
Observed band size: 23 kD



Lane 1: Rat Kidney tissue lysates
Lane 2: Human MCF-7 cell lysates
Lane 3: Human HeLa cell lysates
Primary: Anti-FADD (bs-0511R) at 1/1000 dilution
Secondary: IRDye800CW Goat Anti-Rabbit IgG at 1/20000 dilution
Predicted band size: 23 kDa
Observed band size: 23 kDa
风险提示:丁香通仅作为第三方平台,为商家信息发布提供平台空间。用户咨询产品时请注意保护个人信息及财产安全,合理判断,谨慎选购商品,商家和用户对交易行为负责。对于医疗器械类产品,请先查证核实企业经营资质和医疗器械产品注册证情况。
文献和实验[IF={{ 7.129 }}] {Furui Han. et al. In vivo and in vitro study on hepatotoxicity of Tris-(2, 3-dibromopropyl) isocyanurate exposure via mitochondrial and death receptor pathway. ECOTOX ENVIRON SAFE. 2022 Nov;246:114186} {WB} {Rat, Human}
[IF={{ 4.181 }}] {Yang et al. Sialic acid rescues repurified lipopolysaccharide-induced acute renal failure via inhibiting TLR4/PKC/gp91-mediated endoplasmic reticulum stress, apoptosis, autophagy, and pyroptosis signaling. (2014) Toxicol.Sci. 141:155-65} {WB} {Rat}
[IF={{ 2.92 }}] {Luan Jing. et al. Inhibition of CHRM3 Alleviates Necrosis Via the MAPK-p38/miR-31-5p/RIP3 Axis in l-Arginine–Induced Severe Acute Pancreatitis. Pancreas. 2020 Nov;49(10):1335-1341} {WB} {Mouse}
[IF={{ 2.791 }}] {Wang Q et al. Cdc20 and molecular chaperone CCT2 and CCT5 are required for the Muscovy duck reovirus p10. 8-induced cell cycle arrest and apoptosis. Vet Microbiol. 2019 Jun 28;235:151-163.} {WB} {Monkey}
[IF={{ 1.66 }}] {Ji and Ji Laminarin-induced apoptosis in human colon cancer LoVo cells. (2014) Oncol.Lett. 7:1728-1732} {WB} {Human}
= NAL), appears to form upon oxidative cyclization of the nonfluorescent 2:1 lysine-HNE Michael adduct-Schiff base cross-link (Scheme 1). Polyclonal antibody (PAb) to the NAL-HNE fluorophore was raised in rabbit and found to be highly specific
GE Healthcare Benzamidine Sepharose™ 6B is p-aminobenzamidine covalently attached to Sepharose 6B by the epoxy coupling method. p-Aminobenzamidine (PAB), is a synthetic inhibitor of trypsin-like serine protease. Trypsin and trypsin
Nucleic Acid Programmable Protein Arrays: Versatile Tools for Array‐Based Functional Protein Studies
.g., Sigma) 50 mg/ml bis‐sulfosuccinimdylsuberate (BS3 ;Pierce, cat. no. PI 21580) in dimethylsulfoxide (DMSO) 5 mg/ml
技术资料暂无技术资料 索取技术资料









