相关产品推荐更多 >

Nestin Rabbit pAb(bs-0008R)-50ul/100ul/200ul
¥1180
FNTB Rabbit pAb, Biotin conjugated(bs-9548R-Bio)-100ul
¥2980
Activin A Receptor Type IC Rabbit pAb, APC-Cy5.5 conjugated(bs-5777R-APC-Cy5.5)-100ul
¥2980
SH2D5 Rabbit pAb, AP conjugated(bs-19746R-AP)-100ul
¥2980
phospho-FADD (Ser194) Recombinant Rabbit mAb(bsm-60717R)-50ul/100ul/25ul
¥800
万千商家帮你免费找货
0 人在求购买到急需产品
- 详细信息
- 文献和实验
- 技术资料
- 应用范围:
产品信息以Bioss网站为准
- 规格:
50ul/100ul/200ul
| 规格: | 50ul | 产品价格: | ¥1180.0 |
|---|---|---|---|
| 规格: | 100ul | 产品价格: | ¥1980.0 |
| 规格: | 200ul | 产品价格: | ¥2800.0 |
| 产品编号 | bs-0630R |
| 英文名称 | Angiotensin II Type 1 Receptor Rabbit pAb |
| 中文名称 | 血管紧张素Ⅱ-1型受体抗体 |
| 英文别名 | AG2S; Agtr 1; Agtr1; Agtr1a; AGTR1B; Angiotensin II receptor type 1; Angiotensin II type 1 receptor; AT-1B; AT-1r; AT1; At1a; AT1AR; AT1B; AT1BR; AT2R1; AT2R1A; AT2R1B; HAT1R; Type 1 angiotensin II receptor; AGTR1_HUMAN; Type-1 angiotensin II receptor; Angiotensin II type-1 receptor; AT1R; Ang II; Angiotensin II receptor type 1; Angiotensin II type 1 receptor; Angiotensin receptor 1; Angiotensin receptor 1B; AT 1B; AT1; AT1R. |
| 中文别名 | 血管紧张素II 1型受体; |
| 产品应用 | WB=1:500-2000, IHC-P=1:100-500, IHC-F=1:100-500, IF=1:100-500 Not yet tested in other applications. |
| 交叉反应 | Human, Mouse, Rat |
| 抗体来源 | Rabbit |
| 免疫原 | KLH conjugated synthetic peptide derived from human AT1R |
| 亚型 | IgG |
| 性状 | Liquid |
| 纯化方法 | affinity purified by Protein A |
| 克隆类型 | Polyclonal |
| 理论分子量 | 39 kDa |
| 浓度 | 1mg/ml |
| 储存液 | 0.01M TBS (pH7.4) with 1% BSA, 0.02% Proclin300 and 50% Glycerol. |
| 研究领域 | Cancer > Cancer Metabolism > Cellular metabolic process Cancer > Invasion/microenvironment > Angiogenesis > Angiogenic growth factors Cardiovascular > Blood > Blood Pressure regulation Metabolism > Types of disease > Cancer |
| 亚基 | Interacts with MAS1 (Probable). Interacts with ARRB1. |
| 亚细胞定位 | Cell membrane; Multi-pass membrane protein. |
| 组织特异性 | Liver, lung, adrenal and adrenocortical adenomas. |
| 翻译后修饰 | C-terminal Ser or Thr residues may be phosphorylated. |
| 相似性 | Belongs to the G-protein coupled receptor 1 family. |
| 功能 | Receptor for angiotensin II. Mediates its action by association with G proteins that activate a phosphatidylinositol-calcium second messenger system. |
| 保存条件 | Shipped at 4℃. Store at -20℃ for one year. Avoid repeated freeze/thaw cycles. |
| 注意事项 | This product as supplied is intended for research use only, not for use in human, therapeutic or diagnostic applications. |
| 背景资料 | Angiotensin II is a potent vasopressor hormone and a primary regulator of aldosterone secretion. It is an important effector controlling blood pressure and volume in the cardiovascular system. It acts through at least two types of receptors. This gene encodes the type 1 receptor which is thought to mediate the major cardiovascular effects of angiotensin II. This gene may play a role in the generation of reperfusion arrhythmias following restoration of blood flow to ischemic or infarcted myocardium. It was previously thought that a related gene, denoted as AGTR1B, existed; however, it is now believed that there is only one type 1 receptor gene in humans. At least five transcript variants have been described for this gene. Additional variants have been described but their full-length nature has not been determined. The entire coding sequence is contained in the terminal exon and is present in all transcript variants. [provided by RefSeq]. |
| 应用 | 推荐稀释比例 |
| {WB} | {1:500-2000} |
| {IHC-P} | {1:100-500} |
| {IHC-F} | {1:100-500} |
| {IF} | {1:100-500} |

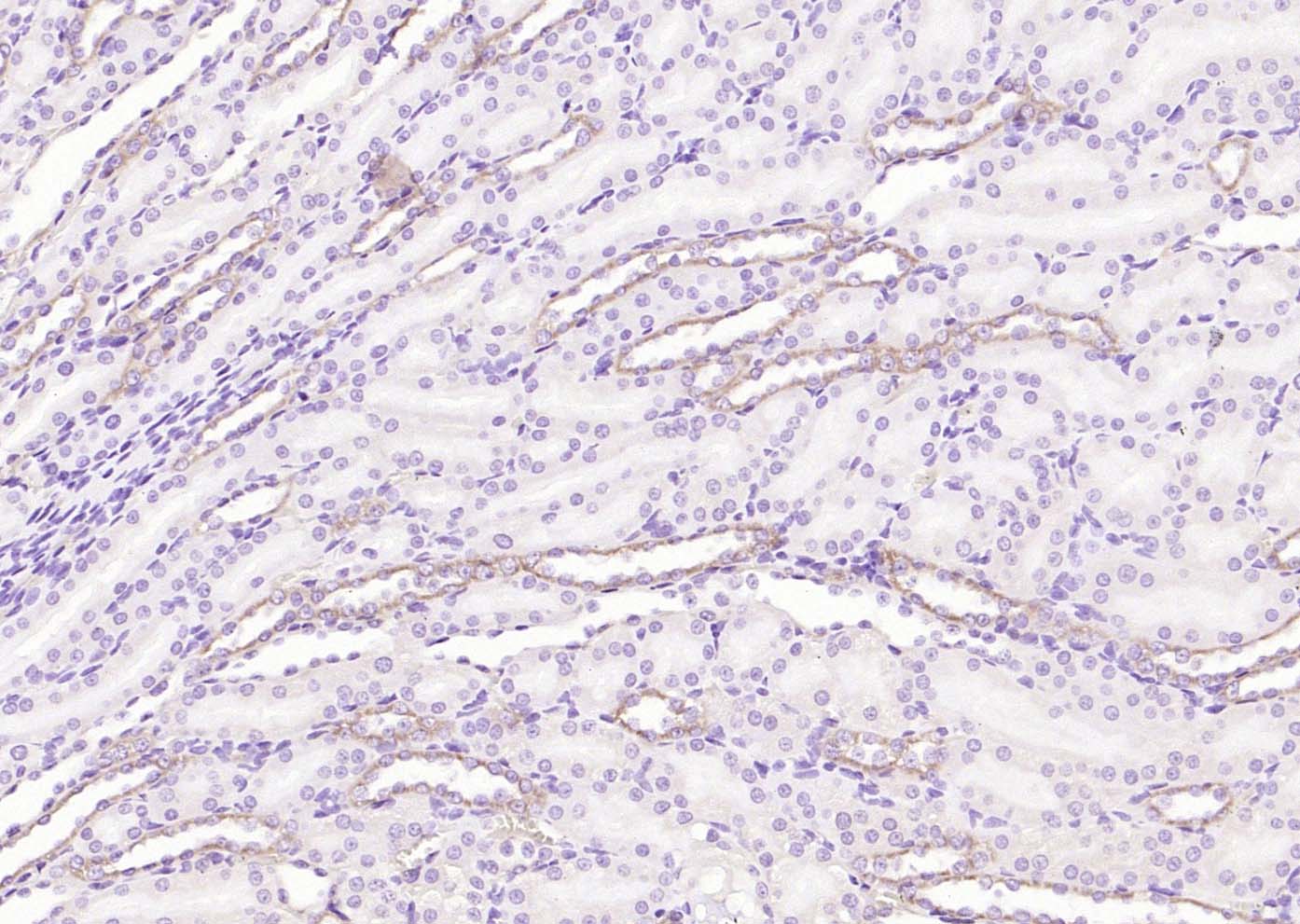
Antigen retrieval: citrate buffer ( 0.01M, pH 6.0 ), Boiling bathing for 15min; Block endogenous peroxidase by 3% Hydrogen peroxide for 30min; Blocking buffer (normal goat serum,C-0005) at 37℃ for 20 min;
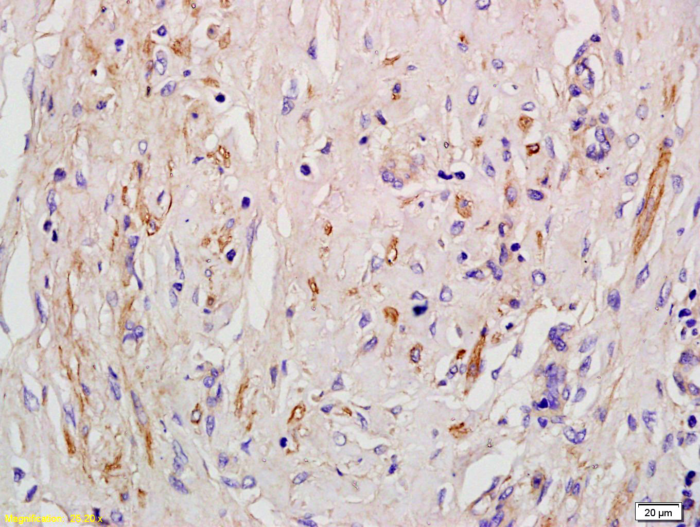
Incubation: Anti-AT1R/AGTR1 Polyclonal Antibody, Unconjugated(bs-0630R) 1:200, overnight at 4°C, followed by conjugation to the secondary antibody(SP-0023) and DAB(C-0010) staining

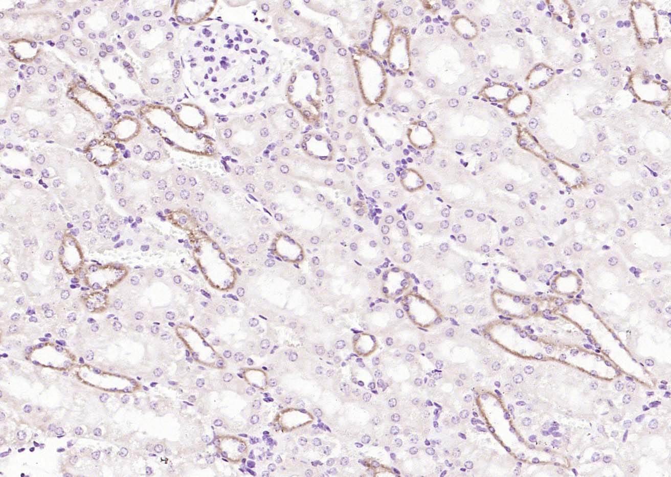
Antigen retrieval: citrate buffer ( 0.01M, pH 6.0 ), Boiling bathing for 15min; Block endogenous peroxidase by 3% Hydrogen peroxide for 30min; Blocking buffer (normal goat serum,C-0005) at 37℃ for 20 min;
Incubation: Anti-AT1R/AGTR1 Polyclonal Antibody, Unconjugated(bs-0630R) 1:200, overnight at 4°C, followed by conjugation to the secondary antibody(SP-0023) and DAB(C-0010) staining

Primary: Anti- Angiotensin II Type 1 Receptor (bs-0630R)at 1/300 dilution
Secondary: IRDye800CW Goat Anti-Rabbit IgG at 1/20000 dilution
Predicted band size: 39kD
Observed band size: 36kD

Primary: Anti- Angiotensin II Type 1 Receptor (bs-0630R)at 1/300 dilution
Secondary: IRDye800CW Goat Anti-Rabbit IgG at 1/20000 dilution
Predicted band size: 39kD
Observed band size: 49kD


风险提示:丁香通仅作为第三方平台,为商家信息发布提供平台空间。用户咨询产品时请注意保护个人信息及财产安全,合理判断,谨慎选购商品,商家和用户对交易行为负责。对于医疗器械类产品,请先查证核实企业经营资质和医疗器械产品注册证情况。
文献和实验[IF={{ 4.996 }}] {Cong Changsheng. et al. Renin-angiotensin system inhibitors mitigate radiation pneumonitis by activating ACE2-angiotensin-(1–7) axis via NF-κB/MAPK pathway. SCI REP-UK. 2023 May;13(1):1-11} {WB} {Mouse}
[IF={{ 3.743 }}] {Chen Q et al. Sini decoction ameliorates sepsis-induced acute lung injury via regulating ACE2-Ang (1-7)-Mas axis and inhibiting the MAPK signaling pathway. Biomed Pharmacother. 2019 Jul;115:108971.} {WB} {Mouse&Human}
[IF={{ 3.234 }}] {Liu J et al. Sini decoction alleviates E. coli induced acute lung injury in mice via equilibrating ACE-AngII-AT1R and ACE2-Ang-(1-7)-Mas axis.Life Sci. 2018 Sep 1;208:139-148.} {WB} {Mouse}
[IF={{ 2.5 }}] {Lei Li. et al. Arginine vasopressin and angiotensin II coregulate Aquaporin 2 expression in M-1 cells. BIOCHEM BIOPH RES CO. 2025 Jan;745:151256} {IF} {Mouse}
[IF={{ 14.224 }}] {Hongxu Bao. et al. Exposure to Real-Ambient Particulate Matter Induced Vascular Hypertrophy by Activation of PDGFRβ. J HAZARD MATER. 2023 Feb;:130985} {WB} {Human}
The Detection of Antibodies to the Angiotensin II-Type 1 Receptor in Transplantation
The detection of auto-antibodies detection is a major aspect of patient’s immunomonitoring. Antibodies directed against the heart and kidney Angiotensin II type 1 receptor (AT1 R) play a major role in antibody mediated rejection after heart
Cardiac-Specific Overexpression of Angiotensin II Type 1 Receptor in Transgenic Rats
This chapter describes the methods required for overexpression of the angiotensin II type I receptor (AT1 ) in cardiomyocytes of transgenic rats. This includes cloning of the transgenic construct consisting of the α-myosin heavy chain (MHC
Characterization of Angiotensin II Receptors
. Hypertension 25:924‐927. Feral, C., Benhaim, A., and Leymarie, P. 1996. Angiotensin II receptor type I on granulosa and thecal cells of rabbit preovulatory follicles. Biochim
技术资料暂无技术资料 索取技术资料






