相关产品推荐更多 >

Pepsin A Rabbit pAb(bs-10638R)-50ul/100ul/200ul
¥1180
CD200R Rabbit pAb, BF488 conjugated(bs-7351R-BF488)-100ul
¥2980
SLC32A1 Rabbit pAb, BF555 conjugated(bs-19821R-BF555)-100ul
¥2980
mouse CD19 Rat mAb, PE-Cy7 conjugated(bsm-30156A-PE-Cy7)-25T/50T/100T
¥760
HPV16 E7 Rabbit pAb, PerCP-Cy7 conjugated(bs-0714R-PerCP-Cy7)-100ul
¥2980
万千商家帮你免费找货
0 人在求购买到急需产品
- 详细信息
- 文献和实验
- 技术资料
- 应用范围:
产品信息以Bioss网站为准
- 规格:
50ul/100ul/200ul
| 规格: | 50ul | 产品价格: | ¥1180.0 |
|---|---|---|---|
| 规格: | 100ul | 产品价格: | ¥1980.0 |
| 规格: | 200ul | 产品价格: | ¥2800.0 |
| 产品编号 | bs-1411R |
| 英文名称 | TERT Rabbit pAb |
| 中文名称 | 端粒酶逆转录酶抗体 |
| 英文别名 | EST2; hEST2; TCS1; Telomerase associated protein 2; Telomerase Catalytic Subunit; Telomere Reverse Transcriptase; Telomerase reverse transcriptase; TERT; TP2; TRT; TERT_HUMAN; Telomerase reverse transcriptase; HEST2; Telomerase catalytic subunit; Telomerase-associated protein 2. |
| 产品应用 | IHC-P=1:100-500, IHC-F=1:100-500, IF=1:100-500, Flow-Cyt=1µg/Test Not yet tested in other applications. |
| 交叉反应 | Human, Mouse, Rat |
| 抗体来源 | Rabbit |
| 免疫原 | KLH conjugated synthetic peptide derived from human TERT |
| 亚型 | IgG |
| 性状 | Liquid |
| 纯化方法 | affinity purified by Protein A |
| 克隆类型 | Polyclonal |
| 理论分子量 | 124 kDa |
| 浓度 | 1mg/ml |
| 储存液 | 0.01M TBS (pH7.4) with 1% BSA, 0.02% Proclin300 and 50% Glycerol. |
| 研究领域 | Cancer > Tumor biomarkers Developmental Biology > Embryogenesis > Embryonic stem cells > Surface molecules Epigenetics and Nuclear Signaling > Chromosome Structure > Telomeres Epigenetics and Nuclear Signaling > DNA / RNA > DNA Synthesis Stem Cells > Embryonic Stem Cells > Intracellular |
| 亚基 | Homodimer; dimerization is required to produce a functional complex. Oligomer; can form oligomers in the absence of the telomerase RNA template component (TERC). Catalytic subunit of the telomerase holoenzyme complex composed minimally of TERT and TERC. The telomerase complex is composed of TERT, DKC1, WDR79/TCAB1, NOP10, NHP2, GAR1, TEP1, EST1A, POT1 and a telomerase RNA template component (TERC). The molecular chaperone HSP90/P23 complex is required for correct assembly and stabilization of the active telomerase. Interacts directly with HSP90A and PTGES3. Interacts with HSPA1A; the interaction occurs in the absence of TERC and dissociates once the complex has formed. Interacts with RAN; the interaction promotes nuclear export of TERT. Interacts with XPO1. Interacts with PTPN11; the interaction retains TERT in the nucleus. Interacts with NCL (via RRM1 and C-terminal RRM4/Arg/Gly-rich domains); the interaction is important for nucleolar localization of TERT. Interacts with SMARCA4 (via the bromodomain); the interaction regulates Wnt-mediated signaling. Interacts with MCRS1 (isoform MCRS2); the interaction inhibits in vitro telomerase activity. Interacts with PIF1; the interaction has no effect on the elongation activity of TERT. Interacts with PML; the interaction recruits TERT to PML bodies and inhibits telomerase activity. |
| 亚细胞定位 | Nucleus, nucleolus. Nucleus, nucleoplasm. Nucleus. Chromosome, telomere. Cytoplasm. Nucleus, PML body. Note=Shuttling between nuclear and cytoplasm depends on cell cycle, phosphorylation states, transformation and DNA damage. Diffuse localization in the nucleoplasm. Enriched in nucleoli of certain cell types. Translocated to the cytoplasm via nuclear pores in a CRM1/RAN-dependent manner involving oxidative stress-mediated phosphorylation at Tyr-707. Dephosphorylation at this site by SHP2 retains TERT in the nucleus. Translocated to the nucleus by phosphorylation by AKT. |
| 组织特异性 | Expressed at a high level in thymocyte subpopulations, at an intermediate level in tonsil T-lymphocytes, and at a low to undetectable level in peripheral blood T-lymphocytes. |
| 翻译后修饰 | Ubiquitinated, leading to proteasomal degradation.
Phosphorylation at Tyr-707 under oxidative stress leads to translocation of TERT to the cytoplasm and reduces its antiapoptotic activity. Dephosphorylated by SHP2/PTPN11 leading to nuclear retention. Phosphorylation by the AKT pathway promotes nuclear location. |
| 相似性 | Belongs to the reverse transcriptase family. Telomerase subfamily.
Contains 1 reverse transcriptase domain. |
| 功能 | Telomerase is a ribonucleoprotein enzyme essential for the replication of chromosome termini in most eukaryotes. Active in progenitor and cancer cells. Inactive, or very low activity, in normal somatic cells. Catalytic component of the teleromerase holoenzyme complex whose main activity is the elongation of telomeres by acting as a reverse transcriptase that adds simple sequence repeats to chromosome ends by copying a template sequence within the RNA component of the enzyme. Catalyzes the RNA-dependent extension of 3'-chromosomal termini with the 6-nucleotide telomeric repeat unit, 5'-TTAGGG-3'. The catalytic cycle involves primer binding, primer extension and release of product once the template boundary has been reached or nascent product translocation followed by further extension. More active on substrates containing 2 or 3 telomeric repeats. Telomerase activity is regulated by a number of factors including telomerase complex-associated proteins, chaperones and polypeptide modifiers. Modulates Wnt signaling. Plays important roles in aging and antiapoptosis. |
| 保存条件 | Shipped at 4℃. Store at -20℃ for one year. Avoid repeated freeze/thaw cycles. |
| 注意事项 | This product as supplied is intended for research use only, not for use in human, therapeutic or diagnostic applications. |
| 背景资料 | Telomerase is a ribonucleoprotein polymerase that maintains telomere ends by addition of the telomere repeat TTAGGG. The enzyme consists of a protein component with reverse transcriptase activity, encoded by this gene, and an RNA component which serves as a template for the telomere repeat. Telomerase expression plays a role in cellular senescence, as it is normally repressed in postnatal somatic cells resulting in progressive shortening of telomeres. Deregulation of telomerase expression in somatic cells may be involved in oncogenesis. Studies in mouse suggest that telomerase also participates in chromosomal repair, since de novo synthesis of telomere repeats may occur at double-stranded breaks. Alternatively spliced variants encoding different isoforms of telomerase reverse transcriptase have been identified; the full-length sequence of some variants has not been determined. Alternative splicing at this locus is thought to be one mechanism of regulation of telomerase activity. [provided by RefSeq, Jul 2008]. |
| 应用 | 推荐稀释比例 |
| {IHC-P} | {1:100-500} |
| {IHC-F} | {1:100-500} |
| {IF} | {1:100-500} |
| {Flow-Cyt} | {1µg/Test} |

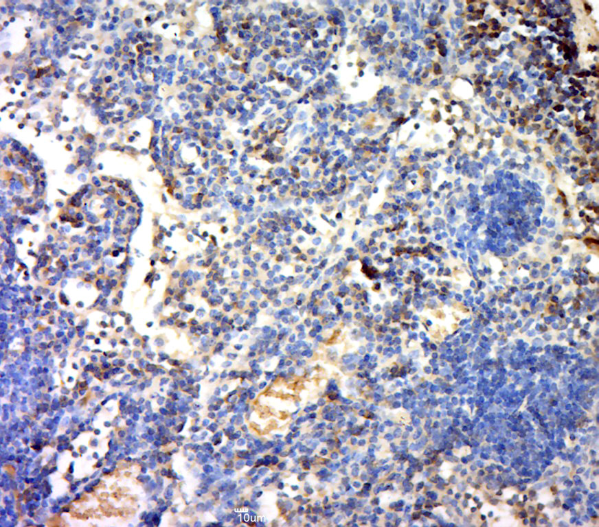
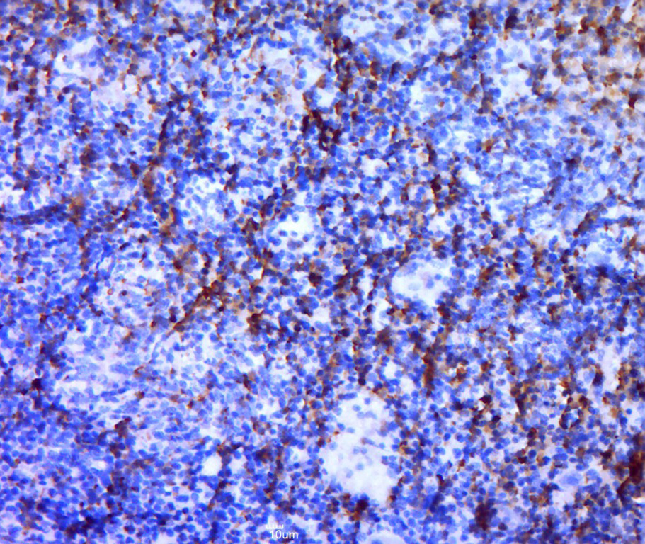
Antigen retrieval: citrate buffer ( 0.01M, pH 6.0 ), Boiling bathing for 15min; Block endogenous peroxidase by 3% Hydrogen peroxide for 30min; Blocking buffer (normal goat serum,C-0005) at 37℃ for 20 min;
Incubation: Anti-TERT Polyclonal Antibody, Unconjugated(bs-1411R) 1:500, overnight at 4°C, followed by conjugation to the secondary antibody(SP-0023) and DAB(C-0010) staining

Primary Antibody (green line): Rabbit Anti-TERT antibody (bs-1411R)
Dilution: 3μg /10^6 cells;
Isotype Control Antibody (orange line): Rabbit IgG .
Secondary Antibody (white blue line): Goat anti-rabbit IgG-PE
Dilution: 1μg /test.
Protocol
The cells were fixed with 70% methanol (Overnight at 4℃) and then permeabilized with 90% ice-cold methanol for 20 min at -20℃. Cells stained with Primary Antibody for 30 min at room temperature. The cells were then incubated in 1 X PBS/2%BSA/10% goat serum to block non-specific protein-protein interactions followed by the antibody for 15 min at room temperature. The secondary antibody used for 40 min at room temperature. Acquisition of 20,000 events was performed.


Primary Antibody (green line): Rabbit Anti-TERT antibody (bs-1411R)
Dilution: 1μg /10^6 cells;
Isotype Control Antibody (orange line): Rabbit IgG .
Secondary Antibody : Goat anti-rabbit IgG-FITC
Dilution: 1μg /test.
Protocol
The cells were fixed with 4% PFA (10min at room temperature)and then permeabilized with 90% ice-cold methanol for 20 min at -20℃.The cells were then incubated in 5%BSA to block non-specific protein-protein interactions for 30 min at room temperature .Cells stained with Primary Antibody for 30 min at room temperature. The secondary antibody used for 40 min at room temperature. Acquisition of 20,000 events was performed.

Primary Antibody (green line): Rabbit Anti-TERT antibody (bs-1411R)
Dilution: 1μg /10^6 cells;
Isotype Control Antibody (orange line): Rabbit IgG .
Secondary Antibody : Goat anti-rabbit IgG-AF647
Dilution: 1μg /test.
Protocol
The cells were fixed with 4% PFA (10min at room temperature)and then permeabilized with 90% ice-cold methanol for 20 min at-20℃.The cells were then incubated in 5%BSA to block non-specific protein-protein interactions for 30 min at room temperature .Cells stained with Primary Antibody for 30 min at room temperature. The secondary antibody used for 40 min at room temperature. Acquisition of 20,000 events was performed.
风险提示:丁香通仅作为第三方平台,为商家信息发布提供平台空间。用户咨询产品时请注意保护个人信息及财产安全,合理判断,谨慎选购商品,商家和用户对交易行为负责。对于医疗器械类产品,请先查证核实企业经营资质和医疗器械产品注册证情况。
文献和实验[IF={{ 5.44 }}] {Choudhary, M., et al. "Graphene Oxide based Label Free Ultrasensitive Immunosensor for Lung Cancer Biomarker, hTERT." J Biosens Bioelectron 4 (2013): 143.} {Other} {=""}
[IF={{ 3.4 }}] {Gomes Daniel. et al. Inhalation of concentrated ambient PM2.5 promotes inactivation of telomerase reverse transcriptase, telomere shortening, and senescence of multiple cell types in mice. TOXICOL SCI. 2025 Apr;:} {WB} {Mouse}
[IF={{ 2.51 }}] {Gao, Qian, et al. "Expression pattern of embryonic stem cell markers in DFAT cells and ADSCs." Molecular biology reports 39.5 (2012): 5791-5804.} {Other} {="Rat"}
[IF={{ 0.25 }}] {Can, Nuray, et al. "TERT Expression in Pituitary Adenomas." Turkish Journal of Pathology (2017).} {IHC} {="Human"}
[IF={{ 0 }}] {Ait-Aissa K. et al. Non-canonical role of telomerase in regulation of microvascular redox environment with implications for coronary artery disease. Function. 2022 Sep;:} {IHC} {Human}
= NAL), appears to form upon oxidative cyclization of the nonfluorescent 2:1 lysine-HNE Michael adduct-Schiff base cross-link (Scheme 1). Polyclonal antibody (PAb) to the NAL-HNE fluorophore was raised in rabbit and found to be highly specific
GE Healthcare Benzamidine Sepharose™ 6B is p-aminobenzamidine covalently attached to Sepharose 6B by the epoxy coupling method. p-Aminobenzamidine (PAB), is a synthetic inhibitor of trypsin-like serine protease. Trypsin and trypsin
Nucleic Acid Programmable Protein Arrays: Versatile Tools for Array‐Based Functional Protein Studies
.g., Sigma) 50 mg/ml bis‐sulfosuccinimdylsuberate (BS3 ;Pierce, cat. no. PI 21580) in dimethylsulfoxide (DMSO) 5 mg/ml
技术资料暂无技术资料 索取技术资料






