相关产品推荐更多 >

phospho-MAPKAPK2 (Thr222) Rabbit pAb, HRP conjugated(bs-3261R-HRP)-100ul
¥2980
MuRF1 Rabbit pAb, PerCP conjugated(bs-2539R-PerCP)-100ul
¥2980
HMGB2 Recombinant Rabbit mAb(bsm-60675R)-50ul/100ul/25ul
¥800
TBX2 Rabbit pAb, PerCP conjugated(bs-0507R-PerCP)-100ul
¥2980
TRIM41 Rabbit pAb(bs-9151R)-50ul/100ul/200ul
¥1180
万千商家帮你免费找货
0 人在求购买到急需产品
- 详细信息
- 文献和实验
- 技术资料
- 应用范围:
产品信息以Bioss网站为准
- 规格:
50ul/100ul/200ul
| 规格: | 50ul | 产品价格: | ¥1180.0 |
|---|---|---|---|
| 规格: | 100ul | 产品价格: | ¥1980.0 |
| 规格: | 200ul | 产品价格: | ¥2800.0 |
| 产品编号 | bs-0112R |
| 英文名称 | Amyloid Precursor Protein Rabbit pAb |
| 中文名称 | APP/ABPP淀粉样肽前体蛋白抗体 |
| 英文别名 | Soluble APP-alpha; Soluble APP-beta; A4 amyloid protein; A4; AAA; ABETA; ABPP; AD 1; AD1; Alzheimer disease 1; Alzheimer disease; Alzheimer's disease amyloid protein; Amyloid beta(A4) precursor protein; Amyloid beta A4 protein; Amyloid beta A4 protein precursor isoform b; Amyloid beta A4 protein precursor isoform c; Amyloid beta A4 protein precursor isoform a; Amyloid beta A4 protein precursor isoform b; Amyloid beta A4 protein precursor isoform c; Amyloid beta protein; Amyloid beta-peptide; Amyloid of aging and alzheimer disease; APP; APP I; APPI; beta amyloid peptide; Cerebral vascular amyloid peptide; CTFgamma; CVAP; Human mRNA for amyloid A4 precursor of Alzheimer's disease; PN 2; PN II; PN2; PreA4; Protease nexin II; A4_HUMAN. |
| 产品应用 | IHC-P=1:100-500, IHC-F=1:100-500, ICC/IF=1:100-500, IF=1:100-500 Not yet tested in other applications. |
| 交叉反应 | Human, Rat (Mouse, Chicken, Dog, Pig, Cow, Horse, Rabbit, Sheep) |
| 抗体来源 | Rabbit |
| 免疫原 | KLH conjugated synthetic peptide derived from of human APP |
| 亚型 | IgG |
| 性状 | Liquid |
| 纯化方法 | affinity purified by Protein A |
| 克隆类型 | Polyclonal |
| 理论分子量 | 72-83 kDa |
| 浓度 | 1mg/ml |
| 储存液 | 0.01M TBS (pH7.4) with 1% BSA, 0.02% Proclin300 and 50% Glycerol. |
| 研究领域 | Epigenetics and Nuclear Signaling > Chromatin Binding Proteins > DNA / RNA binding Epigenetics and Nuclear Signaling > DNA / RNA > RNA Processing Epigenetics and Nuclear Signaling > DNA / RNA > Translation > Regulation |
| 亚基 | Binds, via its C-terminus, to the PID domain of several cytoplasmic proteins, including APBB family members, the APBA family, MAPK8IP1, SHC1 and, NUMB and DAB. Binding to DAB1 inhibits its serine phosphorylation (By similarity). Also interacts with GPCR-like protein BPP, FPRL1, APPBP1, IB1, KNS2 (via its TPR domains), APPBP2 (via BaSS) and DDB1. In vitro, it binds MAPT via the MT-binding domains. Associates with microtubules in the presence of ATP and in a kinesin-dependent manner. Interacts, through a C-terminal domain, with GNAO1. Amyloid beta-42 binds CHRNA7 in hippocampal neurons. Beta-amyloid associates with HADH2. Soluble APP binds, via its N-terminal head, to FBLN1. Interacts with CPEB1 and AGER. Interacts with ANKS1B and TNFRSF21. Interacts with ITM2B. Interacts with ITM2C. Interacts with IDE. Can form homodimers; this is promoted by heparin binding. |
| 亚细胞定位 | Membrane; Single-pass type I membrane protein. Membrane, clathrin-coated pit. Note=Cell surface protein that rapidly becomes internalized via clathrin-coated pits. During maturation, the immature APP (N-glycosylated in the endoplasmic reticulum) moves to the Golgi complex where complete maturation occurs (O-glycosylated and sulfated). After alpha-secretase cleavage, soluble APP is released into the extracellular space and the C-terminal is internalized to endosomes and lysosomes. Some APP accumulates in secretory transport vesicles leaving the late Golgi compartment and returns to the cell surface. Gamma-CTF(59) peptide is located to both the cytoplasm and nuclei of neurons. It can be translocated to the nucleus through association with APBB1 (Fe65). Beta-APP42 associates with FRPL1 at the cell surface and the complex is then rapidly internalized. APP sorts to the basolateral surface in epithelial cells. During neuronal differentiation, the Thr-743 phosphorylated form is located mainly in growth cones, moderately in neurites and sparingly in the cell body. Casein kinase phosphorylation can occur either at the cell surface or within a post-Golgi compartment. |
| 组织特异性 | Expressed in all fetal tissues examined with highest levels in brain, kidney, heart and spleen. Weak expression in liver. In adult brain, highest expression found in the frontal lobe of the cortex and in the anterior perisylvian cortex-opercular gyri. Moderate expression in the cerebellar cortex, the posterior perisylvian cortex-opercular gyri and the temporal associated cortex. Weak expression found in the striate, extra-striate and motor cortices. Expressed in cerebrospinal fluid, and plasma. Isoform APP695 is the predominant form in neuronal tissue, isoform APP751 and isoform APP770 are widely expressed in non-neuronal cells. Isoform APP751 is the most abundant form in T-lymphocytes. Appican is expressed in astrocytes. |
| 翻译后修饰 | Proteolytically processed under normal cellular conditions. Cleavage either by alpha-secretase, beta-secretase or theta-secretase leads to generation and extracellular release of soluble APP peptides, S-APP-alpha and S-APP-beta, and the retention of corresponding membrane-anchored C-terminal fragments, C80, C83 and C99. Subsequent processing of C80 and C83 by gamma-secretase yields P3 peptides. This is the major secretory pathway and is non-amyloidogenic. Alternatively, presenilin/nicastrin-mediated gamma-secretase processing of C99 releases the amyloid beta proteins, amyloid-beta 40 (Abeta40) and amyloid-beta 42 (Abeta42), major components of amyloid plaques, and the cytotoxic C-terminal fragments, gamma-CTF(50), gamma-CTF(57) and gamma-CTF(59).
Proteolytically cleaved by caspases during neuronal apoptosis. Cleavage at Asp-739 by either caspase-6, -8 or -9 results in the production of the neurotoxic C31 peptide and the increased production of beta-amyloid peptides. N- and O-glycosylated. O-linkage of chondroitin sulfate to the L-APP isoforms produces the APP proteoglycan core proteins, the appicans. The chondroitin sulfate chain of appicans contains 4-O-sulfated galactose in the linkage region and chondroitin sulfate E in the repeated disaccharide region. Phosphorylation in the C-terminal on tyrosine, threonine and serine residues is neuron-specific. Phosphorylation can affect APP processing, neuronal differentiation and interaction with other proteins. Phosphorylated on Thr-743 in neuronal cells by Cdc5 kinase and Mapk10, in dividing cells by Cdc2 kinase in a cell-cycle dependent manner with maximal levels at the G2/M phase and, in vitro, by GSK-3-beta. The Thr-743 phosphorylated form causes a conformational change which reduces binding of Fe65 family members. Phosphorylation on Tyr-757 is required for SHC binding. Phosphorylated in the extracellular domain by casein kinases on both soluble and membrane-bound APP. This phosphorylation is inhibited by heparin. Extracellular binding and reduction of copper, results in a corresponding oxidation of Cys-144 and Cys-158, and the formation of a disulfide bond. In vitro, the APP-Cu(+) complex in the presence of hydrogen peroxide results in an increased production of beta-amyloid-containing peptides. Trophic-factor deprivation triggers the cleavage of surface APP by beta-secretase to release sAPP-beta which is further cleaved to release an N-terminal fragment of APP (N-APP). Beta-amyloid peptides are degraded by IDE. |
| 相似性 | Belongs to the APP family.
Contains 1 BPTI/Kunitz inhibitor domain. |
| 功能 | Functions as a cell surface receptor and performs physiological functions on the surface of neurons relevant to neurite growth, neuronal adhesion and axonogenesis. Involved in cell mobility and transcription regulation through protein-protein interactions. Can promote transcription activation through binding to APBB1-KAT5 and inhibits Notch signaling through interaction with Numb. Couples to apoptosis-inducing pathways such as those mediated by G(O) and JIP. Inhibits G(o) alpha ATPase activity (By similarity). Acts as a kinesin I membrane receptor, mediating the axonal transport of beta-secretase and presenilin 1. Involved in copper homeostasis/oxidative stress through copper ion reduction. In vitro, copper-metallated APP induces neuronal death directly or is potentiated through Cu(2+)-mediated low-density lipoprotein oxidation. Can regulate neurite outgrowth through binding to components of the extracellular matrix such as heparin and collagen I and IV. The splice isoforms that contain the BPTI domain possess protease inhibitor activity. Induces a AGER-dependent pathway that involves activation of p38 MAPK, resulting in internalization of amyloid-beta peptide and leading to mitochondrial dysfunction in cultured cortical neurons. Beta-amyloid peptides are lipophilic metal chelators with metal-reducing activity. Bind transient metals such as copper, zinc and iron. In vitro, can reduce Cu(2+) and Fe(3+) to Cu(+) and Fe(2+), respectively. Beta-amyloid 42 is a more effective reductant than beta-amyloid 40. Beta-amyloid peptides bind to lipoproteins and apolipoproteins E and J in the CSF and to HDL particles in plasma, inhibiting metal-catalyzed oxidation of lipoproteins. Beta-APP42 may activate mononuclear phagocytes in the brain and elicit inflammatory responses. Promotes both tau aggregation and TPK II-mediated phosphorylation. Interaction with overexpressed HADH2 leads to oxidative stress and neurotoxicity. Appicans elicit adhesion of neural cells to the extracellular matrix and may regulate neurite outgrowth in the brain. The gamma-CTF peptides as well as the caspase-cleaved peptides, including C31, are potent enhancers of neuronal apoptosis. N-APP binds TNFRSF21 triggering caspase activation and degeneration of both neuronal cell bodies (via caspase-3) and axons (via caspase-6). |
| 保存条件 | Shipped at 4℃. Store at -20℃ for one year. Avoid repeated freeze/thaw cycles. |
| 注意事项 | This product as supplied is intended for research use only, not for use in human, therapeutic or diagnostic applications. |
| 背景资料 | The cerebral and vascular plaques associated with Alzheimer's disease are mainly composed of Amyloid beta peptides. beta Amyloid is derived from cleavage of the Amyloid precursor protein and varies in length from 39 to 43 amino acids. beta Amyloid [1-40], beta Amyloid [1-42], and beta Amyloid [1-43] peptides result from cleavage of Amyloid precursor protein after residues 40, 42, and 43, respectively. The cleavage takes place by gamma-secretase during the last Amyloid precursor protein processing step. beta Amyloid [1-40], beta Amyloid [1-42], and beta Amyloid [1-43] peptides are major constituents of the plaques and tangles that occur in Alzheimer's disease. beta Amyloid antibodies and peptides have been developed as tools for elucidating the biology of Alzheimer's disease. |
| 应用 | 推荐稀释比例 |
| {IHC-P} | {1:100-500} |
| {IHC-F} | {1:100-500} |
| {ICC/IF} | {1:100-500} |
| {IF} | {1:100-500} |

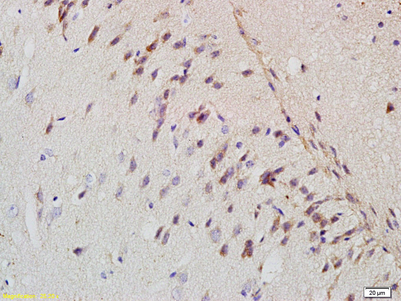
Antigen retrieval: citrate buffer ( 0.01M, pH 6.0 ), Boiling bathing for 15min; Block endogenous peroxidase by 3% Hydrogen peroxide for 30min; Blocking buffer (normal goat serum,C-0005) at 37℃ for 20 min;
Incubation: Anti-Amyloid Precursor Protein Polyclonal Antibody, Unconjugated(bs-0112R) 1:200, overnight at 4°C, followed by conjugation to the secondary antibody(SP-0023) and DAB(C-0010) staining

风险提示:丁香通仅作为第三方平台,为商家信息发布提供平台空间。用户咨询产品时请注意保护个人信息及财产安全,合理判断,谨慎选购商品,商家和用户对交易行为负责。对于医疗器械类产品,请先查证核实企业经营资质和医疗器械产品注册证情况。
文献和实验[IF={{ 3.457 }}] {G V et al. Therapeutic impact of rHuEPO on abnormal platelet APP, BACE 1, presenilin 1, ADAM 10 and Aβ expressions in chronic kidney disease patients with cognitive dysfunction like Alzheimer's disease: A pilot study.Biomed Pharmacother. 2018 Aug;104:211-222.} {WB} {Human}
[IF={{ 3.307 }}] {Wang C et al. One-step synthesized flower-like materials used for sensitively detecting amyloid precursor protein. Anal Bioanal Chem. 2018 Oct;410(26):6901-6909. } {Other} {human}
[IF={{ 3.23 }}] {Potter AS, Potter SS (2015) Molecular Anatomy of Palate Development. PLoS ONE 10(7): e0132662. doi:10.1371} {IHC} {="Mouse"}
[IF={{ 3.166 }}] {Zhou CC et al. Lead exposure induces Alzheimers's disease (AD)-like pathology and disturbes cholesterol metabolism in the young rat brain.Toxicol Lett. 2018 Oct 15;296:173-183.} {WB,IHC} {Rat}
[IF={{ 2.22 }}] {Wang, Chengke, and Zhenxin Wang. "Studying the relationship between cell cycle and Alzheimer’s disease by gold nanoparticle probes." Analytical Biochemistry (2015).} {ELISA} {="Human"}
Interaction of the Presenilins with the Amyloid Precursor Protein (APP)
the deposition of amyloid Aβ peptide. The latter is released from its cognate amyloid precursor protein (APP) by a two-step proteolytic conversion: first, proteolysis of APP by β-secretase, which releases the N-terminus of Aβ, and second, conversion
Posttranslational Modifications of the Amyloid Precursor Protein: Glycosylation
Many studies have demonstrated the importance of amyloid precurser protein (APP) in the pathogenesis of Alzheimer’s disease. Nonetheless, the exact mechanism by which APP contributes to the pathogenesis of Alzheimer’s disease is still not clear
Phosphorylation of Amyloid Precursor Protein (APP) Family Proteins
It has been well established that β-amyloid peptide is the principal protein component of extracellular cerebral amyloid deposits in patients with Alzheimer’s disease (1 ,2 ). β-Amyloid is derived from a large precursor protein, amyloid
技术资料暂无技术资料 索取技术资料





