相关产品推荐更多 >

Cytokeratin 4 Rabbit pAb, PE conjugated(bs-1006R-PE)-100ul
¥2980
Anti-human TNFRSF5 / CD40 (Dacetuzumab Biosimilar)(BIO0123SM)-1mg/5mg/20mg
¥3200
SEMA4A Rabbit pAb(bs-7519R)-50ul/100ul/200ul
¥1180
phospho-GATA3 (Ser162) Rabbit pAb, HRP conjugated(bs-10280R-HRP)-100ul
¥2980
H2AX (Ubiquityl Lys119) Rabbit pAb, BF594 conjugated(bs-8571R-BF594)-100ul
¥2980
万千商家帮你免费找货
0 人在求购买到急需产品
- 详细信息
- 文献和实验
- 技术资料
- 应用范围:
产品信息以Bioss网站为准
- 规格:
50ul/100ul/200ul
| 规格: | 50ul | 产品价格: | ¥1180.0 |
|---|---|---|---|
| 规格: | 100ul | 产品价格: | ¥1980.0 |
| 规格: | 200ul | 产品价格: | ¥2800.0 |
| 产品编号 | bs-0666R |
| 英文名称 | Fibronectin/FN1 Rabbit pAb |
| 中文名称 | 纤维连接蛋白抗体 |
| 英文别名 | CIG; Cold insoluble globulin; DKFZp686F10164; DKFZp686H0342; DKFZp686I1370; DKFZp686O13149; ED B; ED-B; fibronectin 1; FINC; FN 1; FN; FN1; FNZ; GFND; GFND2; LETS; Migration stimulating factor; MSF; Transformation sensitive protein; FINC_HUMAN; Fibronectin; Cold-insoluble globulin; Ugl-Y3. |
| 产品应用 | IHC-P=1:100-500, IHC-F=1:100-500, IF=1:200-800 Not yet tested in other applications. |
| 交叉反应 | Human, Mouse, Rat (Dog, Cow) |
| 抗体来源 | Rabbit |
| 免疫原 | KLH conjugated synthetic peptide derived from human Fibronectin/Ugl-Y3 |
| 亚型 | IgG |
| 性状 | Liquid |
| 纯化方法 | affinity purified by Protein A |
| 克隆类型 | Polyclonal |
| 理论分子量 | 259 kDa |
| 浓度 | 1mg/ml |
| 储存液 | 0.01M TBS (pH7.4) with 1% BSA, 0.02% Proclin300 and 50% Glycerol. |
| 研究领域 | Cancer > Invasion/microenvironment > ECM > Extracellular matrix Cardiovascular > Angiogenesis > Adhesion / ECM > Extracellular Matrix Developmental Biology > Lineage specification > Ectoderm Signal Transduction > Cytoskeleton / ECM > Extracellular Matrix > ECM Proteins > Fibronectin Stem Cells > Lineage Markers > Ectoderm Stem Cells > Mesenchymal Stem Cells > Osteogenesis Stem Cells > Neural Stem Cells > Extracellular |
| 亚基 | Mostly heterodimers or multimers of alternatively spliced variants, connected by 2 disulfide bonds near the carboxyl ends; to a lesser extent homodimers. Interacts with FBLN1, AMBP, TNR, LGALS3BP and COL13A1. Interacts with FBLN7. Interacts with COMP. Interacts with S.aureus fnbA. Interacts with TNR; the interaction inhibits cell adhesion and neurite outgrowth. Interacts with FST3. |
| 亚细胞定位 | Secreted, extracellular space, extracellular matrix. |
| 组织特异性 | Plasma FN (soluble dimeric form) is secreted by hepatocytes. Cellular FN (dimeric or cross-linked multimeric forms), made by fibroblasts, epithelial and other cell types, is deposited as fibrils in the extracellular matrix. Ugl-Y1, Ugl-Y2 and Ugl-Y3 are found in urine. |
| 翻译后修饰 | Sulfated.
It is not known whether both or only one of Thr-2064 and Thr-2065 are/is glycosylated. Forms covalent cross-links mediated by a transglutaminase, such as F13A or TGM2, between a glutamine and the epsilon-amino group of a lysine residue, forming homopolymers and heteropolymers (e.g. fibrinogen-fibronectin, collagen-fibronectin heteropolymers). Phosphorylation sites are present in the extracellular medium. Proteolytic processing produces the C-terminal NC1 peptide, anastellin. |
| 相似性 | Contains 12 fibronectin type-I domains. Contains 2 fibronectin type-II domains. Contains 16 fibronectin type-III domains. |
| 功能 | Fibronectins bind cell surfaces and various compounds including collagen, fibrin, heparin, DNA, and actin. Fibronectins are involved in cell adhesion, cell motility, opsonization, wound healing, and maintenance of cell shape.
Anastellin binds fibronectin and induces fibril formation. This fibronectin polymer, named superfibronectin, exhibits enhanced adhesive properties. Both anastellin and superfibronectin inhibit tumor growth, angiogenesis and metastasis. Anastellin activates p38 MAPK and inhibits lysophospholipid signaling. |
| 保存条件 | Shipped at 4℃. Store at -20℃ for one year. Avoid repeated freeze/thaw cycles. |
| 注意事项 | This product as supplied is intended for research use only, not for use in human, therapeutic or diagnostic applications. |
| 背景资料 | bs-0666P is a synthetic peptide derived from human Fibronectin. This gene encodes fibronectin, a glycoprotein present in a soluble dimeric form in plasma, and in a dimeric or multimeric form at the cell surface and in extracellular matrix. Fibronectin is involved in cell adhesion and migration processes including embryogenesis, wound healing, blood coagulation, host defense, and metastasis. The gene has three regions subject to alternative splicing, with the potential to produce 20 different transcript variants. However, the full-length nature of some variants has not been determined. [provided by RefSeq, Jul 2008]. |
| 应用 | 推荐稀释比例 |
| {IHC-P} | {1:100-500} |
| {IHC-F} | {1:100-500} |
| {IF} | {1:200-800} |

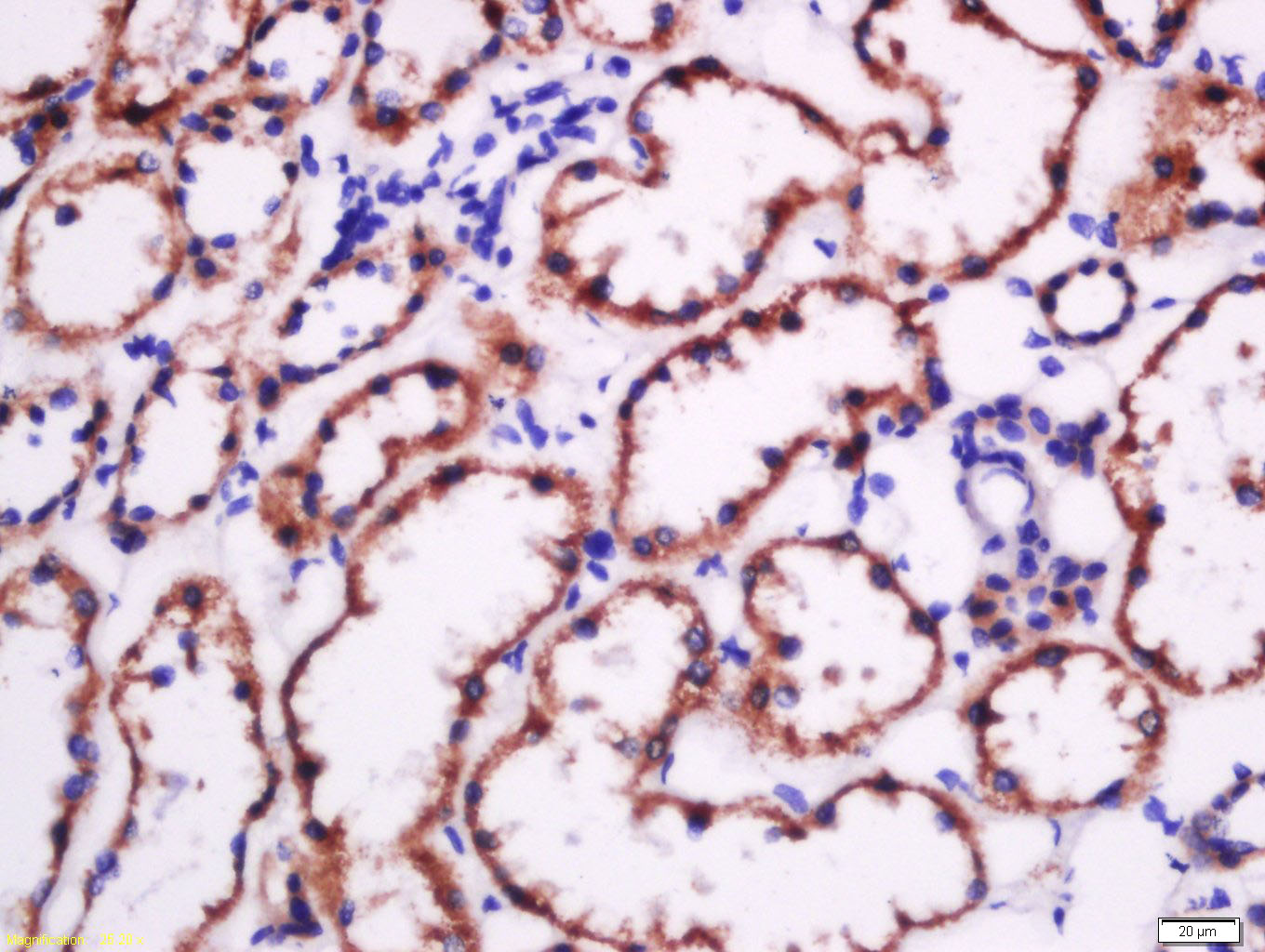
Antigen retrieval: citrate buffer ( 0.01M, pH 6.0 ), Boiling bathing for 15min; Block endogenous peroxidase by 3% Hydrogen peroxide for 30min; Blocking buffer (normal goat serum,C-0005) at 37℃ for 20 min;
Incubation: Anti-Fibronectin/FN1 Polyclonal Antibody, Unconjugated(bs-0666R) 1:500, overnight at 4°C, followed by conjugation to the secondary antibody(SP-0023) and DAB(C-0010) staining

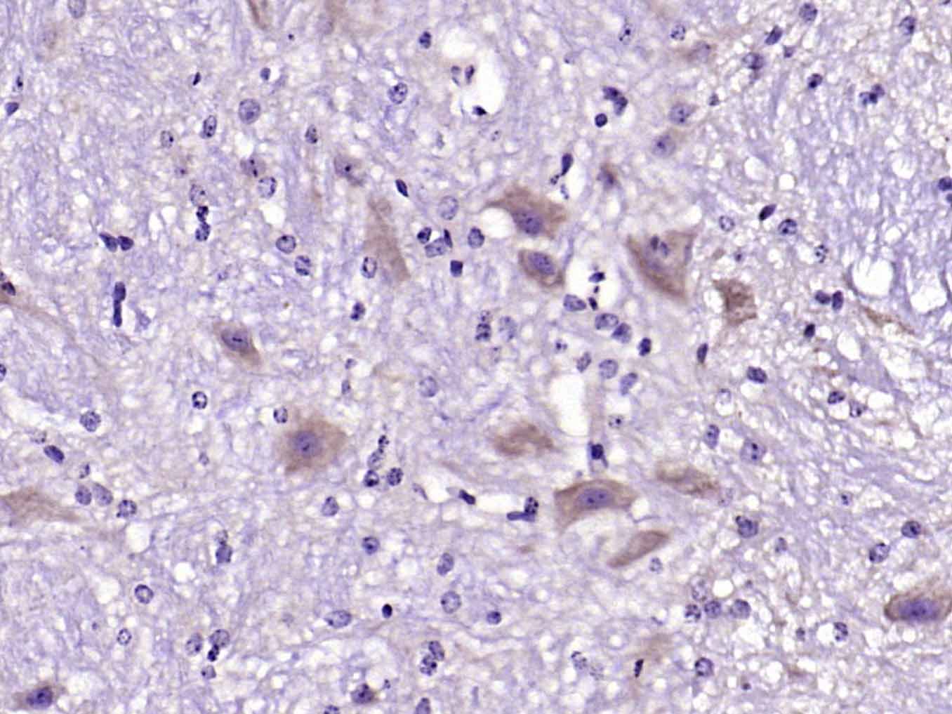
Antigen retrieval: citrate buffer ( 0.01M, pH 6.0 ), Boiling bathing for 15min; Block endogenous peroxidase by 3% Hydrogen peroxide for 30min; Blocking buffer (normal goat serum,C-0005) at 37℃ for 20 min;
Incubation: Anti-Fibronectin/FN1 Polyclonal Antibody, Unconjugated(bs-0666R) 1:500, overnight at 4°C, followed by conjugation to the secondary antibody(SP-0023) and DAB(C-0010) staining


风险提示:丁香通仅作为第三方平台,为商家信息发布提供平台空间。用户咨询产品时请注意保护个人信息及财产安全,合理判断,谨慎选购商品,商家和用户对交易行为负责。对于医疗器械类产品,请先查证核实企业经营资质和医疗器械产品注册证情况。
文献和实验[IF={{ 6.291 }}] {Si-Cheng Zhao. et al. Nickel sulfate exposure induces ovarian inflammation and fibrosis and decreases oocyte quality in mice. Ecotox Environ Safe. 2021 Nov;224:112634} {IHC} {Mouse}
[IF={{ 6 }}] {Jose-Andres C. Portillo. et al. Advanced Glycation End Products Upregulate CD40 in Human Retinal Endothelial and Müller Cells: Relevance to Diabetic Retinopathy. CELLS-BASEL. 2024 Jan;13(5):429} {IF} {Human}
[IF={{ 5.116 }}] {Siwen Zhang. et al. Concentrated exosomes from menstrual blood-derived stromal cells improves ovarian activity in a rat model of premature ovarian insufficiency. Stem Cell Res Ther. 2021 Dec;12(1):1-16} {IF,IHC} {Rat}
[IF={{ 4.6 }}] {Demircan Volkan. et al. Evaluation of therapeutic use of a combination of pentoxifylline and vitamin E in radiation-induced renal fibrosis. SCI REP-UK. 2024 Mar;14(1):1-14} {IHC} {Rat}
[IF={{ 4.522 }}] {Fasano A et al. HTRA1 expression profile and activity on TGF‐β signaling in HTRA1 mutation carriers. J Cell Physiol. 2020 Feb 4.} {WB} {Human}
Anti-GFP/BrdU In Situ Immunostaining
Materials 24 well dishes Millicell 0.4 µm inserts (Millipore PICM01250) - coated with fibronectin Culture medium PBS Fixative: 4% paraformaldehyde in PBS (pH 7.6) Rabbit anti-GFP (Molecular Probes, A-11122) FITC-goat anti-rabbit
= NAL), appears to form upon oxidative cyclization of the nonfluorescent 2:1 lysine-HNE Michael adduct-Schiff base cross-link (Scheme 1). Polyclonal antibody (PAb) to the NAL-HNE fluorophore was raised in rabbit and found to be highly specific
)01252-X [pii] 10.1016/j.bpj.2010.10.004 (2010). 25. Baker, G.R., Sullam, P.M., & Levin, J. A simple, fluorescent method to internally label platelets suitable for physiological measurements. Am. J. Hematol. 56, 17-25, doi:10.1002/(SICI)1096-8652
技术资料暂无技术资料 索取技术资料






