相关产品推荐更多 >

beta 2 Microglobulin Rabbit pAb, APC conjugated(bs-6294R-APC)-100ul
¥2980
5HT3B Receptor Rabbit pAb, BF555 conjugated(bs-4289R-BF555)-100ul
¥2980
PSD93/DLG2 Recombinant Rabbit mAb(bsm-54145R)-50ul/100ul
¥1400
DOK5 Rabbit pAb, BF488 conjugated(bs-8587R-BF488)-100ul
¥2980
LARP1 Rabbit pAb(bs-17101R)-50ul/100ul/200ul
¥1180
万千商家帮你免费找货
0 人在求购买到急需产品
- 详细信息
- 文献和实验
- 技术资料
- 应用范围:
产品信息以Bioss网站为准
- 规格:
50ul/100ul/200ul/200ug
| 规格: | 50ul | 产品价格: | ¥1180.0 |
|---|---|---|---|
| 规格: | 100ul | 产品价格: | ¥1980.0 |
| 规格: | 200ul | 产品价格: | ¥2800.0 |
| 规格: | 200ug | 产品价格: | ¥5600.0 |
| 产品编号 | bsm-33401M |
| 英文名称 | Collagen I Mouse mAb |
| 中文名称 | I型胶原单克隆抗体 |
| 英文别名 | Collagen type I; alpha 1 type I collagen; alpha 2 type I collagen; COL1A1; COL1A2; Collagen I alpha 1 polypeptide; Collagen I alpha 2 polypeptide; Collagen Of Skin Tendon And Bone; Collagen Type 1; Collagen type I alpha 1; Collagen type I alpha 2; OI4; Osteogenesis Imperfecta Type IV; Pro alpha 1(I) collagen; Type I procollagen; CO1A1_HUMAN; Collagen alpha-1(II) chain; alpha-1 type II collagen; Collagen alpha-1(II) chain; Chondrocalcin; collagen alpha-1(I) chain preproprotein. |
| 中文别名 | I型胶原蛋白; 胶原蛋白1; 1型胶原蛋白; |
| 产品应用 | IHC-P=1:100-500, IHC-F=1:100-500, IF=1:100-500 Not yet tested in other applications. |
| 交叉反应 | Human |
| 抗体来源 | Mouse |
| 免疫原 | KLH conjugated synthetic peptide derived from human Collagen I |
| 亚型 | IgG |
| 性状 | Liquid |
| 纯化方法 | affinity purified by Protein G |
| 克隆类型 | Monoclonal |
| 理论分子量 | 139 kDa |
| 浓度 | 1mg/ml |
| 储存液 | 0.01M TBS (pH7.4) with 1% BSA, 0.02% Proclin300 and 50% Glycerol. |
| 研究领域 | Signal Transduction > Cytoskeleton / ECM > Extracellular Matrix > ECM Proteins > Collagen Stem Cells > Mesenchymal Stem Cells > Osteogenesis |
| 亚基 | Trimers of one alpha 2(I) and two alpha 1(I) chains. Interacts with MRC2. Interacts with TRAM2. Subcellular Location : Secreted, extracellular space, extracellular matrix. |
| 亚细胞定位 | Secreted, extracellular space, extracellular matrix. |
| 组织特异性 | Forms the fibrils of tendon, ligaments and bones. In bones the fibrils are mineralized with calcium hydroxyapatite. |
| 翻译后修饰 | Proline residues at the third position of the tripeptide repeating unit (G-X-P) are hydroxylated in some or all of the chains. Proline residues at the second position of the tripeptide repeating unit (G-P-X) are hydroxylated in some of the chains. O-linked glycan consists of a Glc-Gal disaccharide bound to the oxygen atom of a post-translationally added hydroxyl group. |
| 相似性 | Belongs to the fibrillar collagen family. Contains 1 fibrillar collagen NC1 domain. Contains 1 VWFC domain. |
| 功能 | Type I collagen is a member of group I collagen (fibrillar forming collagen). |
| 保存条件 | Shipped at 4℃. Store at -20℃ for one year. Avoid repeated freeze/thaw cycles. |
| 注意事项 | This product as supplied is intended for research use only, not for use in human, therapeutic or diagnostic applications. |
| 背景资料 | Collagens are highly conserved throughout evolution and are characterised by an uninterrupted "Glycine X Y" triplet repeat that is a necessary part of the triple helical structure. Type I collagen (95 kDa) is found in bone, cornea, skin and tendon. Mutations in the encoding gene are associated with osteogenesis imperfecta, Ehlers Danlos syndrome, and idiopathic osteoporosis. Reciprocal translocations between chromosomes 17 and 22, where this gene and the gene for Platelet-derived growth factor beta are located, are associated with a particular type of skin tumor called dermatofibrosarcoma protuberans, resulting from unregulated expression of the growth factor. |
| 应用 | 推荐稀释比例 |
| {IHC-P} | {1:100-500} |
| {IHC-F} | {1:100-500} |
| {IF} | {1:100-500} |

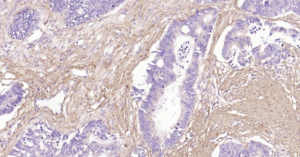
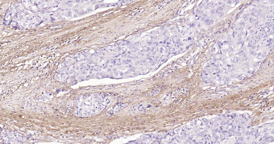
Paraformaldehyde-fixed, paraffin embedded Human Colon Cancer; Antigen retrieval by boiling in sodium citrate buffer (pH6.0) for 15 min; Antibody incubation with Collagen I Monoclonal Antibody, Unconjugated(bsm-33401M) at 1:200 overnight at 4°C, followed by conjugation to the SP Kit (Mouse, sp-0024)and DAB (C-0010) staining.

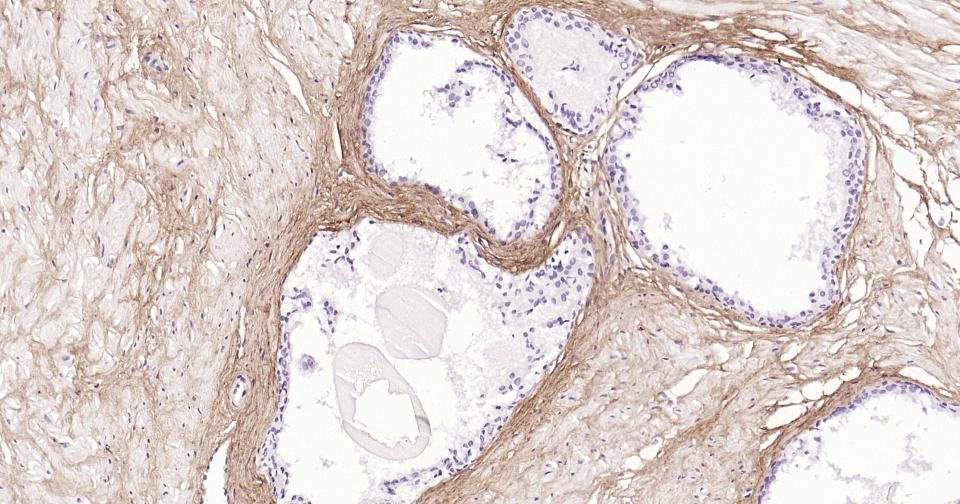
Paraformaldehyde-fixed, paraffin embedded Human Prostate; Antigen retrieval by boiling in sodium citrate buffer (pH6.0) for 15 min; Antibody incubation with Collagen I Monoclonal Antibody, Unconjugated(bsm-33401M) at 1:200 overnight at 4°C, followed by conjugation to the SP Kit (Mouse, sp-0024)and DAB (C-0010) staining.

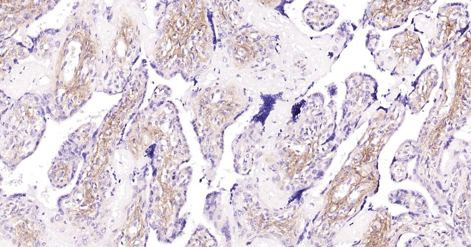
Paraformaldehyde-fixed, paraffin embedded Human Placenta; Antigen retrieval by boiling in sodium citrate buffer (pH6.0) for 15 min; Antibody incubation with Collagen I Monoclonal Antibody, Unconjugated(bsm-33401M) at 1:200 overnight at 4°C, followed by conjugation to the SP Kit (Mouse, sp-0024)and DAB (C-0010) staining.

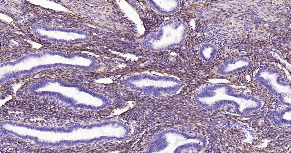
Paraformaldehyde-fixed, paraffin embedded Human Uterus; Antigen retrieval by boiling in sodium citrate buffer (pH6.0) for 15 min; Antibody incubation with Collagen I Monoclonal Antibody, Unconjugated(bsm-33401M) at 1:200 overnight at 4°C, followed by conjugation to the SP Kit (Mouse, sp-0024)and DAB (C-0010) staining.

Paraformaldehyde-fixed, paraffin embedded Human Esophageal Cancer; Antigen retrieval by boiling in sodium citrate buffer (pH6.0) for 15 min; Antibody incubation with Collagen I Monoclonal Antibody, Unconjugated(bsm-33401M) at 1:200 overnight at 4°C, followed by conjugation to the SP Kit (Mouse, sp-0024)and DAB (C-0010) staining.
风险提示:丁香通仅作为第三方平台,为商家信息发布提供平台空间。用户咨询产品时请注意保护个人信息及财产安全,合理判断,谨慎选购商品,商家和用户对交易行为负责。对于医疗器械类产品,请先查证核实企业经营资质和医疗器械产品注册证情况。
文献和实验该产品被引用文献
[IF={{ 14.3 }}] {Chengzhong Xu. et al.Biomimetic Microstructured Scaffold with Release of Re-Modified Teriparatide for Osteoporotic Tendon-to-Bone Regeneration via Balancing Bone Homeostasis..Advanced Science.2025 Mar 17:e2500144.} {IF} {Rat}
技术资料暂无技术资料 索取技术资料
文献支持
Collagen I Mouse mAb(bsm-33401M)-50ul/100ul/200ul/200ug
¥1180 - 5600






