相关产品推荐更多 >
万千商家帮你免费找货
0 人在求购买到急需产品
- 详细信息
- 文献和实验
- 技术资料
- 应用范围:
产品信息以Bioss网站为准
- 规格:
100ul/500ul/200ul/1000ul
| 规格: | 100ul | 产品价格: | ¥580.0 |
|---|---|---|---|
| 规格: | 500ul | 产品价格: | ¥2280.0 |
| 规格: | 200ul | 产品价格: | ¥980.0 |
| 规格: | 1000ul | 产品价格: | ¥4680.0 |
| 产品编号 | bsm-33033M |
| 英文名称 | GAPDH Mouse mAb, Loading Control |
| 中文名称 | 3-磷酸甘油醛脱氢酶(内参)单克隆抗体 |
| 英文别名 | 38 kDa BFA-dependent ADP-ribosylation substrate; Aging-associated gene 9 protein; BARS-38; cb609; EC 1.2.1.12; G3PD; G3PDH; GAPD; Glyceraldehyde 3 phosphate dehydrogenase; Glyceraldehyde 3 phosphate dehydrogenase liver; Glyceraldehyde 3 phosphate dehydrogenase muscle; KNC-NDS6; MGC102544; MGC102546; MGC103190; MGC103191; MGC105239; MGC127711; MGC88685; OCAS, p38 component; OCT1 coactivator in S phase, 38-KD component; wu:fb33a10. |
| 产品应用 | WB=1:5000-500000 Not yet tested in other applications. |
| 交叉反应 | Human, Mouse, Rat (Chicken, Dog, Pig, Rabbit, Sheep, Hamster, Monkey) |
| 抗体来源 | Mouse |
| 免疫原 | Recombinded Human GAPDH |
| 亚型 | IgG |
| 性状 | Liquid |
| 纯化方法 | affinity purified by Protein G |
| 克隆类型 | Monoclonal |
| 理论分子量 | 38 kDa |
| 浓度 | 1mg/ml |
| 储存液 | 0.01M TBS (pH7.4) with 1% BSA, 0.02% Proclin300 and 50% Glycerol. |
| 研究领域 | Cancer > Cancer Metabolism > Metabolic signaling pathway > Metabolism of carbohydrates Isotype/Loading Controls > Loading Controls > GAPDH Metabolism > Pathways and Processes > Metabolic signaling pathways > Carbohydrate metabolism Metabolism > Pathways and Processes > Metabolic signaling pathways > Energy transfer pathways > Energy Metabolism Metabolism > Types of disease > Cancer Metabolism > Types of disease > Neurodegenerative disease Neuroscience > Neurology process > Neurodegenerative disease > Alzheimer's disease Neuroscience > Neurology process > Neurodegenerative disease > Huntington's disease Signal Transduction > Metabolism > Energy Metabolism |
| 亚基 | Homotetramer (PubMed:16239728, PubMed:16510976). |
| 亚细胞定位 | Cytoplasm, cytosol. Nucleus. Cytoplasm, perinuclear region. Membrane. Note=Translocates to the nucleus following S-nitrosylation and interaction with SIAH1, which contains a nuclear localization signal. Postnuclear and Perinuclear regions. |
| 翻译后修饰 | #Acetylation |
| 相似性 | Belongs to the glyceraldehyde-3-phosphate dehydrogenase family. |
| 功能 | Has both glyceraldehyde-3-phosphate dehydrogenase and nitrosylase activities, thereby playing a role in glycolysis and nuclear functions, respectively (PubMed:3170585, PubMed:11724794). |
| 保存条件 | Shipped at 4℃. Store at -20℃ for one year. Avoid repeated freeze/thaw cycles. |
| 注意事项 | This product as supplied is intended for research use only, not for use in human, therapeutic or diagnostic applications. |
| 背景资料 | oading ControlGlyceraldehyde 3 phosphate dehydrogenase (GAPDH) is well known as one of the key enzymes involved in glycolysis. As well as functioning as a glycolytic enzyme in cytoplasm, recent evidence suggests that mammalian GAPDH is also involved in a great number of intracellular proceses such as membrane fusion, microtubule bundling, phosphotransferase activity, nuclear RNA export, DNA replication, and DNA repair. During the last decade a lot of data appeared concerning the role of GAPDH in different pathologies including prostate cancer progression, programmed neuronal cell death, age related neuronal diseases, such as Alzheimer's and Huntington's disease. GAPDH is expressed in all cells. It is constitutively expressed in almost all tissues at high levels. There are however some physiological factors such as hypoxia and diabetes that increase GAPDH expression in certain cell types. GAPDH molecule is composed of four 36kDa subunits. |
| 应用 | 推荐稀释比例 |
| {WB} | {1:5000-500000} |

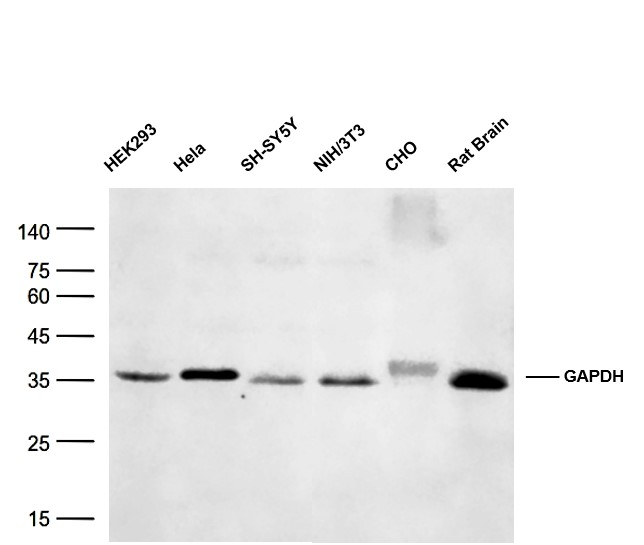
Lane 1: Human HEK293 cell lysates
Lane 2: Human Hela cell lysates
Lane 3: Human SH-SY5Y cell lysates
Lane 4: Mouse NIH/3T3 cell lysates
Lane 5: Hamster CHO cell lysates
Lane 6: Rat Brain tissue lysates
Primary: Anti-GAPDH (bsm-33033M) at 1/200000 dilution
Secondary: IRDye800CW Goat Anti-Mouse IgG at 1/20000 dilution
Predicted band size: 38 kDa
Observed band size: 38 kDa

风险提示:丁香通仅作为第三方平台,为商家信息发布提供平台空间。用户咨询产品时请注意保护个人信息及财产安全,合理判断,谨慎选购商品,商家和用户对交易行为负责。对于医疗器械类产品,请先查证核实企业经营资质和医疗器械产品注册证情况。
文献和实验[IF={{ 9.8 }}] {Bohan Chen. et al. Inhalation of ammonia promotes apoptosis and induces autophagy in hepatocytes via Bax/BCl-2 and m-TOR/ATG5/LC-3bII axes. SCI TOTAL ENVIRON. 2024 Feb;912:169036} {WB} {Mouse}
[IF={{ 9.6 }}] {Weibo Zhang. et al. Fe2+ Triggers Endocytosis of Carrier Proteins in Mammalian Cells. ADV HEALTHC MATER. 2025 May;:2502090} {} {}
[IF={{ 9.5 }}] {Zheng Meng. et al. Targeted ablation of the left middle cervical ganglion prevents ventricular arrhythmias and cardiac injury induced by AMI. BASIC RES CARDIOL. 2023 Dec;:1-18} {WB} {Dog}
[IF={{ 9.1 }}] {Fan Yang. et al. A Novel ceRNA Axis LOC121818100/Novel-miR-400/SSRP1 Regulated Muscle Growth and Injury Repair in Sheep. J CACHEXIA SARCOPENI. 2025 Jun;16(3):e13836} {WB} {Sheep}
[IF={{ 8.9 }}] {Tao Zhang. et al. Role of Caveolin-1 on the molybdenum and cadmium exposure induces pulmonary ferroptosis and fibrosis in the sheep. ENVIRON POLLUT. 2023 Jul;:122207} {WB} {Sheep}
Assessment of the In Vivo Adaptive Response to Mechanical Loading
bones, loading these bones in a controlled manner, and assessing changes in architecture are all available. This chapter outlines the techniques involved in these three phases of investigation in mouse bone.
T-Cell Activation Using mAb to CD3
One of the most common ways to assess T cell activation is to measure T cell proliferation upon in vitro stimulation of T cells via antigen or agonistic antibodies to TCR. This protocol is written as a starting point for examining in vitro proliferation of mouse
WHOLE MOUNT IN SITU HYBRIDIZATION. Mouse Embryos
. Use gloves and aerosol barrier tips. Linearize the plasmid and check the digest. Phenol extract. Extract twice with chloroform:isoamyl alcohol (24:1) Ethanol precipitate ( 1/2 vol 7.5 M NH4 OAc + 2.5 vol 100
技术资料暂无技术资料 索取技术资料










