相关产品推荐更多 >

RNA polymerase II CTD repeat YSPTSPS (phospho S5) Rabbit pAb, APC-Cy5.5 conjugated(bs-6582R-APC-Cy5.5)-100ul
¥2980
ST18 Rabbit pAb(bs-12188R)-50ul/100ul/200ul
¥1180
Embigin Rabbit pAb(bs-14576R)-50ul/100ul/200ul
¥1180
PPAR delta + beta Rabbit pAb, HRP conjugated(bs-21514R-HRP)-100ul
¥2980
S100A7 Rabbit pAb, RBITC conjugated(bs-6238R-RBITC)-100ul
¥2980
万千商家帮你免费找货
0 人在求购买到急需产品
- 详细信息
- 文献和实验
- 技术资料
- 应用范围:
产品信息以Bioss网站为准
- 规格:
50ul/100ul/200ul
| 规格: | 50ul | 产品价格: | ¥1180.0 |
|---|---|---|---|
| 规格: | 100ul | 产品价格: | ¥1980.0 |
| 规格: | 200ul | 产品价格: | ¥2800.0 |
| 产品编号 | bs-20179R |
| 英文名称 | 5 MethylCytosine Rabbit pAb |
| 中文名称 | 5甲基胞嘧啶抗体 |
| 英文别名 | 5-Methyl Cytidine; 5 m C; 5 mC; 5 me C; 5 Me Cytidine; 5 MeCyd; 5 Methyl Cytidine; 5 MethylCytosine; 5-mC; 5-Me Cytidine; 5-Methyl-Cytosine; 5-MethylCytidine. |
| 中文别名 | 5-甲基胞嘧啶 |
| 产品应用 | IHC-P=1:100-500, IHC-F=1:100-500, IF=1:100-500 Not yet tested in other applications. |
| 交叉反应 | Species independent |
| 抗体来源 | Rabbit |
| 免疫原 | OVA conjugated 5 MethylCytosine |
| 亚型 | IgG |
| 性状 | Liquid |
| 纯化方法 | affinity purified by Protein A |
| 克隆类型 | Polyclonal |
| 浓度 | 1mg/ml |
| 储存液 | 0.01M TBS (pH7.4) with 1% BSA, 0.02% Proclin300 and 50% Glycerol. |
| 保存条件 | Shipped at 4℃. Store at -20℃ for one year. Avoid repeated freeze/thaw cycles. |
| 注意事项 | This product as supplied is intended for research use only, not for use in human, therapeutic or diagnostic applications. |
| 应用 | 推荐稀释比例 |
| {IHC-P} | {1:100-500} |
| {IHC-F} | {1:100-500} |
| {IF} | {1:100-500} |

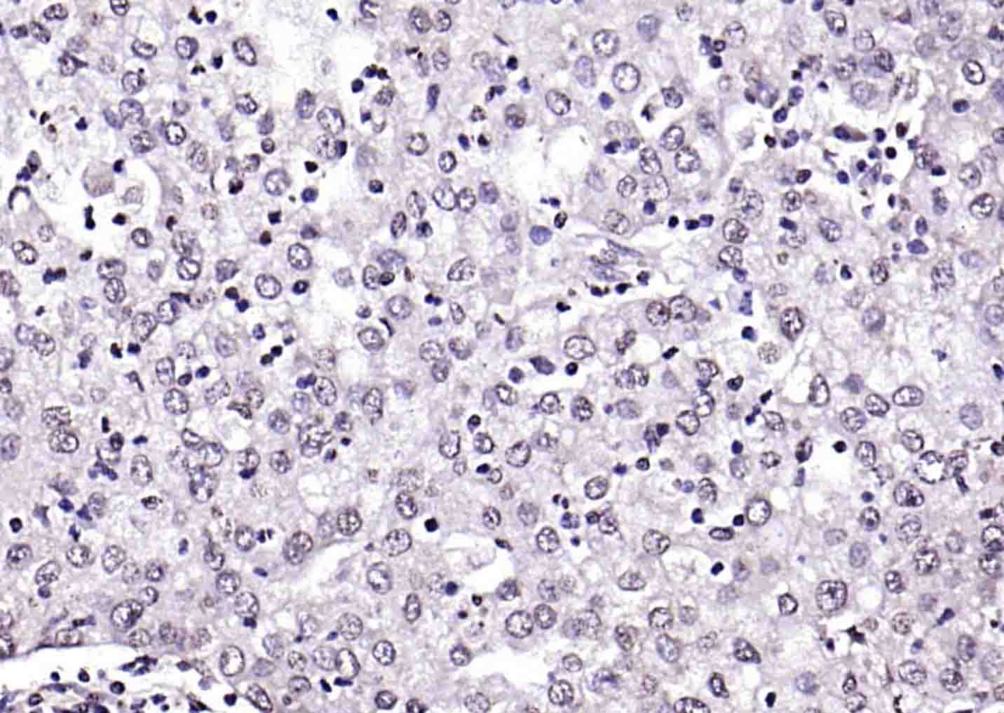
Paraformaldehyde-fixed, paraffin embedded (human gastric carcinoma); Antigen retrieval by boiling in sodium citrate buffer (pH6.0) for 15min; Block endogenous peroxidase by 3% hydrogen peroxide for 20 minutes; Blocking buffer (normal goat serum) at 37°C for 30min; Incubation with (5 MethylCytosine) Polyclonal Antibody, Unconjugated (bs-20179R) at 1:200 overnight at 4°C, followed by operating according to SP Kit(Rabbit) (sp-0023) instructionsand DAB staining.
风险提示:丁香通仅作为第三方平台,为商家信息发布提供平台空间。用户咨询产品时请注意保护个人信息及财产安全,合理判断,谨慎选购商品,商家和用户对交易行为负责。对于医疗器械类产品,请先查证核实企业经营资质和医疗器械产品注册证情况。
文献和实验该产品被引用文献
[IF={{ 2.794 }}] {Liu, Yan. et al. Sexual dimorphism of DNA and histone methylation profiles in the gonads of the olive flounder Paralichthys olivaceus. 2021 Jul 15} {IHC} {Flounders}
技术资料暂无技术资料 索取技术资料
文献支持
5 MethylCytosine Rabbit pAb(bs-20179R)-50ul/100ul/200ul
¥1180 - 2800





