相关产品推荐更多 >

Desmin Rabbit pAb, PerCP-Cy7 conjugated(bs-1026R-PerCP-Cy7)-100ul
¥2980
Anti-human SLAMF7 / CS1 (AzintuxizumAb Biosimilar)(BIO0770SM)-1mg/5mg/20mg
¥3200
CD1d Rabbit pAb(bs-3690R)-50ul/100ul/200ul
¥1180
MYF5 Rabbit pAb(bs-23876R)-50ul/100ul/200ul
¥1180
phospho-PLB (Ser16+Thr17) Rabbit pAb(bs-10999R)-50ul/100ul/200ul
¥1180
万千商家帮你免费找货
0 人在求购买到急需产品
- 详细信息
- 询价记录
- 文献和实验
- 技术资料
- 应用范围:
产品信息以Bioss网站为准
- 规格:
50ul/100ul/200ul
| 规格: | 50ul | 产品价格: | ¥1180.0 |
|---|---|---|---|
| 规格: | 100ul | 产品价格: | ¥1980.0 |
| 规格: | 200ul | 产品价格: | ¥2800.0 |
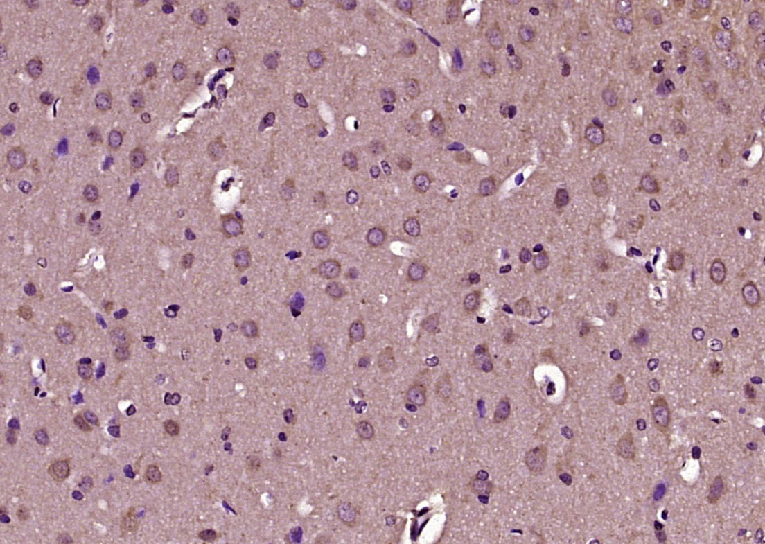
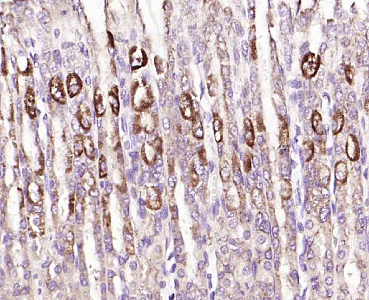
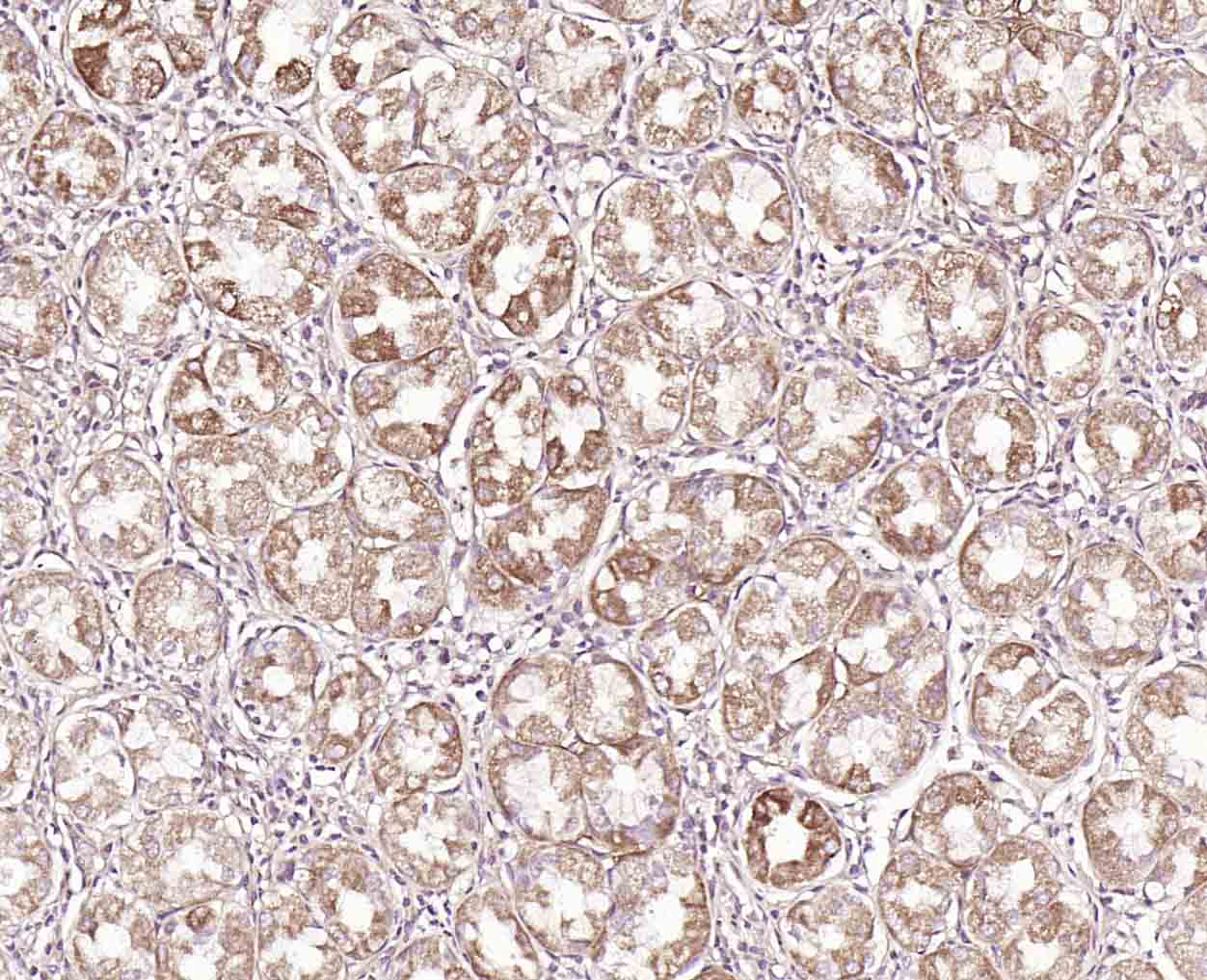
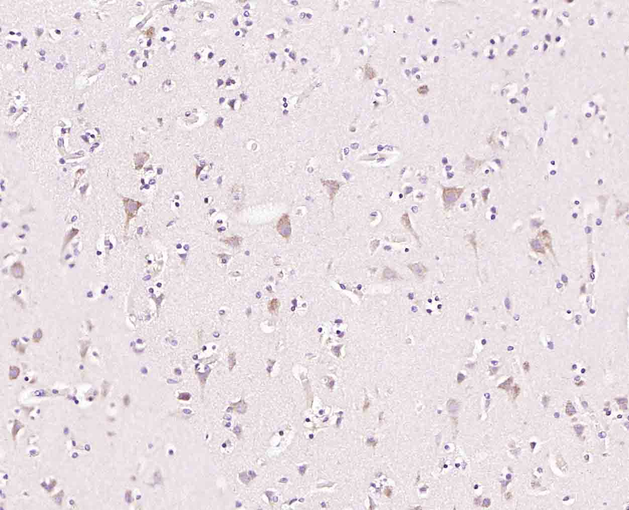
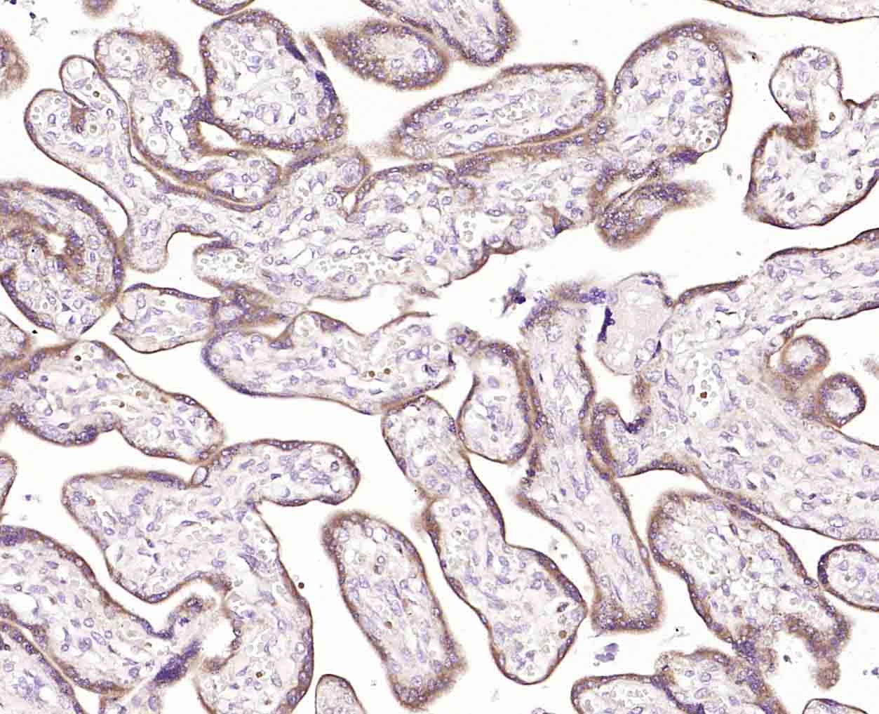
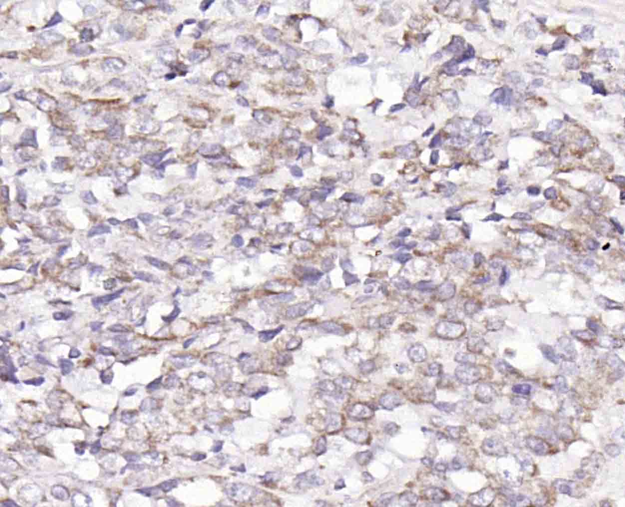
| 产品编号 | bs-10068R |
| 英文名称 | NUCB2 Rabbit pAb |
| 中文名称 | 新的饱食分子蛋白抗体 |
| 英文别名 | NUCB2_HUMAN; Nucleobindin-2; DNA-binding protein NEFA; Epididymis secretory protein Li 109; Gastric cancer antigen Zg4; Prepronesfatin; Nesfatin-1; NEFA; nucleobindin 2; HEL-S-109; |
| 产品应用 | IHC-P=1:100-500, IHC-F=1:100-500, IF=1:100-500 Not yet tested in other applications. |
| 交叉反应 | Human, Rat (Mouse, Dog) |
| 抗体来源 | Rabbit |
| 免疫原 | KLH conjugated synthetic peptide derived from human Nesfatin-1 |
| 亚型 | IgG |
| 性状 | Liquid |
| 纯化方法 | affinity purified by Protein A |
| 克隆类型 | Polyclonal |
| 理论分子量 | 10/47 kDa |
| 浓度 | 1mg/ml |
| 储存液 | Preservative: 0.02% Proclin300, Constituents: 1% BSA, 0.01M PBS, pH7.4. |
| 研究领域 | Epigenetics and Nuclear Signaling > Chromatin Binding Proteins > DNA / RNA binding Signal Transduction > Signaling Pathway > Calcium Signaling > Calcium Binding Proteins |
| 亚细胞定位 | Golgi apparatus. Membrane; Peripheral membrane protein. Cytoplasm. Secreted. Endoplasmic reticulum. Nucleus envelope. Note=Golgi retention is mediated by its N-terminal region.
Nesfatin-1: Secreted. |
| 组织特异性 | Predominantly expressed in spleen, testis and normal stomach. |
| 相似性 | Belongs to the nucleobindin family.
Contains 2 EF-hand domains. |
| 功能 | Calcium-binding protein. May have a role in calcium homeostasis.
Nesfatin-1: Anorexigenic peptide, seems to play an important role in hypothalamic pathways regulating food intake and energy homeostasis, acting in a leptin-independent manner. May also exert hypertensive roles and modulate blood pressure through directly acting on peripheral arterial resistance. |
| 保存条件 | Shipped at 4℃. Store at -20℃ for one year. Avoid repeated freeze/thaw cycles. |
| 注意事项 | This product as supplied is intended for research use only, not for use in human, therapeutic or diagnostic applications. |
| 背景资料 | This gene encodes a protein with a suggested role in calcium level maintenance, eating regulation in the hypothalamus, and release of tumor necrosis factor from vascular endothelial cells. This protein binds calcium and has EF-folding domains. [provided by RefSeq, Oct 2011]. |
| 应用 | 推荐稀释比例 |
| {IHC-P} | {1:100-500} |
| {IHC-F} | {1:100-500} |
| {IF} | {1:100-500} |







风险提示:丁香通仅作为第三方平台,为商家信息发布提供平台空间。用户咨询产品时请注意保护个人信息及财产安全,合理判断,谨慎选购商品,商家和用户对交易行为负责。对于医疗器械类产品,请先查证核实企业经营资质和医疗器械产品注册证情况。
- 作者
- 内容
- 询问日期
文献和实验= NAL), appears to form upon oxidative cyclization of the nonfluorescent 2:1 lysine-HNE Michael adduct-Schiff base cross-link (Scheme 1). Polyclonal antibody (PAb) to the NAL-HNE fluorophore was raised in rabbit and found to be highly specific
GE Healthcare Benzamidine Sepharose™ 6B is p-aminobenzamidine covalently attached to Sepharose 6B by the epoxy coupling method. p-Aminobenzamidine (PAB), is a synthetic inhibitor of trypsin-like serine protease. Trypsin and trypsin
Nucleic Acid Programmable Protein Arrays: Versatile Tools for Array‐Based Functional Protein Studies
.g., Sigma) 50 mg/ml bis‐sulfosuccinimdylsuberate (BS3 ;Pierce, cat. no. PI 21580) in dimethylsulfoxide (DMSO) 5 mg/ml
技术资料暂无技术资料 索取技术资料






