相关产品推荐更多 >

Caspase-9 Rabbit pAb(bs-0050R)-50ul/100ul/200ul
¥1180
Integrin beta 1 Rabbit pAb, PE-Cy5.5 conjugated(bs-0486R-PE-Cy5.5)-100ul
¥2980
Aldolase A Rabbit pAb, Cy3 conjugated(bs-2406R-Cy3)-100ul
¥2980
SIRT2 Rabbit pAb, AP conjugated(bs-7350R-AP)-100ul
¥2980
Yellow fever virus envelope glycoprotein E Rabbit pAb, Biotin conjugated(bs-2041R-Bio)-100ul
¥2980
万千商家帮你免费找货
0 人在求购买到急需产品
- 详细信息
- 文献和实验
- 技术资料
- 应用范围:
产品信息以Bioss网站为准
- 规格:
50ul/100ul/200ul
| 规格: | 50ul | 产品价格: | ¥1180.0 |
|---|---|---|---|
| 规格: | 100ul | 产品价格: | ¥1980.0 |
| 规格: | 200ul | 产品价格: | ¥2800.0 |
| 产品编号 | bs-10982R |
| 英文名称 | RCAS1/EBAG9 Rabbit pAb |
| 中文名称 | 肿瘤相关表面抗原EBAG9抗体 |
| 英文别名 | BAG9; Cancer associated surface antigen; Cancer associated surface antigen RCAS1; EB9; EBAG 9; Estrogen receptor binding fragment associated gene 9 protein; Estrogen receptor binding site associated antigen 9; PDAF; RCAS 1; RCAS1; Receptor binding cancer antigen expressed on SiSo cells. |
| 产品应用 | IHC-P=1:100-500, IHC-F=1:100-500, IF=1:100-500 Not yet tested in other applications. |
| 交叉反应 | Mouse (Human, Chicken, Pig, Cow, Rabbit) |
| 抗体来源 | Rabbit |
| 免疫原 | KLH conjugated synthetic peptide derived from human RCAS1 |
| 亚型 | IgG |
| 性状 | Liquid |
| 纯化方法 | affinity purified by Protein A |
| 克隆类型 | Polyclonal |
| 理论分子量 | 24 kDa |
| 浓度 | 1mg/ml |
| 储存液 | Preservative: 0.02% Proclin300, Constituents: 1% BSA, 0.01M PBS, pH7.4. |
| 研究领域 | Cancer > Tumor biomarkers > Tumor antigens Cancer > Tumor immunology > Tumor-associated antigens Signal Transduction > Growth Factors/Hormones > Hormones Tags & Cell Markers > Cell Type Markers > Tumor Associated |
| 亚基 | Homodimer. |
| 亚细胞定位 | Golgi apparatus membrane; Single-pass type III membrane protein. Note=According to PubMed:10426319, it also exists as a soluble form which has the same biological activities. The existence of such soluble form is however uncertain. |
| 组织特异性 | Widely expressed. Expressed in ovary, testis, prostate, thymus, muscle and heart, but not in small intestine, colon, lymph nodes, or peripherical blood lymphocytes. The protein is not detected in any of the above organs. |
| 功能 | May participate in suppression of cell proliferation and induces apoptotic cell death through activation of interleukin-1-beta converting enzyme (ICE)-like proteases |
| 保存条件 | Shipped at 4℃. Store at -20℃ for one year. Avoid repeated freeze/thaw cycles. |
| 注意事项 | This product as supplied is intended for research use only, not for use in human, therapeutic or diagnostic applications. |
| 背景资料 | This gene was identified as an estrogen-responsive gene. Regulation of transcription by estrogen is mediated by estrogen receptor, which binds to the estrogen-responsive element found in the 5'-flanking region of this gene. The encoded protein is a tumor-associated antigen that is expressed at high frequency in a variety of cancers. Alternate splicing results in multiple transcript variants. A pseudogene of this gene has been defined on chromosome 10. [provided by RefSeq, Jul 2013] |
| 应用 | 推荐稀释比例 |
| {IHC-P} | {1:100-500} |
| {IHC-F} | {1:100-500} |
| {IF} | {1:100-500} |

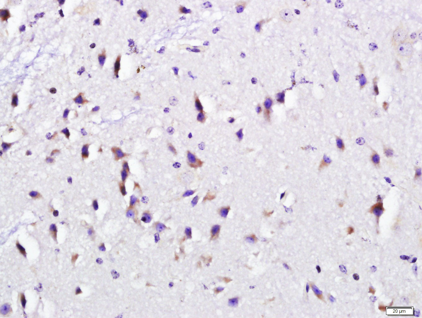
Antigen retrieval: citrate buffer ( 0.01M, pH 6.0 ), Boiling bathing for 15min; Block endogenous peroxidase by 3% Hydrogen peroxide for 30min; Blocking buffer (normal goat serum,C-0005) at 37℃ for 20 min;
Incubation: Anti-RCAS1 Polyclonal Antibody, Unconjugated(bs-10982R) 1:500, overnight at 4°C, followed by conjugation to the secondary antibody(SP-0023) and DAB(C-0010) staining
风险提示:丁香通仅作为第三方平台,为商家信息发布提供平台空间。用户咨询产品时请注意保护个人信息及财产安全,合理判断,谨慎选购商品,商家和用户对交易行为负责。对于医疗器械类产品,请先查证核实企业经营资质和医疗器械产品注册证情况。
文献和实验= NAL), appears to form upon oxidative cyclization of the nonfluorescent 2:1 lysine-HNE Michael adduct-Schiff base cross-link (Scheme 1). Polyclonal antibody (PAb) to the NAL-HNE fluorophore was raised in rabbit and found to be highly specific
. Retrieved 2010-11-29. ^ Nielsen BS, Jørgensen S, Fog JU, Søkilde R, Christensen IJ, Hansen U, Brünner N, Baker A, Møller S, Nielsen HJ (October 2010). "High levels of microRNA-21 in the stroma of colorectal cancers predict short disease-free survival
+oieSKeKcgxGinlRPl7uja5iYeDdc+K3eZhXhIOHOy+p9cxrGU9WCTkVcT5iRR/BsR+N0IDPSu3x0pXo0IRAQiAhGBiEBE4ABCwPnwbu0wGmW8ULj7NRb20DLRYqFW1Up6ODBube+wknwaZ5w/y92bXLbV5K3CJ+hhzKwdSHCmVrada2Qy0eyxvi0r7Lkl99ukcaOkRe60Sj82E8qgnmxNtzHGRRyZQtf1g41GIMau5W7ITlqbiDRR0CA3tPhIsEdmP5hZ
技术资料暂无技术资料 索取技术资料






