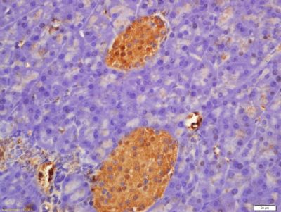
Tissue/cell: Rat pancreas tissue; 4% Paraformaldehyde-fixed and paraffin-embedded;
Antigen retrieval: citrate buffer ( 0.01M, pH 6.0 ), Boiling bathing for 15min; Block endogenous peroxidase by 3% Hydrogen peroxide for 30min; Blocking buffer (normal goat serum,C-0005) at 37℃ for 20 min;
Incubation: Anti-phospho-PFKL (Ser775) Polyclonal Antibody, Unconjugated(bs-16457) 1:200, overnight at 4°C, followed by conjugation to the secondary antibody(SP-0023) and DAB(C-0010) staining
相关产品推荐更多 >

phospho-Bad (Ser118) Rabbit pAb(bs-5216R)-50ul/100ul/200ul
¥1180
phospho-GSK-3 Beta (Ser9) Rabbit pAb(bs-2066R)-50ul/100ul/200ul
¥1180
Insulin Receptor alpha Rabbit pAb, Cy5 conjugated(bs-0047R-Cy5)-100ul
¥2980
COX18 Rabbit pAb, HRP conjugated(bs-14006R-HRP)-100ul
¥2980
Anti-human Complement C5 (Lendalizumab Biosimilar)(BIO0518SM)-1mg/5mg/20mg
¥3200
万千商家帮你免费找货
0 人在求购买到急需产品
- 详细信息
- 询价记录
- 技术资料
- 应用范围:
产品信息以Bioss网站为准
- 规格:
50ul/100ul/200ul
| 规格: | 50ul | 产品价格: | ¥1180.0 |
|---|---|---|---|
| 规格: | 100ul | 产品价格: | ¥1980.0 |
| 规格: | 200ul | 产品价格: | ¥2800.0 |
| 产品编号 | bs-16457R |
| 英文名称 | phospho-PFKM/PFK1 (Ser775) Rabbit pAb |
| 中文名称 | 磷酸化肌肉型6磷酸果糖激酶/磷酸果糖激酶1抗体 |
| 英文别名 | PFKM(phospho S775); PFKM(phospho Ser775); p-PFKM(Ser775); Fructose 6 Phosphate Kinase; 6 phosphofructokinase Muscle Type; GSD7; PFKA; PFK-A; PFKP; PFKX; phosphofructo 1 Kinase Isozyme A; phosphofructo-1-kinase isozyme A; phosphofructokinase 1; phosphofructokinase M; phosphofructokinase-M; phosphofructokinase, muscle; phosphofructokinase, muscle type; phosphofructokinase, polypeptide X; phosphohexokinase; PFKAM_HUMAN; 6-phosphofructokinase, muscle type; PFK1; PFK-1; ATP-PFK; PPP1R122. |
| 产品应用 | WB=1:500-2000, IHC-P=1:100-500, IHC-F=1:100-500, IF=1:100-500 Not yet tested in other applications. |
| 交叉反应 | Human, Rat (Mouse, Pig, Cow, Horse, Sheep) |
| 抗体来源 | Rabbit |
| 免疫原 | KLH conjugated Synthesised phosphopeptide derived from human PFKM around the phosphorylation site of Ser775 |
| 亚型 | IgG |
| 性状 | Liquid |
| 纯化方法 | affinity purified by Protein A |
| 克隆类型 | Polyclonal |
| 理论分子量 | 86 kDa |
| 浓度 | 1mg/ml |
| 储存液 | Preservative: 0.02% Proclin300, Constituents: 1% BSA, 0.01M PBS, pH7.4. |
| 研究领域 | Cancer > Cancer Metabolism > Metabolic signaling pathway > Metabolism of carbohydrates Metabolism > Pathways and Processes > Metabolic signaling pathways > Carbohydrate metabolism Metabolism > Pathways and Processes > Metabolic signaling pathways > Energy transfer pathways > Energy Metabolism Signal Transduction > Metabolism > Energy Metabolism |
| 亚基 | Homo- and heterotetramers. Muscle is M4, liver is L4, and red cell is M3L, M2L2, or ML3. Interacts (via C-terminus) with HK1 (via N-terminal spermatogenic cell-specific region) |
| 亚细胞定位 | Cytoplasm. |
| 翻译后修饰 | GlcNAcylation decreases enzyme activity. |
| 相似性 | Belongs to the phosphofructokinase type A (PFKA) family. ATP-dependent PFK group I subfamily. Eukaryotic two domain clade 'E' sub-subfamily. |
| 功能 | Catalyzes the third step of glycolysis, the phosphorylation of fructose-6-phosphate (F6P) by ATP to generate fructose-1,6-bisphosphate (FBP) and ADP. |
| 保存条件 | Shipped at 4℃. Store at -20℃ for one year. Avoid repeated freeze/thaw cycles. |
| 注意事项 | This product as supplied is intended for research use only, not for use in human, therapeutic or diagnostic applications. |
| 背景资料 | Three phosphofructokinase isozymes exist in humans: muscle, liver and platelet. These isozymes function as subunits of the mammalian tetramer phosphofructokinase, which catalyzes the phosphorylation of fructose-6-phosphate to fructose-1,6-bisphosphate. Tetramer composition varies depending on tissue type. This gene encodes the muscle-type isozyme. Mutations in this gene have been associated with glycogen storage disease type VII, also known as Tarui disease. Alternatively spliced transcript variants have been described.[provided by RefSeq, Nov 2009] |
| 应用 | 推荐稀释比例 |
| {WB} | {1:500-2000} |
| {IHC-P} | {1:100-500} |
| {IHC-F} | {1:100-500} |
| {IF} | {1:100-500} |


Sample:
Lane 1: Human A431 cell lysates
Lane 2: Human HeLa cell lysates
Lane 3: Human Raji cell lysates
Lane 4: Human SH-SY5Y cell lysates
Lane 5: Human LOVO cell lysates
Lane 6: Human MCF-7 cell lysates
Primary: Anti-phospho-PFKM/PFK1 (Ser775) (bs-16457R) at 1/1000 dilution
Secondary: IRDye800CW Goat Anti-Rabbit IgG at 1/20000 dilution
Predicted band size: 86 kDa
Observed band size: 77 kDa
Lane 1: Human A431 cell lysates
Lane 2: Human HeLa cell lysates
Lane 3: Human Raji cell lysates
Lane 4: Human SH-SY5Y cell lysates
Lane 5: Human LOVO cell lysates
Lane 6: Human MCF-7 cell lysates
Primary: Anti-phospho-PFKM/PFK1 (Ser775) (bs-16457R) at 1/1000 dilution
Secondary: IRDye800CW Goat Anti-Rabbit IgG at 1/20000 dilution
Predicted band size: 86 kDa
Observed band size: 77 kDa
风险提示:丁香通仅作为第三方平台,为商家信息发布提供平台空间。用户咨询产品时请注意保护个人信息及财产安全,合理判断,谨慎选购商品,商家和用户对交易行为负责。对于医疗器械类产品,请先查证核实企业经营资质和医疗器械产品注册证情况。
- 作者
- 内容
- 询问日期
技术资料暂无技术资料 索取技术资料
phospho-PFKM/PFK1 (Ser775) Rabbit pAb(bs-16457R)-50ul/100ul/200ul
¥1180 - 2800






