相关产品推荐更多 >

DIF14/LMBR1 Rabbit pAb, HRP conjugated(bs-9563R-HRP)-100ul
¥2980
Fibronectin/FN1 Rabbit pAb(bs-0666R)-50ul/100ul/200ul
¥1180
MUC1 Rabbit pAb, AP conjugated(bs-1018R-AP)-100ul
¥2980
phospho-Gli1 (S112/ T115/ S116) Rabbit pAb, AP conjugated(bs-23799R-AP)-100ul
¥2980
Anti-human ERBB1 / EGFR / HER1 (Demupitamab Biosimilar)(BIO0567SM)-1mg/5mg/20mg
¥3200
万千商家帮你免费找货
0 人在求购买到急需产品
- 详细信息
- 文献和实验
- 技术资料
- 应用范围:
产品信息以Bioss网站为准
- 规格:
50ul/100ul/200ul
| 规格: | 50ul | 产品价格: | ¥1180.0 |
|---|---|---|---|
| 规格: | 100ul | 产品价格: | ¥1980.0 |
| 规格: | 200ul | 产品价格: | ¥2800.0 |
| 产品编号 | bs-12737R |
| 英文名称 | PLVAP Rabbit pAb |
| 中文名称 | 质膜囊泡相关蛋白抗体 |
| 英文别名 | FELS; Fenestrated endothelial linked structure protein; Fenestrated endothelial-linked structure protein; gp68; Hypothetical protein DKFZp667O074; Meca 32 antigen; MECA32 antigen; Panendothelial cell antigen; Plasmalemma vesicle associated protein; Plasmalemma vesicle protein 1; Plasmalemma vesicle-associated protein; Plvap; PLVAP_HUMAN; PV 1; PV-1; PV1; PV1 protein. |
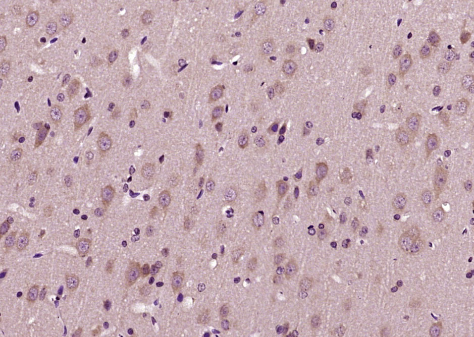
| 产品应用 | WB=1:500-2000, IHC-P=1:100-500, IHC-F=1:100-500, IF=1:100-500 Not yet tested in other applications. |
| 交叉反应 | Mouse, Rat (Human, Dog, Cow, Sheep) |
| 抗体来源 | Rabbit |
| 免疫原 | KLH conjugated synthetic peptide derived from human PLVAP |
| 亚型 | IgG |
| 性状 | Liquid |
| 纯化方法 | affinity purified by Protein A |
| 克隆类型 | Polyclonal |
| 理论分子量 | 50 kDa |
| 浓度 | 1mg/ml |
| 储存液 | 0.01M TBS (pH7.4) with 1% BSA, 0.02% Proclin300 and 50% Glycerol. |
| 研究领域 | Signal Transduction > Cytoskeleton / ECM > Cell Adhesion > Cell Adhesion Molecules > Endothelial |
| 亚细胞定位 | Cell membrane. Membrane > caveola. Cytoplasm > perinuclear region. Membrane-associated protein of caveolae. Found in fenestral and stomatal diaphragms in fenestrated endothelia and transendothelial channels. Also colocalized with CAV1 in perinuclear region. |
| 组织特异性 | Expressed in lung, kidney, heart, aorta, placenta, muscle, pituitary gland, adrenals, mammary gland, bladder, lymph node, bone marrow, trachea, digestive tract, liver and tumor-associated endothelium. |
| 功能 | Involved in the formation of stomatal and fenestral diaphragms of caveolae. May function in microvascular permeability. |
| 保存条件 | Shipped at 4℃. Store at -20℃ for one year. Avoid repeated freeze/thaw cycles. |
| 注意事项 | This product as supplied is intended for research use only, not for use in human, therapeutic or diagnostic applications. |
| 背景资料 | PLVAP (Plasmalemma Vesicle Associated Protein) is a Protein Coding gene. Diseases associated with PLVAP include Breast Benign Neoplasm and Thoracic Benign Neoplasm. GO annotations related to this gene include protein homodimerization activity. |
| 应用 | 推荐稀释比例 |
| {WB} | {1:500-2000} |
| {IHC-P} | {1:100-500} |
| {IHC-F} | {1:100-500} |
| {IF} | {1:100-500} |



Lane 1: Mouse Prostate tissue lysates
Lane 2: Mouse Large intestine tissue lysates
Primary: Anti-PLVAP (bs-12737R) at 1/1000 dilution
Secondary: IRDye800CW Goat Anti-Rabbit IgG at 1/20000 dilution
Predicted band size: 50 kDa
Observed band size: 62 kDa
风险提示:丁香通仅作为第三方平台,为商家信息发布提供平台空间。用户咨询产品时请注意保护个人信息及财产安全,合理判断,谨慎选购商品,商家和用户对交易行为负责。对于医疗器械类产品,请先查证核实企业经营资质和医疗器械产品注册证情况。
文献和实验[IF={{ 3.599 }}] {Li Kai. et al. A procedure in mice to obtain intact pituitary-infundibulum-hypothalamus preparations: a method to evaluate the reconstruction of hypothalamohypophyseal system. PITUITARY. 2023 Mar;:1-12} {IF} {Mouse}
[IF={{ 17.521 }}] {Hao Sun. et al. Silencing of NOTCH3 Signaling in Meniscus Smooth Muscle Cells Inhibits Fibrosis and Exacerbates Degeneration in a HEYL-Dependent Manner. Advanced Science. 2023 Apr;:2207020} {IHC} {Human}
= NAL), appears to form upon oxidative cyclization of the nonfluorescent 2:1 lysine-HNE Michael adduct-Schiff base cross-link (Scheme 1). Polyclonal antibody (PAb) to the NAL-HNE fluorophore was raised in rabbit and found to be highly specific
GE Healthcare Benzamidine Sepharose™ 6B is p-aminobenzamidine covalently attached to Sepharose 6B by the epoxy coupling method. p-Aminobenzamidine (PAB), is a synthetic inhibitor of trypsin-like serine protease. Trypsin and trypsin
Nucleic Acid Programmable Protein Arrays: Versatile Tools for Array‐Based Functional Protein Studies
.g., Sigma) 50 mg/ml bis‐sulfosuccinimdylsuberate (BS3 ;Pierce, cat. no. PI 21580) in dimethylsulfoxide (DMSO) 5 mg/ml
技术资料暂无技术资料 索取技术资料






