相关产品推荐更多 >
万千商家帮你免费找货
0 人在求购买到急需产品
- 详细信息
- 文献和实验
- 技术资料
- 应用范围:
产品信息以Bioss网站为准
- 规格:
50ul/100ul/200ul
| 规格: | 50ul | 产品价格: | ¥1180.0 |
|---|---|---|---|
| 规格: | 100ul | 产品价格: | ¥1980.0 |
| 规格: | 200ul | 产品价格: | ¥2800.0 |
| 产品编号 | bs-19547R |
| 英文名称 | PPP2R2C Rabbit pAb |
| 中文名称 | 蛋白磷酸酶2调节亚基2C抗体 |
| 英文别名 | 2ABG_HUMAN; B55 gamma; gamma isoform of regulatory subunit B55 protein phosphatase 2; IMYPNO 1; IMYPNO; IMYPNO1; MGC33570; OTTHUMP00000115505; phosphoprotein phosphatase 2A BR gamma regulatory chain; PP2A subunit B B gamma isoform; PP2A subunit B B55 gamma isoform; PP2A subunit B isoform B55-gamma; PP2A subunit B isoform gamma; PP2A subunit B isoform PR55-gamma; PP2A subunit B isoform R2-gamma; PP2A subunit B PR55 gamma isoform; PP2A subunit B R2 gamma isoform; PPP2R2C; PPP2R2C protein; PR 52; PR 55G; PR52; PR55G; Protein phosphatase 2(formerly 2A) regulatory subunit B gamma isoform; Protein phosphatase 2 regulatory subunit B gamma; Protein phosphatase 2 regulatory subunit B gamma isoform; Protein phosphatase 2A1 B gamma subunit; Serine/threonine protein phosphatase 2A 55 kDa regulatory subunit B gamma isoform; Serine/threonine-protein phosphatase 2A 55 kDa regulatory subunit B gamma isoform. |
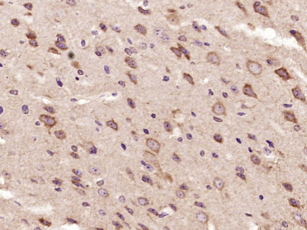
| 产品应用 | WB=1:500-2000, IHC-P=1:100-500, IHC-F=1:100-500, IF=1:100-500 Not yet tested in other applications. |
| 交叉反应 | Mouse, Rat (Human, Dog, Cow, Rabbit, Sheep) |
| 抗体来源 | Rabbit |
| 免疫原 | KLH conjugated synthetic peptide derived from human PPP2R2C |
| 亚型 | IgG |
| 性状 | Liquid |
| 纯化方法 | affinity purified by Protein A |
| 克隆类型 | Polyclonal |
| 理论分子量 | 51 kDa |
| 浓度 | 1mg/ml |
| 储存液 | 0.01M TBS (pH7.4) with 1% BSA, 0.02% Proclin300 and 50% Glycerol. |
| 研究领域 | Signal Transduction > Protein Phosphorylation > Ser / Thr Phosphatases |
| 相似性 | Belongs to the phosphatase 2A regulatory subunit B family. Contains 7 WD repeats. |
| 功能 | The B regulatory subunit might modulate substrate selectivity and catalytic activity, and also might direct the localization of the catalytic enzyme to a particular subcellular compartment. |
| 保存条件 | Shipped at 4℃. Store at -20℃ for one year. Avoid repeated freeze/thaw cycles. |
| 注意事项 | This product as supplied is intended for research use only, not for use in human, therapeutic or diagnostic applications. |
| 背景资料 | The product of this gene belongs to the phosphatase 2 regulatory subunit B family. Protein phosphatase 2 is one of the four major Ser/Thr phosphatases, and it is implicated in the negative control of cell growth and division. It consists of a common heteromeric core enzyme, which is composed of a catalytic subunit and a constant regulatory subunit, that associates with a variety of regulatory subunits. The B regulatory subunit might modulate substrate selectivity and catalytic activity. This gene encodes a gamma isoform of the regulatory subunit B55 subfamily. Alternatively spliced transcript variants encoding different isoforms have been identified. [provided by RefSeq, Jul 2008] |
| 应用 | 推荐稀释比例 |
| {WB} | {1:500-2000} |
| {IHC-P} | {1:100-500} |
| {IHC-F} | {1:100-500} |
| {IF} | {1:100-500} |



Cerebrum (Rat) Lysate at 40 ug
Cerebrum (Mouse) Lysate at 40 ug
Primary: Anti-PPP2R2C (bs-19547R) at 1/300 dilution
Secondary: IRDye800CW Goat Anti-Rabbit IgG at 1/20000 dilution
Predicted band size: 51 kD
Observed band size: 51 kD
风险提示:丁香通仅作为第三方平台,为商家信息发布提供平台空间。用户咨询产品时请注意保护个人信息及财产安全,合理判断,谨慎选购商品,商家和用户对交易行为负责。对于医疗器械类产品,请先查证核实企业经营资质和医疗器械产品注册证情况。
文献和实验= NAL), appears to form upon oxidative cyclization of the nonfluorescent 2:1 lysine-HNE Michael adduct-Schiff base cross-link (Scheme 1). Polyclonal antibody (PAb) to the NAL-HNE fluorophore was raised in rabbit and found to be highly specific
GE Healthcare Benzamidine Sepharose™ 6B is p-aminobenzamidine covalently attached to Sepharose 6B by the epoxy coupling method. p-Aminobenzamidine (PAB), is a synthetic inhibitor of trypsin-like serine protease. Trypsin and trypsin
Nucleic Acid Programmable Protein Arrays: Versatile Tools for Array‐Based Functional Protein Studies
.g., Sigma) 50 mg/ml bis‐sulfosuccinimdylsuberate (BS3 ;Pierce, cat. no. PI 21580) in dimethylsulfoxide (DMSO) 5 mg/ml
技术资料暂无技术资料 索取技术资料










