相关产品推荐更多 >

AKT1 / AKT2 / AKT3 Recombinant Rabbit mAb(bsm-60702R)-50ul/100ul/25ul
¥800
Vimentin Mouse mAb, APC conjugated(bsm-33170M-APC)-100ul
¥2980
CEAcam8 Rabbit pAb, Biotin conjugated(bs-0744R-Bio)-100ul
¥2980
NFAT1 Rabbit pAb, APC-Cy7 conjugated(bs-4246R-APC-Cy7)-100ul
¥2980
HAS1 Rabbit pAb, HRP conjugated(bs-2946R-HRP)-100ul
¥2980
万千商家帮你免费找货
0 人在求购买到急需产品
- 详细信息
- 文献和实验
- 技术资料
- 应用范围:
产品信息以Bioss网站为准
- 规格:
50ul/100ul/200ul
| 规格: | 50ul | 产品价格: | ¥1180.0 |
|---|---|---|---|
| 规格: | 100ul | 产品价格: | ¥1980.0 |
| 规格: | 200ul | 产品价格: | ¥2800.0 |
| 产品编号 | bs-19383R |
| 英文名称 | SAP18 Rabbit pAb |
| 中文名称 | 组蛋白去乙酰化酶复合亚基SAP18抗体 |
| 英文别名 | 18 kDa Sin3-associated polypeptide; 2HOR0202; Cell growth-inhibiting gene 38 protein; Histone deacetylase complex subunit SAP18; SAP18; SAP18_HUMAN; Sin3-associated polypeptide p18. |
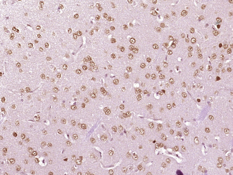
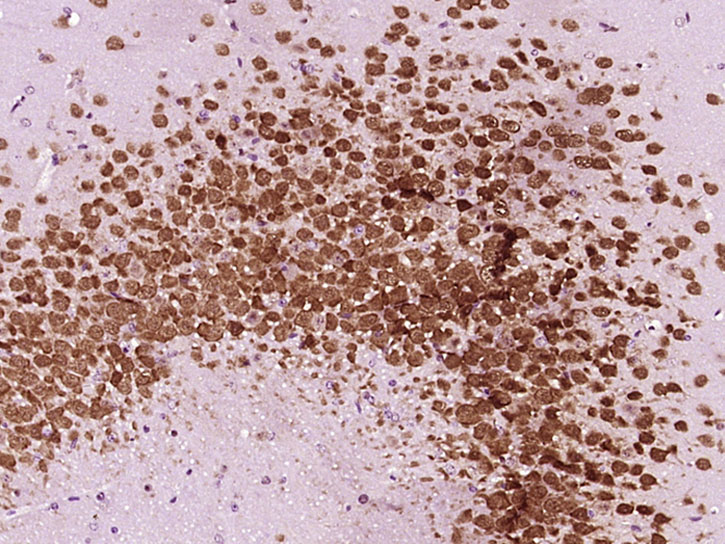
| 产品应用 | IHC-P=1:100-500, IHC-F=1:100-500, IF=1:100-500 Not yet tested in other applications. |
| 交叉反应 | Mouse, Rat (Human, Chicken, Dog, Pig, Horse, Rabbit, Sheep) |
| 抗体来源 | Rabbit |
| 免疫原 | KLH conjugated synthetic peptide derived from human SAP18 |
| 亚型 | IgG |
| 性状 | Liquid |
| 纯化方法 | affinity purified by Protein A |
| 克隆类型 | Polyclonal |
| 理论分子量 | 17 kDa |
| 浓度 | 1mg/ml |
| 储存液 | 0.01M TBS (pH7.4) with 1% BSA, 0.02% Proclin300 and 50% Glycerol. |
| 研究领域 | Epigenetics and Nuclear Signaling > RNAi > Argonaute and Piwi |
| 亚基 | Found in a mRNA splicing-dependent exon junction complex (EJC). Component of the heterotrimeric ASAP (apoptosis- and splicing-associated protein) and PSAP complexes consisting of RNPS1, SAP18 and either ACIN1 or PNN, respectively; the ASAP and PSAP complexes probably are formed mutually exclusive. For the ASAP complex, the association of SAP18 seems to require a preformed RNPS1:ACIN1 complex. Forms a complex with SIN3A and HDAC1. Interacts with SUFU. |
| 亚细胞定位 | Nucleus. Cytoplasm. Shuttles between the nucleus and the cytoplasm. |
| 组织特异性 | Ubiquitous. |
| 相似性 | Belongs to the SAP18 family. |
| 功能 | Component of the SIN3-repressing complex. Enhances the ability of SIN3-HDAC1-mediated transcriptional repression. When tethered to the promoter, it can direct the formation of a repressive complex to core histone proteins. Component of a splicing-dependent multiprotein exon junction complex (EJC) deposited at splice junction on mRNAs. The EJC is a dynamic structure consisting of a few core proteins and several more peripheral nuclear and cytoplasmic associated factors that join the complex only transiently either during EJC assembly or during subsequent mRNA metabolism. |
| 保存条件 | Shipped at 4℃. Store at -20℃ for one year. Avoid repeated freeze/thaw cycles. |
| 注意事项 | This product as supplied is intended for research use only, not for use in human, therapeutic or diagnostic applications. |
| 应用 | 推荐稀释比例 |
| {IHC-P} | {1:100-500} |
| {IHC-F} | {1:100-500} |
| {IF} | {1:100-500} |


风险提示:丁香通仅作为第三方平台,为商家信息发布提供平台空间。用户咨询产品时请注意保护个人信息及财产安全,合理判断,谨慎选购商品,商家和用户对交易行为负责。对于医疗器械类产品,请先查证核实企业经营资质和医疗器械产品注册证情况。
文献和实验= NAL), appears to form upon oxidative cyclization of the nonfluorescent 2:1 lysine-HNE Michael adduct-Schiff base cross-link (Scheme 1). Polyclonal antibody (PAb) to the NAL-HNE fluorophore was raised in rabbit and found to be highly specific
GE Healthcare Benzamidine Sepharose™ 6B is p-aminobenzamidine covalently attached to Sepharose 6B by the epoxy coupling method. p-Aminobenzamidine (PAB), is a synthetic inhibitor of trypsin-like serine protease. Trypsin and trypsin
Nucleic Acid Programmable Protein Arrays: Versatile Tools for Array‐Based Functional Protein Studies
.g., Sigma) 50 mg/ml bis‐sulfosuccinimdylsuberate (BS3 ;Pierce, cat. no. PI 21580) in dimethylsulfoxide (DMSO) 5 mg/ml
技术资料暂无技术资料 索取技术资料






