相关产品推荐更多 >

TRPC1 Rabbit pAb, PE-Cy5.5 conjugated(bs-10404R-PE-Cy5.5)-100ul
¥2980
TIFA Rabbit pAb, PerCP-Cy7 conjugated(bs-13669R-PerCP-Cy7)-100ul
¥2980
Galectin 12 Rabbit pAb, PE-Cy7 conjugated(bs-8413R-PE-Cy7)-100ul
¥2980
VTI1B Rabbit pAb(bs-12785R)-50ul/100ul/200ul
¥1180
GAD65 Rabbit pAb, PE-Cy7 conjugated(bs-0400R-PE-Cy7)-100ul
¥2980
万千商家帮你免费找货
0 人在求购买到急需产品
- 详细信息
- 文献和实验
- 技术资料
- 应用范围:
产品信息以Bioss网站为准
- 规格:
50ul/100ul/200ul
| 规格: | 50ul | 产品价格: | ¥1180.0 |
|---|---|---|---|
| 规格: | 100ul | 产品价格: | ¥1980.0 |
| 规格: | 200ul | 产品价格: | ¥2800.0 |
| 产品编号 | bs-20217R |
| 英文名称 | CRF1 Rabbit pAb |
| 中文名称 | 促肾上腺皮质激素释放因子受体1抗体 |
| 英文别名 | CRFR1_HUMAN; Corticotropin-releasing factor receptor 1; CRF-R-1; CRF-R1; CRFR-1; Corticotropin-releasing hormone receptor 1; CRH-R-1; CRH-R1; CRF1. |
| 产品应用 | IHC-P=1:100-500, IHC-F=1:100-500, IF=1:100-500 Not yet tested in other applications. |
| 交叉反应 | Mouse, Rat (Human, Dog, Pig, Cow, Horse, Rabbit) |
| 抗体来源 | Rabbit |
| 免疫原 | KLH conjugated synthetic peptide derived from human CRF1 |
| 亚型 | IgG |
| 性状 | Liquid |
| 纯化方法 | affinity purified by Protein A |
| 克隆类型 | Polyclonal |
| 理论分子量 | 48 kDa |
| 浓度 | 1mg/ml |
| 储存液 | 0.01M TBS (pH7.4) with 1% BSA, 0.02% Proclin300 and 50% Glycerol. |
| 研究领域 | Metabolism > Types of disease > Cancer Metabolism > Types of disease > Obesity Neuroscience > Endocrine system > Hypothalamic pituitary adrenal axis Neuroscience > Neurology process > Metabolism Signal Transduction > Signaling Pathway > Nuclear Signaling > Nuclear Hormone Receptors > Corticoid |
| 亚基 | Interacts (via N-terminal extracellular domain) with CRF and UCN. |
| 亚细胞定位 | Cell membrane. |
| 组织特异性 | Predominantly expressed in the cerebellum, pituitary, cerebral cortex and olfactory lobe. |
| 翻译后修饰 | C-terminal Ser or Thr residues may be phosphorylated. |
| 相似性 | Belongs to the G-protein coupled receptor 2 family. |
| 功能 | This is a receptor for corticotropin releasing factor. Shows high-affinity CRF binding. The activity of this receptor is mediated by G proteins which activate adenylyl cyclase. |
| 保存条件 | Shipped at 4℃. Store at -20℃ for one year. Avoid repeated freeze/thaw cycles. |
| 注意事项 | This product as supplied is intended for research use only, not for use in human, therapeutic or diagnostic applications. |
| 背景资料 | This gene encodes a G-protein coupled receptor that binds neuropeptides of the corticotropin releasing hormone family that are major regulators of the hypothalamic-pituitary-adrenal pathway. The encoded protein is essential for the activation of signal transduction pathways that regulate diverse physiological processes including stress, reproduction, immune response and obesity. Alternative splicing results in multiple transcript variants one of which is a non-coding read-through transcript with the neiGHBoring gene MGC57346. |
| 应用 | 推荐稀释比例 |
| {IHC-P} | {1:100-500} |
| {IHC-F} | {1:100-500} |
| {IF} | {1:100-500} |


风险提示:丁香通仅作为第三方平台,为商家信息发布提供平台空间。用户咨询产品时请注意保护个人信息及财产安全,合理判断,谨慎选购商品,商家和用户对交易行为负责。对于医疗器械类产品,请先查证核实企业经营资质和医疗器械产品注册证情况。
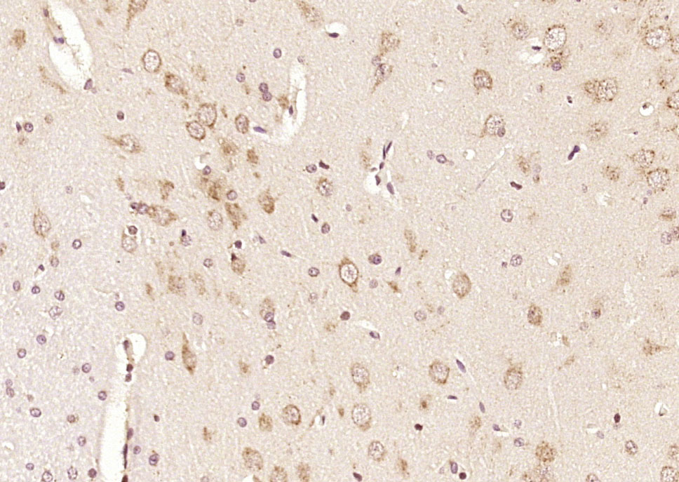
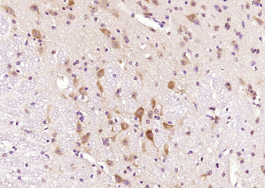
文献和实验[IF={{ 3.96 }}] {Xu Huang. et al. Corticotropin-releasing factor receptor agonists decrease interstitial cells of Cajal in murine colon. NEUROGASTROENT MOTIL. 2022 Nov;:e14499} {IF,WB} {Mouse}
[IF={{ 3.252 }}] {Ting-Wang Xiong. et al. Beneficial effects of Dendrobium nobile Lindl. Alkaloids (DNLA) on anxiety and depression induced by chronic unpredictable stress in rats. Brain Res. 2021 Nov;1771:147647} {IHC} {rat}
= NAL), appears to form upon oxidative cyclization of the nonfluorescent 2:1 lysine-HNE Michael adduct-Schiff base cross-link (Scheme 1). Polyclonal antibody (PAb) to the NAL-HNE fluorophore was raised in rabbit and found to be highly specific
GE Healthcare Benzamidine Sepharose™ 6B is p-aminobenzamidine covalently attached to Sepharose 6B by the epoxy coupling method. p-Aminobenzamidine (PAB), is a synthetic inhibitor of trypsin-like serine protease. Trypsin and trypsin
Nucleic Acid Programmable Protein Arrays: Versatile Tools for Array‐Based Functional Protein Studies
.g., Sigma) 50 mg/ml bis‐sulfosuccinimdylsuberate (BS3 ;Pierce, cat. no. PI 21580) in dimethylsulfoxide (DMSO) 5 mg/ml
技术资料暂无技术资料 索取技术资料





