相关产品推荐更多 >
万千商家帮你免费找货
0 人在求购买到急需产品
- 详细信息
- 文献和实验
- 技术资料
- 应用范围:
产品信息以Bioss网站为准
- 规格:
50ul/100ul/200ul
| 规格: | 50ul | 产品价格: | ¥1180.0 |
|---|---|---|---|
| 规格: | 100ul | 产品价格: | ¥1980.0 |
| 规格: | 200ul | 产品价格: | ¥2800.0 |
| 产品编号 | bs-19333R |
| 英文名称 | TAF15/RBP56 Rabbit pAb |
| 中文名称 | RNA结合蛋白56抗体 |
| 英文别名 | 68 kDa TATA-binding protein-associated factor; AF15 RNA polymerase II, TATA box binding protein(TBP) associated factor, 68 kD; Npl3; RBP56; RBP56_HUMAN; RNA binding protein 56; RNA-binding protein 56; TAF; TAF(II)68; TAF15; TAF15 RNA polymerase II, TATA box binding protein(TBP)-associated factor, 68kDa; TAF15 RNA polymerase II, TATA box binding protein associated factor; TAF2N; TAFII68; TATA binding protein associated factor 2N; TATA-binding protein-associated factor 2N. |
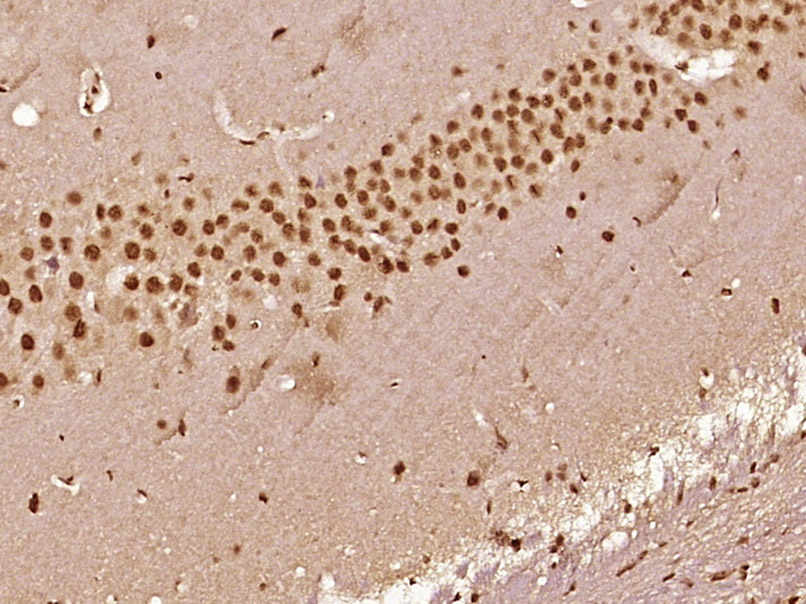
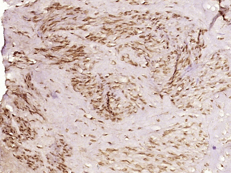
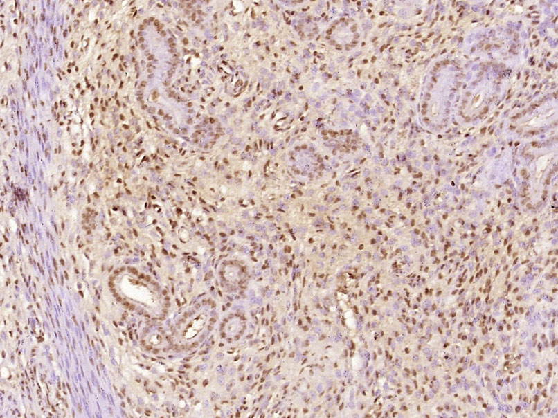
| 产品应用 | IHC-P=1:100-500, IHC-F=1:100-500, IF=1:100-500 Not yet tested in other applications. |
| 交叉反应 | Human, Mouse, Rat (Dog, Pig, Cow, Horse, Rabbit, Sheep) |
| 抗体来源 | Rabbit |
| 免疫原 | KLH conjugated synthetic peptide derived from human TAF15/RBP56 |
| 亚型 | IgG |
| 性状 | Liquid |
| 纯化方法 | affinity purified by Protein A |
| 克隆类型 | Polyclonal |
| 理论分子量 | 62 kDa |
| 浓度 | 1mg/ml |
| 储存液 | 0.01M TBS (pH7.4) with 1% BSA, 0.02% Proclin300 and 50% Glycerol. |
| 研究领域 | Epigenetics and Nuclear Signaling > Transcription > Polymerase associated factors > Pol II Transcription > TAFs Epigenetics and Nuclear Signaling > Transcription > Polymerase associated factors > Pol II Transcription > TFIID |
| 亚细胞定位 | Nucleus. Cytoplasm. Shuttles from the nucleus to the cytoplasm. |
| 组织特异性 | Ubiquitous. Observed in all fetal and adult tissues. |
| 翻译后修饰 | Dimethylated by PRMT1 at Arg-206 to asymmetric dimethylarginine. The methylation may favor nuclear localization and positive regulation of TAF15 transcriptional activity. Phosphorylated upon DNA damage, probably by ATM or ATR. |
| 相似性 | Belongs to the RRM TET family. Contains 1 RanBP2-type zinc finger. Contains 1 RRM (RNA recognition motif) domain. |
| 功能 | RNA and ssDNA-binding protein that may play specific roles during transcription initiation at distinct promoters. Can enter the preinitiation complex together with the RNA polymerase II (Pol II). |
| 保存条件 | Shipped at 4℃. Store at -20℃ for one year. Avoid repeated freeze/thaw cycles. |
| 注意事项 | This product as supplied is intended for research use only, not for use in human, therapeutic or diagnostic applications. |
| 背景资料 | This gene encodes a member of the TET family of RNA-binding proteins. The encoded protein plays a role in RNA polymerase II gene transcription as a component of a distinct subset of multi-subunit transcription initiation factor TFIID complexes. Translocations involving this gene play a role in acute leukemia and extraskeletal myxoid chondrosarcoma, and mutations in this gene may play a role in amyotrophic lateral sclerosis. Alternatively spliced transcript variants encoding multiple isoforms have been observed for this gene. [provided by RefSeq, May 2012] |
| 应用 | 推荐稀释比例 |
| {IHC-P} | {1:100-500} |
| {IHC-F} | {1:100-500} |
| {IF} | {1:100-500} |




风险提示:丁香通仅作为第三方平台,为商家信息发布提供平台空间。用户咨询产品时请注意保护个人信息及财产安全,合理判断,谨慎选购商品,商家和用户对交易行为负责。对于医疗器械类产品,请先查证核实企业经营资质和医疗器械产品注册证情况。
文献和实验= NAL), appears to form upon oxidative cyclization of the nonfluorescent 2:1 lysine-HNE Michael adduct-Schiff base cross-link (Scheme 1). Polyclonal antibody (PAb) to the NAL-HNE fluorophore was raised in rabbit and found to be highly specific
x0AGzEjOPvtsGzqkg9xds1yXb+dkaWpOvFLHByyExAI82Y9/IwKvF4FIkl8vgjF9RCAiEBGICEQEBhBA4wmZw69vRjbAfSKfrVpIpI6WVots1KU1zogk92vZ6aK0zuKWWmCk6l4rWEu6oMlpTPhLyV642dTUN7fDENGVSQbXyCcrcluWFrog7a2iWLdMLfBU4UtY4+5CgUVGunp6rbWYlZmEvG2oDHwP15WuWNTKewQR56pMLnLyl
GE Healthcare Benzamidine Sepharose™ 6B is p-aminobenzamidine covalently attached to Sepharose 6B by the epoxy coupling method. p-Aminobenzamidine (PAB), is a synthetic inhibitor of trypsin-like serine protease. Trypsin and trypsin
技术资料暂无技术资料 索取技术资料










