相关产品推荐更多 >

B3GAT1 Rabbit pAb(bs-1635R)-50ul/100ul/200ul
¥1180
FS/Follistatin Rabbit pAb, AP conjugated(bs-21618R-AP)-100ul
¥2980
CD69 Rabbit pAb, APC-Cy7 conjugated(bs-2499R-APC-Cy7)-100ul
¥2980
C14ORF140 Rabbit pAb(bs-9614R)-50ul/100ul/200ul
¥1180
Repulsive Guidance Molecule B Rabbit pAb(bs-11474R)-50ul/100ul/200ul
¥1180
万千商家帮你免费找货
0 人在求购买到急需产品
- 详细信息
- 文献和实验
- 技术资料
- 应用范围:
产品信息以Bioss网站为准
- 规格:
50ul/100ul/200ul
| 规格: | 50ul | 产品价格: | ¥1180.0 |
|---|---|---|---|
| 规格: | 100ul | 产品价格: | ¥1980.0 |
| 规格: | 200ul | 产品价格: | ¥2800.0 |
| 产品编号 | bs-4243R |
| 英文名称 | ITPR2 Rabbit pAb |
| 中文名称 | 5-三磷酸肌醇受体2抗体 |
| 英文别名 | 4; 5-trisphosphate receptor; Inositol 1 4 5 trisphosphate receptor type 2; Inositol 1, 4, 5-trisphosphate receptor type 2; Inositol 145 trisphosphate receptor type 2; InsP3 R2; InsP3R2; IP3 R2; IP3 receptor isoform 2; IP3R 2; IP3R2; ITPR 2; Itpr2; ITPR2_HUMAN; Type 2 inositol 1 4 5 trisphosphate receptor; Type 2 inositol 1; Type 2 inositol 145 trisphosphate receptor; Type 2 InsP3 receptor. |
| 产品应用 | IHC-P=1:100-500, IHC-F=1:100-500, IF=1:100-500 Not yet tested in other applications. |
| 交叉反应 | Mouse (Human, Rat, Cow) |
| 抗体来源 | Rabbit |
| 免疫原 | KLH conjugated synthetic peptide derived from human ITPR2 |
| 亚型 | IgG |
| 性状 | Liquid |
| 纯化方法 | affinity purified by Protein A |
| 克隆类型 | Polyclonal |
| 理论分子量 | 308 kDa |
| 浓度 | 1mg/ml |
| 储存液 | 0.01M TBS (pH7.4) with 1% BSA, 0.02% Proclin300 and 50% Glycerol. |
| 研究领域 | Cancer > Cancer Metabolism > Response to hypoxia Metabolism > Pathways and Processes > Metabolism processes > Hypoxia Metabolism > Types of disease > Cancer Signal Transduction > Signaling Pathway > Calcium Signaling |
| 亚基 | Homotetramer. Interacts with CABP1. |
| 亚细胞定位 | Endoplasmic reticulum membrane; Multi-pass membrane protein. |
| 组织特异性 | Isoform Short is found in skeletal muscle and heart. |
| 翻译后修饰 | Phosphorylation by cAMP-dependent PKA on Ser-937 increases calcium release. |
| 相似性 | Belongs to the InsP3 receptor family.
Contains 5 MIR domains. |
| 功能 | Receptor for inositol 1,4,5-trisphosphate, a second messenger that mediates the release of intracellular calcium. This release is regulated by cAMP both dependently and independently of PKA (By similarity). |
| 保存条件 | Shipped at 4℃. Store at -20℃ for one year. Avoid repeated freeze/thaw cycles. |
| 注意事项 | This product as supplied is intended for research use only, not for use in human, therapeutic or diagnostic applications. |
| 背景资料 | Receptor for inositol 1,4,5-trisphosphate, a second messenger that mediates the release of intracellular calcium. |
| 应用 | 推荐稀释比例 |
| {IHC-P} | {1:100-500} |
| {IHC-F} | {1:100-500} |
| {IF} | {1:100-500} |

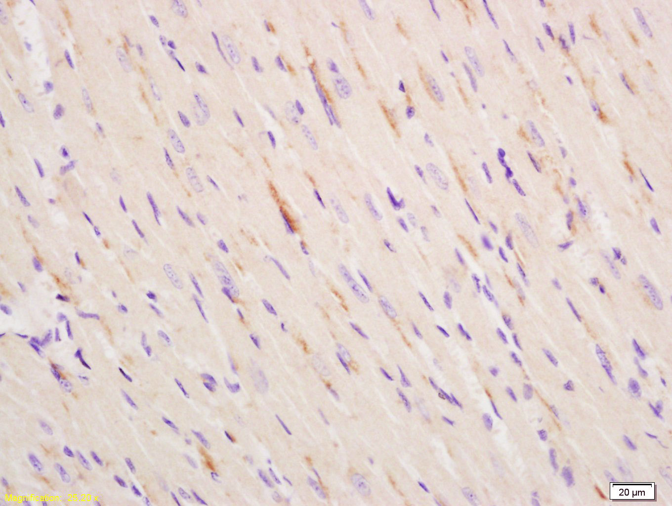
Antigen retrieval: citrate buffer ( 0.01M, pH 6.0 ), Boiling bathing for 15min; Block endogenous peroxidase by 3% Hydrogen peroxide for 30min; Blocking buffer (normal goat serum,C-0005) at 37℃ for 20 min;
Incubation: Anti-ITPR2 Polyclonal Antibody, Unconjugated(bs-4243R) 1:200, overnight at 4°C, followed by conjugation to the secondary antibody(SP-0023) and DAB(C-0010) staining
风险提示:丁香通仅作为第三方平台,为商家信息发布提供平台空间。用户咨询产品时请注意保护个人信息及财产安全,合理判断,谨慎选购商品,商家和用户对交易行为负责。对于医疗器械类产品,请先查证核实企业经营资质和医疗器械产品注册证情况。
文献和实验[IF={{ 7.129 }}] {Yixin Zhang. et al. Proteomic analysis of ITPR2 as a new therapeutic target for curcumin protection against AFB1-induced pyroptosis. ECOTOX ENVIRON SAFE. 2023 Jul;260:115073} {IHC} {Mouse}
= NAL), appears to form upon oxidative cyclization of the nonfluorescent 2:1 lysine-HNE Michael adduct-Schiff base cross-link (Scheme 1). Polyclonal antibody (PAb) to the NAL-HNE fluorophore was raised in rabbit and found to be highly specific
GE Healthcare Benzamidine Sepharose™ 6B is p-aminobenzamidine covalently attached to Sepharose 6B by the epoxy coupling method. p-Aminobenzamidine (PAB), is a synthetic inhibitor of trypsin-like serine protease. Trypsin and trypsin
Nucleic Acid Programmable Protein Arrays: Versatile Tools for Array‐Based Functional Protein Studies
.g., Sigma) 50 mg/ml bis‐sulfosuccinimdylsuberate (BS3 ;Pierce, cat. no. PI 21580) in dimethylsulfoxide (DMSO) 5 mg/ml
技术资料暂无技术资料 索取技术资料






