相关产品推荐更多 >
万千商家帮你免费找货
0 人在求购买到急需产品
- 详细信息
- 技术资料
- 应用范围:
产品信息以Bioss网站为准
- 规格:
50ul/100ul/200ul
| 规格: | 50ul | 产品价格: | ¥1180.0 |
|---|---|---|---|
| 规格: | 100ul | 产品价格: | ¥1980.0 |
| 规格: | 200ul | 产品价格: | ¥2800.0 |
| 产品编号 | bs-18748R |
| 英文名称 | phospho-MDMX (Ser367) Rabbit pAb |
| 中文名称 | 磷酸化MDM2样P53结合蛋白抗体 |
| 英文别名 | MDMX(phospho S367); p-MDMX(phospho S367); DKFZp781B1423; Double minute 4; Double minute 4 human homolog of p53 binding protein; Double minute 4 protein; HDMX; MDM 4; Mdm2 like p53 binding protein; Mdm2-like p53-binding protein; MDM4; Mdm4 p53 binding protein homolog mouse; Mdm4 protein; MDM4 related protein 1; Mdm4 transformed 3T3 cell double minute 4; Mdm4 transformed 3T3 cell double minute 4 p53 binding protein; Mdm4 transformed 3T3 cell double minute 4 p53 binding protein mouse; MDM4_HUMAN; Mdmx protein; MGC132766; Mouse double minute 4 homolog; Mouse double minute 4 human homolog of p53 binding protein; MRP 1; MRP1; p53 binding protein; p53 BINDING PROTEIN MDM4; p53-binding protein Mdm4; Protein Mdm4; Protein Mdmx. |
| 产品应用 | WB=1:500-2000, IHC-P=1:100-500, IHC-F=1:100-500, IF=1:100-500 Not yet tested in other applications. |
| 交叉反应 | Mouse (Human, Rat, Dog, Pig, Horse, Rabbit) |
| 抗体来源 | Rabbit |
| 免疫原 | KLH conjugated synthesised phosphopeptide derived from human MDMX Receptor around the phosphorylation site of Ser367 |
| 亚型 | IgG |
| 性状 | Liquid |
| 纯化方法 | affinity purified by Protein A |
| 克隆类型 | Polyclonal |
| 理论分子量 | 55 kDa |
| 浓度 | 1mg/ml |
| 储存液 | 0.01M TBS (pH7.4) with 1% BSA, 0.02% Proclin300 and 50% Glycerol. |
| 研究领域 | Cancer > Cell Death > Apoptosis > Metabolism Cancer > Cell Death > Apoptosis > Nucleus Cell Biology > Apoptosis > Nucleus Epigenetics and Nuclear Signaling > Cell cycle > Apoptosis > Nuclear Metabolism > Pathways and Processes > Metabolism processes > Apoptosis |
| 亚基 | Interacts with MDM2, TP53, TP73 and USP2. Found in a trimeric complex with UPB2, MDM2 and MDM4. Interacts (phosphorylated) with YWHAG; negatively regulates MDM4 activity toward TP53. |
| 亚细胞定位 | Nucleus. |
| 组织特异性 | Expressed in all tissues tested with high levels in thymus. |
| 翻译后修饰 | Ubiquitinated. Deubiquitinated by USP2; leading to stabilize it. |
| 相似性 | Belongs to the MDM2/MDM4 family. Contains 1 RanBP2-type zinc finger. Contains 1 RING-type zinc finger. Contains 1 SWIB domain. |
| 功能 | Inhibits p53/TP53- and TP73/p73-mediated cell cycle arrest and apoptosis by binding its transcriptional activation domain. Inhibits degradation of MDM2. Can reverse MDM2-targeted degradation of TP53 while maintaining suppression of TP53 transactivation and apoptotic functions. |
| 保存条件 | Shipped at 4℃. Store at -20℃ for one year. Avoid repeated freeze/thaw cycles. |
| 注意事项 | This product as supplied is intended for research use only, not for use in human, therapeutic or diagnostic applications. |
| 背景资料 | This gene encodes a nuclear protein that contains a p53 binding domain at the N-terminus and a RING finger domain at the C-terminus, and shows structural similarity to p53-binding protein MDM2. Both proteins bind the p53 tumor suppressor protein and inhibit its activity, and have been shown to be overexpressed in a variety of human cancers. However, unlike MDM2 which degrades p53, this protein inhibits p53 by binding its transcriptional activation domain. This protein also interacts with MDM2 protein via the RING finger domain, and inhibits the latter's degradation. So this protein can reverse MDM2-targeted degradation of p53, while maintaining suppression of p53 transactivation and apoptotic functions. Alternatively spliced transcript variants encoding different isoforms have been noted for this gene. [provided by RefSeq, Feb 2011] |
| 应用 | 推荐稀释比例 |
| {WB} | {1:500-2000} |
| {IHC-P} | {1:100-500} |
| {IHC-F} | {1:100-500} |
| {IF} | {1:100-500} |

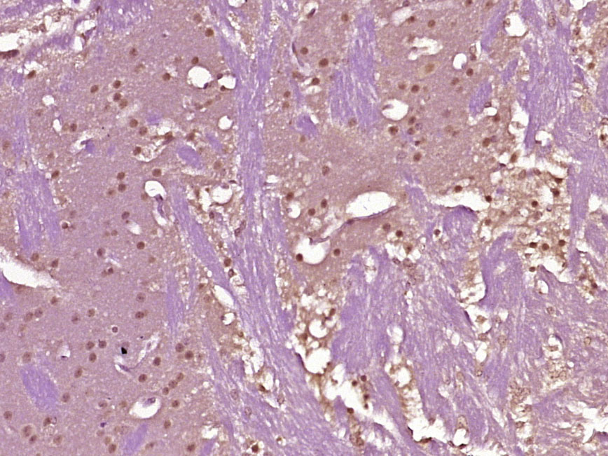
Paraformaldehyde-fixed, paraffin embedded (mouse brain tissue); Antigen retrieval by boiling in sodium citrate buffer (pH6.0) for 15min; Block endogenous peroxidase by 3% hydrogen peroxide for 20 minutes; Blocking buffer (normal goat serum) at 37°C for 30min; Antibody incubation with (MDMX (Ser367)) Polyclonal Antibody, Unconjugated (bs-18748R) at 1:400 overnight at 4°C, followed by operating according to SP Kit(Rabbit) (sp-0023) instructionsand DAB staining.

Sample:
Cerebral cortex (Mouse) Lysate at 40 ug
Primary: Anti-phospho-MDMX (Ser367) (bs-18748R) at 1/1000 dilution
Secondary: IRDye800CW Goat Anti-Rabbit IgG at 1/20000 dilution
Predicted band size: 55 kD
Observed band size: 55 kD
Cerebral cortex (Mouse) Lysate at 40 ug
Primary: Anti-phospho-MDMX (Ser367) (bs-18748R) at 1/1000 dilution
Secondary: IRDye800CW Goat Anti-Rabbit IgG at 1/20000 dilution
Predicted band size: 55 kD
Observed band size: 55 kD
风险提示:丁香通仅作为第三方平台,为商家信息发布提供平台空间。用户咨询产品时请注意保护个人信息及财产安全,合理判断,谨慎选购商品,商家和用户对交易行为负责。对于医疗器械类产品,请先查证核实企业经营资质和医疗器械产品注册证情况。
技术资料暂无技术资料 索取技术资料
phospho-MDMX (Ser367) Rabbit pAb(bs-18748R)-50ul/100ul/200ul
¥1180 - 2800









