相关产品推荐更多 >
万千商家帮你免费找货
0 人在求购买到急需产品
- 详细信息
- 文献和实验
- 技术资料
- 应用范围:
产品信息以Bioss网站为准
- 规格:
50ul/100ul/200ul
| 规格: | 50ul | 产品价格: | ¥1180.0 |
|---|---|---|---|
| 规格: | 100ul | 产品价格: | ¥1980.0 |
| 规格: | 200ul | 产品价格: | ¥2800.0 |
| 产品编号 | bs-18634R |
| 英文名称 | phospho-MAK (Tyr159) Rabbit pAb |
| 中文名称 | 磷酸化丝氨酸/苏氨酸蛋白激酶MAK抗体 |
| 英文别名 | MAK(phospho Tyr159); MAK(phospho Y159); dJ417M14.2; Mak; MAK_HUMAN; Male germ cell associated kinase; Male germ cell-associated kinase; OTTHUMP00000016025; Rck; Serine/threonine protein kinase MAK; Serine/threonine-protein kinase MAK. |
| 产品应用 | WB=1:500-2000, IHC-P=1:100-500, IHC-F=1:100-500, IF=1:100-500 Not yet tested in other applications. |
| 交叉反应 | Human, Mouse, Rat |
| 抗体来源 | Rabbit |
| 免疫原 | KLH conjugated synthesised phosphopeptide derived from human MAK around the phosphorylation site of Tyr159 |
| 亚型 | IgG |
| 性状 | Liquid |
| 纯化方法 | affinity purified by Protein A |
| 克隆类型 | Polyclonal |
| 理论分子量 | 71 kDa |
| 浓度 | 1mg/ml |
| 储存液 | 0.01M TBS (pH7.4) with 1% BSA, 0.02% Proclin300 and 50% Glycerol. |
| 研究领域 | Signal Transduction > Protein Phosphorylation > Ser / Thr Kinases > Other Kinases |
| 亚细胞定位 | Nucleus. Cytoplasm > cytoskeleton > centrosome. Cytoplasm > cytoskeleton > spindle. Midbody. Cell projection > cilium > photoreceptor outer segment. Photoreceptor inner segment. Localized in both the connecting cilia and the outer segment axonemes (By similarity). Localized uniformly in nuclei during interphase, to the mitotic spindle and centrosomes during metaphase and anaphase, and also to midbody at anaphase until telophase. |
| 组织特异性 | Expressed in prostate cancer cell lines at generally higher levels than in normal prostate epithelial cell lines. Isoform 1 is expressed in kidney, testis, lung, trachea, and retina. Isoform 2 is retina-specific where it is expressed in rod and cone photoreceptors. |
| 翻译后修饰 | modificationsAutophosphorylated. Phosphorylated on serine and threonine residues. |
| 相似性 | Belongs to the protein kinase superfamily. CMGC Ser/Thr protein kinase family. CDC2/CDKX subfamily. Contains 1 protein kinase domain. |
| 功能 | Essential for the regulation of ciliary length and required for the long-term survival of photoreceptors (By similarity). Phosphorylates FZR1 in a cell cycle-dependent manner. Plays a role in the transcriptional coactivation of AR. Could play an important function in spermatogenesis. May play a role in chromosomal stability in prostate cancer cells. |
| 保存条件 | Shipped at 4℃. Store at -20℃ for one year. Avoid repeated freeze/thaw cycles. |
| 注意事项 | This product as supplied is intended for research use only, not for use in human, therapeutic or diagnostic applications. |
| 背景资料 | The product of this gene is a serine/threonine protein kinase related to kinases involved in cell cycle regulation. It is expressed almost exclusively in the testis, primarily in germ cells. Studies of the mouse and rat homologs have localized the kinase to the chromosomes during meiosis in spermatogenesis, specifically to the synaptonemal complex that exists while homologous chromosomes are paired. There is, however, a study of the mouse homolog that has identified high levels of expression in developing sensory epithelia so its function may be more generalized. Three transcript variants encoding different isoforms have been found for this gene. [provided by RefSeq, Jul 2011] |
| 应用 | 推荐稀释比例 |
| {WB} | {1:500-2000} |
| {IHC-P} | {1:100-500} |
| {IHC-F} | {1:100-500} |
| {IF} | {1:100-500} |

Hela(Human) Cell Lysate at 30 ug
Raw264.7(Mouse) Cell Lysate at 30 ug
Primary: Anti- phospho-MAK (Tyr159) (bs-18634R) at 1/1000 dilution
Secondary: IRDye800CW Goat Anti-Rabbit IgG at 1/20000 dilution
Predicted band size: 71 kD
Observed band size: 71/66 kD

Raw264.7(Mouse) Cell Lysate at 30 ug
Primary: Anti- phospho-MAK (Tyr159) (bs-18634R) at 1/1000 dilution
Secondary: IRDye800CW Goat Anti-Rabbit IgG at 1/20000 dilution
Predicted band size: 71 kD
Observed band size: 73 kD

Primary: rabbit Anti-phospho-MAK (Tyr159) (bs-18634R) at 1:300;
Secondary: HRP conjugated Goat-Anti-rabbit IgG(bs-0295G-HRP) at 1: 5000;
Predicted band size: 71 kD
Observed band size: 71 kD

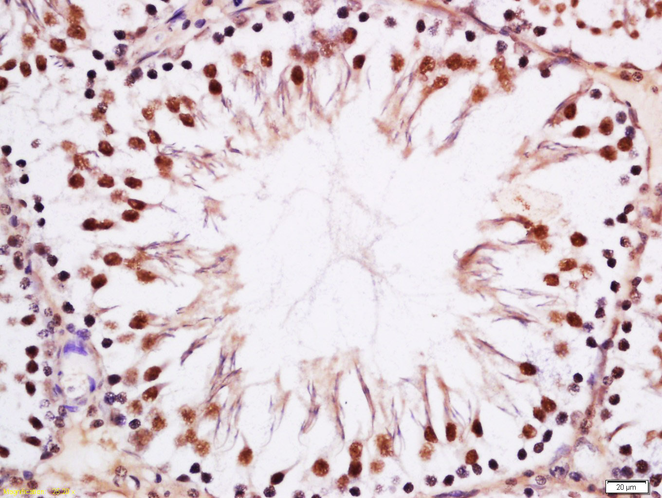
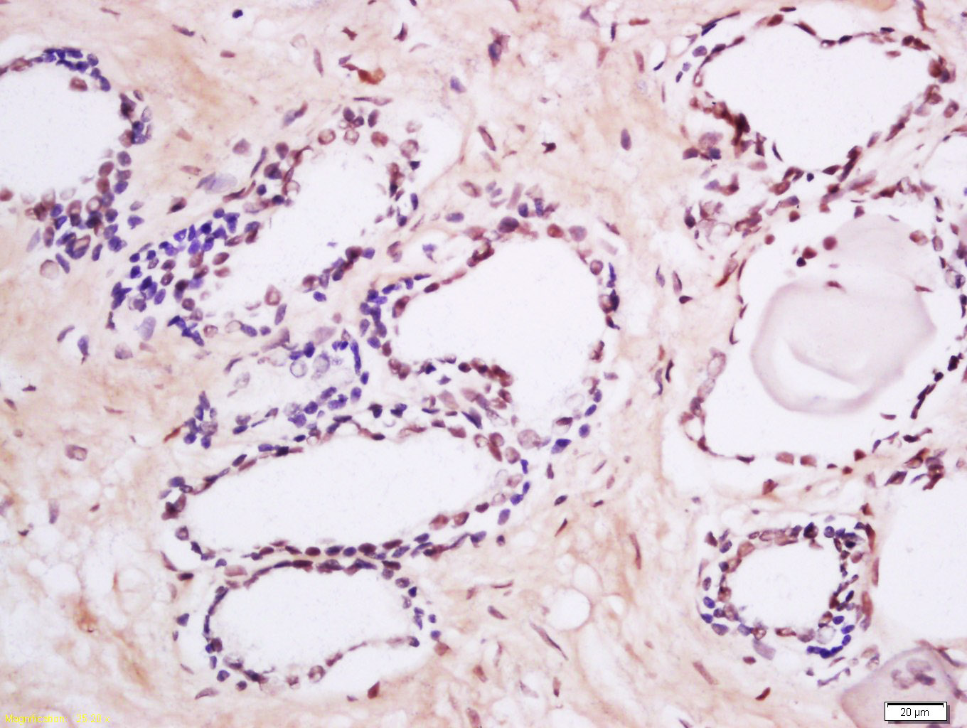
Antigen retrieval: citrate buffer ( 0.01M, pH 6.0 ), Boiling bathing for 15min; Block endogenous peroxidase by 3% Hydrogen peroxide for 30min; Blocking buffer (normal goat serum,C-0005) at 37℃ for 20 min;
Incubation: Anti-phospho-MAK (Tyr159) Polyclonal Antibody, Unconjugated(bs-18634R) 1:200, overnight at 4°C, followed by conjugation to the secondary antibody(SP-0023) and DAB(C-0010) staining

Antigen retrieval: citrate buffer ( 0.01M, pH 6.0 ), Boiling bathing for 15min; Block endogenous peroxidase by 3% Hydrogen peroxide for 30min; Blocking buffer (normal goat serum,C-0005) at 37℃ for 20 min;
Incubation: Anti-phospho-MAK (Tyr159) Polyclonal Antibody, Unconjugated(bs-18634R) 1:200, overnight at 4°C, followed by conjugation to the secondary antibody(SP-0023) and DAB(C-0010) staining
风险提示:丁香通仅作为第三方平台,为商家信息发布提供平台空间。用户咨询产品时请注意保护个人信息及财产安全,合理判断,谨慎选购商品,商家和用户对交易行为负责。对于医疗器械类产品,请先查证核实企业经营资质和医疗器械产品注册证情况。
文献和实验。所以,我们建议使用微波炉或高压锅加热煮沸以达到最佳抗原修复效果。抗体:Phospho–Stat3 (Tyr705)(D3A7) XP. Rabbit mAb #9145样本:石蜡包埋人类肺部肿瘤样本煮沸设备:浴锅 (左),微波炉 (中),高压锅 (右)免疫染色—封闭在 IHC–P 中,我们建议在室温下在含有 Tween20 的 TBST 缓冲液和 5% 正常山羊血清 (NGS) 中封闭样品,时长 1 小时,以防止非特异性背景染色。在进行 IHC–F 时,在含有 0.3% Triton. X–100 的 1X
used in accordance withmanufacturer recommendationsSignalStain?DAB Substrate Kit #8059:IHC analysis of paraffin-embedded human breastcarcinoma using Phospho-Stat3 (Tyr705) (D3A7) XP? Rabbit mAb #9145. Chromogenicdetection was performed using #8059 (left
v468. chapter 4 WNT 细胞通路 检测细胞GSK3活性与表达水平
. Immunoblot using antibodies to phospho-Tyr279/216 can assess alterations in activity independent ofthe N-terminal phosphorylation, although phosphorylation atthis site is most likely to be constitutive (14) . 3. Immunoblot using antibodies to known
技术资料暂无技术资料 索取技术资料







