相关产品推荐更多 >

TTR/Prealbumin Mouse mAb, Biotin conjugated(bsm-33358M-Bio)-100ul
¥2980
T4/L-Thyroxine Goat pAb(bs-0706G)-50ul/100ul/200ul
¥1180
Ferritin Heavy Chain Recombinant Rabbit mAb(bsm-54108R)-100ul/50ul/25ul
¥800
phospho-P53 (Ser6) Rabbit pAb(bs-3708R)-50ul/100ul/200ul
¥1180
SOX9 Rabbit pAb, PerCP conjugated(bs-10725R-PerCP)-100ul
¥2980
万千商家帮你免费找货
0 人在求购买到急需产品
- 详细信息
- 文献和实验
- 技术资料
- 应用范围:
产品信息以Bioss网站为准
- 规格:
50ul/100ul/200ul
| 规格: | 50ul | 产品价格: | ¥1180.0 |
|---|---|---|---|
| 规格: | 100ul | 产品价格: | ¥1980.0 |
| 规格: | 200ul | 产品价格: | ¥2800.0 |
| 产品编号 | bs-18146R |
| 英文名称 | IL23 P19 Rabbit pAb |
| 中文名称 | 白细胞介素23P19抗体 |
| 英文别名 | Interleukin-23 subunit alpha; Il23a; IL 23; IL 23A; IL23P19; Interleukin 23 alpha subunit p19; JKA3 induced upon T cell activation; P19; SGRF; IL-23 subunit alpha; IL-23-A; IL-23p19; IL23; Interleukin 23 p19 subunit; Interleukin-23 subunit p19; JKA3 induced upon T cell activation; MGC79388; IL23A_HUMAN. |
| 产品应用 | IHC-P=1:100-500, IHC-F=1:100-500, IF=1:100-500 Not yet tested in other applications. |
| 交叉反应 | Mouse, Rat (Human, Dog, Pig, Cow, Horse, Sheep) |
| 抗体来源 | Rabbit |
| 免疫原 | KLH conjugated synthetic peptide derived from human IL23 P19 |
| 亚型 | IgG |
| 性状 | Liquid |
| 纯化方法 | affinity purified by Protein A |
| 克隆类型 | Polyclonal |
| 理论分子量 | 19 kDa |
| 浓度 | 1mg/ml |
| 储存液 | 0.01M TBS (pH7.4) with 1% BSA, 0.02% Proclin300 and 50% Glycerol. |
| 研究领域 | Cancer > Tumor immunology > Cytokines > Interleukins Immunology > Innate Immunity > Cytokines > Interleukins |
| 亚细胞定位 | Secreted. Secreted upon association with IL12B. |
| 组织特异性 | Secreted by activated dendritic and phagocytic cells and keratinocytes. Also expressed by dermal Langerhans cells (at protein level). |
| 相似性 | Belongs to the IL-6 superfamily. |
| 功能 | Associates with IL12B to form the IL-23 interleukin, an heterodimeric cytokine which functions in innate and adaptive immunity. IL-23 may constitute with IL-17 an acute response to infection in peripheral tissues. IL-23 binds to an heterodimeric receptor complex composed of IL12RB1 and IL23R, activates the Jak-Stat signaling cascade, stimulates memory rather than naive T-cells and promotes production of proinflammatory cytokines. IL-23 induces autoimmune inflammation and thus may be responsible for autoimmune inflammatory diseases and may be important for tumorigenesis. |
| 保存条件 | Shipped at 4℃. Store at -20℃ for one year. Avoid repeated freeze/thaw cycles. |
| 注意事项 | This product as supplied is intended for research use only, not for use in human, therapeutic or diagnostic applications. |
| 背景资料 | IL-23 is a heterodimeric cytokine composed of two subunits: a unique p19 subunit, and a p40 subunit that is shared with IL-12. IL-23 is secreted by activated dendritic cells and macrophages. IL-23 binds to a heterodimeric receptor complex composed of IL12RB1 and IL23R, activates the Jak-Stat signaling cascade, stimulates memory rather than naive T cells and promotes production of proinflammatory cytokines, such as IFNγ and IL-17. IL-23 induces autoimmune inflammation and thus may be responsible for autoimmune inflammatory diseases and may be important for tumorigenesis. This recombinant human IL-23 is produced by human cells.(Tag free) Biological activity: The activity was measured by its ability to induce the IL-17 expression in murine splenocytes. Reconstitution: Briefly centrifuge the vial before opening. It is recommended to reconstitute the protein in sterile PBS containing 0.1% endotoxin-free recombinant human serum albumin. |
| 应用 | 推荐稀释比例 |
| {IHC-P} | {1:100-500} |
| {IHC-F} | {1:100-500} |
| {IF} | {1:100-500} |

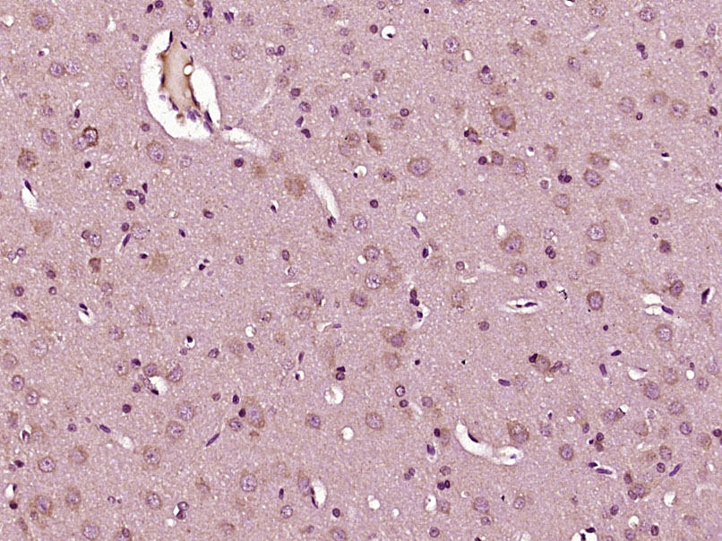
Paraformaldehyde-fixed, paraffin embedded (Rat brain); Antigen retrieval by boiling in sodium citrate buffer (pH6.0) for 15min; Block endogenous peroxidase by 3% hydrogen peroxide for 20 minutes; Blocking buffer (normal goat serum) at 37°C for 30min; Antibody incubation with (IL23 P19) Polyclonal Antibody, Unconjugated (bs-18146R) at 1:400 overnight at 4°C, followed by operating according to SP Kit(Rabbit) (sp-0023) instructionsand DAB staining.

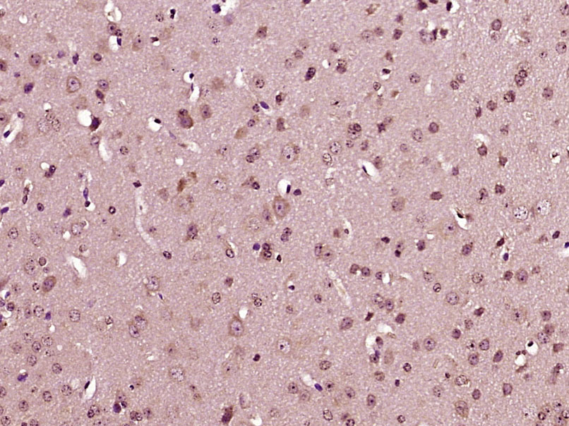
Paraformaldehyde-fixed, paraffin embedded (Mouse brain); Antigen retrieval by boiling in sodium citrate buffer (pH6.0) for 15min; Block endogenous peroxidase by 3% hydrogen peroxide for 20 minutes; Blocking buffer (normal goat serum) at 37°C for 30min; Antibody incubation with (IL23 P19) Polyclonal Antibody, Unconjugated (bs-18146R) at 1:400 overnight at 4°C, followed by operating according to SP Kit(Rabbit) (sp-0023) instructionsand DAB staining.
风险提示:丁香通仅作为第三方平台,为商家信息发布提供平台空间。用户咨询产品时请注意保护个人信息及财产安全,合理判断,谨慎选购商品,商家和用户对交易行为负责。对于医疗器械类产品,请先查证核实企业经营资质和医疗器械产品注册证情况。
文献和实验该产品被引用文献
[IF={{ 6.716 }}] {Mengzhi Li. et al. CENPF as an independent prognostic and metastasis biomarker corresponding to CD4+ memory T cells in cutaneous melanoma. Cancer Sci. 2022 Apr;113(4):1220-1234} {IHC} {Human}
[IF={{ 1.559 }}] {Yan et al. Tanshinone IIA attenuates experimental autoimmune encephalomyelitis in rats. (2016) Mol.Med.Re. 14:1601-9} {IHC,WB} {Rat}
技术资料暂无技术资料 索取技术资料
文献支持
IL23 P19 Rabbit pAb(bs-18146R)-50ul/100ul/200ul
¥1180 - 2800





