相关产品推荐更多 >

SMAD1 + SMAD5 Rabbit pAb, PE-Cy7 conjugated(bs-2973R-PE-Cy7)-100ul
¥2980
FOXD4L2 Rabbit pAb, AP conjugated(bs-16163R-AP)-100ul
¥2980
AMIGO3 Rabbit pAb(bs-7959R)-50ul/100ul/200ul
¥1180
phospho-c-Jun (Thr93) Rabbit pAb, Cy3 conjugated(bs-12913R-Cy3)-100ul
¥2980
RBM16 Rabbit pAb(bs-19764R)-50ul/100ul/200ul
¥1180
万千商家帮你免费找货
0 人在求购买到急需产品
- 详细信息
- 文献和实验
- 技术资料
- 应用范围:
产品信息以Bioss网站为准
- 规格:
50ul/100ul/200ul
| 规格: | 50ul | 产品价格: | ¥1180.0 |
|---|---|---|---|
| 规格: | 100ul | 产品价格: | ¥1980.0 |
| 规格: | 200ul | 产品价格: | ¥2800.0 |
| 产品编号 | bs-16050R |
| 英文名称 | FBXO44 Rabbit pAb |
| 中文名称 | FBXO44蛋白抗体 |
| 英文别名 | 5730411K09; AV001623; DKFZp781J0852; F box gene 3; F box only protein 44; F box only protein 6a; F box protein 44; F box protein FBX30; F box/G domain protein 3; F-box only protein 44; F-box protein FBX30; F-box/G-domain protein 3; FBG3; FBX30; FBX44; FBX44_HUMAN; FBX6A; Fbxo44; Fbxo6a; MGC14140; RGD1562463. |
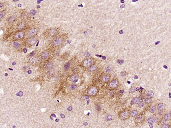
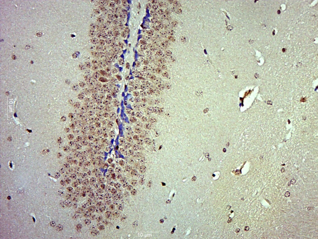
| 产品应用 | IHC-P=1:100-500, IHC-F=1:100-500, IF=1:100-500 Not yet tested in other applications. |
| 交叉反应 | Mouse, Rat (Human, Pig, Cow, Sheep) |
| 抗体来源 | Rabbit |
| 免疫原 | KLH conjugated synthetic peptide derived from human FBXO44 |
| 亚型 | IgG |
| 性状 | Liquid |
| 纯化方法 | affinity purified by Protein A |
| 克隆类型 | Polyclonal |
| 理论分子量 | 30 kDa |
| 浓度 | 1mg/ml |
| 储存液 | 0.01M TBS (pH7.4) with 1% BSA, 0.02% Proclin300 and 50% Glycerol. |
| 研究领域 | Cell Biology > Proteolysis / Ubiquitin > Proteasome / Ubiquitin > Ubiquitin E3 Enzymes > F Box E3 Ligase |
| 亚基 | Part of a SCF (SKP1-cullin-F-box) protein ligase complex. Interacts with SKP1 and CUL1. |
| 组织特异性 | Abundantly expressed in brain and kidney. Expressed at lower levels in heart, spleen and liver. |
| 相似性 | Contains 1 F-box domain. Contains 1 FBA (F-box associated) domain. |
| 功能 | Substrate-recognition component of the SCF (SKP1-CUL1-F-box protein)-type E3 ubiquitin ligase complex. |
| 保存条件 | Shipped at 4℃. Store at -20℃ for one year. Avoid repeated freeze/thaw cycles. |
| 注意事项 | This product as supplied is intended for research use only, not for use in human, therapeutic or diagnostic applications. |
| 背景资料 | This gene encodes a member of the F-box protein family which is characterized by an approximately 40 amino acid motif, the F-box. The F-box proteins constitute one of the four subunits of the ubiquitin protein ligase complex called SCFs (SKP1-cullin-F-box), which function in phosphorylation-dependent ubiquitination. The F-box proteins are divided into 3 classes: Fbws containing WD-40 domains, Fbls containing leucine-rich repeats, and Fbxs containing either different protein-protein interaction modules or no recognizable motifs. The protein encoded by this gene belongs to the Fbxs class. It is also a member of the NFB42 (neural F Box 42 kDa) family, similar to F-box only protein 2 and F-box only protein 6. Four alternatively spliced transcript variants encoding two distinct isoforms have been found for this gene. [provided by RefSeq, Jul 2008] |
| 应用 | 推荐稀释比例 |
| {IHC-P} | {1:100-500} |
| {IHC-F} | {1:100-500} |
| {IF} | {1:100-500} |



风险提示:丁香通仅作为第三方平台,为商家信息发布提供平台空间。用户咨询产品时请注意保护个人信息及财产安全,合理判断,谨慎选购商品,商家和用户对交易行为负责。对于医疗器械类产品,请先查证核实企业经营资质和医疗器械产品注册证情况。
文献和实验= NAL), appears to form upon oxidative cyclization of the nonfluorescent 2:1 lysine-HNE Michael adduct-Schiff base cross-link (Scheme 1). Polyclonal antibody (PAb) to the NAL-HNE fluorophore was raised in rabbit and found to be highly specific
GE Healthcare Benzamidine Sepharose™ 6B is p-aminobenzamidine covalently attached to Sepharose 6B by the epoxy coupling method. p-Aminobenzamidine (PAB), is a synthetic inhibitor of trypsin-like serine protease. Trypsin and trypsin
Nucleic Acid Programmable Protein Arrays: Versatile Tools for Array‐Based Functional Protein Studies
.g., Sigma) 50 mg/ml bis‐sulfosuccinimdylsuberate (BS3 ;Pierce, cat. no. PI 21580) in dimethylsulfoxide (DMSO) 5 mg/ml
技术资料暂无技术资料 索取技术资料





