相关产品推荐更多 >

GSK3A Rabbit pAb(bs-20134R)-50ul/100ul/200ul
¥1180
Estrogen receptor alpha Rabbit pAb, BF680 conjugated(bs-0254R-BF680)-100ul
¥2980
KLRB1 Rabbit pAb, AP conjugated(bs-2807R-AP)-100ul
¥2980
AIF1 / Iba1 Rabbit pAb, BF405 conjugated(bs-1363R-BF405)-100ul
¥2980
STOML2 Rabbit pAb(bs-8861R)-50ul/100ul/200ul
¥1180
万千商家帮你免费找货
0 人在求购买到急需产品
- 详细信息
- 文献和实验
- 技术资料
- 应用范围:
产品信息以Bioss网站为准
- 规格:
50ul/100ul/200ul
| 规格: | 50ul | 产品价格: | ¥1180.0 |
|---|---|---|---|
| 规格: | 100ul | 产品价格: | ¥1980.0 |
| 规格: | 200ul | 产品价格: | ¥2800.0 |
| 产品编号 | bs-14402R |
| 英文名称 | DOC2B Rabbit pAb |
| 中文名称 | DOC2B蛋白抗体 |
| 英文别名 | Doc2 beta; Doc2-beta; Doc2b; DOC2B_HUMAN; DOC2BL; Double C2 like domain containing protein beta; Double C2 like domains beta; Double C2 like domains beta like; Double C2-like domain-containing protein beta; OTTMUSP00000006522; RP23 78H4.2. |
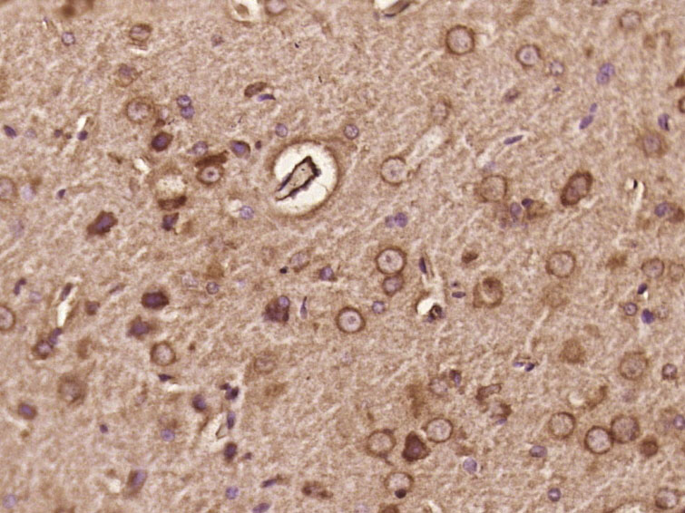
| 产品应用 | IHC-P=1:100-500, IHC-F=1:100-500, IF=1:100-500 Not yet tested in other applications. |
| 交叉反应 | Mouse, Rat (Human, Chicken, Cow, Horse, Sheep) |
| 抗体来源 | Rabbit |
| 免疫原 | KLH conjugated synthetic peptide derived from human DOC2B |
| 亚型 | IgG |
| 性状 | Liquid |
| 纯化方法 | affinity purified by Protein A |
| 克隆类型 | Polyclonal |
| 理论分子量 | 46 kDa |
| 浓度 | 1mg/ml |
| 储存液 | 0.01M TBS (pH7.4) with 1% BSA, 0.02% Proclin300 and 50% Glycerol. |
| 研究领域 | Neuroscience > Neurotransmission > Secretory Vesicles > Regulation Signal Transduction > Protein Trafficking > Vesicle Transport > Regulation |
| 亚细胞定位 | Cytoplasm. Cytoplasmic granule. Cell membrane. Translocates to the plasma membrane in a calcium-dependent manner. |
| 组织特异性 | Widely expressed with highest levels in brain and kidney. Expressed in pancreatic islet cells (at protein level). |
| 相似性 | Contains 2 C2 domains. |
| 功能 | Calcium sensor which positively regulates SNARE-dependent fusion of vesicles with membranes. Binds phospholipids in a calcium-dependent manner and may act at the priming stage of fusion by modifying membrane curvature to stimulate fusion. Involved in calcium-triggered exocytosis in chromaffin cells and calcium-dependent spontaneous release of neurotransmitter in absence of action potentials in neuronal cells. Involved both in glucose-stimulated insulin secretion in pancreatic cells and insulin-dependent GLUT4 transport to the plasma membrane in adipocytes (By similarity). |
| 保存条件 | Shipped at 4℃. Store at -20℃ for one year. Avoid repeated freeze/thaw cycles. |
| 注意事项 | This product as supplied is intended for research use only, not for use in human, therapeutic or diagnostic applications. |
| 背景资料 | There are at least two protein isoforms of the Double C2 protein, namely alpha (DOC2A) and beta (DOC2B), which contain two C2-like domains. DOC2A and DOC2B are encoded by different genes; these genes are at times confused with the unrelated DAB2 gene which was initially named DOC-2. DOC2B is expressed ubiquitously and is suggested to be involved in Ca(2+)-dependent intracellular vesicle trafficking in various types of cells. [provided by RefSeq, Jul 2008] |
| 应用 | 推荐稀释比例 |
| {IHC-P} | {1:100-500} |
| {IHC-F} | {1:100-500} |
| {IF} | {1:100-500} |



风险提示:丁香通仅作为第三方平台,为商家信息发布提供平台空间。用户咨询产品时请注意保护个人信息及财产安全,合理判断,谨慎选购商品,商家和用户对交易行为负责。对于医疗器械类产品,请先查证核实企业经营资质和医疗器械产品注册证情况。
文献和实验= NAL), appears to form upon oxidative cyclization of the nonfluorescent 2:1 lysine-HNE Michael adduct-Schiff base cross-link (Scheme 1). Polyclonal antibody (PAb) to the NAL-HNE fluorophore was raised in rabbit and found to be highly specific
GE Healthcare Benzamidine Sepharose™ 6B is p-aminobenzamidine covalently attached to Sepharose 6B by the epoxy coupling method. p-Aminobenzamidine (PAB), is a synthetic inhibitor of trypsin-like serine protease. Trypsin and trypsin
Nucleic Acid Programmable Protein Arrays: Versatile Tools for Array‐Based Functional Protein Studies
.g., Sigma) 50 mg/ml bis‐sulfosuccinimdylsuberate (BS3 ;Pierce, cat. no. PI 21580) in dimethylsulfoxide (DMSO) 5 mg/ml
技术资料暂无技术资料 索取技术资料






