相关产品推荐更多 >

GLUT4 Rabbit pAb(bs-0384R)-50ul/100ul/200ul
¥1180
SNAI2 Rabbit pAb, BF350 conjugated(bs-1382R-BF350)-100ul
¥2980
ODR4 Rabbit pAb, AP conjugated(bs-19564R-AP)-100ul
¥2980
phospho-CHEK2 (Thr383) Rabbit pAb, APC-Cy5.5 conjugated(bs-13910R-APC-Cy5.5)-100ul
¥2980
phospho-P53 (Thr55) Rabbit pAb, PE-Cy5 conjugated(bs-5596R-PE-Cy5)-100ul
¥2980
万千商家帮你免费找货
0 人在求购买到急需产品
- 详细信息
- 文献和实验
- 技术资料
- 应用范围:
产品信息以Bioss网站为准
- 规格:
50ul/100ul/200ul
| 规格: | 50ul | 产品价格: | ¥1180.0 |
|---|---|---|---|
| 规格: | 100ul | 产品价格: | ¥1980.0 |
| 规格: | 200ul | 产品价格: | ¥2800.0 |
| 产品编号 | bs-1224R |
| 英文名称 | ABCB6 Rabbit pAb |
| 中文名称 | ATP结合蛋白家族6抗体 |
| 英文别名 | ABC; ABC14; EST45597; ABC 14; ABC-14; ABCB 6; ABCB-6; PRP; UMAT; ABC transporter umat; MTABC3; Mt-ABC transporter 3; umat; Mitochondrial precursor; Mitochondrial ABC transporter 3; Mitochondrial abc protein 3; ATP-binding cassette, sub-family B, member 6, mitochondrial precursor; ATP binding cassette, sub family B(MDR/TAP), member 6; P glycoprotein related protein; Abcb6; ABCB6_HUMAN; ATP binding cassette sub family B member 6, mitochondrial precursor; ATP-binding cassette sub-family B member 6; Mitochondrial ABC transporter 3; mitochondrial; Mt ABC transporter 3; P-glycoprotein-related protein; Ubiquitously-expressed mammalian ABC half transporter; UMAT; Ubiquitously expressed mammalian ABC half transporter. |
| 产品应用 | IHC-P=1:100-500, IHC-F=1:100-500, IF=1:100-500 Not yet tested in other applications. |
| 交叉反应 | Rat (Human, Mouse, Dog, Pig, Cow, Horse, GuineaPig) |
| 抗体来源 | Rabbit |
| 免疫原 | KLH conjugated synthetic peptide derived from human ABCB6 |
| 亚型 | IgG |
| 性状 | Liquid |
| 纯化方法 | affinity purified by Protein A |
| 克隆类型 | Polyclonal |
| 理论分子量 | 94 kDa |
| 浓度 | 1mg/ml |
| 储存液 | 0.01M TBS (pH7.4) with 1% BSA, 0.02% Proclin300 and 50% Glycerol. |
| 研究领域 | Cancer > Drug resistance > P glycoproteins Cardiovascular > Hypoxia > Hypoxia-Regulated Metabolism > Pathways and Processes > Metabolism processes > Hypoxia Metabolism > Pathways and Processes > Mitochondrial Metabolism > Mitochondrial markers Signal Transduction > Metabolism > Mitochondrial |
| 亚基 | Homodimer. |
| 亚细胞定位 | Cell membrane. Mitochondrion outer membrane; Multi-pass membrane protein. Endoplasmic reticulum. Golgi apparatus. |
| 组织特异性 | Widely expressed. High expression is detected in the retinal epithelium. |
| 相似性 | Belongs to the ABC transporter superfamily. ABCB family. Heavy Metal importer (TC 3.A.1.210) subfamily. Contains 1 ABC transmembrane type-1 domain. Contains 1 ABC transporter domain. |
| 功能 | Binds heme and porphyrins and functions in their ATP-dependent uptake into the mitochondria. Plays a crucial role in heme synthesis |
| 保存条件 | Shipped at 4℃. Store at -20℃ for one year. Avoid repeated freeze/thaw cycles. |
| 注意事项 | This product as supplied is intended for research use only, not for use in human, therapeutic or diagnostic applications. |
| 背景资料 | The membrane-associated protein encoded by this gene is a member of the superfamily of ATP-binding cassette (ABC) transporters. ABC proteins transport various molecules across extra- and intra-cellular membranes. ABC genes are divided into seven distinct subfamilies (ABC1, MDR/TAP, MRP, ALD, OABP, GCN20, White). This protein is a member of the MDR/TAP subfamily. Members of the MDR/TAP subfamily are involved in multidrug resistance as well as antigen presentation. This half-transporter likely plays a role in mitochondrial function. Localized to 2q26, this gene is considered a candidate gene for lethal neonatal metabolic syndrome, a disorder of mitochondrial function. |
| 应用 | 推荐稀释比例 |
| {IHC-P} | {1:100-500} |
| {IHC-F} | {1:100-500} |
| {IF} | {1:100-500} |

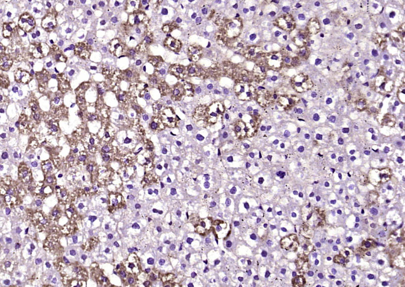
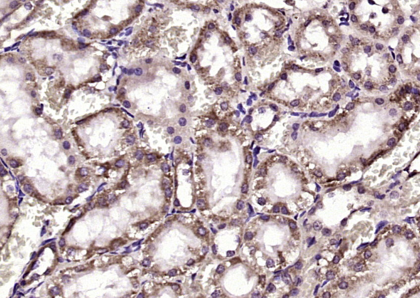
Antigen retrieval: citrate buffer ( 0.01M, pH 6.0 ), Boiling bathing for 15min; Block endogenous peroxidase by 3% Hydrogen peroxide for 30min; Blocking buffer (normal goat serum,C-0005) at 37℃ for 20 min;
Incubation: Anti-ABCB6 Polyclonal Antibody, Unconjugated(bs-1224R) 1:200, overnight at 4°C, followed by conjugation to the secondary antibody(SP-0023) and DAB(C-0010) staining


风险提示:丁香通仅作为第三方平台,为商家信息发布提供平台空间。用户咨询产品时请注意保护个人信息及财产安全,合理判断,谨慎选购商品,商家和用户对交易行为负责。对于医疗器械类产品,请先查证核实企业经营资质和医疗器械产品注册证情况。
文献和实验= NAL), appears to form upon oxidative cyclization of the nonfluorescent 2:1 lysine-HNE Michael adduct-Schiff base cross-link (Scheme 1). Polyclonal antibody (PAb) to the NAL-HNE fluorophore was raised in rabbit and found to be highly specific
GE Healthcare Benzamidine Sepharose™ 6B is p-aminobenzamidine covalently attached to Sepharose 6B by the epoxy coupling method. p-Aminobenzamidine (PAB), is a synthetic inhibitor of trypsin-like serine protease. Trypsin and trypsin
Analysis of Oxidative Modification of Proteins
:1220‐1224. Stadtman, E.R. and Berlett, B.S. 1997. Reactive oxygen‐mediated protein oxidation in aging and disease. Chem. Res. Toxicol. 10:485‐494
技术资料暂无技术资料 索取技术资料






