相关产品推荐更多 >

BNIP3 Rabbit pAb, BF555 conjugated(bs-4239R-BF555)-100ul
¥2980
LPHN1 Rabbit pAb(bs-18348R)-50ul/100ul/200ul
¥1180
phospho-PAK6 (Ser560) Rabbit pAb, PerCP-Cy5.5 conjugated(bs-3314R-PerCP-Cy5.5)-100ul
¥2980
KCNK3 Rabbit pAb(bs-6674R)-50ul/100ul/200ul
¥1180
human CD42b Mouse mAb, FITC conjugated(bsm-30184M-FITC)-25T/50T/100T
¥680
万千商家帮你免费找货
0 人在求购买到急需产品
- 详细信息
- 文献和实验
- 技术资料
- 应用范围:
产品信息以Bioss网站为准
- 规格:
50ul/100ul/200ul
| 规格: | 50ul | 产品价格: | ¥1180.0 |
|---|---|---|---|
| 规格: | 100ul | 产品价格: | ¥1980.0 |
| 规格: | 200ul | 产品价格: | ¥2800.0 |
| 产品编号 | bs-5113R |
| 英文名称 | CDCA4 Rabbit pAb |
| 中文名称 | 细胞分裂周期相关蛋白4抗体 |
| 英文别名 | CDCA 4; Cdca4; CDCA4_HUMAN; Cell division cycle associated 4; Cell division cycle-associated protein 4; FLJ20764; FLJ52878; Hematopoietic progenitor protein; Hepp; MGC19517; SEI 3; SEI-3; SEI-3/HEPP; SEI3. |
| 产品应用 | IHC-P=1:100-500, IHC-F=1:100-500, IF=1:100-500 Not yet tested in other applications. |
| 交叉反应 | Rat (Human, Mouse, Chicken, Dog, Pig, Cow, Horse) |
| 抗体来源 | Rabbit |
| 免疫原 | KLH conjugated synthetic peptide derived from human CDCA4 |
| 亚型 | IgG |
| 性状 | Liquid |
| 纯化方法 | affinity purified by Protein A |
| 克隆类型 | Polyclonal |
| 理论分子量 | 26 kDa |
| 浓度 | 1mg/ml |
| 储存液 | 0.01M TBS (pH7.4) with 1% BSA, 0.02% Proclin300 and 50% Glycerol. |
| 亚细胞定位 | Nucleus. |
| 组织特异性 | Highest levels of expression in the pancreas, thymus, testis, spleen, liver, placenta and leukocytes. Relatively low levels in the lung, kidney, prostate, ovary, small intestine and colon. Hardly detectable, if at all, in the brain, skeletal muscle and heart. |
| 相似性 | Contains 1 SERTA domain. |
| 功能 | May participate in the regulation of cell proliferation through the E2F/RB pathway. May be involved in molecular regulation of hematopoietic stem cells and progenitor cell lineage commitment and differentiation (By similarity). |
| 保存条件 | Shipped at 4℃. Store at -20℃ for one year. Avoid repeated freeze/thaw cycles. |
| 注意事项 | This product as supplied is intended for research use only, not for use in human, therapeutic or diagnostic applications. |
| 背景资料 | CDCA4 is a protein that belongs to the E2F family of transcription factors. This protein regulates E2F-dependent transcriptional activation and cell proliferation, mainly through the E2F/retinoblastoma protein pathway. It also functions in the regulaton of JUN oncogene expression. This protein shows distinctive nuclear-mitotic apparatus distribution, it is involved in spindle organization from prometaphase, and may also play a role as a midzone factor involved in chromosome segregation or cytokinesis. Two alternatively spliced transcript variants encoding the same protein have been noted for this gene. Two pseudogenes have also been identified on chromosome 1. |
| 应用 | 推荐稀释比例 |
| {IHC-P} | {1:100-500} |
| {IHC-F} | {1:100-500} |
| {IF} | {1:100-500} |

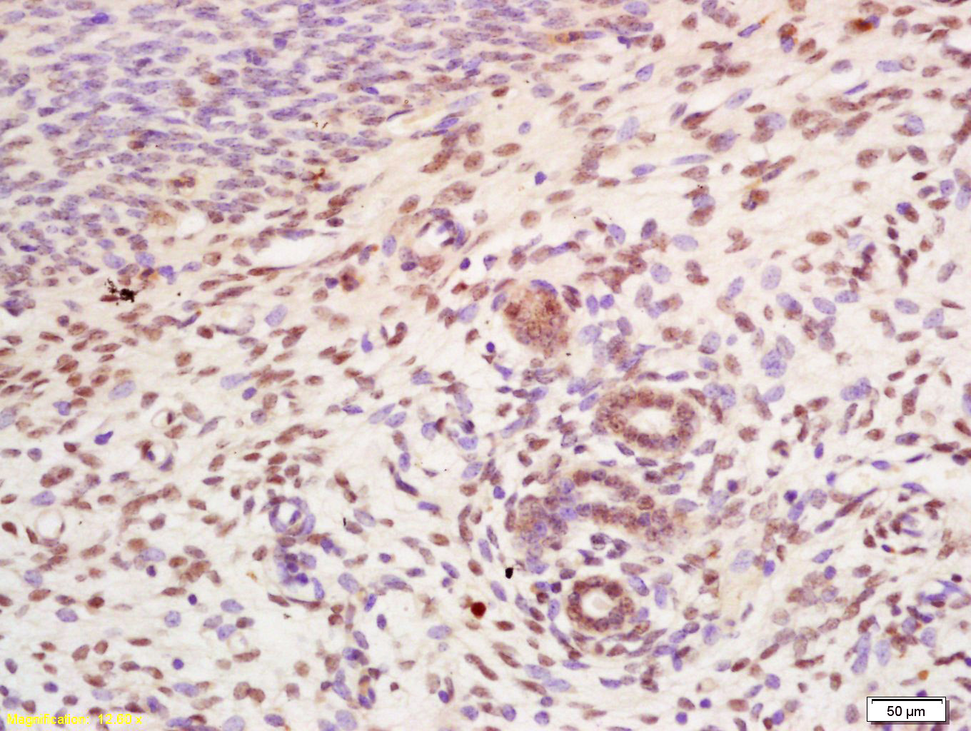
Antigen retrieval: citrate buffer ( 0.01M, pH 6.0 ), Boiling bathing for 15min; Block endogenous peroxidase by 3% Hydrogen peroxide for 30min; Blocking buffer (normal goat serum,C-0005) at 37℃ for 20 min;
Incubation: Anti-CDCA4 Polyclonal Antibody, Unconjugated(bs-5113R) 1:200, overnight at 4°C, followed by conjugation to the secondary antibody(SP-0023) and DAB(C-0010) staining
风险提示:丁香通仅作为第三方平台,为商家信息发布提供平台空间。用户咨询产品时请注意保护个人信息及财产安全,合理判断,谨慎选购商品,商家和用户对交易行为负责。对于医疗器械类产品,请先查证核实企业经营资质和医疗器械产品注册证情况。
文献和实验[IF={{ 2.9 }}] {Wei Ding. et al. Roles of the CDCA gene family in breast carcinoma. SCI PROGRESS-UK. ;():} {WB,IHC} {Human}
= NAL), appears to form upon oxidative cyclization of the nonfluorescent 2:1 lysine-HNE Michael adduct-Schiff base cross-link (Scheme 1). Polyclonal antibody (PAb) to the NAL-HNE fluorophore was raised in rabbit and found to be highly specific
GE Healthcare Benzamidine Sepharose™ 6B is p-aminobenzamidine covalently attached to Sepharose 6B by the epoxy coupling method. p-Aminobenzamidine (PAB), is a synthetic inhibitor of trypsin-like serine protease. Trypsin and trypsin
Nucleic Acid Programmable Protein Arrays: Versatile Tools for Array‐Based Functional Protein Studies
.g., Sigma) 50 mg/ml bis‐sulfosuccinimdylsuberate (BS3 ;Pierce, cat. no. PI 21580) in dimethylsulfoxide (DMSO) 5 mg/ml
技术资料暂无技术资料 索取技术资料






