相关产品推荐更多 >
万千商家帮你免费找货
0 人在求购买到急需产品
- 详细信息
- 技术资料
- 应用范围:
产品信息以Bioss网站为准
- 规格:
50ul/100ul/200ul
| 规格: | 50ul | 产品价格: | ¥1180.0 |
|---|---|---|---|
| 规格: | 100ul | 产品价格: | ¥1980.0 |
| 规格: | 200ul | 产品价格: | ¥2800.0 |
| 产品编号 | bs-3836R |
| 英文名称 | PABP (Methyl Arg455/460) Rabbit pAb |
| 中文名称 | 甲基化多聚腺苷酸结合蛋白抗体 |
| 英文别名 | PABP(Methyl Arg455/Arg460); Methyl PABP(Arg455/Arg460); Methyl PABP(Arg455/460); PAB 1; PAB1; PABP 1; PABP1; PABP-1; PABPC 1; PABPC1; PABPC2; PABPL1v Poly A binding protein 1; Poly A binding protein cytoplasmic 1; Polyadenylate binding protein 1. |
| 产品应用 | IHC-P=1:100-500, IHC-F=1:100-500, IF=1:100-500 Not yet tested in other applications. |
| 交叉反应 | Rat (Human, Mouse, Chicken, Pig, Cow, Horse, Rabbit, GuineaPig) |
| 抗体来源 | Rabbit |
| 免疫原 | KLH conjugated synthesised metylpeptide derived from human PABP around the metylation site of Arg455/Arg460 |
| 亚型 | IgG |
| 性状 | Liquid |
| 纯化方法 | affinity purified by Protein A |
| 克隆类型 | Polyclonal |
| 理论分子量 | 75 kDa |
| 浓度 | 1mg/ml |
| 储存液 | 0.01M TBS (pH7.4) with 1% BSA, 0.02% Proclin300 and 50% Glycerol. |
| 研究领域 | Epigenetics and Nuclear Signaling > DNA / RNA > Translation > Regulation Epigenetics and Nuclear Signaling > RNAi > Dicer Epigenetics and Nuclear Signaling > RNAi > P bodies/GW bodies |
| 亚基 | Component of a multi subunit autoregulatory ribonucleoprotein complex (ARC), at least composed of IGF2BP1, PABPC1 and CSDE1. |
| 亚细胞定位 | Cytoplasm. Nucleus. |
| 组织特异性 | Ubiquitous. |
| 翻译后修饰 | Phosphorylated by MAPKAPK2. Methylated by CARM1. Arg-493 is dimethylated, probably to asymmetric dimethylarginine. |
| 相似性 | Belongs to the polyadenylate-binding protein type-1 family. Contains 1 PABC domain. Contains 4 RRM (RNA recognition motif) domains. |
| 功能 | Binds the poly(A) tail of mRNA. May be involved in cytoplasmic regulatory processes of mRNA metabolism such as pre-mRNA splicing. Its function in translational initiation regulation can either be enhanced by PAIP1 or repressed by PAIP2. Can probably bind to cytoplasmic RNA sequences other than poly(A) in vivo. Involved in translationally coupled mRNA turnover. Implicated with other RNA-binding proteins in the cytoplasmic deadenylation/translational and decay interplay of the FOS mRNA mediated by the major coding-region determinant of instability (mCRD) domain. Involved in regulation of nonsense-mediated decay (NMD) of mRNAs containing premature stop codons; for the recognition of premature termination codons (PTC) and initiation of NMD a competitive interaction between UPF1 and PABPC1 with the ribosome-bound release factors is proposed. |
| 保存条件 | Shipped at 4℃. Store at -20℃ for one year. Avoid repeated freeze/thaw cycles. |
| 注意事项 | This product as supplied is intended for research use only, not for use in human, therapeutic or diagnostic applications. |
| 背景资料 | This gene encodes a poly(A) binding protein. The protein shuttles between the nucleus and cytoplasm and binds to the 3' poly(A) tail of eukaryotic messenger RNAs via RNA-recognition motifs. The binding of this protein to poly(A) promotes ribosome recruitment and translation initiation; it is also required for poly(A) shortening which is the first step in mRNA decay. The gene is part of a small gene family including three protein-coding genes and several pseudogenes.[provided by RefSeq, Aug 2010]. |
| 应用 | 推荐稀释比例 |
| {IHC-P} | {1:100-500} |
| {IHC-F} | {1:100-500} |
| {IF} | {1:100-500} |

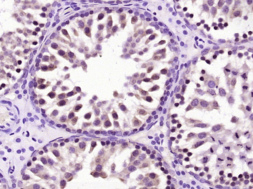
Paraformaldehyde-fixed, paraffin embedded (Rat testis); Antigen retrieval by boiling in sodium citrate buffer (pH6.0) for 15min; Block endogenous peroxidase by 3% hydrogen peroxide for 20 minutes; Blocking buffer (normal goat serum) at 37°C for 30min; Antibody incubation with (PABP (Methyl Arg455,460)) Polyclonal Antibody, Unconjugated (bs-3836R) at 1:400 overnight at 4°C, followed by operating according to SP Kit(Rabbit) (sp-0023) instructionsand DAB staining.
风险提示:丁香通仅作为第三方平台,为商家信息发布提供平台空间。用户咨询产品时请注意保护个人信息及财产安全,合理判断,谨慎选购商品,商家和用户对交易行为负责。对于医疗器械类产品,请先查证核实企业经营资质和医疗器械产品注册证情况。
技术资料暂无技术资料 索取技术资料
PABP (Methyl Arg455/460) Rabbit pAb(bs-3836R)-50ul/100ul/200ul
¥1180 - 2800









