相关产品推荐更多 >
万千商家帮你免费找货
0 人在求购买到急需产品
- 详细信息
- 文献和实验
- 技术资料
- 应用范围:
产品信息以Bioss网站为准
- 规格:
50ul/100ul/200ul
| 规格: | 50ul | 产品价格: | ¥1180.0 |
|---|---|---|---|
| 规格: | 100ul | 产品价格: | ¥1980.0 |
| 规格: | 200ul | 产品价格: | ¥2800.0 |
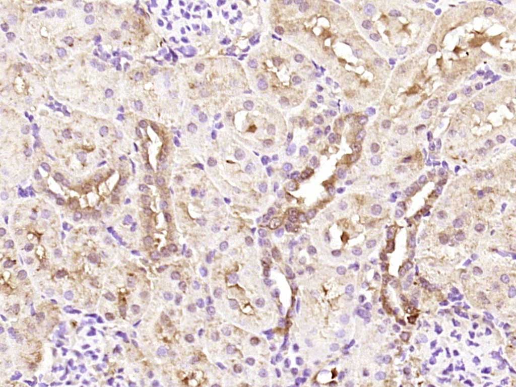
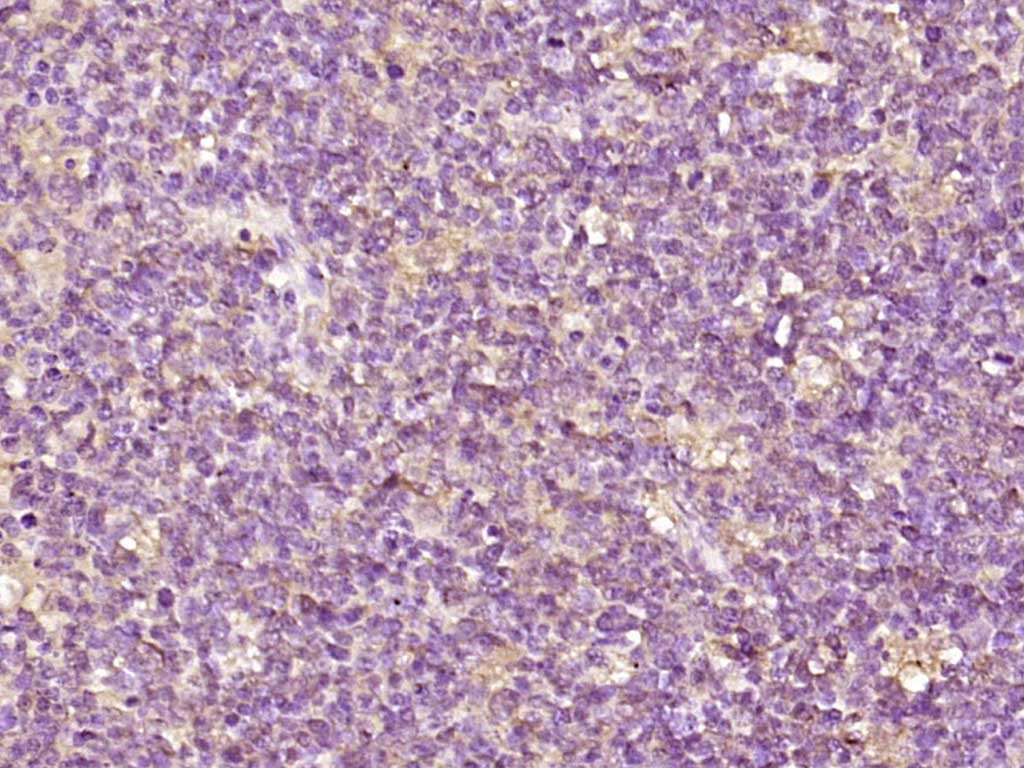
| 产品编号 | bs-10953R |
| 英文名称 | EDC4 Rabbit pAb |
| 中文名称 | 自身抗原EDC4抗体 |
| 英文别名 | autoantigen; Autoantigen Ge 1; Autoantigen Ge-1; Autoantigen Ge1; Autoantigen RCD 8; Autoantigen RCD-8; Autoantigen RCD8; edc4; EDC4_HUMAN; Enhancer of mRNA decapping 4; Enhancer of mRNA-decapping protein 4; Ge 1; Hedls; Human enhancer of decapping large subunit; RCD 8. |
| 产品应用 | IHC-P=1:100-500, IHC-F=1:100-500, IF=1:100-500 Not yet tested in other applications. |
| 交叉反应 | Human, Mouse, Rat (Chicken, Dog, Pig, Cow, Rabbit, Sheep) |
| 抗体来源 | Rabbit |
| 免疫原 | KLH conjugated synthetic peptide derived from human EDC4 |
| 亚型 | IgG |
| 性状 | Liquid |
| 纯化方法 | affinity purified by Protein A |
| 克隆类型 | Polyclonal |
| 理论分子量 | 151 kDa |
| 浓度 | 1mg/ml |
| 储存液 | 0.01M TBS (pH7.4) with 1% BSA, 0.02% Proclin300 and 50% Glycerol. |
| 研究领域 | Epigenetics and Nuclear Signaling > DNA / RNA > RNA Processing |
| 亚基 | Part of a decapping complex consisting of DCP1A, DCP2, EDC3, EDC4 and probably DDX6. Part of a complex consisting of DCP1A, EDC3, EDC4 and DDX6. Part of a complex consisting of DCP1B, EDC3, EDC4 and DDX6. Interacts with DCP2. |
| 亚细胞定位 | Cytoplasm; P-body. Nucleus. |
| 翻译后修饰 | Phosphorylated upon DNA damage, probably by ATM or ATR. |
| 相似性 | Belongs to the WD repeat EDC4 family.
Contains 4 WD repeats. |
| 功能 | In the process of mRNA degradation, seems to play a role in mRNA decapping. Component of a complex containing DCP2 and DCP1A which functions in decapping of ARE-containing mRNAs. Promotes complex formation between DCP1A and DCP2. Enhances the catalytic activity of DCP2 (in vitro). |
| 保存条件 | Shipped at 4℃. Store at -20℃ for one year. Avoid repeated freeze/thaw cycles. |
| 注意事项 | This product as supplied is intended for research use only, not for use in human, therapeutic or diagnostic applications. |
| 背景资料 | The major eukaryotic mRNA decay pathway occurs through deadenylation, decapping, and 5' to 3' degradation of the mRNA. Decapping is a critical control point in this decay pathway. Edc4 (enhancer of mRNA decapping 4), also known as human enhancer of decapping large subunit (HEDLS), RCD-8 or Ge-1, is a 1,401 amino acid protein belonging to the WD repeat EDC4 family that is involved in mRNA decapping during mRNA degradation. As part of the mRNA degradation process, Edc4 becomes part of a complex that also contains hDcp1a, hDcp2a, RCK and Edc3. Localizing to P-body and cytoplasm, Edc4 contains a nuclear localization sequence (NLS) which enables it to selectively enter the nucleus as well. Edc4 becomes phosphorylated upon DNA damage and exists as two alternatively spliced isoforms that are encoded by a gene that maps to human chromosome 16q22.1. |
| 应用 | 推荐稀释比例 |
| {IHC-P} | {1:100-500} |
| {IHC-F} | {1:100-500} |
| {IF} | {1:100-500} |



风险提示:丁香通仅作为第三方平台,为商家信息发布提供平台空间。用户咨询产品时请注意保护个人信息及财产安全,合理判断,谨慎选购商品,商家和用户对交易行为负责。对于医疗器械类产品,请先查证核实企业经营资质和医疗器械产品注册证情况。
文献和实验= NAL), appears to form upon oxidative cyclization of the nonfluorescent 2:1 lysine-HNE Michael adduct-Schiff base cross-link (Scheme 1). Polyclonal antibody (PAb) to the NAL-HNE fluorophore was raised in rabbit and found to be highly specific
GE Healthcare Benzamidine Sepharose™ 6B is p-aminobenzamidine covalently attached to Sepharose 6B by the epoxy coupling method. p-Aminobenzamidine (PAB), is a synthetic inhibitor of trypsin-like serine protease. Trypsin and trypsin
Nucleic Acid Programmable Protein Arrays: Versatile Tools for Array‐Based Functional Protein Studies
.g., Sigma) 50 mg/ml bis‐sulfosuccinimdylsuberate (BS3 ;Pierce, cat. no. PI 21580) in dimethylsulfoxide (DMSO) 5 mg/ml
技术资料暂无技术资料 索取技术资料











