相关产品推荐更多 >

WWOX Rabbit pAb, BF680 conjugated(bs-0589R-BF680)-100ul
¥2980
CMKLR1 Rabbit pAb, BF405 conjugated(bs-10185R-BF405)-100ul
¥2980
Metallothionein 3 Rabbit pAb, FITC conjugated(bs-4940R-FITC)-100ul
¥2980
HIATL1 Rabbit pAb(bs-16504R)-50ul/100ul/200ul
¥1180
HLADQA1 + HLADQA2 Rabbit pAb, AP conjugated(bs-18043R-AP)-100ul
¥2980
万千商家帮你免费找货
0 人在求购买到急需产品
- 详细信息
- 技术资料
- 应用范围:
产品信息以Bioss网站为准
- 规格:
50ul/100ul/200ul
| 规格: | 50ul | 产品价格: | ¥1180.0 |
|---|---|---|---|
| 规格: | 100ul | 产品价格: | ¥1980.0 |
| 规格: | 200ul | 产品价格: | ¥2800.0 |
| 产品编号 | bs-12254R |
| 英文名称 | ZFP36L1 Rabbit pAb |
| 中文名称 | 丁酸盐反应因子1抗体 |
| 英文别名 | ERF1; Berg36; BRF1; Butyrate response factor 1; C3H1 type-like 1; cMG1; Early response factor Berg36; EGF response factor 1; EGF-response factor 1; ERF 1; ERF-1; ERF1; Protein TIS11B; RNF162B; TIS11B; TISB_HUMAN; ZFP36L1; Zinc finger protein 36; Zinc finger protein 36 C3H type like 1; zinc finger protein C3H type 36 like 1. |
| 产品应用 | IHC-P=1:100-500, IHC-F=1:100-500, IF=1:100-500 Not yet tested in other applications. |
| 交叉反应 | Rat (Human, Mouse, Dog, Pig, Cow, Horse) |
| 抗体来源 | Rabbit |
| 免疫原 | KLH conjugated synthetic peptide derived from human ZFP36L1/ERF1 |
| 亚型 | IgG |
| 性状 | Liquid |
| 纯化方法 | affinity purified by Protein A |
| 克隆类型 | Polyclonal |
| 理论分子量 | 36 kDa |
| 浓度 | 1mg/ml |
| 储存液 | 0.01M TBS (pH7.4) with 1% BSA, 0.02% Proclin300 and 50% Glycerol. |
| 研究领域 | Epigenetics and Nuclear Signaling > Transcription > Domain Families > Zinc Finger Epigenetics and Nuclear Signaling > Transcription > Transcription Factors Signal Transduction > Growth Factors/Hormones > EGF |
| 亚细胞定位 | Nucleus. |
| 相似性 | Contains 2 C3H1-type zinc fingers. |
| 功能 | Probable regulatory protein involved in regulating the response to growth factors. |
| 保存条件 | Shipped at 4℃. Store at -20℃ for one year. Avoid repeated freeze/thaw cycles. |
| 注意事项 | This product as supplied is intended for research use only, not for use in human, therapeutic or diagnostic applications. |
| 背景资料 | This gene encodes a member of the plakin protein family of adhesion junction plaque proteins. Multiple alternatively spliced transcript variants encoding distinct isoforms have been found for this gene, but the full-length nature of some variants has not been defined. It has been reported that some isoforms are expressed in neural and muscle tissue, anchoring neural intermediate filaments to the actin cytoskeleton, and some isoforms are expressed in epithelial tissue, anchoring keratin-containing intermediate filaments to hemidesmosomes. Consistent with the expression, mice defective for this gene show skin blistering and neurodegeneration. [provided by RefSeq, Mar 2010] |
| 应用 | 推荐稀释比例 |
| {IHC-P} | {1:100-500} |
| {IHC-F} | {1:100-500} |
| {IF} | {1:100-500} |

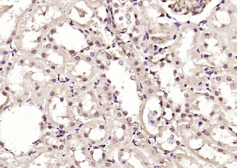
Paraformaldehyde-fixed, paraffin embedded (rat kidney); Antigen retrieval by boiling in sodium citrate buffer (pH6.0) for 15min; Block endogenous peroxidase by 3% hydrogen peroxide for 20 minutes; Blocking buffer (normal goat serum) at 37°C for 30min; Antibody incubation with (ZFP36L1) Polyclonal Antibody, Unconjugated (bs-12254R) at 1:200 overnight at 4°C, followed by operating according to SP Kit(Rabbit) (sp-0023) instructionsand DAB staining.
风险提示:丁香通仅作为第三方平台,为商家信息发布提供平台空间。用户咨询产品时请注意保护个人信息及财产安全,合理判断,谨慎选购商品,商家和用户对交易行为负责。对于医疗器械类产品,请先查证核实企业经营资质和医疗器械产品注册证情况。
技术资料暂无技术资料 索取技术资料
ZFP36L1 Rabbit pAb(bs-12254R)-50ul/100ul/200ul
¥1180 - 2800





