相关产品推荐更多 >

phospho-MST4 (Thr190) Rabbit pAb, HRP conjugated(bs-10682R-HRP)-100ul
¥2980
HSD17B1 Recombinant Rabbit mAb(bsm-60664R)-50ul/100ul/25ul
¥800
Beta catenin Rabbit pAb, PerCP conjugated(bs-1165R-PerCP)-100ul
¥2980
KIF13B Rabbit pAb, BF594 conjugated(bs-12387R-BF594)-100ul
¥2980
MT2A Rabbit pAb, PerCP conjugated(bs-1328R-PerCP)-100ul
¥2980
万千商家帮你免费找货
0 人在求购买到急需产品
- 详细信息
- 文献和实验
- 技术资料
- 应用范围:
产品信息以Bioss网站为准
- 规格:
50ul/100ul/200ul
| 规格: | 50ul | 产品价格: | ¥1180.0 |
|---|---|---|---|
| 规格: | 100ul | 产品价格: | ¥1980.0 |
| 规格: | 200ul | 产品价格: | ¥2800.0 |
| 产品编号 | bs-4967R |
| 英文名称 | PAPOLB Rabbit pAb |
| 中文名称 | 睾丸特异性核苷酸果糖β抗体 |
| 英文别名 | PAP beta; PAP-beta; PAPT; poly(A) polymerase beta(testis specific); poly(A) polymerase beta; polynucleotide adenylyltransferase beta; TPAP. |
| 产品应用 | IHC-P=1:100-500, IHC-F=1:100-500, IF=1:100-500 Not yet tested in other applications. |
| 交叉反应 | Rat (Human, Mouse, Pig, Cow, Rabbit) |
| 抗体来源 | Rabbit |
| 免疫原 | KLH conjugated synthetic peptide derived from human PAPOLB |
| 亚型 | IgG |
| 性状 | Liquid |
| 纯化方法 | affinity purified by Protein A |
| 克隆类型 | Polyclonal |
| 理论分子量 | 72 kDa |
| 浓度 | 1mg/ml |
| 储存液 | 0.01M TBS (pH7.4) with 1% BSA, 0.02% Proclin300 and 50% Glycerol. |
| 亚细胞定位 | Nuclear |
| 功能 | RelevanceThe function of this protein remains unknown. This gene is a member of the myotubularin family and encodes a putative tyrosine phosphatase. Mutations in this gene are a cause of Charcot-Marie-Tooth disease type 4B, an autosomal recessive demyelinating neuropathy. Multiple alternatively spliced transcript variants have been found for this gene, but the protein products of some of these variants are likely not viable, as they are nonsense-mediated mRNA decay (NMD) candidates. |
| 保存条件 | Shipped at 4℃. Store at -20℃ for one year. Avoid repeated freeze/thaw cycles. |
| 注意事项 | This product as supplied is intended for research use only, not for use in human, therapeutic or diagnostic applications. |
| 背景资料 | Polyadenylation of the 3-prime ends of eukaryotic mRNAs is a key event that takes place in the nucleus during maturation of mRNA. The reaction includes endoribonucleolytic cleavage of the pre-RNA at the poly(A) site that leads to synthesis of the poly(A) tail at the 3-prime end of the upstream cleavage product. The poly(A) polymerase (PAP) is required The adenosine addition reaction depends on poly(A) polymerase (PAP) activity. The testis express PAP-Beta (TPAP) in the cytoplasm of spermatogenic cells. The adenosine addition function of PAP-Beta plays a critical role in male germ cell production. PAP-Beta-deficient transgenic mice display impaired expression of haploid-specific genes that are necessary for spermatogenesis. The intronless gene encoding human PAP-∫ maps to chromosome 7p22.3. |
| 应用 | 推荐稀释比例 |
| {IHC-P} | {1:100-500} |
| {IHC-F} | {1:100-500} |
| {IF} | {1:100-500} |


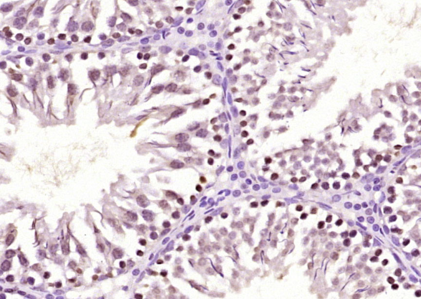
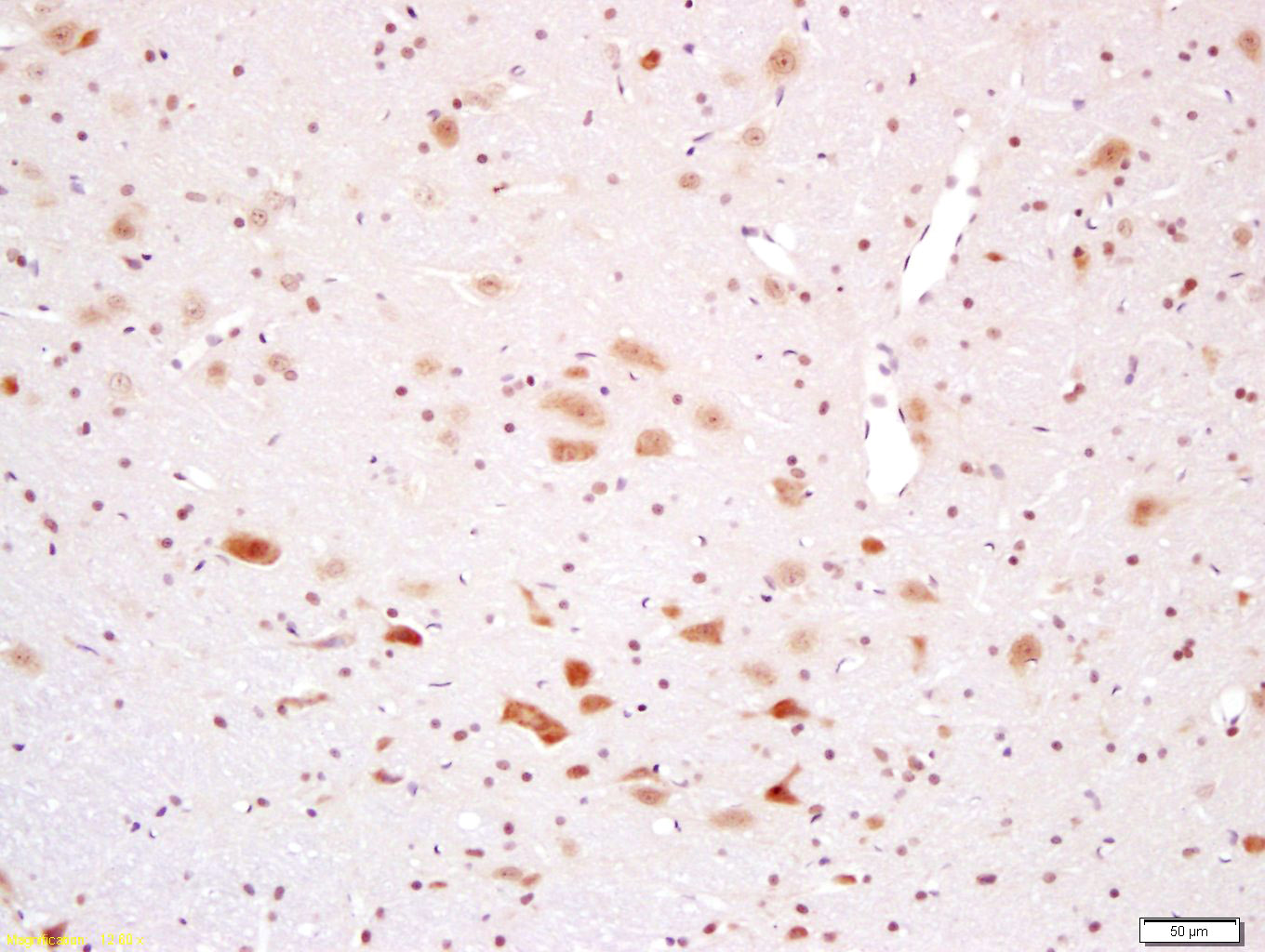
Antigen retrieval: citrate buffer ( 0.01M, pH 6.0 ), Boiling bathing for 15min; Block endogenous peroxidase by 3% Hydrogen peroxide for 30min; Blocking buffer (normal goat serum,C-0005) at 37℃ for 20 min;
Incubation: Anti-PAPOLB Polyclonal Antibody, Unconjugated(bs-4967R) 1:200, overnight at 4°C, followed by conjugation to the secondary antibody(SP-0023) and DAB(C-0010) staining
风险提示:丁香通仅作为第三方平台,为商家信息发布提供平台空间。用户咨询产品时请注意保护个人信息及财产安全,合理判断,谨慎选购商品,商家和用户对交易行为负责。对于医疗器械类产品,请先查证核实企业经营资质和医疗器械产品注册证情况。
文献和实验= NAL), appears to form upon oxidative cyclization of the nonfluorescent 2:1 lysine-HNE Michael adduct-Schiff base cross-link (Scheme 1). Polyclonal antibody (PAb) to the NAL-HNE fluorophore was raised in rabbit and found to be highly specific
GE Healthcare Benzamidine Sepharose™ 6B is p-aminobenzamidine covalently attached to Sepharose 6B by the epoxy coupling method. p-Aminobenzamidine (PAB), is a synthetic inhibitor of trypsin-like serine protease. Trypsin and trypsin
Nucleic Acid Programmable Protein Arrays: Versatile Tools for Array‐Based Functional Protein Studies
.g., Sigma) 50 mg/ml bis‐sulfosuccinimdylsuberate (BS3 ;Pierce, cat. no. PI 21580) in dimethylsulfoxide (DMSO) 5 mg/ml
技术资料暂无技术资料 索取技术资料





