相关产品推荐更多 >

MRP2/ABCC2 Rabbit pAb, Biotin conjugated(bs-1092R-Bio)-100ul
¥2980
Nogo R Rabbit pAb(bs-20486R)-50ul/100ul/200ul
¥1180
CD101 Rabbit pAb, BF405 conjugated(bs-10727R-BF405)-100ul
¥2980
Myozenin 1 Rabbit pAb, Biotin conjugated(bs-24598R-Bio)-100ul
¥2980
EAAT1 Rabbit pAb, Cy3 conjugated(bs-1003R-Cy3)-100ul
¥2980
万千商家帮你免费找货
0 人在求购买到急需产品
- 详细信息
- 文献和实验
- 技术资料
- 应用范围:
产品信息以Bioss网站为准
- 规格:
50ul/100ul/200ul
| 规格: | 50ul | 产品价格: | ¥1180.0 |
|---|---|---|---|
| 规格: | 100ul | 产品价格: | ¥1980.0 |
| 规格: | 200ul | 产品价格: | ¥2800.0 |
| 产品编号 | bs-8717R |
| 英文名称 | SLC30A3 Rabbit pAb |
| 中文名称 | 溶质载体锌转运3抗体 |
| 英文别名 | SLC30A3; Solute carrier family 30(zinc transporter), member 3; Solute carrier family 30 member 3; Zinc transporter 3; Zinc transporter ZnT 3; ZnT-3; ZNT3; ZNT3_HUMAN; OTTHUMP00000201041. |
| 产品应用 | IHC-P=1:100-500, IHC-F=1:100-500, IF=1:100-500 Not yet tested in other applications. |
| 交叉反应 | Mouse, Rat (Human, Dog, Pig, Cow) |
| 抗体来源 | Rabbit |
| 免疫原 | KLH conjugated synthetic peptide derived from human SLC30A3/ZNT3 |
| 亚型 | IgG |
| 性状 | Liquid |
| 纯化方法 | affinity purified by Protein A |
| 克隆类型 | Polyclonal |
| 理论分子量 | 42 kDa |
| 浓度 | 1mg/ml |
| 储存液 | 0.01M TBS (pH7.4) with 1% BSA, 0.02% Proclin300 and 50% Glycerol. |
| 研究领域 | Neuroscience > Neurotransmission > Receptors / Channels > More Ion Channels Neuroscience > Neurotransmitter > Transporters |
| 亚基 | Belongs to the cation diffusion facilitator (CDF) transporter (TC 2.A.4) family. SLC30A subfamily. |
| 亚细胞定位 | Cytoplasmic vesicle, secretory vesicle, synaptic vesicle membrane; Multi-pass membrane protein (Probable). |
| 相似性 | Belongs to the cation diffusion facilitator (CDF) transporter (TC 2.A.4) family. SLC30A subfamily. |
| 功能 | Involved in accumulation of zinc in synaptic vesicles. |
| 保存条件 | Shipped at 4℃. Store at -20℃ for one year. Avoid repeated freeze/thaw cycles. |
| 注意事项 | This product as supplied is intended for research use only, not for use in human, therapeutic or diagnostic applications. |
| 背景资料 | Zinc, an essential element required for cell proliferation and differentiation, plays a role in a diverse array of cellular functions, including acting as a cofactor for numerous enzymes and transcription factors and as a neuroregulator. The zinc transporter (ZnT) family regulates the supply of zinc within cells, and its members are characterized by containing six membrane-spanning domains, a large histidine-rich intracellular loop, and a C-terminal tail. ZnT-3 mediates the uptake of zinc into vesicles in brain and testis. |
| 应用 | 推荐稀释比例 |
| {IHC-P} | {1:100-500} |
| {IHC-F} | {1:100-500} |
| {IF} | {1:100-500} |

Antigen retrieval: citrate buffer ( 0.01M, pH 6.0 ), Boiling bathing for 15min; Block endogenous peroxidase by 3% Hydrogen peroxide for 30min; Blocking buffer (normal goat serum,C-0005) at 37℃ for 20 min;
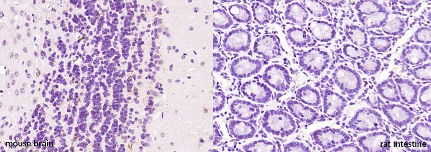
Incubation: Anti-SLC30A3 Polyclonal Antibody, Unconjugated(bs-8717R) 1:200, overnight at 4°C, followed by conjugation to the secondary antibody(SP-0023) and DAB(C-0010) staining

风险提示:丁香通仅作为第三方平台,为商家信息发布提供平台空间。用户咨询产品时请注意保护个人信息及财产安全,合理判断,谨慎选购商品,商家和用户对交易行为负责。对于医疗器械类产品,请先查证核实企业经营资质和医疗器械产品注册证情况。
文献和实验[IF={{ 7.419 }}] {Jinfeng Shang. et al. Chrysin protects against cerebral ischemia-reperfusion injury in hippocampus via restraining oxidative stress and transition elements. BIOMED PHARMACOTHER. 2023 May;161:114534} {IHC} {Rat}
= NAL), appears to form upon oxidative cyclization of the nonfluorescent 2:1 lysine-HNE Michael adduct-Schiff base cross-link (Scheme 1). Polyclonal antibody (PAb) to the NAL-HNE fluorophore was raised in rabbit and found to be highly specific
GE Healthcare Benzamidine Sepharose™ 6B is p-aminobenzamidine covalently attached to Sepharose 6B by the epoxy coupling method. p-Aminobenzamidine (PAB), is a synthetic inhibitor of trypsin-like serine protease. Trypsin and trypsin
Nucleic Acid Programmable Protein Arrays: Versatile Tools for Array‐Based Functional Protein Studies
.g., Sigma) 50 mg/ml bis‐sulfosuccinimdylsuberate (BS3 ;Pierce, cat. no. PI 21580) in dimethylsulfoxide (DMSO) 5 mg/ml
技术资料暂无技术资料 索取技术资料





