相关产品推荐更多 >
万千商家帮你免费找货
0 人在求购买到急需产品
- 详细信息
- 文献和实验
- 技术资料
- 应用范围:
产品信息以Bioss网站为准
- 规格:
50ul/100ul/200ul
| 规格: | 50ul | 产品价格: | ¥1180.0 |
|---|---|---|---|
| 规格: | 100ul | 产品价格: | ¥1980.0 |
| 规格: | 200ul | 产品价格: | ¥2800.0 |
| 产品编号 | bs-10935R |
| 英文名称 | CHKL Rabbit pAb |
| 中文名称 | 乙醇胺激酶β抗体 |
| 英文别名 | Ethanolamine kinase beta; CHETK; Chetk-beta; CHKB; Chkb choline kinase beta; Chkb protein; CHKB_HUMAN; CHKL; Choline kinase beta; Choline kinase-like; Choline kinase-like protein; Choline/ethanolamine kinase; choline/ethanolamine kinase beta; Choline/ethanolamine kinase, beta; CK; CK/EK; CK/EK-beta; CKB; CKEKB; EK; EKB; Ethanolamine kinase; Ethanolamine kinase beta; Ethanolamine kinase, beta. |
| 产品应用 | IHC-P=1:100-500, IHC-F=1:100-500, IF=1:100-500 Not yet tested in other applications. |
| 交叉反应 | Mouse (Human, Rat, Dog, Cow, Horse, Sheep) |
| 抗体来源 | Rabbit |
| 免疫原 | KLH conjugated synthetic peptide derived from human CHKL |
| 亚型 | IgG |
| 性状 | Liquid |
| 纯化方法 | affinity purified by Protein A |
| 克隆类型 | Polyclonal |
| 理论分子量 | 45 kDa |
| 浓度 | 1mg/ml |
| 储存液 | 0.01M TBS (pH7.4) with 1% BSA, 0.02% Proclin300 and 50% Glycerol. |
| 亚基 | Homodimer, and heterodimer with CHKA. |
| 相似性 | Belongs to the choline/ethanolamine kinase family. |
| 功能 | Has a key role in phospholipid biosynthesis. Catalyzes the first step in phosphatidylethanolamine biosynthesis. Phosphorylates ethanolamine, and can also act on choline (in vitro). Has higher activity with ethanolamine. May not significantly contribute to in vivo phosphatidylcholine biosynthesis. |
| 保存条件 | Shipped at 4℃. Store at -20℃ for one year. Avoid repeated freeze/thaw cycles. |
| 注意事项 | This product as supplied is intended for research use only, not for use in human, therapeutic or diagnostic applications. |
| 背景资料 | Choline kinase (CK) and ethanolamine kinase (EK) catalyzethe phosphorylation of choline/ethanolamine tophosphocholine/phosphoethanolamine. This is the first enzyme in thebiosynthesis of phosphatidylcholine/phosphatidylethanolamine in allanimal cells. The highly purified CKs from mammalian sources andtheir recombinant gene products have been shown to have EK activityalso, indicating that both activities reside on the same protein.The choline kinase-like protein encoded by CHKL belongs to thecholine/ethanolamine kinase family; however, its exact function isnot known. Read-through transcripts are expressed from this locusthat include exons from the downstream CPT1B locus. [provided byRefSeq, Jun 2009]. |
| 应用 | 推荐稀释比例 |
| {IHC-P} | {1:100-500} |
| {IHC-F} | {1:100-500} |
| {IF} | {1:100-500} |

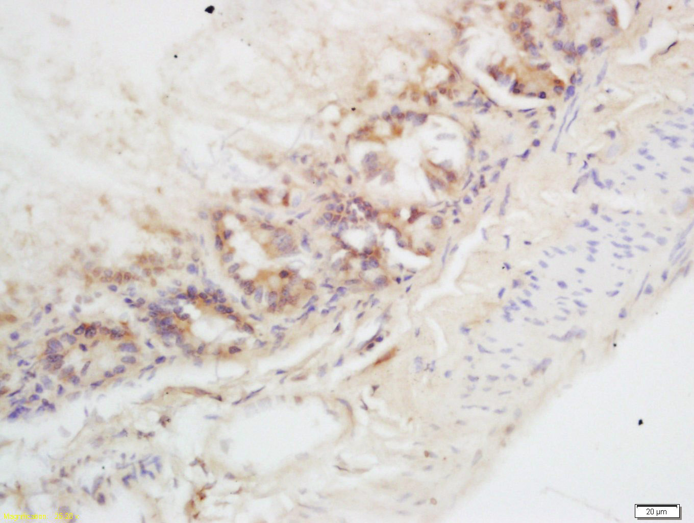
Antigen retrieval: citrate buffer ( 0.01M, pH 6.0 ), Boiling bathing for 15min; Block endogenous peroxidase by 3% Hydrogen peroxide for 30min; Blocking buffer (normal goat serum,C-0005) at 37℃ for 20 min;
Incubation: Anti-CHKL Polyclonal Antibody, Unconjugated(bs-10935R) 1:200, overnight at 4°C, followed by conjugation to the secondary antibody(SP-0023) and DAB(C-0010) staining
风险提示:丁香通仅作为第三方平台,为商家信息发布提供平台空间。用户咨询产品时请注意保护个人信息及财产安全,合理判断,谨慎选购商品,商家和用户对交易行为负责。对于医疗器械类产品,请先查证核实企业经营资质和医疗器械产品注册证情况。
文献和实验= NAL), appears to form upon oxidative cyclization of the nonfluorescent 2:1 lysine-HNE Michael adduct-Schiff base cross-link (Scheme 1). Polyclonal antibody (PAb) to the NAL-HNE fluorophore was raised in rabbit and found to be highly specific
GE Healthcare Benzamidine Sepharose™ 6B is p-aminobenzamidine covalently attached to Sepharose 6B by the epoxy coupling method. p-Aminobenzamidine (PAB), is a synthetic inhibitor of trypsin-like serine protease. Trypsin and trypsin
Nucleic Acid Programmable Protein Arrays: Versatile Tools for Array‐Based Functional Protein Studies
.g., Sigma) 50 mg/ml bis‐sulfosuccinimdylsuberate (BS3 ;Pierce, cat. no. PI 21580) in dimethylsulfoxide (DMSO) 5 mg/ml
技术资料暂无技术资料 索取技术资料









