相关产品推荐更多 >

Transferrin Mouse mAb, BF750 conjugated(bsm-33243M-BF750)-100ul
¥2980
ADCY8 Rabbit pAb(bs-3925R)-50ul/100ul/200ul
¥1180
HIV p55+P6-Gag Rabbit pAb(bs-4980R)-50ul/100ul/200ul
¥1180
phospho-CaMK2 alpha (Tyr230) Rabbit pAb(bs-3081R)-50ul/100ul/200ul
¥1180
RAF1 Rabbit pAb, Biotin conjugated(bs-23170R-Bio)-100ul
¥2980
万千商家帮你免费找货
0 人在求购买到急需产品
- 详细信息
- 文献和实验
- 技术资料
- 应用范围:
产品信息以Bioss网站为准
- 规格:
50ul/100ul/200ul
| 规格: | 50ul | 产品价格: | ¥1180.0 |
|---|---|---|---|
| 规格: | 100ul | 产品价格: | ¥1980.0 |
| 规格: | 200ul | 产品价格: | ¥2800.0 |
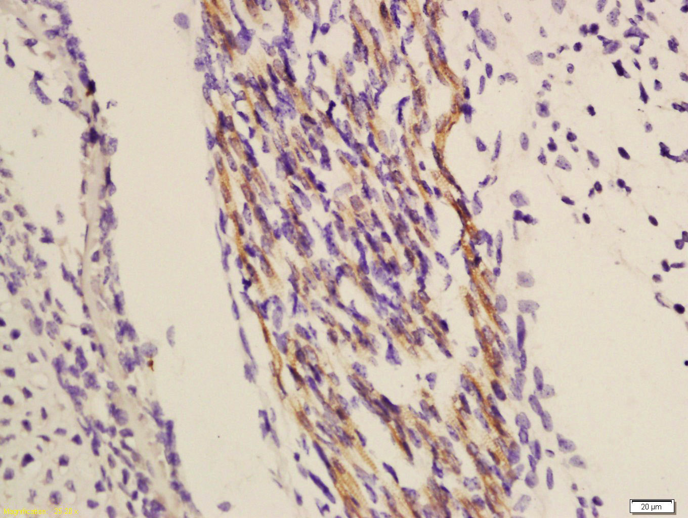
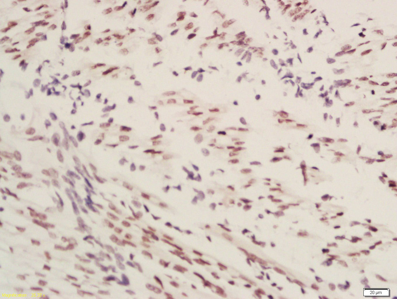
| 产品编号 | bs-17152R |
| 英文名称 | TRIOBP Rabbit pAb |
| 中文名称 | TRIOBP蛋白抗体 |
| 英文别名 | DFNB28; KIAA1662; Protein TARA; TARA; TARA_HUMAN; Tara like protein; TRIO and F actin binding protein; Trio and filamentous actin binding protein; Trio associated repeat on actin. |
| 产品应用 | IHC-P=1:100-500, IHC-F=1:100-500, IF=1:100-500 Not yet tested in other applications. |
| 交叉反应 | Mouse (Human, Rat, Dog, Pig, Cow, Horse, Rabbit, Sheep) |
| 抗体来源 | Rabbit |
| 免疫原 | KLH conjugated synthetic peptide derived from human TRIOBP |
| 亚型 | IgG |
| 性状 | Liquid |
| 纯化方法 | affinity purified by Protein A |
| 克隆类型 | Polyclonal |
| 理论分子量 | 261 kDa |
| 浓度 | 1mg/ml |
| 储存液 | 0.01M TBS (pH7.4) with 1% BSA, 0.02% Proclin300 and 50% Glycerol. |
| 研究领域 | Neuroscience > Sensory System > Auditory system Signal Transduction > Cytoskeleton / ECM > Cytoskeleton > Microfilaments > Actin etc > Actin Binding Proteins |
| 亚基 | Binds to TRIO and F-actin. May also interact with myosin II. Interacts with HECTD3. |
| 亚细胞定位 | Nucleus. Cytoplasm; cytoskeleton. Note: Localized to F-actin in a periodic pattern. |
| 组织特异性 | Widely expressed. Highly expressed in heart and placenta. Isoform 3 is expressed in fetal brain, retina and cochlea but is not detectable in the other tissues. |
| 翻译后修饰 | Ubiquitinated by HECTD3, leading to its degradation by the proteasome. Isoform 1: Phosphorylation at Thr-457 by PLK1 ensures mitotic progression and is essential for accurate chromosome segregation. |
| 相似性 | Contains 1 PH domain. |
| 功能 | TRIOBP is a protein that interacts with trio, which is involved with neural tissue development and controlling actin cytoskeleton organization, cell motility and cell growth. This trio binding protein also associates with F actin and stabilizes F actin structures. |
| 保存条件 | Shipped at 4℃. Store at -20℃ for one year. Avoid repeated freeze/thaw cycles. |
| 注意事项 | This product as supplied is intended for research use only, not for use in human, therapeutic or diagnostic applications. |
| 背景资料 | This gene encodes a protein with an N-terminal pleckstrin homology domain and a C-terminal coiled-coil region. The protein interacts with trio, which is involved with neural tissue development and controlling actin cytoskeleton organization, cell motility and cell growth. The protein also associates with F-actin and stabilizes F-actin structures. Mutations in this gene have been associated with a form of autosomal recessive nonsyndromic deafness. Multiple alternatively spliced transcript variants that would encode different isoforms have been found for this gene, however some transcripts may be subject to nonsense-mediated decay (NMD). [provided by RefSeq, Nov 2008] |
| 应用 | 推荐稀释比例 |
| {IHC-P} | {1:100-500} |
| {IHC-F} | {1:100-500} |
| {IF} | {1:100-500} |

Antigen retrieval: citrate buffer ( 0.01M, pH 6.0 ), Boiling bathing for 15min; Block endogenous peroxidase by 3% Hydrogen peroxide for 30min; Blocking buffer (normal goat serum,C-0005) at 37℃ for 20 min;
Incubation: Anti-TRIOBP Polyclonal Antibody, Unconjugated(bs-17152R) 1:200, overnight at 4°C, followed by conjugation to the secondary antibody(SP-0023) and DAB(C-0010) staining

Antigen retrieval: citrate buffer ( 0.01M, pH 6.0 ), Boiling bathing for 15min; Block endogenous peroxidase by 3% Hydrogen peroxide for 30min; Blocking buffer (normal goat serum,C-0005) at 37℃ for 20 min;
Incubation: Anti-TRIOBP Polyclonal Antibody, Unconjugated(bs-17152R) 1:200, overnight at 4°C, followed by conjugation to the secondary antibody(SP-0023) and DAB(C-0010) staining
风险提示:丁香通仅作为第三方平台,为商家信息发布提供平台空间。用户咨询产品时请注意保护个人信息及财产安全,合理判断,谨慎选购商品,商家和用户对交易行为负责。对于医疗器械类产品,请先查证核实企业经营资质和医疗器械产品注册证情况。
文献和实验= NAL), appears to form upon oxidative cyclization of the nonfluorescent 2:1 lysine-HNE Michael adduct-Schiff base cross-link (Scheme 1). Polyclonal antibody (PAb) to the NAL-HNE fluorophore was raised in rabbit and found to be highly specific
GE Healthcare Benzamidine Sepharose™ 6B is p-aminobenzamidine covalently attached to Sepharose 6B by the epoxy coupling method. p-Aminobenzamidine (PAB), is a synthetic inhibitor of trypsin-like serine protease. Trypsin and trypsin
Nucleic Acid Programmable Protein Arrays: Versatile Tools for Array‐Based Functional Protein Studies
.g., Sigma) 50 mg/ml bis‐sulfosuccinimdylsuberate (BS3 ;Pierce, cat. no. PI 21580) in dimethylsulfoxide (DMSO) 5 mg/ml
技术资料暂无技术资料 索取技术资料





