相关产品推荐更多 >

CCL26 Signal peptide Rabbit pAb, Cy5.5 conjugated(bs-10409R-Cy5.5)-100ul
¥2980
FMO4 Rabbit pAb, AP conjugated(bs-16099R-AP)-100ul
¥2980
phospho-c-Jun (Thr91+Thr93) Rabbit pAb, BF555 conjugated(bs-1735R-BF555)-100ul
¥2980
AADACL1 Rabbit pAb(bs-5162R)-50ul/100ul/200ul
¥1180
VHL Rabbit pAb(bs-1367R)-50ul/100ul/200ul
¥1180
万千商家帮你免费找货
0 人在求购买到急需产品
- 详细信息
- 询价记录
- 技术资料
- 应用范围:
产品信息以Bioss网站为准
- 规格:
50ul/100ul/200ul
| 规格: | 50ul | 产品价格: | ¥1180.0 |
|---|---|---|---|
| 规格: | 100ul | 产品价格: | ¥1980.0 |
| 规格: | 200ul | 产品价格: | ¥2800.0 |
| 产品编号 | bs-16893R |
| 英文名称 | KCNK1 Rabbit pAb |
| 中文名称 | 钾离子通道DPK抗体 |
| 英文别名 | DPK; HOHO; HOHO1; Inward rectifying potassium channel protein TWIK-1; Inward rectifying potassium channel protein TWIK1; K2p1.1; KCNK1; KCNK1_HUMAN; KCNO1; OTTHUMP00000036029; Potassium channel KCNO1; Potassium channel subfamily K member 1; Potassium inwardly rectifying channel subfamily K member 1; TWIK 1; TWIK1. |
| 产品应用 | IHC-P=1:100-500, IHC-F=1:100-500, IF=1:100-500 Not yet tested in other applications. |
| 交叉反应 | Mouse (Human, Rat, Dog, Pig, Cow, Horse, Rabbit, Sheep) |
| 抗体来源 | Rabbit |
| 免疫原 | KLH conjugated synthetic peptide derived from human KCNK1 |
| 亚型 | IgG |
| 性状 | Liquid |
| 纯化方法 | affinity purified by Protein A |
| 克隆类型 | Polyclonal |
| 理论分子量 | 38 kDa |
| 浓度 | 1mg/ml |
| 储存液 | 0.01M TBS (pH7.4) with 1% BSA, 0.02% Proclin300 and 50% Glycerol. |
| 研究领域 | Neuroscience > Neurotransmission > Receptors / Channels > Potassium Channels Signal Transduction > Metabolism > Plasma Membrane > Channels |
| 亚细胞定位 | Membrane. |
| 组织特异性 | Widely expressed with high levels in heart and brain and lower levels in placenta, lung, liver and kidney. |
| 相似性 | Belongs to the two pore domain potassium channel (TC 1.A.1.8) family. |
| 功能 | Weakly inward rectifying potassium channel. |
| 保存条件 | Shipped at 4℃. Store at -20℃ for one year. Avoid repeated freeze/thaw cycles. |
| 注意事项 | This product as supplied is intended for research use only, not for use in human, therapeutic or diagnostic applications. |
| 背景资料 | This gene encodes one of the members of the superfamily of potassium channel proteins containing two pore-forming P domains. The product of this gene has not been shown to be a functional channel, however, it may require other non-pore-forming proteins for activity. [provided by RefSeq, Jul 2008] |
| 应用 | 推荐稀释比例 |
| {IHC-P} | {1:100-500} |
| {IHC-F} | {1:100-500} |
| {IF} | {1:100-500} |

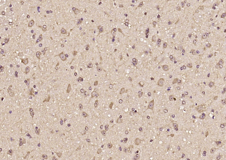
Paraformaldehyde-fixed, paraffin embedded (mouse brain); Antigen retrieval by boiling in sodium citrate buffer (pH6.0) for 15min; Block endogenous peroxidase by 3% hydrogen peroxide for 20 minutes; Blocking buffer (normal goat serum) at 37°C for 30min; Antibody incubation with (KCNK1) Polyclonal Antibody, Unconjugated (bs-16893R) at 1:200 overnight at 4°C, followed by operating according to SP Kit(Rabbit) (sp-0023) instructionsand DAB staining.
风险提示:丁香通仅作为第三方平台,为商家信息发布提供平台空间。用户咨询产品时请注意保护个人信息及财产安全,合理判断,谨慎选购商品,商家和用户对交易行为负责。对于医疗器械类产品,请先查证核实企业经营资质和医疗器械产品注册证情况。
- 作者
- 内容
- 询问日期
技术资料暂无技术资料 索取技术资料
KCNK1 Rabbit pAb(bs-16893R)-50ul/100ul/200ul
¥1180 - 2800






