相关产品推荐更多 >

ALDH1A1 Rabbit pAb, FITC conjugated(bs-10162R-FITC)-100ul
¥2980
IRS3 Rabbit pAb, AP conjugated(bs-0186R-AP)-100ul
¥2980
ELF4 Rabbit pAb, FITC conjugated(bs-14563R-FITC)-100ul
¥2980
phospho-PTPN7 (Ser246) Rabbit pAb(bs-5557R)-50ul/100ul/200ul
¥1180
Neural retinal specific leucine zipper/NRL Rabbit pAb, PE conjugated(bs-19351R-PE)-100ul
¥2980
万千商家帮你免费找货
0 人在求购买到急需产品
- 详细信息
- 文献和实验
- 技术资料
- 应用范围:
产品信息以Bioss网站为准
- 规格:
50ul/100ul/200ul
| 规格: | 50ul | 产品价格: | ¥1180.0 |
|---|---|---|---|
| 规格: | 100ul | 产品价格: | ¥1980.0 |
| 规格: | 200ul | 产品价格: | ¥2800.0 |
| 产品编号 | bs-4042R |
| 英文名称 | Triosephosphate isomerase Rabbit pAb |
| 中文名称 | 磷酸丙糖异构酶抗体 |
| 英文别名 | TIM; TPI 1; TPI; TPI1; Triose phosphate isomerase 1; Triose phosphate isomerase; Triosephosphate isomerase 1; Triosephosphate isomerase; MGC88108; TPIS_HUMAN. |
| 产品应用 | WB=1:500-2000, IHC-P=1:100-500, IHC-F=1:100-500, IF=1:100-500 Not yet tested in other applications. |
| 交叉反应 | Human, Mouse, Rat (Chicken, Dog, Pig, Cow, Horse, Rabbit, Sheep) |
| 抗体来源 | Rabbit |
| 免疫原 | KLH conjugated synthetic peptide derived from human Triosephosphate isomerase |
| 亚型 | IgG |
| 性状 | Liquid |
| 纯化方法 | affinity purified by Protein A |
| 克隆类型 | Polyclonal |
| 理论分子量 | 27 kDa |
| 浓度 | 1mg/ml |
| 储存液 | 0.01M TBS (pH7.4) with 1% BSA, 0.02% Proclin300 and 50% Glycerol. |
| 研究领域 | Cancer > Cancer Metabolism > Metabolic signaling pathway > Metabolism of carbohydrates Metabolism > Pathways and Processes > Metabolic signaling pathways > Carbohydrate metabolism Metabolism > Pathways and Processes > Metabolic signaling pathways > Energy transfer pathways > Energy Metabolism Signal Transduction > Metabolism > Energy Metabolism |
| 亚基 | Homodimer. |
| 翻译后修饰 | The initiator methionine for isoform 2 is removed. |
| 相似性 | Belongs to the triosephosphate isomerase family. |
| 保存条件 | Shipped at 4℃. Store at -20℃ for one year. Avoid repeated freeze/thaw cycles. |
| 注意事项 | This product as supplied is intended for research use only, not for use in human, therapeutic or diagnostic applications. |
| 背景资料 | This gene encodes an enzyme, consisting of two identical proteins, which catalyzes the isomerization of glyceraldehydes 3-phosphate (G3P) and dihydroxy-acetone phosphate (DHAP) in glycolysis and gluconeogenesis. Mutations in this gene are associated with triosephosphate isomerase deficiency. Pseudogenes have been identified on chromosomes 1, 4, 6 and 7. Alternative splicing results in multiple transcript variants. [provided by RefSeq] |
| 应用 | 推荐稀释比例 |
| {WB} | {1:500-2000} |
| {IHC-P} | {1:100-500} |
| {IHC-F} | {1:100-500} |
| {IF} | {1:100-500} |

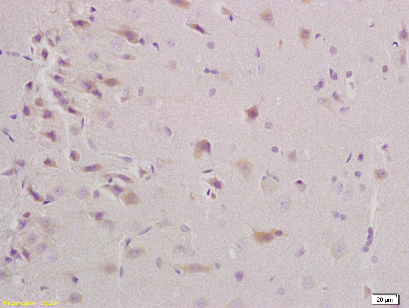
Antigen retrieval: citrate buffer ( 0.01M, pH 6.0 ), Boiling bathing for 15min; Block endogenous peroxidase by 3% Hydrogen peroxide for 30min; Blocking buffer (normal goat serum,C-0005) at 37℃ for 20 min;
Incubation: Anti-TPIS Polyclonal Antibody, Unconjugated(bs-4042R) 1:200, overnight at 4°C, followed by conjugation to the secondary antibody(SP-0023) and DAB(C-0010) staining

Primary: Anti-Triosephosphate isomerasee (bs-4042R) at 1/300 dilution
Secondary: IRDye800CW Goat Anti-Rabbit IgG at 1/20000 dilution
Predicted band size: 27 kD
Observed band size: 30 kD

293T(Human) Cell Lysate at 30 ug
Primary: Anti- Triosephosphate isomerase (bs-4042R) at 1/1000 dilution
Secondary: IRDye800CW Goat Anti-Rabbit IgG at 1/20000 dilution
Predicted band size: 27 kD
Observed band size: 27 kD
风险提示:丁香通仅作为第三方平台,为商家信息发布提供平台空间。用户咨询产品时请注意保护个人信息及财产安全,合理判断,谨慎选购商品,商家和用户对交易行为负责。对于医疗器械类产品,请先查证核实企业经营资质和医疗器械产品注册证情况。
文献和实验[IF={{ 7.25 }}] {Yao, Chun, et al. "Role of FADD Phosphorylation in Regulating Glucose Homeostasis: from Proteomic Discovery to Physiological Validation." Molecular & Cellular Proteomics (2013).} {WB} {="Mouse"}
[IF={{ 5.682 }}] {Jie Jiang. et al. Glycolysis- and immune-related novel prognostic biomarkers of Ewing's sarcoma: glucuronic acid epimerase and triosephosphate isomerase 1. Aging-Us. 2021 Jul 15; 13(13): 17516–17535} {IHC} {Human}
[IF={{ 3.752 }}] {Xuejiao An. et al. miR-1285-3p targets TPI1 to regulate the glycolysis metabolism signaling pathway of Tibetan sheep Sertoli cells. PLOS ONE. 2022 Sep;17(9):e0270364} {WB} {Sheep}
技术资料暂无技术资料 索取技术资料






