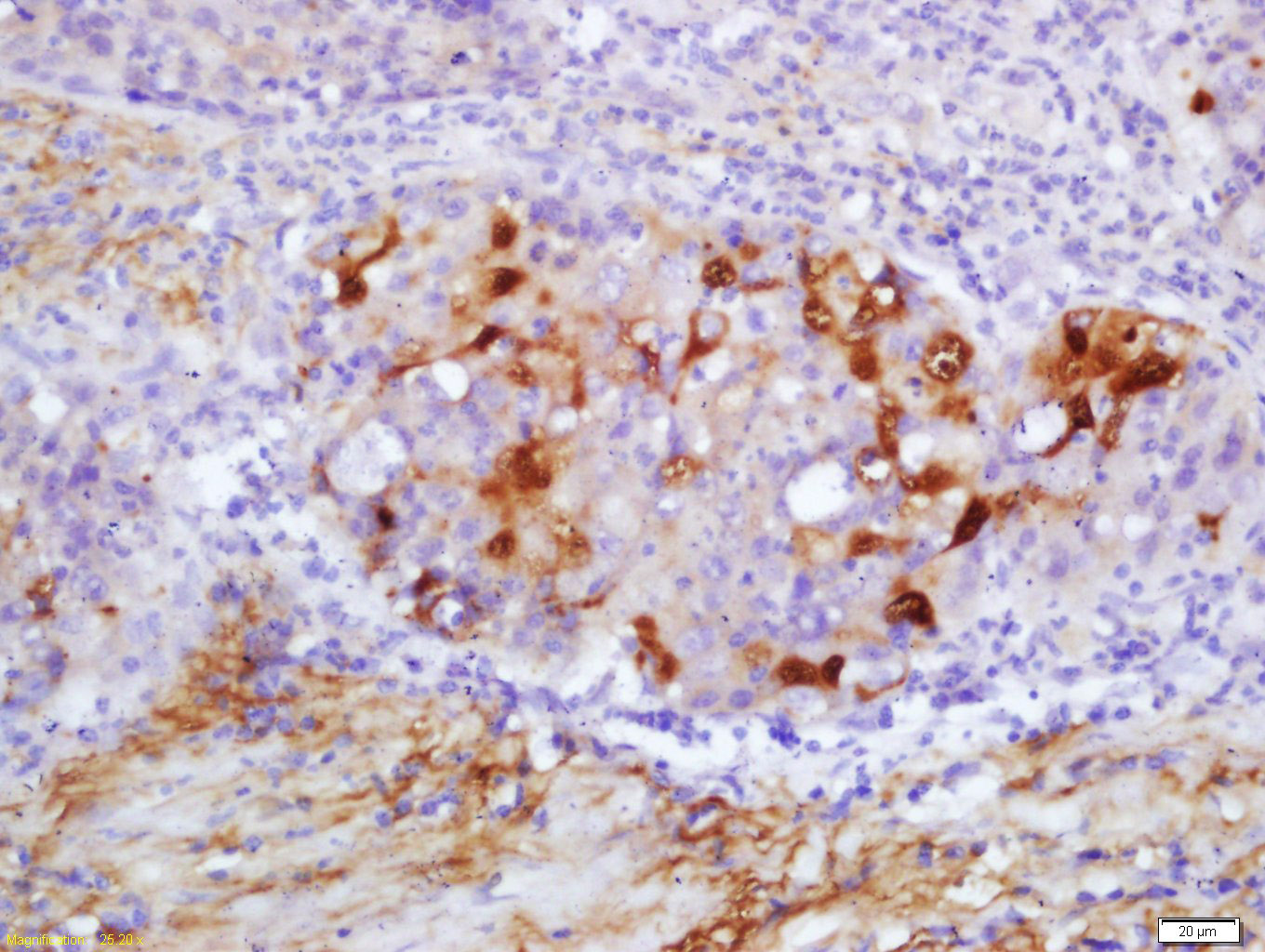
Tissue/cell: human gastric carcinoma; 4% Paraformaldehyde-fixed and paraffin-embedded;
Antigen retrieval: citrate buffer ( 0.01M, pH 6.0 ), Boiling bathing for 15min; Block endogenous peroxidase by 3% Hydrogen peroxide for 30min; Blocking buffer (normal goat serum,C-0005) at 37℃ for 20 min;
Incubation: Anti-2 Cys Peroxiredoxin Polyclonal Antibody, Unconjugated(bs-7356R) 1:200, overnight at 4°C, followed by conjugation to the secondary antibody(SP-0023) and DAB(C-0010) staining
相关产品推荐更多 >
万千商家帮你免费找货
0 人在求购买到急需产品
- 详细信息
- 文献和实验
- 技术资料
- 应用范围:
产品信息以Bioss网站为准
- 规格:
50ul/100ul/200ul
| 规格: | 50ul | 产品价格: | ¥1180.0 |
|---|---|---|---|
| 规格: | 100ul | 产品价格: | ¥1980.0 |
| 规格: | 200ul | 产品价格: | ¥2800.0 |
| 产品编号 | bs-7356R |
| 英文名称 | 2 Cys Peroxiredoxin Rabbit pAb |
| 中文名称 | 过氧化物还原酶抗体 |
| 英文别名 | Antioxidant enzyme; Peroxiredoxin 1; Peroxiredoxin 2; Peroxiredoxin 3; Peroxiredoxin 4; Peroxiredoxin 5; Peroxiredoxin 5 mitochondrial; PLP; PMP20; PRDX1; PRDX2; PRDX3; PRDX4; PRDX5; PRX V; |
| 产品应用 | IHC-P=1:100-500, IHC-F=1:100-500, IF=1:100-500 Not yet tested in other applications. |
| 交叉反应 | Human (Mouse, Rat, Pig, Horse) |
| 抗体来源 | Rabbit |
| 免疫原 | KLH conjugated synthetic peptide derived from human 2 Cys Peroxiredoxin |
| 亚型 | IgG |
| 性状 | Liquid |
| 纯化方法 | affinity purified by Protein A |
| 克隆类型 | Polyclonal |
| 理论分子量 | 17 kDa |
| 浓度 | 1mg/ml |
| 储存液 | 0.01M TBS (pH7.4) with 1% BSA, 0.02% Proclin300 and 50% Glycerol. |
| 研究领域 | Cell Biology > Apoptosis > Intracellular > Associated Proteins Cell Biology > Cell Cycle > Cell differentiation |
| 亚基 | Monomer. |
| 亚细胞定位 | Isoform Mitochondrial: Mitochondrion.
Isoform Cytoplasmic+peroxisomal: Cytoplasm. Peroxisome. |
| 组织特异性 | Widely expressed. |
| 相似性 | Belongs to the peroxiredoxin 2 family.
Contains 1 thioredoxin domain |
| 功能 | Reduces hydrogen peroxide and alkyl hydroperoxides with reducing equivalents provided through the thioredoxin system. Involved in intracellular redox signaling. |
| 保存条件 | Shipped at 4℃. Store at -20℃ for one year. Avoid repeated freeze/thaw cycles. |
| 注意事项 | This product as supplied is intended for research use only, not for use in human, therapeutic or diagnostic applications. |
| 背景资料 | This gene encodes a member of the peroxiredoxin family of antioxidant enzymes, which reduce hydrogen peroxide and alkyl hydroperoxides. The encoded protein may play an antioxidant protective role in different tissues under normal conditions and during inflammatory processes. This protein interacts with peroxisome receptor 1. The crystal structure of this protein in its reduced form has been resolved to 1.5 angstrom resolution. This gene uses alternate in-frame translation initiation sites to generate mitochondrial or peroxisomal/cytoplasmic forms. Three transcript variants encoding distinct isoforms have been identified for this gene. [provided by RefSeq, Jul 2008]. |
| 应用 | 推荐稀释比例 |
| {IHC-P} | {1:100-500} |
| {IHC-F} | {1:100-500} |
| {IF} | {1:100-500} |

风险提示:丁香通仅作为第三方平台,为商家信息发布提供平台空间。用户咨询产品时请注意保护个人信息及财产安全,合理判断,谨慎选购商品,商家和用户对交易行为负责。对于医疗器械类产品,请先查证核实企业经营资质和医疗器械产品注册证情况。
文献和实验相关实验
Nucleic Acid Programmable Protein Arrays: Versatile Tools for Array‐Based Functional Protein Studies
.g., Sigma) 50 mg/ml bis‐sulfosuccinimdylsuberate (BS3 ;Pierce, cat. no. PI 21580) in dimethylsulfoxide (DMSO) 5 mg/ml
技术资料暂无技术资料 索取技术资料
2 Cys Peroxiredoxin Rabbit pAb(bs-7356R)-50ul/100ul/200ul
¥1180 - 2800








