相关产品推荐更多 >

LEF1 Recombinant Rabbit mAb(bsm-61170R)-50ul/100ul/25ul
¥800
TIF1 gamma Rabbit pAb(bs-3582R)-50ul/100ul/200ul
¥1180
RIM2 Rabbit pAb, AP conjugated(bs-22118R-AP)-100ul
¥2980
ELF4 Rabbit pAb, BF555 conjugated(bs-14563R-BF555)-100ul
¥2980
GABA Transporter 3 Rabbit pAb, PerCP conjugated(bs-13260R-PerCP)-100ul
¥2980
万千商家帮你免费找货
0 人在求购买到急需产品
- 详细信息
- 文献和实验
- 技术资料
- 应用范围:
产品信息以Bioss网站为准
- 规格:
50ul/100ul/200ul
| 规格: | 50ul | 产品价格: | ¥1180.0 |
|---|---|---|---|
| 规格: | 100ul | 产品价格: | ¥1980.0 |
| 规格: | 200ul | 产品价格: | ¥2800.0 |
| 产品编号 | bs-15536R |
| 英文名称 | ICK Rabbit pAb |
| 中文名称 | 丝氨酸/苏氨酸蛋白激酶ICK抗体 |
| 英文别名 | 2210420N10Rik; AI848300; ECO; ICK_HUMAN; Heart serine threonine protein kinase; hICK; Intestinal cell(MAK like) kinase; Intestinal cell kinase; KIAA0936; Laryngeal cancer kinase 2; LCK2; MAK-related kinase; MAK related kinase; MGC46090; mICK; MRK; OTTMUSP00000041856; OTTMUSP00000041857; Serine/threonine-protein kinase ICK; Serine/threonine protein kinase ICK. |
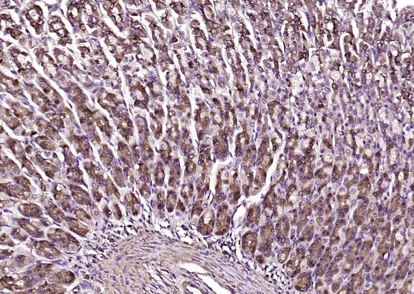
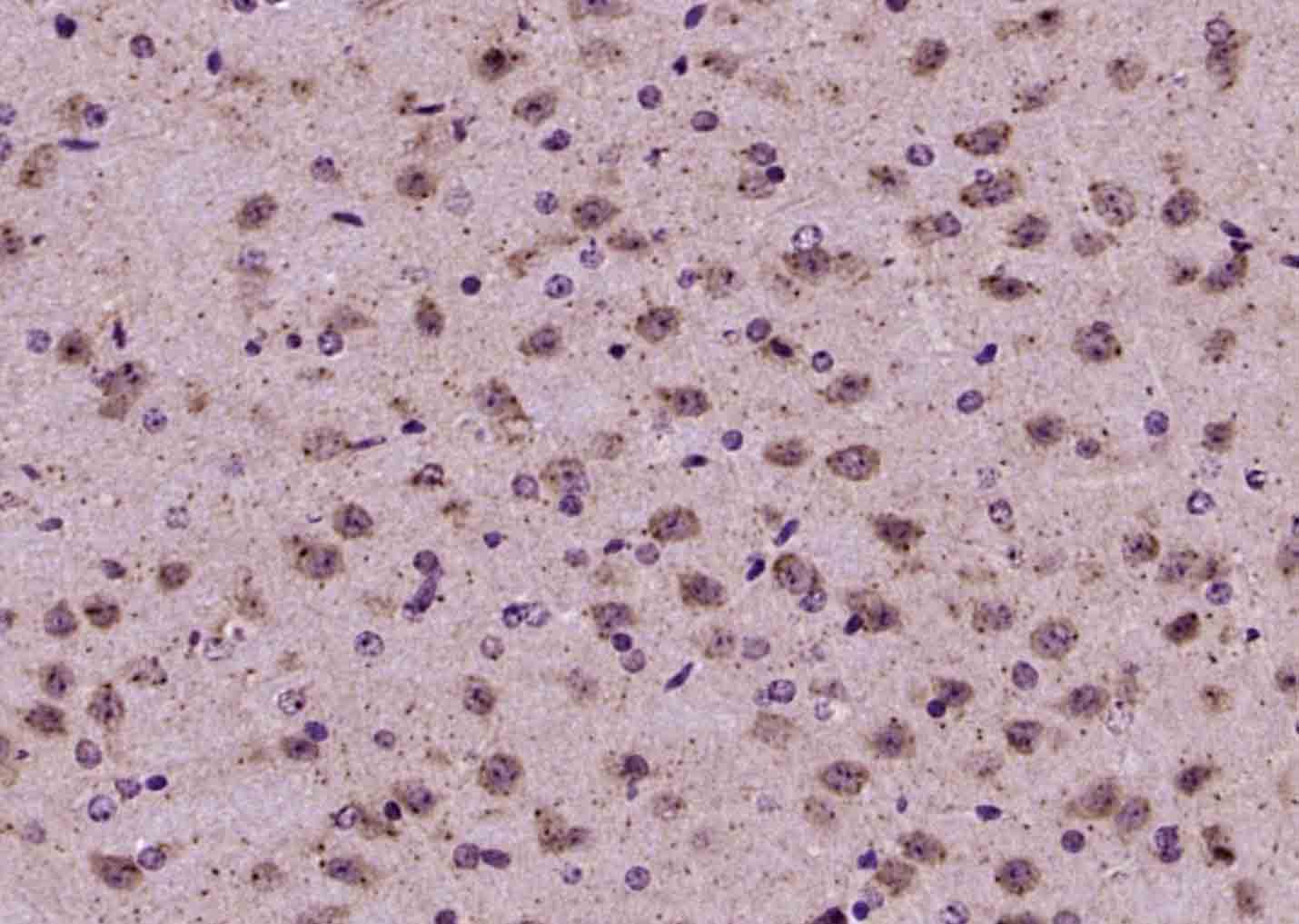
| 产品应用 | IHC-P=1:100-500, IHC-F=1:100-500, IF=1:100-500 Not yet tested in other applications. |
| 交叉反应 | Mouse, Rat (Human, Dog, Pig, Cow, Horse, Rabbit) |
| 抗体来源 | Rabbit |
| 免疫原 | KLH conjugated synthetic peptide derived from human ICK |
| 亚型 | IgG |
| 性状 | Liquid |
| 纯化方法 | affinity purified by Protein A |
| 克隆类型 | Polyclonal |
| 理论分子量 | 71 kDa |
| 浓度 | 1mg/ml |
| 储存液 | 0.01M TBS (pH7.4) with 1% BSA, 0.02% Proclin300 and 50% Glycerol. |
| 亚细胞定位 | Nucleus. Cytoplasm, cytosol. Note=Nuclear localization has been observed with a GFP-tagged construct in transfected HeLa cells (PubMed:12103360). Cytosolic localization was shown in rat embryonic cardiomyocytes by immunostaining (PubMed:8570168). |
| 组织特异性 | Expressed in heart, brain, placenta, pancreas, thymus, prostate, testis, ovary, small intestine and colon, with highest levels in placenta and testis. Not detected in spleen. Also expressed in many cancer cell lines. |
| 翻译后修饰 | Autophosphorylated on serine and threonine residues. May play a role in enzyme activation. |
| 相似性 | Belongs to the protein kinase superfamily. CMGC Ser/Thr protein kinase family. CDC2/CDKX subfamily. Contains 1 protein kinase domain. |
| 功能 | May play a key role in the development of multiple organ systems and particularly in cardiac development. |
| 保存条件 | Shipped at 4℃. Store at -20℃ for one year. Avoid repeated freeze/thaw cycles. |
| 注意事项 | This product as supplied is intended for research use only, not for use in human, therapeutic or diagnostic applications. |
| 背景资料 | Eukaryotic protein kinases are enzymes that belong to a very extensive family of proteins which share a conserved catalytic core common with both serine/threonine and tyrosine protein kinases. This gene encodes an intestinal serine/threonine kinase harboring a dual phosphorylation site found in mitogen-activating protein (MAP) kinases. The protein localizes to the intestinal crypt region and is thought to be important in intestinal epithelial cell proliferation and differentiation. Alternative splicing has been observed at this locus and two variants, encoding the same isoform, have been identified. |
| 应用 | 推荐稀释比例 |
| {IHC-P} | {1:100-500} |
| {IHC-F} | {1:100-500} |
| {IF} | {1:100-500} |


风险提示:丁香通仅作为第三方平台,为商家信息发布提供平台空间。用户咨询产品时请注意保护个人信息及财产安全,合理判断,谨慎选购商品,商家和用户对交易行为负责。对于医疗器械类产品,请先查证核实企业经营资质和医疗器械产品注册证情况。
文献和实验[IF={{ 1.664 }}] {Zhang PF et al. MicroRNA-139 suppresses hepatocellular carcinoma cell proliferation and migration by directly targeting Topoisomerase I. ONCOLOGY LETTERS 17: 1903-1913, 2019} {WB} {Human}
= NAL), appears to form upon oxidative cyclization of the nonfluorescent 2:1 lysine-HNE Michael adduct-Schiff base cross-link (Scheme 1). Polyclonal antibody (PAb) to the NAL-HNE fluorophore was raised in rabbit and found to be highly specific
GE Healthcare Benzamidine Sepharose™ 6B is p-aminobenzamidine covalently attached to Sepharose 6B by the epoxy coupling method. p-Aminobenzamidine (PAB), is a synthetic inhibitor of trypsin-like serine protease. Trypsin and trypsin
Nucleic Acid Programmable Protein Arrays: Versatile Tools for Array‐Based Functional Protein Studies
.g., Sigma) 50 mg/ml bis‐sulfosuccinimdylsuberate (BS3 ;Pierce, cat. no. PI 21580) in dimethylsulfoxide (DMSO) 5 mg/ml
技术资料暂无技术资料 索取技术资料





